JavaScript is disabled in your browser. Please enable JavaScript to view this website.
AB232826

Anti-SP17 antibody

Be the first to review this product! Submit a review

|

(1 Publication)

Rabbit Polyclonal SP17 antibody. Suitable for WB, IHC-P and reacts with Mouse, Rat samples. Cited in 1 publication. Immunogen corresponding to Recombinant Full Length Protein corresponding to Mouse Spa17.

View Alternative Names

Sp17, Spa17, Sperm surface protein Sp17, Sperm autoantigenic protein 17

3 Images
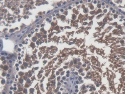
Immunohistochemistry (Formalin/PFA-fixed paraffin-embedded sections) - Anti-SP17 antibody (AB232826)
  • IHC-P

Supplier Data

Immunohistochemistry (Formalin/PFA-fixed paraffin-embedded sections) - Anti-SP17 antibody (AB232826)

Formalin-fixed, paraffin-embedded mouse testis tissue stained for SP17 with ab232826 at 20 μg/ml in immunohistochemical analysis. DAB staining.

Western blot - Anti-SP17 antibody (AB232826)
  • WB

Supplier Data

Western blot - Anti-SP17 antibody (AB232826)

All lanes:

Western blot - Anti-SP17 antibody (ab232826) at 2 µg/mL

All lanes:

Recombinant mouse SP17 protein

Predicted band size: 17 kDa,29 kDa

false

Western blot - Anti-SP17 antibody (AB232826)
  • WB

Supplier Data

Western blot - Anti-SP17 antibody (AB232826)

All lanes:

Western blot - Anti-SP17 antibody (ab232826) at 1 µg/mL

Lane 1:

Mouse testis tissue lysate

Lane 2:

Rat testis tissue lysate

Secondary

All lanes:

HRP-linked Guinea pig anti-Rabbit at 1/2000 dilution

Predicted band size: 17 kDa

false

Key facts

Host species

Rabbit

Clonality

Polyclonal

Isotype

IgG

Carrier free

No

Reacts with

Mouse, Rat

Applications

WB, IHC-P

applications

Immunogen

Recombinant Full Length Protein corresponding to Mouse Spa17.

Q62252

Reactivity data

{ "title": "Reactivity Data", "filters": { "stats": ["", "Species", "Dilution Info", "Notes"], "tabs": { "all-applications": {"fullname" : "All Applications", "shortname": "All Applications"}, "WB" : {"fullname" : "Western blot", "shortname":"WB"}, "IHCP" : {"fullname" : "Immunohistochemistry (Formalin/PFA-fixed paraffin-embedded sections)", "shortname":"IHC-P"} }, "product-promise": { "all": "all", "testedAndGuaranteed": "tested", "guaranteed": "expected", "predicted": "predicted", "notRecommended": "not-recommended" } }, "values": { "Mouse": { "WB-species-checked": "testedAndGuaranteed", "WB-species-dilution-info": "0.5-2 µg/mL", "WB-species-notes": "<p></p>", "IHCP-species-checked": "testedAndGuaranteed", "IHCP-species-dilution-info": "5-20 µg/mL", "IHCP-species-notes": "<p></p>" }, "Rat": { "WB-species-checked": "testedAndGuaranteed", "WB-species-dilution-info": "0.5-2 µg/mL", "WB-species-notes": "<p></p>", "IHCP-species-checked": "guaranteed", "IHCP-species-dilution-info": "", "IHCP-species-notes": "" } } }

Properties and storage information

Form
Liquid
Purification technique
Affinity purification Immunogen
Purification notes
Antigen-specific affinity chromatography followed by Protein A affinity chromatography.
Storage buffer
pH: 7.4 Preservative: 0.011% Proclin 300 Constituents: PBS, 55.77% Glycerol (glycerin, glycerine)
Shipped at conditions
Blue Ice
Appropriate short-term storage duration
1-2 weeks
Appropriate short-term storage conditions
+4°C
Appropriate long-term storage conditions
-20°C
Aliquoting information
Upon delivery aliquot
Storage information
Avoid freeze / thaw cycle

Product protocols

For this product, it's our understanding that no specific protocols are required. You can visit:

Target data

Sperm surface zona pellucida binding protein. Helps to bind spermatozoa to the zona pellucida with high affinity. Might function in binding zona pellucida and carbohydrates (By similarity).
See full target information Spa17

Publications (1)

Recent publications for all applications. Explore the full list and refine your search

Brain communications 6:fcae352 PubMed39670112

2024

Heterogeneous nuclear ribonucleoprotein D - an understudied subfamily affected in sporadic TDP-43 proteinopathies.

Applications

Unspecified application

Species

Unspecified reactive species

Monica Pinkerton,Gabrielle L Adler,Mallory Ledger,Chen Yue Ni,Yue Yang,Rachel H Tan
View all publications

Product promise

We are committed to supporting your work with high-quality reagents, and we're here for you every step of the way. In the unlikely event that one of our products does not perform as expected, you're protected by our Product Promise.
For full details, please see our Terms & Conditions

Please note: All products are 'FOR RESEARCH USE ONLY. NOT FOR USE IN DIAGNOSTIC OR THERAPEUTIC PROCEDURES'.

For licensing inquiries, please contact partnerships@abcam.com