JavaScript is disabled in your browser. Please enable JavaScript to view this website.
AB124804

Anti-SP1 antibody [EPR6662(B)]

  • Recombinant
  • KO Validated
  • Advanced Validation
  • RabMAb
  • What is this?

5

(1 Review)

|

(43 Publications)

Rabbit Recombinant Monoclonal SP1 antibody. Suitable for ChIC/CUT&RUN-seq, IHC-P, WB, ICC/IF, Flow Cyt (Intra) and reacts with Human samples. Cited in 43 publications.

View Alternative Names

TSFP1, SP1, Transcription factor Sp1

11 Images
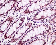
Immunohistochemistry (Formalin/PFA-fixed paraffin-embedded sections) - Anti-SP1 antibody [EPR6662(B)] (AB124804)
  • IHC-P

Unknown

Immunohistochemistry (Formalin/PFA-fixed paraffin-embedded sections) - Anti-SP1 antibody [EPR6662(B)] (AB124804)

Immunohistochemistry (Formalin/PFA-fixed paraffin-embedded sections) analysis of human gastric carcinoma tissue sections labeling SP1 with Purified ab124804 at 1 : 2000 dilution (0.41 µg/ml). Perform heat mediated antigen retrieval using ab93684 (Tris/EDTA buffer, pH 9.0). Purified)ImmunoHistoProbe one step HRP Polymer (ready to use) was used for detection. Negative control : PBS instead of the primary antibody. Hematoxylin was used as a counterstain.

Immunocytochemistry/ Immunofluorescence - Anti-SP1 antibody [EPR6662(B)] (AB124804)
  • ICC/IF

Unknown

Immunocytochemistry/ Immunofluorescence - Anti-SP1 antibody [EPR6662(B)] (AB124804)

Immunocytochemistry/ Immunofluorescence analysis of HeLa (Human cervix adenocarcinoma epithelial cell) cells labeling SP1 with Purified ab124804 at 1 : 200 dilution (4 µg/ml). Cells were fixed in 4% Paraformaldehyde and permeabilized with 0.1% tritonX-100. Cells were counterstained with None. Goat anti rabbit IgG (Alexa Fluor® 488, ab150077) was used as the secondary antibody at 1 : 1000 (2 µg/ml) dilution. DAPI (blue) was used as nuclear counterstain. PBS instead of the primary antibody was used as the secondary antibody only control.

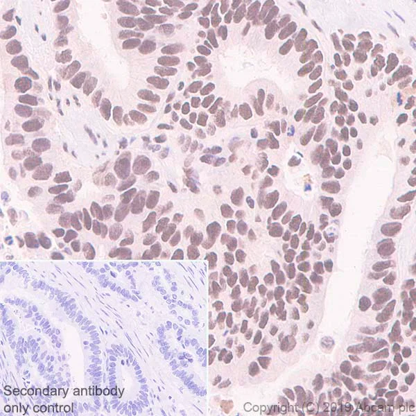
Immunohistochemistry (Formalin/PFA-fixed paraffin-embedded sections) - Anti-SP1 antibody [EPR6662(B)] (AB124804)
  • IHC-P

Unknown

Immunohistochemistry (Formalin/PFA-fixed paraffin-embedded sections) - Anti-SP1 antibody [EPR6662(B)] (AB124804)

ab124804, at 1/100 dilution staining SP1 in paraffin-embedded Human colon tissue, by Immunohistochemistry.

Perform heat mediated antigen retrieval before commencing with IHC staining protocol.

Flow Cytometry (Intracellular) - Anti-SP1 antibody [EPR6662(B)] (AB124804)
  • Flow Cyt (Intra)

Unknown

Flow Cytometry (Intracellular) - Anti-SP1 antibody [EPR6662(B)] (AB124804)

Intracellular Flow Cytometry analysis of HeLa (Human cervix adenocarcinoma epithelial cell) cells labeling SP1 with Purified ab124804 at 1/100 dilution (10 μg/ml) (Red). Cells were fixed with 4% Paraformaldehyde and permeabilised with 90% Methanol. A Goat anti rabbit IgG (Alexa Fluor® 488, ab150077) secondary antibody was used at 1/2000. Isotype control - Rabbit monoclonal IgG (Black). Unlabeled control - Cell without incubation with primary antibody and secondary antibody (Blue).

