JavaScript is disabled in your browser. Please enable JavaScript to view this website.
AB231778

Anti-SP1 antibody [EPR22648-50] - ChIP Grade

  • BOND RX™ Validated
  • Recombinant
  • KO Validated
  • Advanced Validation
  • RabMAb
  • What is this?

Be the first to review this product! Submit a review

|

(45 Publications)

Anti-SP1 antibody [EPR22648-50] - ChIP Grade (ab231778) is a rabbit monoclonal antibody detecting SP1 in Western Blot, Flow Cytometry (Intra), Flow Cytometry, IP, IHC-P, ICC/IF, ChIP. Suitable for Human.

- KO validated for confirmed specificity
- Biophysical QC for unrivalled batch-batch consistency
- Over 20 publications

View Alternative Names

TSFP1, SP1, Transcription factor Sp1

20 Images
Immunohistochemistry (Formalin/PFA-fixed paraffin-embedded sections) - Anti-SP1 antibody [EPR22648-50] - ChIP Grade (AB231778)
  • IHC-P

Unknown

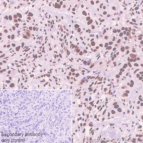
Immunohistochemistry (Formalin/PFA-fixed paraffin-embedded sections) - Anti-SP1 antibody [EPR22648-50] - ChIP Grade (AB231778)

Immunohistochemical analysis of paraffin-embedded human gastric carcinoma tissue labeling SP1 using ab231778 at 1/500 dilution, followed by a ready to use Rabbit specific IHC polymer detection kit HRP/DAB (ab209101). Counterstained with hematoxylin.

Nuclear staining on tumor cells of human gastric carcinoma (PMID : 14695137). The section was incubated with ab231778 for 30 mins at room temperature. The immunostaining was performed on a Leica Biosystems BOND® RX instrument.

Secondary antibody only control : Used PBS instead of primary antibody, secondary antibody is a ready to use Rabbit specific IHC polymer detection kit HRP/DAB (ab209101).

Perform heat mediated antigen retrieval with Tris/EDTA buffer pH 9.0 before commencing with IHC staining protocol.

Immunohistochemistry (Formalin/PFA-fixed paraffin-embedded sections) - Anti-SP1 antibody [EPR22648-50] - ChIP Grade (AB231778)
  • IHC-P

Unknown

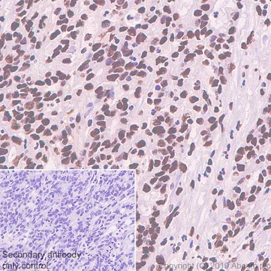
Immunohistochemistry (Formalin/PFA-fixed paraffin-embedded sections) - Anti-SP1 antibody [EPR22648-50] - ChIP Grade (AB231778)

Immunohistochemical analysis of paraffin-embedded human breast carcinoma tissue labeling SP1 using ab231778 at 1/500 dilution, followed by a ready to use Rabbit specific IHC polymer detection kit HRP/DAB (ab209101). Counterstained with hematoxylin.

Nuclear staining on tumor cells of human breast carcinoma (PMID : 14695137). The section was incubated with ab231778 for 30 mins at room temperature. The immunostaining was performed on a Leica Biosystems BOND® RX instrument.

Secondary antibody only control : Used PBS instead of primary antibody, secondary antibody is a ready to use Rabbit specific IHC polymer detection kit HRP/DAB (ab209101).

Perform heat mediated antigen retrieval with Tris/EDTA buffer pH 9.0 before commencing with IHC staining protocol.

Immunocytochemistry/ Immunofluorescence - Anti-SP1 antibody [EPR22648-50] - ChIP Grade (AB231778)
  • ICC/IF

Unknown

Immunocytochemistry/ Immunofluorescence - Anti-SP1 antibody [EPR22648-50] - ChIP Grade (AB231778)

Immunofluorescent analysis of 4% paraformaldehyde-fixed, 0.1% Triton X-100 permeabilized HeLa (human cervix adenocarcinoma epithelial cell) cells labeling SP1 (green) with ab231778 at 1/100 dilution, followed by an AlexaFluor® 488 Goat anti-Rabbit secondary (ab150077) at 1/1000 dilution. Confocal image showing nuclear staining in HeLa cell line. The nuclear counterstain is DAPI (Blue). Tubulin was stained using an Anti-alpha Tubulin antibody [DM1A] - Microtubule Marker (Alexa Fluor® 594) (ab195889) at 1/200 dilution (Red).

