JavaScript is disabled in your browser. Please enable JavaScript to view this website.
AB240001

Anti-SP1 antibody [EPR6662(B)] - BSA and Azide free

  • Recombinant
  • KO Validated
  • Advanced Validation
  • RabMAb
  • What is this?

Be the first to review this product! Submit a review

|

(1 Publication)

Rabbit Recombinant Monoclonal SP1 antibody. Carrier free. Suitable for ChIC/CUT&RUN-seq, IHC-P, WB, ICC/IF, Flow Cyt (Intra) and reacts with Human samples. Cited in 1 publication.

View Alternative Names

TSFP1, SP1, Transcription factor Sp1

8 Images
Immunocytochemistry/ Immunofluorescence - Anti-SP1 antibody [EPR6662(B)] - BSA and Azide free (AB240001)
  • ICC/IF

Unknown

Immunocytochemistry/ Immunofluorescence - Anti-SP1 antibody [EPR6662(B)] - BSA and Azide free (AB240001)

Immunocytochemistry/ Immunofluorescence analysis of HeLa (Human cervix adenocarcinoma epithelial cell) cells labeling SP1 with Purified ab124804 at 1 : 200 dilution (4 µg/ml). Cells were fixed in 4% Paraformaldehyde and permeabilized with 0.1% tritonX-100. Cells were counterstained with None. Goat anti rabbit IgG (Alexa Fluor® 488, ab150077) was used as the secondary antibody at 1 : 1000 (2 µg/ml) dilution. DAPI (blue) was used as nuclear counterstain. PBS instead of the primary antibody was used as the secondary antibody only control.
This data was developed using the same antibody clone in a different buffer formulation containing PBS, BSA, glycerol, and sodium azide (ab124804)

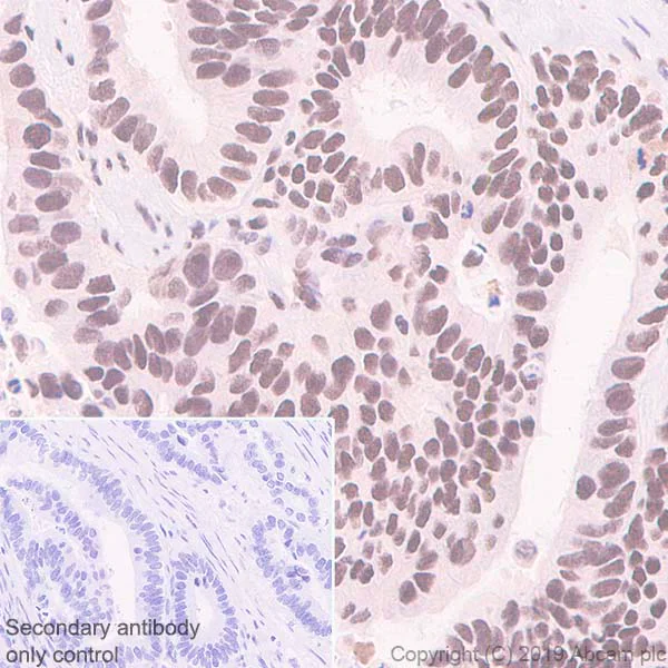
Immunohistochemistry (Formalin/PFA-fixed paraffin-embedded sections) - Anti-SP1 antibody [EPR6662(B)] - BSA and Azide free (AB240001)
  • IHC-P

Unknown

Immunohistochemistry (Formalin/PFA-fixed paraffin-embedded sections) - Anti-SP1 antibody [EPR6662(B)] - BSA and Azide free (AB240001)

ab124804, at 1/100 dilution staining SP1 in paraffin-embedded Human colon tissue, by Immunohistochemistry.

This data was developed using the same antibody clone in a different buffer formulation containing PBS, BSA, glycerol, and sodium azide (ab124804).

Perform heat mediated antigen retrieval before commencing with IHC staining protocol.