Western blot - Anti-SP1 antibody [EPR6662(B)] (AB124804)
  • WB

Lab

Western blot - Anti-SP1 antibody [EPR6662(B)] (AB124804)

Lanes 1-2 : Merged signal (red and green). Green - ab124804 observed at 100 kDa. Red - loading control ab8245 observed at 37 kDa.

ab124804 Anti-SP1 antibody [EPR6662(B)] was shown to specifically react with SP1 in wild-type HeLa cells. Loss of signal was observed when knockout cell line ab265519 (knockout cell lysate ab257698) was used. Wild-type and SP1 knockout samples were subjected to SDS-PAGE. ab124804 and Anti-GAPDH antibody [6C5] - Loading Control (ab8245) were incubated overnight at 4°C at 1 in 5000 and 1 in 20000 dilution respectively. Blots were developed with Goat anti-Rabbit IgG H&L (IRDye® 800CW) preadsorbed (ab216773) and Goat anti-Mouse IgG H&L (IRDye® 680RD) preadsorbed (ab216776) secondary antibodies at 1 in 20000 dilution for 1 hour at room temperature before imaging.

All lanes:

Western blot - Anti-SP1 antibody [EPR6662(B)] (ab124804) at 1/5000 dilution

Lane 1:

Wild-type HeLa cell lysate at 20 µg

Lane 2:

SP1 knockout HeLa cell lysate at 20 µg

Lane 2:

Western blot - Human SP1 knockout HeLa cell line (<a href='/en-us/products/cell-lines/human-sp1-knockout-hela-cell-line-ab265519'>ab265519</a>)

Predicted band size: 81 kDa

Observed band size: 100 kDa

false

Western blot - Anti-SP1 antibody [EPR6662(B)] (AB124804)
  • WB

Lab

Western blot - Anti-SP1 antibody [EPR6662(B)] (AB124804)

Western blot : Rabbit Monoclonal[EPR6662(B)] to SP1 ab124804 staining at 1/1000 dilution, shown in green; Mouse anti GAPDH (ab8245) loading control staining at 1/20,000 dilution, shown in magenta. A band was observed at 90 kDa in Wild-type MCF7 cell lysates with no signal observed at this size in SP1 knockout MCF7 cell line. To generate this image, samples were run on an SDS-PAGE gel then transferred onto a nitrocellulose membrane. Membranes were blocked in 3pc Milk in TBS-0.1 % Tween® 20 (TBS-T) before incubation with primary antibodies overnight at 4°C. Blots were washed four times in TBS-T, incubated with secondary antibodies for 1 h at room temperature, washed again four times then imaged. Secondary antibodies used were Goat anti-Rabbit 800CW & Goat anti-Mouse 680RD at 1/20,000 dilution.

All lanes:

Western blot - Anti-SP1 antibody [EPR6662(B)] (ab124804) at 1/1000 dilution

Lane 1:

Wild-type MCF7 at 20 µg

Lane 2:

SP1 knockout MCF7 at 20 µg

Lane 2:

Western blot - Human SP1 knockout MCF7 cell line (ab287770) at 20 µg

Lane 3:

HeLa at 20 µg

Lane 4:

Ramos at 20 µg

Secondary

All lanes:

Goat anti-Rabbit 800CW & Goat anti-Mouse 680RD at 1/20000 dilution

Predicted band size: 81 kDa

Observed band size: 90 kDa

false

Western blot - Anti-SP1 antibody [EPR6662(B)] (AB124804)
  • WB

Lab

Western blot - Anti-SP1 antibody [EPR6662(B)] (AB124804)

We are unsure how to define the extra bands.

All lanes:

Western blot - Anti-SP1 antibody [EPR6662(B)] (ab124804) at 1/5000 dilution

All lanes:

HeLa (Human cervix adenocarcinoma epithelial cell) whole cell lysates at 20 µg

Secondary

All lanes:

Western blot - Goat Anti-Rabbit IgG H&L (HRP) (<a href='/en-us/products/secondary-antibodies/goat-rabbit-igg-h-l-hrp-ab97051'>ab97051</a>) at 1/20000 dilution

Predicted band size: 81 kDa

Observed band size: 100 kDa

false

Western blot - Anti-SP1 antibody [EPR6662(B)] (AB124804)
  • WB

Lab

Western blot - Anti-SP1 antibody [EPR6662(B)] (AB124804)

We are unsure how to define the extra bands.