Secondary antibody only control : Used PBS instead of primary antibody, secondary antibody is a AlexaFluor® 488 Goat anti-Rabbit secondary (ab150077).

Flow Cytometry (Intracellular) - Anti-SP1 antibody [EPR22648-50] - ChIP Grade (AB231778)
  • Flow Cyt (Intra)

Unknown

Flow Cytometry (Intracellular) - Anti-SP1 antibody [EPR22648-50] - ChIP Grade (AB231778)

Intracellular flow cytometric analysis of 4% paraformaldehyde-fixed, 90% methanol-permeabilized HeLa (Human cervix adenocarcinoma epithelial cell) cells labeling SP1 using ab231778 at 1/60 dilution (Red) compared with a Rabbit monoclonal IgG (ab172730, Black) isotype control and a unlabeled control (cells without incubation with primary antibody and secondary antibody) (Blue). The secondary antibody was a Goat anti rabbit IgG (Alexa Fluor® 488, ab150077) at a 1/2000 dilution.

ChIP-sequencing - Anti-SP1 antibody [EPR22648-50] - ChIP Grade (AB231778)
  • ChIP-seq

Lab

ChIP-sequencing - Anti-SP1 antibody [EPR22648-50] - ChIP Grade (AB231778)

Chromatin was prepared from HeLa cells. Cells were fixed with 1% formaldehyde for 10 minutes. ChIP was performed with 30 μg of chromatin and 4 μg of ab231778. ChIP DNA was sequenced on the Illumina NovaSeq 6000 to a depth of 30 million reads. ChIP-Seq validation performed with ChIP-Kit Transcription Factors ChIP-Seq (ab270813). Additional screenshots of mapped reads can be downloaded here.

ChIP-sequencing - Anti-SP1 antibody [EPR22648-50] - ChIP Grade (AB231778)
  • ChIP-seq

Supplier Data

ChIP-sequencing - Anti-SP1 antibody [EPR22648-50] - ChIP Grade (AB231778)

Chromatin was prepared from Human SP1 knockout HeLa cell line (ab265519) cells overexpressing either mNeonGreen or mNeonGreen-SP1. Cells were fixed with 1% formaldehyde for 10 minutes. ChIP was performed with 107 cells and 8 μg ab321887 [EPR28835-76]. Assay quality control was conducted using 8 μg anti-SP1 (ab231778) on the same cell lines. ChIP DNA was sequenced on the Illumina NovaSeq 6000 to a depth of 30 million reads. The Input control is also shown.

ChIP-sequencing - Anti-SP1 antibody [EPR22648-50] - ChIP Grade (AB231778)
  • ChIP-seq

Supplier Data

ChIP-sequencing - Anti-SP1 antibody [EPR22648-50] - ChIP Grade (AB231778)

Chromatin was prepared from Human SP1 knockout HeLa cell line (ab265519) cells overexpressing either mNeonGreen or mNeonGreen-SP1. Cells were fixed with 1% formaldehyde for 10 minutes. ChIP was performed with 107 cells and 8 μg ab321887 [EPR28835-76]. Assay quality control was conducted using 8 μg anti-SP1 (ab231778) on the same cell lines. ChIP DNA was sequenced on the Illumina NovaSeq 6000 to a depth of 30 million reads. The Input control is also shown.

ChIP - Anti-SP1 antibody [EPR22648-50] - ChIP Grade (AB231778)
  • ChIP

Unknown

ChIP - Anti-SP1 antibody [EPR22648-50] - ChIP Grade (AB231778)

Chromatin was prepared from HeLa cells according to the Abcam X-ChIP protocol. Cells were fixed with formaldehyde for 10min.

The ChIP was performed with 25 μg of chromatin, 5 μg of ab231778 (red), and 20 μl of Protein A/G sepharose beads. 5 μg of rabbit normal IgG was added to the beads control (gray). The immunoprecipitated DNA was quantified by real time PCR (sybr green approach).

Primers and probes are located in the first kb of the transcribed region.

ChIP-sequencing - Anti-SP1 antibody [EPR22648-50] - ChIP Grade (AB231778)
  • ChIP-seq

Supplier Data

ChIP-sequencing - Anti-SP1 antibody [EPR22648-50] - ChIP Grade (AB231778)

Chromatin was prepared from HeLa cells. Cells were fixed with 1% formaldehyde for 10 minutes. ChIP was performed with 30 μg of chromatin and 4 μg of Anti-SP1 antibody [EPR22648-50] - ChIP Grade (ab231778). ChIP DNA was sequenced on the Illumina NextSeq 500 to a depth of 30 million reads. ChIP-Seq validation performed by Active Motif, Carlsbad, CA. Additional screenshots of mapped reads can be downloaded here.