Flow Cytometry (Intracellular) - Anti-SP1 antibody [EPR6662(B)] - BSA and Azide free (AB240001)
  • Flow Cyt (Intra)

Unknown

Flow Cytometry (Intracellular) - Anti-SP1 antibody [EPR6662(B)] - BSA and Azide free (AB240001)

Intracellular Flow Cytometry analysis of HeLa (Human cervix adenocarcinoma epithelial cell) cells labeling SP1 with Purified ab124804 at 1/100 dilution (10 μg/ml) (Red). Cells were fixed with 4% Paraformaldehyde and permeabilised with 90% Methanol. A Goat anti rabbit IgG (Alexa Fluor® 488, ab150077) secondary antibody was used at 1/2000. Isotype control - Rabbit monoclonal IgG (Black). Unlabeled control - Cell without incubation with primary antibody and secondary antibody (Blue). This data was developed using the same antibody clone in a different buffer formulation containing PBS, BSA, glycerol, and sodium azide (ab124804)

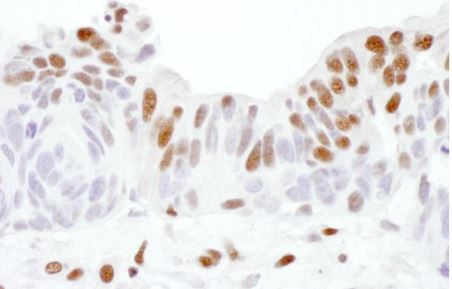
Immunohistochemistry (Formalin/PFA-fixed paraffin-embedded sections) - Anti-SP1 antibody [EPR6662(B)] - BSA and Azide free (AB240001)
  • IHC-P

Unknown

Immunohistochemistry (Formalin/PFA-fixed paraffin-embedded sections) - Anti-SP1 antibody [EPR6662(B)] - BSA and Azide free (AB240001)

Immunohistochemistry (Formalin/PFA-fixed paraffin-embedded sections) analysis of human gastric carcinoma tissue sections labeling SP1 with Purified ab124804 at 1 : 2000 dilution (0.41 µg/ml). Perform heat mediated antigen retrieval using ab93684 (Tris/EDTA buffer, pH 9.0). Purified)ImmunoHistoProbe one step HRP Polymer (ready to use) was used for detection. Negative control : PBS instead of the primary antibody. Hematoxylin was used as a counterstain.
This data was developed using the same antibody clone in a different buffer formulation containing PBS, BSA, glycerol, and sodium azide (ab124804)

Western blot - Anti-SP1 antibody [EPR6662(B)] - BSA and Azide free (AB240001)
  • WB

Lab

Western blot - Anti-SP1 antibody [EPR6662(B)] - BSA and Azide free (AB240001)

This data was developed using ab124804, the same antibody clone in a different buffer formulation.

Western blot : Rabbit Monoclonal[EPR6662(B)] to SP1 ab124804 staining at 1/1000 dilution, shown in green; Mouse anti GAPDH (ab8245) loading control staining at 1/20,000 dilution, shown in magenta. A band was observed at 90 kDa in Wild-type MCF7 cell lysates with no signal observed at this size in SP1 knockout MCF7 cell line. To generate this image, samples were run on an SDS-PAGE gel then transferred onto a nitrocellulose membrane. Membranes were blocked in 3pc Milk in TBS-0.1 % Tween® 20 (TBS-T) before incubation with primary antibodies overnight at 4°C. Blots were washed four times in TBS-T, incubated with secondary antibodies for 1 h at room temperature, washed again four times then imaged. Secondary antibodies used were Goat anti-Rabbit 800CW & Goat anti-Mouse 680RD at 1/20,000 dilution.

All lanes:

Western blot - Anti-SP1 antibody [EPR6662(B)] (<a href='/en-us/products/primary-antibodies/sp1-antibody-epr6662b-ab124804'>ab124804</a>) at 1/1000 dilution

Lane 1:

Wild-type MCF7 at 20 µg

Lane 2:

SP1 knockout MCF7 at 20 µg

Lane 2:

Western blot - Human SP1 knockout MCF7 cell line (ab287770) at 20 µg

Lane 3:

HeLa at 20 µg

Lane 4:

Ramos at 20 µg

Secondary

All lanes:

Goat anti-Rabbit 800CW & Goat anti-Mouse 680RD at 1/20000 dilution

Predicted band size: 81 kDa

Observed band size: 90 kDa

false

Western blot - Anti-SP1 antibody [EPR6662(B)] - BSA and Azide free (AB240001)
  • WB

Lab

Western blot - Anti-SP1 antibody [EPR6662(B)] - BSA and Azide free (AB240001)

This data was developed using the same antibody clone in a different buffer formulation (ab124804).

