JavaScript is disabled in your browser. Please enable JavaScript to view this website.
AB250329

Anti-SP17 antibody [EPR6497(2)] - BSA and Azide free

Be the first to review this product! Submit a review

|

(1 Publication)

Rabbit Recombinant Monoclonal SP17 antibody. Carrier free. Suitable for IP, IHC-P and reacts with Human samples. Cited in 1 publication.

View Alternative Names

SP17, SPA17, Sperm surface protein Sp17, Cancer/testis antigen 22, Sp17-1, Sperm autoantigenic protein 17, CT22, Sperm protein 17

4 Images
Immunohistochemistry (Formalin/PFA-fixed paraffin-embedded sections) - Anti-SP17 antibody [EPR6497(2)] - BSA and Azide free (AB250329)
  • IHC-P

Supplier Data

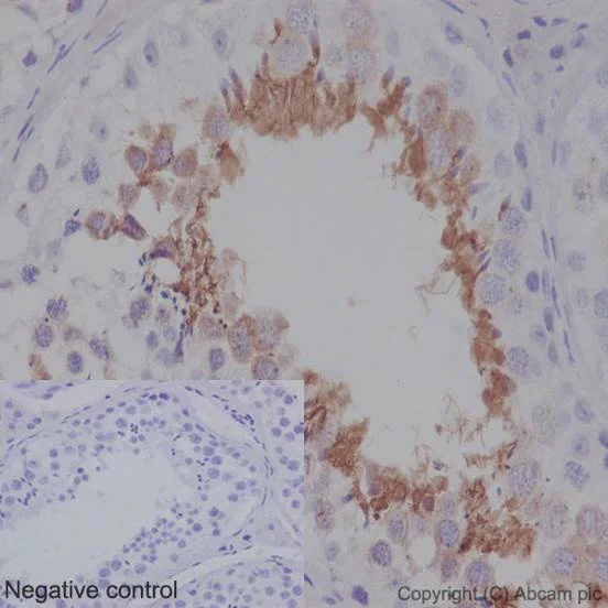
Immunohistochemistry (Formalin/PFA-fixed paraffin-embedded sections) - Anti-SP17 antibody [EPR6497(2)] - BSA and Azide free (AB250329)

This data was developed using ab181079, the same antibody clone in a different buffer formulation.

Immunohistochemistry (Formalin/PFA-fixed paraffin-embedded sections) analysis of human testis tissue labeling SP17 with unpurified ab181079 at 1/250 dilution. Counterstained with hematoxylin.

Immunohistochemistry (Formalin/PFA-fixed paraffin-embedded sections) - Anti-SP17 antibody [EPR6497(2)] - BSA and Azide free (AB250329)
  • IHC-P

Lab

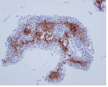
Immunohistochemistry (Formalin/PFA-fixed paraffin-embedded sections) - Anti-SP17 antibody [EPR6497(2)] - BSA and Azide free (AB250329)

This data was developed using ab181079, the same antibody clone in a different buffer formulation.

Immunohistochemistry (Formalin/PFA-fixed paraffin-embedded sections) analysis of human testis tissue labelling SP17 with purified ab181079 at 1/1500. Heat mediated antigen retrieval was performed using Tris/EDTA buffer pH 9. A prediluted HRP-polymer conjugated anti-rabbit IgG was used as the secondary antibody. Negative control using PBS instead of primary antibody. Counterstained with Hematoxylin.

Immunoprecipitation - Anti-SP17 antibody [EPR6497(2)] - BSA and Azide free (AB250329)
  • IP

Supplier Data

Immunoprecipitation - Anti-SP17 antibody [EPR6497(2)] - BSA and Azide free (AB250329)

This data was developed using ab181079, the same antibody clone in a different buffer formulation.

Western blot analysis of SP17 in immunoprecipitation pellets from Human testis tissue lysate. Unpurified ab181079 was used at 1/50 dilution. Anti-Rabbit IgG (HRP), specific to the non-reduced form of IgG was used as a secondary antibody at 1/1500. Lane 2 shows negative control.

All lanes:

Immunoprecipitation - Anti-SP17 antibody [EPR6497(2)] (<a href='/en-us/products/primary-antibodies/sp17-antibody-epr64972-ab181079'>ab181079</a>)

Predicted band size: 17 kDa

false

Immunoprecipitation - Anti-SP17 antibody [EPR6497(2)] - BSA and Azide free (AB250329)
  • IP

Lab

Immunoprecipitation - Anti-SP17 antibody [EPR6497(2)] - BSA and Azide free (AB250329)

This data was developed using ab181079, the same antibody clone in a different buffer formulation.

ab181079 (purified) at 1/90 immunoprecipitating SP17 in human testis tissue lysate (Lane 1). Lane 2 - PBS. For western blotting, a HRP-conjugated anti-rabbit IgG, specific to the non-reduced form of IgG was used as the secondary antibody (1/1500).