Immunoprecipitation - Anti-SP1 antibody [EPR22648-50] - ChIP Grade (AB231778)
  • IP

Unknown

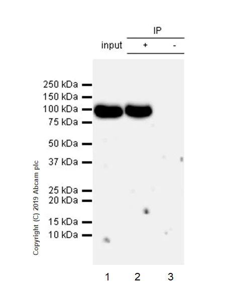
Immunoprecipitation - Anti-SP1 antibody [EPR22648-50] - ChIP Grade (AB231778)

SP1 was immunoprecipitated from 0.35 mg HeLa (Human cervix adenocarcinoma epithelial cell) whole cell lysate using ab231778 at 1/30 dilution. Western blot was performed on the immunoprecipitate using ab231778 at 1/1000 dilution. VeriBlot for IP Detection Reagent (HRP) (ab131366) was used as the secondary antibody at 1/5000 dilution.

Lane 1 : HeLa whole cell lysate 10 μg (input).
Lane 2 : ab231778 IP in HeLa whole cell lysate.
Lane 3 : Rabbit monoclonal IgG (ab172730) instead of ab231778 in HeLa whole cell lysate.

Blocking and dilution buffer and concentration : 5% NFDM/TBST.

Exposure time : 3 minutes.

All lanes:

Immunoprecipitation - Anti-SP1 antibody [EPR22648-50] - ChIP Grade (ab231778)

Predicted band size: 81 kDa

false

ChIP-sequencing - Anti-SP1 antibody [EPR22648-50] - ChIP Grade (AB231778)
  • ChIP-seq

Supplier Data

ChIP-sequencing - Anti-SP1 antibody [EPR22648-50] - ChIP Grade (AB231778)

Chromatin was prepared from Human SP1 knockout HeLa cell line (ab265519) cells overexpressing either mNeonGreen or mNeonGreen-SP1. Cells were fixed with 1% formaldehyde for 10 minutes. ChIP was performed with 107 cells and 8 μg ab321887 [EPR28835-76]. Assay quality control was conducted using 8 μg anti-SP1 (ab231778) on the same cell lines. ChIP DNA was sequenced on the Illumina NovaSeq 6000 to a depth of 30 million reads. The Input control is also shown.

Western blot - Anti-SP1 antibody [EPR22648-50] - ChIP Grade (AB231778)
  • WB

Lab

Western blot - Anti-SP1 antibody [EPR22648-50] - ChIP Grade (AB231778)

Lanes 1 and 3 : Samples were made from freeze-thaw cycled lysate.

Lanes 2 and 4 : Samples were freshly made and used immediately to minimize protein degradation.

Blocking buffer and concentration : 5% NFDM/TBST

Diluting buffer and concentration : 5% NFDM/TBST

All lanes:

Western blot - Anti-SP1 antibody [EPR22648-50] - ChIP Grade (ab231778) at 1/10000 dilution

Lanes 1 - 2:

HeLa (human cervix adenocarcinoma epithelial cell) whole cell lysate at 15 µg

Lanes 3 - 4:

293T (human embryonic kidney epithelial cell) whole cell lysate at 15 µg

Secondary

All lanes:

Western blot - Goat Anti-Rabbit IgG H&L (HRP) (<a href='/en-us/products/secondary-antibodies/goat-rabbit-igg-h-l-hrp-ab97051'>ab97051</a>) at 1/100000 dilution

Predicted band size: 81 kDa

Observed band size: 98 kDa

false

Exposure time: 40s

Western blot - Anti-SP1 antibody [EPR22648-50] - ChIP Grade (AB231778)
  • WB

Supplier Data

Western blot - Anti-SP1 antibody [EPR22648-50] - ChIP Grade (AB231778)

ab231778 was shown to specifically react with SP1 in wild-type HAP1 cells as signal was lost in SP1 knockout cells. Wild-type and SP1 knockout samples were subjected to SDS-PAGE. ab231778 and ab181602 (Rabbit anti-GAPDH loading control) were incubated 1 hour at room temperature at 1/1000 dilution and 1/200,000 dilution respectively. Blots were developed with Goat Anti-Rabbit IgG, (H+L), Peroxidase conjugated (ab97051) secondary antibody at 1/100,000 dilution for 1 hour at room temperature before imaging. The blot was developed on a BIO-RAD® ChemiDoc™ MP instrument using the ECL technique.