All lanes:

Western blot - Anti-SP1 antibody [EPR6662(B)] (ab124804) at 1/5000 dilution

All lanes:

Ramos (Human Burkitt's lymphoma B lymphocyte) whole cell lysates at 15 µg

Secondary

All lanes:

Western blot - Goat Anti-Rabbit IgG H&L (HRP) (<a href='/en-us/products/secondary-antibodies/goat-rabbit-igg-h-l-hrp-ab97051'>ab97051</a>) at 1/20000 dilution

Predicted band size: 81 kDa

Observed band size: 100 kDa

false

ChIC/CUT&RUN sequencing - Anti-SP1 antibody [EPR6662(B)] (AB124804)
  • ChIC/CUT&RUN-seq

Supplier Data

ChIC/CUT&RUN sequencing - Anti-SP1 antibody [EPR6662(B)] (AB124804)

ChIC/CUT&RUN was performed using a pAG-MNAse at a final concentration of 700 ng/mL. 2.5X10^5 of Human wild-type HeLa cell line (ab255928) or Human SP1 knockout HeLa cell line (ab265519) were used along with 5µg of ab124804 [EPR6662(B)]. Assay Quality Control was conducted using 5µg Anti-CTCF (ab188408) on the same cell lines. The resulting DNA was sequenced on the Illumina NovaSeq 6000 to a depth of 10 million reads. The negative IgG control ab172730 is also shown. Additional screenshots of mapped reads can be found in the Protocol booklet in the Product Protocol section. The University of Geneva owns patents relevant to ChIC (Chromatin Immuno-Cleavage) methods.

OI-RD Scanning - Anti-SP1 antibody [EPR6662(B)] (AB124804)
  • OI-RD Scanning

Unknown

OI-RD Scanning - Anti-SP1 antibody [EPR6662(B)] (AB124804)

We have systematically measured KD (the equilibrium dissociation constant between the antibody and its antigen), of more than 840 recombinant antibodies to assess not only their individual KD values but also to see the average affinity of antibody. Based on the comparison with published literature values for mouse monoclonal antibodies, Recombinant antibodies appear to be on average 1-2 order of magnitude higher affinity.

Western blot - Anti-SP1 antibody [EPR6662(B)] (AB124804)
  • WB

CiteAb

Western blot - Anti-SP1 antibody [EPR6662(B)] (AB124804)

SP1 western blot using anti-SP1 antibody [EPR6662(B)] ab124804. Publication image and figure legend from Shi, M., An, G., et al., 2023, Cancers (Basel), PubMed 37173968.

ab124804 was used in this publication in western blot. This may not be the same as the application(s) guaranteed by Abcam. For a full list of applications guaranteed by Abcam for ab124804 please see the product overview.

Correlation between UVRAG expression and therapeutic resistance. (A) Relative expression of UVRAG in HCT8, HCT8-5Fu, and HCT8-60Gy cells. (B) The sensitivity of HCT8-CON and HCT8-UVRAG cells to radiotherapy. (C) UVRAG knockdown increased 5-Fu sensitivity. (D) UVRAG overexpression decreased 5-Fu sensitivity. (E) Relative mRNA expression of UVRAG in HCT116 and HCT116-self cells. (F) Relative mRNA expression of UVRAG in HCT116 DCLK- and HCT116 DCLK+ cells. (G) Western blot of PD-L1, UVARG, ABCG2, BMI1, and SP1 after upregulating UVARG or downregulating UVRAG. The uncropped blots are shown in Figure S1. (H) Spheroid formation in UVRAG overexpressed HCT116 and its control cells. (I) Stem cell score evaluated via ssGSEA in patients with UVRAG higher expression and UVARG lower expression. Independent-samples t-test (A,E,F). Mann Whitney U test (I). * p < 0.05, ** p < 0.01.

false

  • 578 PE

    PE Anti-SP1 antibody [EPR6662(B)]

  • 660 APC

    APC Anti-SP1 antibody [EPR6662(B)]

  • HRP

    HRP Anti-SP1 antibody [EPR6662(B)]