Blocking buffer and concentration : 5% NFDM/TBST.

Diluting buffer and concentration : 5% NFDM /TBST.

All lanes:

Immunoprecipitation - Anti-SP17 antibody [EPR6497(2)] (<a href='/en-us/products/primary-antibodies/sp17-antibody-epr64972-ab181079'>ab181079</a>)

Predicted band size: 17 kDa

false

Key facts

Host species

Rabbit

Clonality

Monoclonal

Clone number

EPR6497(2)

Isotype

IgG

Carrier free

Yes

Reacts with

Human

Applications

IHC-P, IP

applications

Immunogen

The exact immunogen used to generate this antibody is proprietary information.

Reactivity data

{ "title": "Reactivity Data", "filters": { "stats": ["", "Species", "Dilution Info", "Notes"], "tabs": { "all-applications": {"fullname" : "All Applications", "shortname": "All Applications"}, "IP" : {"fullname" : "Immunoprecipitation", "shortname":"IP"}, "IHCP" : {"fullname" : "Immunohistochemistry (Formalin/PFA-fixed paraffin-embedded sections)", "shortname":"IHC-P"} }, "product-promise": { "all": "all", "testedAndGuaranteed": "tested", "guaranteed": "expected", "predicted": "predicted", "notRecommended": "not-recommended" } }, "values": { "Human": { "IP-species-checked": "testedAndGuaranteed", "IP-species-dilution-info": "", "IP-species-notes": "<p></p>", "IHCP-species-checked": "testedAndGuaranteed", "IHCP-species-dilution-info": "", "IHCP-species-notes": "<p></p>" }, "Cynomolgus monkey": { "IP-species-checked": "predicted", "IP-species-dilution-info": "", "IP-species-notes": "", "IHCP-species-checked": "predicted", "IHCP-species-dilution-info": "", "IHCP-species-notes": "" } } }

Product details

ab250329 is the carrier-free version of ab181079.

Patented technology
Our RabMAb® technology is a patented hybridoma-based technology for making rabbit monoclonal antibodies. For details on our patents, please refer to RabMAb® patents.

What are the advantages of a recombinant monoclonal antibody?
This product is a recombinant monoclonal antibody, which offers several advantages including:

  • - High batch-to-batch consistency and reproducibility
  • - Improved sensitivity and specificity
  • - Long-term security of supply
  • - Animal-free batch production

For more information, read more on recombinant antibodies.

Conjugation ready
Our carrier-free antibodies are typically supplied in a PBS-only formulation, purified and free of BSA, sodium azide and glycerol. This conjugation-ready format is designed for use with fluorochromes, metal isotopes, oligonucleotides, and enzymes, which makes them ideal for antibody labelling, functional and cell-based assays, flow-based assays (e.g. mass cytometry) and Multiplex Imaging applications.

Use our conjugation kits for antibody conjugates that are ready-to-use in as little as 20 minutes with 1 minute hands-on-time and 100% antibody recovery: available for fluorescent dyes, HRP, biotin and gold.

Compatibility
This product is compatible with the Maxpar® Antibody Labeling Kit from Fluidigm, without the need for antibody preparation. Maxpar® is a trademark of Fluidigm Canada Inc.

Properties and storage information

Form
Liquid
Purification technique
Affinity purification Protein A
Storage buffer
pH: 7.2 - 7.4 Constituents: PBS
Shipped at conditions
Blue Ice
Appropriate short-term storage conditions
+4°C
Appropriate long-term storage conditions
+4°C
Storage information
Do Not Freeze

Product protocols

For this product, it's our understanding that no specific protocols are required. You can visit:

Target data

Sperm surface zona pellucida binding protein. Helps to bind spermatozoa to the zona pellucida with high affinity. Might function in binding zona pellucida and carbohydrates (By similarity).
See full target information SPA17

Publications (1)

Recent publications for all applications. Explore the full list and refine your search

Evidence-based complementary and alternative medicine : eCAM 2022:7757833 PubMed36091585

2022

Esculentoside A Alleviates Intestinal Dysmotility in Ulcerative Colitis by Regulating HS/CSE and NO/nNOS Systems.

Applications

Unspecified application

Species

Unspecified reactive species

Ying Liu,Wenhua Wei,Shiwei Liang,Haicheng Fang,Jie Cao
View all publications

Product promise

We are committed to supporting your work with high-quality reagents, and we're here for you every step of the way. In the unlikely event that one of our products does not perform as expected, you're protected by our Product Promise.
For full details, please see our Terms & Conditions

Please note: All products are 'FOR RESEARCH USE ONLY. NOT FOR USE IN DIAGNOSTIC OR THERAPEUTIC PROCEDURES'.

For licensing inquiries, please contact partnerships@abcam.com