Degraded fragments (29-97kDa) of SP1 have been descried in the literature (PMID : 10329728).

All lanes:

Western blot - Anti-SP1 antibody [EPR22648-50] - ChIP Grade (ab231778) at 1/1000 dilution

Lane 1:

Wild-type HAP1 whole cell lysate at 20 µg

Lane 2:

SP1 knockout HAP1 whole cell lysate at 20 µg

Lane 3:

HeLa (human cervix adenocarcinoma epithelial cell), whole cell lysate at 20 µg

Lane 4:

293T (human embryonic kidney epithelial cell) whole cell lysate at 20 µg

Predicted band size: 81 kDa

Observed band size: 98 kDa

false

Exposure time: 8s

Western blot - Anti-SP1 antibody [EPR22648-50] - ChIP Grade (AB231778)
  • WB

Lab

Western blot - Anti-SP1 antibody [EPR22648-50] - ChIP Grade (AB231778)

Lanes 1-2 : Merged signal (red and green). Green - ab231778 observed at 100 kDa. Red - loading control ab8245 observed at 37 kDa.

ab231778 Anti-SP1 antibody [EPR22648-50] was shown to specifically react with SP1 in wild-type HeLa cells. Loss of signal was observed when knockout cell line ab265519 (knockout cell lysate ab257698) was used. Wild-type and SP1 knockout samples were subjected to SDS-PAGE. ab231778 and Anti-GAPDH antibody [6C5] - Loading Control (ab8245) were incubated overnight at 4°C at 1 in 1000 and 1 in 20000 dilution respectively. Blots were developed with Goat anti-Rabbit IgG H&L (IRDye® 800CW) preadsorbed (ab216773) and Goat anti-Mouse IgG H&L (IRDye® 680RD) preadsorbed (ab216776) secondary antibodies at 1 in 20000 dilution for 1 hour at room temperature before imaging.

All lanes:

Western blot - Anti-SP1 antibody [EPR22648-50] - ChIP Grade (ab231778) at 1/1000 dilution

Lane 1:

Wild-type HeLa cell lysate at 20 µg

Lane 2:

SP1 knockout HeLa cell lysate at 20 µg

Lane 2:

Western blot - Human SP1 knockout HeLa cell line (<a href='/en-us/products/cell-lines/human-sp1-knockout-hela-cell-line-ab265519'>ab265519</a>)

Predicted band size: 81 kDa

Observed band size: 100 kDa

false

Western blot - Anti-SP1 antibody [EPR22648-50] - ChIP Grade (AB231778)
  • WB

Lab

Western blot - Anti-SP1 antibody [EPR22648-50] - ChIP Grade (AB231778)

Western blot : Rabbit Monoclonal[EPR22648-50] to SP1 ab231778 staining at 1/1000 dilution, shown in green; Mouse anti GAPDH (ab8245) loading control staining at 1/20,000 dilution, shown in magenta. A band was observed at 90 kDa in Wild-type MCF7 cell lysates with no signal observed at this size in SP1 knockout MCF7 cell line. To generate this image, samples were run on an SDS-PAGE gel then transferred onto a nitrocellulose membrane. Membranes were blocked in 3pc Milk in TBS-0.1 % Tween® 20 (TBS-T) before incubation with primary antibodies overnight at 4°C. Blots were washed four times in TBS-T, incubated with secondary antibodies for 1 h at room temperature, washed again four times then imaged. Secondary antibodies used were Goat anti-Rabbit 800CW & Goat anti-Mouse 680RD at 1/20,000 dilution.

All lanes:

Western blot - Anti-SP1 antibody [EPR22648-50] - ChIP Grade (ab231778) at 1/1000 dilution

Lane 1:

Wild-type MCF7 at 20 µg

Lane 2:

Western blot - Human SP1 knockout MCF7 cell line (ab287770) at 20 µg

Lane 3:

HeLa at 20 µg

Lane 4:

Ramos at 20 µg

Secondary

All lanes:

Goat anti-Rabbit 800CW & Goat anti-Mouse 680RD at 1/20000 dilution

Predicted band size: 81 kDa

Observed band size: 90 kDa

false

ChIC/CUT&RUN sequencing - Anti-SP1 antibody [EPR22648-50] - ChIP Grade (AB231778)
  • ChIC/CUT&RUN-seq