Lanes 1-2 : Merged signal (red and green). Green - ab124804 observed at 100 kDa. Red - loading control ab8245 observed at 37 kDa.

ab124804 Anti-SP1 antibody [EPR6662(B)] was shown to specifically react with SP1 in wild-type HeLa cells. Loss of signal was observed when knockout cell line ab265519 (knockout cell lysate ab257698) was used. Wild-type and SP1 knockout samples were subjected to SDS-PAGE. ab124804 and Anti-GAPDH antibody [6C5] - Loading Control (ab8245) were incubated overnight at 4°C at 1 in 5000 and 1 in 20000 dilution respectively. Blots were developed with Goat anti-Rabbit IgG H&L (IRDye® 800CW) preadsorbed (ab216773) and Goat anti-Mouse IgG H&L (IRDye® 680RD) preadsorbed (ab216776) secondary antibodies at 1 in 20000 dilution for 1 hour at room temperature before imaging.

All lanes:

Western blot - Anti-SP1 antibody [EPR6662(B)] (<a href='/en-us/products/primary-antibodies/sp1-antibody-epr6662b-ab124804'>ab124804</a>) at 1/5000 dilution

Lane 1:

Wild-type HeLa cell lysate at 20 µg

Lane 2:

SP1 knockout HeLa cell lysate at 20 µg

Lane 2:

Western blot - Human SP1 knockout HeLa cell line (<a href='/en-us/products/cell-lines/human-sp1-knockout-hela-cell-line-ab265519'>ab265519</a>)

Predicted band size: 81 kDa

Observed band size: 100 kDa

false

ChIC/CUT&RUN sequencing - Anti-SP1 antibody [EPR6662(B)] - BSA and Azide free (AB240001)
  • ChIC/CUT&RUN-seq

Supplier Data

ChIC/CUT&RUN sequencing - Anti-SP1 antibody [EPR6662(B)] - BSA and Azide free (AB240001)

ChIC/CUT&RUN was performed using a pAG-MNAse at a final concentration of 700 ng/mL. 2.5X10^5 of Human wild-type HeLa cell line (ab255928) or Human SP1 knockout HeLa cell line (ab265519) were used along with 5µg of ab124804 [EPR6662(B)]. Assay Quality Control was conducted using 5µg Anti-CTCF (ab188408) on the same cell lines. The resulting DNA was sequenced on the Illumina NovaSeq 6000 to a depth of 10 million reads. The negative IgG control ab172730 is also shown. Additional screenshots of mapped reads can be found in the Protocol booklet in the Product Protocol section. The University of Geneva owns patents relevant to ChIC (Chromatin Immuno-Cleavage) methods. This data was developed using the same antibody clone in a different buffer formulation (ab124804).

OI-RD Scanning - Anti-SP1 antibody [EPR6662(B)] - BSA and Azide free (AB240001)
  • OI-RD Scanning

Unknown

OI-RD Scanning - Anti-SP1 antibody [EPR6662(B)] - BSA and Azide free (AB240001)

We have systematically measured KD (the equilibrium dissociation constant between the antibody and its antigen), of more than 840 recombinant antibodies to assess not only their individual KD values but also to see the average affinity of antibody. Based on the comparison with published literature values for mouse monoclonal antibodies, Recombinant antibodies appear to be on average 1-2 order of magnitude higher affinity.

Key facts

Host species

Rabbit

Clonality

Monoclonal

Clone number

EPR6662(B)

Isotype

IgG

Carrier free

Yes

Reacts with

Human

Applications

ICC/IF, WB, ChIC/CUT&RUN-seq, IHC-P, Flow Cyt (Intra)

applications

Immunogen

The exact immunogen used to generate this antibody is proprietary information.