  • 617 Alexa Fluor® 594

    Alexa Fluor® 594 Anti-SP1 antibody [EPR6662(B)]

  • 603 Alexa Fluor® 568

    Alexa Fluor® 568 Anti-SP1 antibody [EPR6662(B)]

  • 519 Alexa Fluor® 488

    Alexa Fluor® 488 Anti-SP1 antibody [EPR6662(B)]

  • Carrier free

    Anti-SP1 antibody [EPR6662(B)] - BSA and Azide free

  • 665 Alexa Fluor® 647

    Alexa Fluor® 647 Anti-SP1 antibody [EPR6662(B)]

  • 565 Alexa Fluor® 555

    Alexa Fluor® 555 Anti-SP1 antibody [EPR6662(B)]

  • 775 Alexa Fluor® 750

    Alexa Fluor® 750 Anti-SP1 antibody [EPR6662(B)]

Key facts

Host species

Rabbit

Clonality

Monoclonal

Clone number

EPR6662(B)

Isotype

IgG

Carrier free

No

Reacts with

Human

Applications

Flow Cyt (Intra), IHC-P, WB, ICC/IF, ChIC/CUT&RUN-seq

applications

Immunogen

The exact immunogen used to generate this antibody is proprietary information.

Reactivity data

{ "title": "Reactivity Data", "filters": { "stats": ["", "Species", "Dilution Info", "Notes"], "tabs": { "all-applications": {"fullname" : "All Applications", "shortname": "All Applications"}, "ChICCUTRUNseq" : {"fullname" : "ChIC/CUT&RUN sequencing", "shortname":"ChIC/CUT&RUN-seq"}, "IHCP" : {"fullname" : "Immunohistochemistry (Formalin/PFA-fixed paraffin-embedded sections)", "shortname":"IHC-P"}, "IP" : {"fullname" : "Immunoprecipitation", "shortname":"IP"}, "WB" : {"fullname" : "Western blot", "shortname":"WB"}, "ICCIF" : {"fullname" : "Immunocytochemistry/ Immunofluorescence", "shortname":"ICC/IF"}, "FlowCytIntra" : {"fullname" : "Flow Cytometry (Intracellular)", "shortname":"Flow Cyt (Intra)"} }, "product-promise": { "all": "all", "testedAndGuaranteed": "tested", "guaranteed": "expected", "predicted": "predicted", "notRecommended": "not-recommended" } }, "values": { "Human": { "ChICCUTRUNseq-species-checked": "testedAndGuaranteed", "ChICCUTRUNseq-species-dilution-info": "5 µg", "ChICCUTRUNseq-species-notes": "<p></p>", "IHCP-species-checked": "testedAndGuaranteed", "IHCP-species-dilution-info": "1/100 - 1/250", "IHCP-species-notes": "<p>(Heat to 98°C, allow to cool for 10-20 minutes)</p>", "IP-species-checked": "notRecommended", "IP-species-dilution-info": "", "IP-species-notes": "<p></p>", "WB-species-checked": "testedAndGuaranteed", "WB-species-dilution-info": "1/1000 - 1/10000", "WB-species-notes": "<p></p>", "ICCIF-species-checked": "testedAndGuaranteed", "ICCIF-species-dilution-info": "1/100 - 1/250", "ICCIF-species-notes": "<p></p>", "FlowCytIntra-species-checked": "testedAndGuaranteed", "FlowCytIntra-species-dilution-info": "1/100", "FlowCytIntra-species-notes": "<p></p>" }, "Mouse": { "ChICCUTRUNseq-species-checked": "notRecommended", "ChICCUTRUNseq-species-dilution-info": "", "ChICCUTRUNseq-species-notes": "", "IHCP-species-checked": "notRecommended", "IHCP-species-dilution-info": "1/100 - 1/250", "IHCP-species-notes": "<p>(Heat to 98°C, allow to cool for 10-20 minutes)</p>", "IP-species-checked": "notRecommended", "IP-species-dilution-info": "", "IP-species-notes": "<p></p>", "WB-species-checked": "notRecommended", "WB-species-dilution-info": "1/1000 - 1/10000", "WB-species-notes": "<p></p>", "ICCIF-species-checked": "notRecommended", "ICCIF-species-dilution-info": "1/100 - 1/250", "ICCIF-species-notes": "<p></p>", "FlowCytIntra-species-checked": "notRecommended", "FlowCytIntra-species-dilution-info": "1/100", "FlowCytIntra-species-notes": "<p></p>" }, "Rat": { "ChICCUTRUNseq-species-checked": "notRecommended", "ChICCUTRUNseq-species-dilution-info": "", "ChICCUTRUNseq-species-notes": "", "IHCP-species-checked": "notRecommended", "IHCP-species-dilution-info": "1/100 - 1/250", "IHCP-species-notes": "<p>(Heat to 98°C, allow to cool for 10-20 minutes)</p>", "IP-species-checked": "notRecommended", "IP-species-dilution-info": "", "IP-species-notes": "<p></p>", "WB-species-checked": "notRecommended", "WB-species-dilution-info": "1/1000 - 1/10000", "WB-species-notes": "<p></p>", "ICCIF-species-checked": "notRecommended", "ICCIF-species-dilution-info": "1/100 - 1/250", "ICCIF-species-notes": "<p></p>", "FlowCytIntra-species-checked": "notRecommended", "FlowCytIntra-species-dilution-info": "1/100", "FlowCytIntra-species-notes": "<p></p>" } } }