Supplier Data

ChIC/CUT&RUN sequencing - Anti-SP1 antibody [EPR22648-50] - ChIP Grade (AB231778)

ChIC/CUT&RUN was performed using pAG-MNase at a final concentration of 700 ng/mL. 2.5 x 105 Human SP1 knockout HeLa cells (ab265519) over expressing either mNeonGreen or mNeonGreen-SP1 were used along with 5 μg of ab321887[EPR28835-76]. Assay quality control was conducted using 5 μg anti-SP1(ab231778) on the same cell lines. The resulting DNA was sequenced on the Illumina NovaSeq 6000 to a depth of 10 million reads. The negative IgG control ab172730 is also shown.

The University of Geneva owns patents relevant to ChIC (Chromatin Immuno-Cleavage) methods.

ChIC/CUT&RUN sequencing - Anti-SP1 antibody [EPR22648-50] - ChIP Grade (AB231778)
  • ChIC/CUT&RUN-seq

Supplier Data

ChIC/CUT&RUN sequencing - Anti-SP1 antibody [EPR22648-50] - ChIP Grade (AB231778)

ChIC/CUT&RUN was performed using a pAG-MNAse at a final concentration of 700 ng/mL. 2.5X10^5 of Human wild-type HeLa cell line (ab255928) or Human SP1 knockout HeLa cell line (ab265519) were used along with 5µg of ab231778 [EPR22648-50]. Assay Quality Control was conducted using 5µg Anti-CTCF (ab188408) on the same cell lines. The resulting DNA was sequenced on the Illumina NovaSeq 6000 to a depth of 10 million reads. The negative IgG control ab172730 is also shown. Additional screenshots of mapped reads can be found in the Protocol booklet in the Product Protocol section. The University of Geneva owns patents relevant to ChIC (Chromatin Immuno-Cleavage) methods.

ChIC/CUT&RUN sequencing - Anti-SP1 antibody [EPR22648-50] - ChIP Grade (AB231778)
  • ChIC/CUT&RUN-seq

Supplier Data

ChIC/CUT&RUN sequencing - Anti-SP1 antibody [EPR22648-50] - ChIP Grade (AB231778)

ChIC/CUT&RUN was performed using pAG-MNase at a final concentration of 700 ng/mL. 2.5 x 105 Human SP1 knockout HeLa cells (ab265519) over expressing either mNeonGreen or mNeonGreen-SP1 were used along with 5 μg of ab321887[EPR28835-76]. Assay quality control was conducted using 5 μg anti-SP1(ab231778) on the same cell lines. The resulting DNA was sequenced on the Illumina NovaSeq 6000 to a depth of 10 million reads. The negative IgG control ab172730 is also shown.

The University of Geneva owns patents relevant to ChIC (Chromatin Immuno-Cleavage) methods.

ChIC/CUT&RUN sequencing - Anti-SP1 antibody [EPR22648-50] - ChIP Grade (AB231778)
  • ChIC/CUT&RUN-seq

Supplier Data

ChIC/CUT&RUN sequencing - Anti-SP1 antibody [EPR22648-50] - ChIP Grade (AB231778)

ChIC/CUT&RUN was performed using pAG-MNase at a final concentration of 700 ng/mL. 2.5 x 105 Human SP1 knockout HeLa cells (ab265519) over expressing either mNeonGreen or mNeonGreen-SP1 were used along with 5 μg of ab321887[EPR28835-76]. Assay quality control was conducted using 5 μg anti-SP1(ab231778) on the same cell lines. The resulting DNA was sequenced on the Illumina NovaSeq 6000 to a depth of 10 million reads. The negative IgG control ab172730 is also shown.

The University of Geneva owns patents relevant to ChIC (Chromatin Immuno-Cleavage) methods.

Western blot - Anti-SP1 antibody [EPR22648-50] - ChIP Grade (AB231778)
  • WB

Supplier Data

Western blot - Anti-SP1 antibody [EPR22648-50] - ChIP Grade (AB231778)

Blocking and diluting buffer and concentration : 5% NFDM/TBST.

In Western blot, Anti-GAPDH antibody [EPR16891] - Loading Control (ab181602) staining at 1/200000 dilution.

In Western blot, Anti-6X His tag® antibody [EPR20547] - ChIP Grade (ab213204) staining at 1/5000 dilution.

In Western blot, Anti-SP1 antibody [EPR22648-50] - ChIP Grade (ab231778) staining at 1/5000 dilution.