Reactivity data

{ "title": "Reactivity Data", "filters": { "stats": ["", "Species", "Dilution Info", "Notes"], "tabs": { "all-applications": {"fullname" : "All Applications", "shortname": "All Applications"}, "ChICCUTRUNseq" : {"fullname" : "ChIC/CUT&RUN sequencing", "shortname":"ChIC/CUT&RUN-seq"}, "IHCP" : {"fullname" : "Immunohistochemistry (Formalin/PFA-fixed paraffin-embedded sections)", "shortname":"IHC-P"}, "IP" : {"fullname" : "Immunoprecipitation", "shortname":"IP"}, "WB" : {"fullname" : "Western blot", "shortname":"WB"}, "ICCIF" : {"fullname" : "Immunocytochemistry/ Immunofluorescence", "shortname":"ICC/IF"}, "FlowCytIntra" : {"fullname" : "Flow Cytometry (Intracellular)", "shortname":"Flow Cyt (Intra)"} }, "product-promise": { "all": "all", "testedAndGuaranteed": "tested", "guaranteed": "expected", "predicted": "predicted", "notRecommended": "not-recommended" } }, "values": { "Human": { "ChICCUTRUNseq-species-checked": "testedAndGuaranteed", "ChICCUTRUNseq-species-dilution-info": "", "ChICCUTRUNseq-species-notes": "<p></p>", "IHCP-species-checked": "testedAndGuaranteed", "IHCP-species-dilution-info": "", "IHCP-species-notes": "<p>(heat to 98 degrees C, allow to cool for 10-20 minutes)</p>", "IP-species-checked": "notRecommended", "IP-species-dilution-info": "", "IP-species-notes": "<p></p>", "WB-species-checked": "testedAndGuaranteed", "WB-species-dilution-info": "", "WB-species-notes": "<p></p>", "ICCIF-species-checked": "testedAndGuaranteed", "ICCIF-species-dilution-info": "", "ICCIF-species-notes": "<p></p>", "FlowCytIntra-species-checked": "testedAndGuaranteed", "FlowCytIntra-species-dilution-info": "", "FlowCytIntra-species-notes": "<p></p>" }, "Mouse": { "ChICCUTRUNseq-species-checked": "notRecommended", "ChICCUTRUNseq-species-dilution-info": "", "ChICCUTRUNseq-species-notes": "", "IHCP-species-checked": "notRecommended", "IHCP-species-dilution-info": "", "IHCP-species-notes": "<p>(heat to 98 degrees C, allow to cool for 10-20 minutes)</p>", "IP-species-checked": "notRecommended", "IP-species-dilution-info": "", "IP-species-notes": "<p></p>", "WB-species-checked": "notRecommended", "WB-species-dilution-info": "", "WB-species-notes": "<p></p>", "ICCIF-species-checked": "notRecommended", "ICCIF-species-dilution-info": "", "ICCIF-species-notes": "<p></p>", "FlowCytIntra-species-checked": "notRecommended", "FlowCytIntra-species-dilution-info": "", "FlowCytIntra-species-notes": "<p></p>" }, "Rat": { "ChICCUTRUNseq-species-checked": "notRecommended", "ChICCUTRUNseq-species-dilution-info": "", "ChICCUTRUNseq-species-notes": "", "IHCP-species-checked": "notRecommended", "IHCP-species-dilution-info": "", "IHCP-species-notes": "<p>(heat to 98 degrees C, allow to cool for 10-20 minutes)</p>", "IP-species-checked": "notRecommended", "IP-species-dilution-info": "", "IP-species-notes": "<p></p>", "WB-species-checked": "notRecommended", "WB-species-dilution-info": "", "WB-species-notes": "<p></p>", "ICCIF-species-checked": "notRecommended", "ICCIF-species-dilution-info": "", "ICCIF-species-notes": "", "FlowCytIntra-species-checked": "notRecommended", "FlowCytIntra-species-dilution-info": "", "FlowCytIntra-species-notes": "<p></p>" } } }

Product details

ab240001 is the carrier-free version of ab124804.