Product details

Patented technology
Our RabMAb® technology is a patented hybridoma-based technology for making rabbit monoclonal antibodies. For details on our patents, please refer to RabMAb® patents.

What are the advantages of a recombinant monoclonal antibody?
This product is a recombinant monoclonal antibody, which offers several advantages including:

  • - High batch-to-batch consistency and reproducibility
  • - Improved sensitivity and specificity
  • - Long-term security of supply
  • - Animal-free batch production

For more information, read more on recombinant antibodies.

Properties and storage information

Form
Liquid
Purification technique
Affinity purification Protein A
Storage buffer
pH: 7.2 - 7.4 Preservative: 0.01% Sodium azide Constituents: PBS, 40% Glycerol (glycerin, glycerine), 0.05% BSA
Shipped at conditions
Blue Ice
Appropriate short-term storage conditions
+4°C
Appropriate long-term storage conditions
-20°C
Storage information
Stable for 12 months at -20°C

Product protocols

For this product, it's our understanding that no specific protocols are required. You can visit:

Target data

Transcription factor that can activate or repress transcription in response to physiological and pathological stimuli. Binds with high affinity to GC-rich motifs and regulates the expression of a large number of genes involved in a variety of processes such as cell growth, apoptosis, differentiation and immune responses. Highly regulated by post-translational modifications (phosphorylations, sumoylation, proteolytic cleavage, glycosylation and acetylation). Binds also the PDGFR-alpha G-box promoter. May have a role in modulating the cellular response to DNA damage. Implicated in chromatin remodeling. Plays an essential role in the regulation of FE65 gene expression. In complex with ATF7IP, maintains telomerase activity in cancer cells by inducing TERT and TERC gene expression. Isoform 3 is a stronger activator of transcription than isoform 1. Positively regulates the transcription of the core clock component BMAL1 (PubMed : 10391891, PubMed : 11371615, PubMed : 11904305, PubMed : 14593115, PubMed : 16377629, PubMed : 16478997, PubMed : 16943418, PubMed : 17049555, PubMed : 18171990, PubMed : 18199680, PubMed : 18239466, PubMed : 18513490, PubMed : 18619531, PubMed : 19193796, PubMed : 20091743, PubMed : 21046154, PubMed : 21798247). Plays a role in the recruitment of SMARCA4/BRG1 on the c-FOS promoter. Plays a role in protecting cells against oxidative stress following brain injury by regulating the expression of RNF112 (By similarity).
See full target information SP1

Publications (43)

Recent publications for all applications. Explore the full list and refine your search

Molecular metabolism 96:102136 PubMed40204014

2025

Estrogenic activity of E2-conjugated GLP-1 is mediated by intracellular endolysosomal acidification and estrone metabolism.

Applications

Unspecified application

Species

Unspecified reactive species

Callum Coupland,Na Sun,Ahmed Khalil,Özüm Ezgi Karaoglu,Arkadiusz Liskiewicz,Daniela Liskiewicz,Gerald Grandl,Seun Akindehin,Gandhari Maity,Bin Yang,Brian Finan,Patrick Knerr,Jonathan D Douros,Axel Walch,Richard DiMarchi,Matthias H Tschöp,Timo D Müller,Aaron Novikoff

JCI insight 10: PubMed40125551

2025

Piperlongumine overcomes osimertinib resistance via governing ubiquitination-modulated Sp1 turnover.