All lanes:

Western blot - Anti-mNeonGreen antibody [EPR28835-76] (<a href='/en-us/products/primary-antibodies/mneongreen-antibody-epr28835-76-ab321887'>ab321887</a>) at 1/1000 dilution

Lane 1:

SP1 knockout HeLa (human cervical adenocarcinoma epithelial cell) whole cell lysate at 20 µg

Lane 2:

SP1 knockout HeLa cells transfected with a mNeonGreen-GPGPG-SP1 expression vector containing no His-tag&reg;, whole cell lysate at 20 µg

Lane 3:

SP1 knockout HeLa cells transfected with a mNeonGreen expression vector containing a myc-His-tag&reg;, whole cell lysate at 20 µg

Secondary

All lanes:

Western blot - Goat Anti-Rabbit IgG H&L (HRP) (<a href='/en-us/products/secondary-antibodies/goat-rabbit-igg-h-l-hrp-ab97051'>ab97051</a>) at 1/20000 dilution

Observed band size: 36 kDa,133 kDa,35 kDa

false

Exposure time: 81s

  • Carrier free

    Anti-SP1 antibody [EPR22648-50] - BSA and Azide free

Key facts

Host species

Rabbit

Clonality

Monoclonal

Clone number

EPR22648-50

Isotype

IgG

Carrier free

No

Reacts with

Human

Applications

IP, ChIP-seq, ChIP, IHC-P, WB, ChIC/CUT&RUN-seq, ICC/IF, Flow Cyt (Intra)

applications

Immunogen

The exact immunogen used to generate this antibody is proprietary information.

Reactivity data

{ "title": "Reactivity Data", "filters": { "stats": ["", "Species", "Dilution Info", "Notes"], "tabs": { "all-applications": {"fullname" : "All Applications", "shortname": "All Applications"}, "ChICCUTRUNseq" : {"fullname" : "ChIC/CUT&RUN sequencing", "shortname":"ChIC/CUT&RUN-seq"}, "IP" : {"fullname" : "Immunoprecipitation", "shortname":"IP"}, "ChIP" : {"fullname" : "ChIP", "shortname":"ChIP"}, "WB" : {"fullname" : "Western blot", "shortname":"WB"}, "ICCIF" : {"fullname" : "Immunocytochemistry/ Immunofluorescence", "shortname":"ICC/IF"}, "ChIPseq" : {"fullname" : "ChIP-sequencing", "shortname":"ChIP-seq"}, "FlowCytIntra" : {"fullname" : "Flow Cytometry (Intracellular)", "shortname":"Flow Cyt (Intra)"}, "IHCP" : {"fullname" : "Immunohistochemistry (Formalin/PFA-fixed paraffin-embedded sections)", "shortname":"IHC-P"} }, "product-promise": { "all": "all", "testedAndGuaranteed": "tested", "guaranteed": "expected", "predicted": "predicted", "notRecommended": "not-recommended" } }, "values": { "Human": { "ChICCUTRUNseq-species-checked": "testedAndGuaranteed", "ChICCUTRUNseq-species-dilution-info": "5 µg", "ChICCUTRUNseq-species-notes": "<p></p>", "IP-species-checked": "testedAndGuaranteed", "IP-species-dilution-info": "1/30", "IP-species-notes": "<p></p>", "ChIP-species-checked": "testedAndGuaranteed", "ChIP-species-dilution-info": "5 µg for 25 µg chromatin", "ChIP-species-notes": "<p></p>", "WB-species-checked": "testedAndGuaranteed", "WB-species-dilution-info": "1/1000", "WB-species-notes": "<p></p>", "ICCIF-species-checked": "testedAndGuaranteed", "ICCIF-species-dilution-info": "1/100", "ICCIF-species-notes": "<p></p>", "ChIPseq-species-checked": "testedAndGuaranteed", "ChIPseq-species-dilution-info": "4 µg for 30 µg chromatin", "ChIPseq-species-notes": "<p></p>", "FlowCytIntra-species-checked": "testedAndGuaranteed", "FlowCytIntra-species-dilution-info": "1/60", "FlowCytIntra-species-notes": "<p></p>", "IHCP-species-checked": "testedAndGuaranteed", "IHCP-species-dilution-info": "1/500", "IHCP-species-notes": "<p>Heat mediated antigen retrieval with Tris-EDTA buffer (pH 9.0, epitope retrieval solution 2) for 20mins.</p>" } } }

Product details

What is this antibody validated in?
Anti-SP1 antibody [EPR22648-50] - ChIP Grade (ab231778) is a rabbit recombinant monoclonal antibody and is validated for use in Western Blot (WB), Flow Cytometry (Intra), Flow Cytometry (Flow Cyt), Immunoprecipitation (IP), Immunohistochemistry (IHC-P), Immunocytochemistry/immunofluorescence (ICC/IF), ChIP in Human samples.