Patented technology
Our RabMAb® technology is a patented hybridoma-based technology for making rabbit monoclonal antibodies. For details on our patents, please refer to RabMAb® patents.

What are the advantages of a recombinant monoclonal antibody?
This product is a recombinant monoclonal antibody, which offers several advantages including:

  • - High batch-to-batch consistency and reproducibility
  • - Improved sensitivity and specificity
  • - Long-term security of supply
  • - Animal-free batch production

For more information, read more on recombinant antibodies.

Conjugation ready
Our carrier-free antibodies are typically supplied in a PBS-only formulation, purified and free of BSA, sodium azide and glycerol. This conjugation-ready format is designed for use with fluorochromes, metal isotopes, oligonucleotides, and enzymes, which makes them ideal for antibody labelling, functional and cell-based assays, flow-based assays (e.g. mass cytometry) and Multiplex Imaging applications.

Use our conjugation kits for antibody conjugates that are ready-to-use in as little as 20 minutes with 1 minute hands-on-time and 100% antibody recovery: available for fluorescent dyes, HRP, biotin and gold.

Compatibility
This product is compatible with the Maxpar® Antibody Labeling Kit from Fluidigm, without the need for antibody preparation. Maxpar® is a trademark of Fluidigm Canada Inc.

Properties and storage information

Form
Liquid
Purification technique
Affinity purification Protein A
Storage buffer
pH: 7.2 - 7.4 Constituents: PBS
Shipped at conditions
Blue Ice
Appropriate short-term storage conditions
+4°C
Appropriate long-term storage conditions
+4°C
Storage information
Do Not Freeze

Product protocols

For this product, it's our understanding that no specific protocols are required. You can visit:

Target data

Transcription factor that can activate or repress transcription in response to physiological and pathological stimuli. Binds with high affinity to GC-rich motifs and regulates the expression of a large number of genes involved in a variety of processes such as cell growth, apoptosis, differentiation and immune responses. Highly regulated by post-translational modifications (phosphorylations, sumoylation, proteolytic cleavage, glycosylation and acetylation). Binds also the PDGFR-alpha G-box promoter. May have a role in modulating the cellular response to DNA damage. Implicated in chromatin remodeling. Plays an essential role in the regulation of FE65 gene expression. In complex with ATF7IP, maintains telomerase activity in cancer cells by inducing TERT and TERC gene expression. Isoform 3 is a stronger activator of transcription than isoform 1. Positively regulates the transcription of the core clock component BMAL1 (PubMed : 10391891, PubMed : 11371615, PubMed : 11904305, PubMed : 14593115, PubMed : 16377629, PubMed : 16478997, PubMed : 16943418, PubMed : 17049555, PubMed : 18171990, PubMed : 18199680, PubMed : 18239466, PubMed : 18513490, PubMed : 18619531, PubMed : 19193796, PubMed : 20091743, PubMed : 21046154, PubMed : 21798247). Plays a role in the recruitment of SMARCA4/BRG1 on the c-FOS promoter. Plays a role in protecting cells against oxidative stress following brain injury by regulating the expression of RNF112 (By similarity).
See full target information SP1

Publications (1)

Recent publications for all applications. Explore the full list and refine your search

Cell division 20:22 PubMed41039618

2025

FGF4 drives tumor progression in triple-negative breast cancer via IL6/STAT3-mediated macrophage M2 polarization and immune suppression.

Applications

Unspecified application

Species

Unspecified reactive species

Xuanhe Zhang,Shushan Zhang,Yuanyuan Han
View all publications
chicCutRunSequencingBooklet
en

Product promise

We are committed to supporting your work with high-quality reagents, and we're here for you every step of the way. In the unlikely event that one of our products does not perform as expected, you're protected by our Product Promise.
For full details, please see our Terms & Conditions

Please note: All products are 'FOR RESEARCH USE ONLY. NOT FOR USE IN DIAGNOSTIC OR THERAPEUTIC PROCEDURES'.

For licensing inquiries, please contact partnerships@abcam.com