Applications

Unspecified application

Species

Unspecified reactive species

Ruirui Wang,Qiang Wang,Jinzhuang Liao,Xinfang Yu,Wei Li

Hereditas 162:44 PubMed40121492

2025

Activation of TRAF1 induced by USP7/SP1 exacerbates the severity of infantile pneumonia.

Applications

Unspecified application

Species

Unspecified reactive species

Ying Liu,Yilun Ji,Yu Zhang,Zhengsi Li

American journal of cancer research 14:4337-4352 PubMed39417168

2024

A novel NR4A2-HuR axis promotes pancreatic cancer growth and tumorigenesis that is inhibited by NR4A2 antagonists.

Applications

Unspecified application

Species

Unspecified reactive species

Sneha Johnson,Zuhua Yu,Xi Li,Mehrdad Zarei,Ali Vaziri-Gohar,Miok Lee,Srijana Upadhyay,Heng Du,Mahsa Zarei,Stephen Safe

Cell death & disease 15:608 PubMed39168971

2024

TAGLN2 induces resistance signature ISGs by activating AKT-YBX1 signal with dual pathways and mediates the IFN-related DNA damage resistance in gastric cancer.

Applications

Unspecified application

Species

Unspecified reactive species

Huiqin Zhuo,Jingjing Hou,Zhijun Hong,Shuqi Yu,Huifang Peng,Lihua Zhang,Wen Xie,Xuehui Hong

Journal of orthopaedic surgery and research 19:396 PubMed38982418

2024

SP1 regulates BMSC osteogenic differentiation through the miR-133a-3p/MAPK3 axis : SP1 regulates osteogenic differentiation of BMSCs.

Applications

Unspecified application

Species

Unspecified reactive species

Liying Zhong,Yehai Sun,Cong Wang,Runzhi Liu,Wenjuan Ru,Wei Dai,Ting Xiong,Aimin Zhong,Shundong Li

Cancer biology & medicine 21: PubMed38907517

2024

Amplifying colorectal cancer progression: impact of a PDIA4/SP1 positive feedback loop by circPDIA4 sponging miR-9-5p.

Applications

Unspecified application

Species

Unspecified reactive species

Yan Zhuang,Yiding Ai,Peng Li,Xin Yue,Yue Li,Luling Shan,Tongtong Wang,Peng Zhao,Xun Jin

Cell death & disease 15:192 PubMed38448411

2024

The RNA mA reader IGF2BP3 regulates NFAT1/IRF1 axis-mediated anti-tumor activity in gastric cancer.

Applications

Unspecified application

Species

Unspecified reactive species

Lichen Ge,Yalan Rui,Cheng Wang,Yingmin Wu,Hongsheng Wang,Junjun Wang

mBio 15:e0347923 PubMed38349188

2024

Sp1 facilitates continued HSV-1 gene expression in the absence of key viral transactivators.

Applications

Unspecified application

Species

Unspecified reactive species

Catherine N Sodroski,Hyung Suk Oh,Shu-Fan Chou,David M Knipe

Journal of translational medicine 21:307 PubMed37147632

2023

Sp1 promotes tumour progression by remodelling the mitochondrial network in cervical cancer.

Applications

Unspecified application

Species

Unspecified reactive species

Xu Xu,Xiaona Wang,Qihui Chen,Aman Zheng,Donglu Li,Ziqi Meng,Xinran Li,Hanchen Cai,Wangzhi Li,Shiyuan Huang,Fan Wang
View all publications
chicCutRunSequencingBooklet
en

Product promise

We are committed to supporting your work with high-quality reagents, and we're here for you every step of the way. In the unlikely event that one of our products does not perform as expected, you're protected by our Product Promise.
For full details, please see our Terms & Conditions

Please note: All products are 'FOR RESEARCH USE ONLY. NOT FOR USE IN DIAGNOSTIC OR THERAPEUTIC PROCEDURES'.

For licensing inquiries, please contact partnerships@abcam.com