What is the molecular weight of SP1?
Anti-SP1 [EPR22648-50] - ChIP Grade (ab231778) specifically detects a band for SP1 (UniProt: P08047) at a molecular weight of 81kDa.

Trusted by the scientific community
Anti-SP1 [EPR22648-50] - ChIP Grade (ab231778) was first used in a scientific publication in 2019 and has been cited over 20 times in peer-reviewed journals.

Trial sizes available!
Test your antibody or perform pre-screening before committing to a larger quantity. Sold in 10µl. Discover our selection of trial-size antibodies.

Specificity confirmed
The specificity of Anti-SP1 antibody [EPR22648-50] - ChIP Grade (ab231778) has been confirmed by Western blot testing in SP1 Knockout HAP1 cell line, ab265519.

Other related products
We have a range of other formats of antibody clone [EPR22648-50] also available for your convenience: ab231778, Carrier free - ab255289

Patented technology
Our RabMAb® technology is a patented hybridoma-based technology for making rabbit monoclonal antibodies. For details on our patents, please refer to RabMAb® patents.

What are the advantages of a recombinant monoclonal antibody?
This product is a recombinant monoclonal antibody, which offers several advantages including:

  • - High batch-to-batch consistency and reproducibility
  • - Improved sensitivity and specificity
  • - Long-term security of supply
  • - Animal-free batch production

For more information, read more on recombinant antibodies.

Properties and storage information

Form
Liquid
Purification technique
Affinity purification Protein A
Storage buffer
pH: 7.2 - 7.4 Preservative: 0.01% Sodium azide Constituents: PBS, 40% Glycerol (glycerin, glycerine), 0.05% BSA
Shipped at conditions
Blue Ice
Appropriate short-term storage duration
1-2 weeks
Appropriate short-term storage conditions
+4°C
Appropriate long-term storage conditions
-20°C
Aliquoting information
Upon delivery aliquot
Storage information
Avoid freeze / thaw cycle

Product protocols

For this product, it's our understanding that no specific protocols are required. You can visit:

Target data

Transcription factor that can activate or repress transcription in response to physiological and pathological stimuli. Binds with high affinity to GC-rich motifs and regulates the expression of a large number of genes involved in a variety of processes such as cell growth, apoptosis, differentiation and immune responses. Highly regulated by post-translational modifications (phosphorylations, sumoylation, proteolytic cleavage, glycosylation and acetylation). Binds also the PDGFR-alpha G-box promoter. May have a role in modulating the cellular response to DNA damage. Implicated in chromatin remodeling. Plays an essential role in the regulation of FE65 gene expression. In complex with ATF7IP, maintains telomerase activity in cancer cells by inducing TERT and TERC gene expression. Isoform 3 is a stronger activator of transcription than isoform 1. Positively regulates the transcription of the core clock component BMAL1 (PubMed : 10391891, PubMed : 11371615, PubMed : 11904305, PubMed : 14593115, PubMed : 16377629, PubMed : 16478997, PubMed : 16943418, PubMed : 17049555, PubMed : 18171990, PubMed : 18199680, PubMed : 18239466, PubMed : 18513490, PubMed : 18619531, PubMed : 19193796, PubMed : 20091743, PubMed : 21046154, PubMed : 21798247). Plays a role in the recruitment of SMARCA4/BRG1 on the c-FOS promoter. Plays a role in protecting cells against oxidative stress following brain injury by regulating the expression of RNF112 (By similarity).
See full target information SP1

Publications (45)

Recent publications for all applications. Explore the full list and refine your search

Nucleic acids research 53: PubMed40966493

2025

Molecular recognition and effects of a benzothiazole derivative targeting the MYC G-quadruplex.

Applications

Unspecified application

Species

Unspecified reactive species

Xiao Ni,Xiao-Dong Hu,Wei Long,Wenxian Lan,Chunxi Wang,Wing-Leung Wong,Chunyang Cao

Molecular medicine reports 32: PubMed40709397

2025

Pan‑cancer analysis of the carcinogenic role of WSB2 in human tumors.

Applications

Unspecified application

Species

Unspecified reactive species

Yingzi Deng,Yifei Li,Ruobing Li,Xiaohui Guo,Yan Liu,Shuqing Wang,Juan Zhang,Mi Li,Lina Zhao,Haifeng Cai,Yunfeng Zhang,Fen Hu

Scientific reports 15:16205 PubMed40346122

2025

SHP1 and its downstream p38/SP1/PI3K/YAP/Notch-1 signaling in trophoblast cells suppressed the progression of Preeclampsia via inhibiting proliferation of SMCs.

Applications

Unspecified application

Species

Unspecified reactive species

Yan An,Chenyuan Cao,Shaosong Sun,Hongli Wu,Jinzhi Zhang,Rui Li,Yakun Zhao

Journal of translational medicine 23:235 PubMed40016776

2025

Irradiation-responsive PRDM10-DT modulates the angiogenic response in human NSCLC cells in an SP1-dependent manner via the miR-663a/TGF-β1 axis.

Applications

Unspecified application

Species

Unspecified reactive species

Hao Huang,Ying Xu,Zi Guo,Miaomiao Zhang,Wanshi Li,Yidan Song,Jing Nie,Wentao Hu,Tom K Hei,Guangming Zhou

Cell death & disease 16:54 PubMed39881131

2025

SP-1-activated LINC01016 overexpression promotes gastric cancer invasion and metastasis through inhibiting EIF4A3-mediated MMP9 mRNA decay.

Applications

Unspecified application

Species

Unspecified reactive species

Ying Sun,Hui Zhang,Duan-Bo Shi,Peng Gao

Acta pharmaceutica Sinica. B 14:5479-5492 PubMed39807328

2025

Controlling tumor progression and recurrence in mice through combined treatment with a PD-L1 inhibitor and a designer strain that delivers GM-CSF.

Applications

Unspecified application

Species

Unspecified reactive species

Heung Jin Jeon,Daejin Lim,EunA So,Solbi Kim,Jae-Ho Jeong,Miryoung Song,Hyo-Jin Lee

Scientific reports 14:30945 PubMed39730678

2024

CpG hypomethylation at proximal promoter and 5'UTR along with IL6 signaling loop associates with MYD88 upregulation in epithelial ovarian cancer.

Applications

Unspecified application

Species

Unspecified reactive species

Junyang Li,Bingjie Mei,Yi Zhu,Jianmei Huang,Meiying Li,Dengfeng Wang,Jianming Huang,Guonan Zhang

Proteome science 22:13 PubMed39633431

2024

LC-MS-based quantitation of proteomic changes induced by Norcantharidin in MTB-Treated macrophages.

Applications

Unspecified application

Species

Unspecified reactive species

Yi-Lin Wu,Yuan-Ting Li,Gan-Bin Liu,Jin-Lin Wu,Xiao-Ran Liu,Xin-Xuan Gao,Qi-Dan Huang,Jin Liang,Jia-Yi Ouyang,Yi-Ran Ding,Jun-Yi Wu,Yuan-Bin Lu,Yu-Chi Gao,Xiao-Zhen Cai,Jun-Ai Zhang

Revista de investigacion clinica; organo del Hospital de Enfermedades de la Nutricion 76:185-194 PubMed39419019

2024

LINC01614 activated by SP1 promoted malignant behavior of triple-negative breast cancer cells via the WNT/b-Catenin signaling pathway.

Applications

Unspecified application

Species

Unspecified reactive species

Tao Chen,Kenzi Shi,Shengrong Sun

Cell death and differentiation 31:592-604 PubMed38514847

2024

Retinoblastoma-associated protein is important for TRIM24-mediated activation of the mTOR signaling pathway through DUSP2 action in prostate cancer.

Applications

Unspecified application

Species

Unspecified reactive species

Da Ren,Wei Li,Ruijiang Zeng,Xinlin Liu,Huaiyuan Liang,Wei Xiong,Chunguang Yang,Xin Jin
View all publications
chicCutRunSequencingBooklet
en
chipSequencingBooklet
en

Product promise

We are committed to supporting your work with high-quality reagents, and we're here for you every step of the way. In the unlikely event that one of our products does not perform as expected, you're protected by our Product Promise.
For full details, please see our Terms & Conditions

Please note: All products are 'FOR RESEARCH USE ONLY. NOT FOR USE IN DIAGNOSTIC OR THERAPEUTIC PROCEDURES'.

For licensing inquiries, please contact partnerships@abcam.com