JavaScript is disabled in your browser. Please enable JavaScript to view this website.
AB229468

Anti-SP2 transcription factor antibody

4

(1 Review)

|

(6 Publications)

Rabbit Polyclonal SP2 transcription factor antibody. Suitable for IHC-P, IP, WB, ICC/IF and reacts with Human samples. Cited in 6 publications. Immunogen corresponding to Recombinant Fragment Protein within Human SP2.

View Alternative Names

KIAA0048, SP2, Transcription factor Sp2

7 Images
Immunocytochemistry/ Immunofluorescence - Anti-SP2 transcription factor antibody (AB229468)
  • ICC/IF

Supplier Data

Immunocytochemistry/ Immunofluorescence - Anti-SP2 transcription factor antibody (AB229468)

Immunofluorescence analysis of HeLa cells fixed in 4% paraformaldehyde at RT for 15 min labelling SP2 protein at cytoplasm and nucleus using ab229468 at a 1/1000 dilution (Green). Hoechst 33342 was used for nuclear staining (Blue). Scale bar= 10µm.

Immunohistochemistry (Formalin/PFA-fixed paraffin-embedded sections) - Anti-SP2 transcription factor antibody (AB229468)
  • IHC-P

Supplier Data

Immunohistochemistry (Formalin/PFA-fixed paraffin-embedded sections) - Anti-SP2 transcription factor antibody (AB229468)

Immunohistochemical analysis of human endometrial carcinoma tissue stained for SP2 protein at nucleus with ab229468 at a 1/500 dilution.

Antigen retrieval : Citrate buffer, pH 6.0, 15 min.

Western blot - Anti-SP2 transcription factor antibody (AB229468)
  • WB

Supplier Data

Western blot - Anti-SP2 transcription factor antibody (AB229468)

Samples were separated by 7.5% SDS PAGE.

All lanes:

Western blot - Anti-SP2 transcription factor antibody (ab229468) at 1/1000 dilution

Lane 1:

Jurkat whole cell extracts at 30 µg

Lane 2:

Raji whole cell extracts at 30 µg

Lane 3:

NCI-H929 whole cell extracts at 30 µg

Secondary

All lanes:

HRP-conjugated anti-rabbit IgG antibody

Predicted band size: 65 kDa

false

Western blot - Anti-SP2 transcription factor antibody (AB229468)
  • WB

Supplier Data

Western blot - Anti-SP2 transcription factor antibody (AB229468)

7.5% SDS-PAGE gel.

All lanes:

Western blot - Anti-SP2 transcription factor antibody (ab229468) at 1/1000 dilution

Lane 1:

A431 (human epidermoid carcinoma cell line) whole cell extract at 30 µg

Lane 2:

HepG2 (human liver hepatocellular carcinoma cell line) whole cell extract at 30 µg

Predicted band size: 65 kDa

false

Western blot - Anti-SP2 transcription factor antibody (AB229468)
  • WB

Supplier Data

Western blot - Anti-SP2 transcription factor antibody (AB229468)

Samples were separated by 7.5% SDS PAGE.

All lanes:

Western blot - Anti-SP2 transcription factor antibody (ab229468) at 1/1000 dilution

Lane 1:

Jurkat whole cell lysate at 30 µg

Lane 2:

Jurkat nuclear extracts at 30 µg

Secondary

All lanes:

HRP-conjugated anti-rabbit IgG antibody

Predicted band size: 65 kDa

false

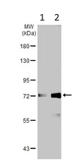
Western blot - Anti-SP2 transcription factor antibody (AB229468)
  • WB

Supplier Data

Western blot - Anti-SP2 transcription factor antibody (AB229468)

Samples were separated by 7.5% SDS PAGE.

All lanes:

Western blot - Anti-SP2 transcription factor antibody (ab229468) at 1/1000 dilution

Lane 1:

293T whole cell lysates at 30 µg

Lane 2:

A431 whole cell lysates at 30 µg

Lane 3:

HeLa whole cell lysates at 30 µg

Lane 4:

HepG2 whole cell lysates at 30 µg

Secondary

All lanes:

HRP-conjugated anti-rabbit IgG antibody

Predicted band size: 65 kDa

false

Immunoprecipitation - Anti-SP2 transcription factor antibody (AB229468)
  • IP

Supplier Data

Immunoprecipitation - Anti-SP2 transcription factor antibody (AB229468)

SP2 transcription factor was immunoprecipitated from Raji (human Burkitt's lymphoma cell line) whole cell extract with 3 μg ab229468. Western blot was performed from the immunoprecipitate using ab229468. Anti-Rabbit IgG was used as a secondary reagent.

Lane 1 : Raji whole cell extract.
Lane 2 : Control IgG IP in Raji whole cell extract.
Lane 3 : ab229468 IP in Raji whole cell extract.

All lanes:

Immunoprecipitation - Anti-SP2 transcription factor antibody (ab229468)

Predicted band size: 65 kDa

false

Key facts

Host species

Rabbit

Clonality

Polyclonal

Isotype

IgG

Carrier free

No

Reacts with

Human

Applications

IP, WB, IHC-P, ICC/IF

applications

Immunogen

Recombinant Fragment Protein within Human SP2. The exact immunogen used to generate this antibody is proprietary information.

Q02086

Reactivity data

{ "title": "Reactivity Data", "filters": { "stats": ["", "Species", "Dilution Info", "Notes"], "tabs": { "all-applications": {"fullname" : "All Applications", "shortname": "All Applications"}, "IHCP" : {"fullname" : "Immunohistochemistry (Formalin/PFA-fixed paraffin-embedded sections)", "shortname":"IHC-P"}, "IP" : {"fullname" : "Immunoprecipitation", "shortname":"IP"}, "WB" : {"fullname" : "Western blot", "shortname":"WB"}, "ICCIF" : {"fullname" : "Immunocytochemistry/ Immunofluorescence", "shortname":"ICC/IF"} }, "product-promise": { "all": "all", "testedAndGuaranteed": "tested", "guaranteed": "expected", "predicted": "predicted", "notRecommended": "not-recommended" } }, "values": { "Human": { "IHCP-species-checked": "testedAndGuaranteed", "IHCP-species-dilution-info": "1/100 - 1/1000", "IHCP-species-notes": "<p></p>", "IP-species-checked": "testedAndGuaranteed", "IP-species-dilution-info": "1/100 - 1/500", "IP-species-notes": "<p></p>", "WB-species-checked": "testedAndGuaranteed", "WB-species-dilution-info": "1/500 - 1/3000", "WB-species-notes": "<p></p>", "ICCIF-species-checked": "testedAndGuaranteed", "ICCIF-species-dilution-info": "1/100 - 1/1000", "ICCIF-species-notes": "<p></p>" }, "Mouse": { "IHCP-species-checked": "predicted", "IHCP-species-dilution-info": "", "IHCP-species-notes": "", "IP-species-checked": "predicted", "IP-species-dilution-info": "", "IP-species-notes": "", "WB-species-checked": "predicted", "WB-species-dilution-info": "", "WB-species-notes": "", "ICCIF-species-checked": "predicted", "ICCIF-species-dilution-info": "", "ICCIF-species-notes": "" }, "Rat": { "IHCP-species-checked": "predicted", "IHCP-species-dilution-info": "", "IHCP-species-notes": "", "IP-species-checked": "predicted", "IP-species-dilution-info": "", "IP-species-notes": "", "WB-species-checked": "predicted", "WB-species-dilution-info": "", "WB-species-notes": "", "ICCIF-species-checked": "predicted", "ICCIF-species-dilution-info": "", "ICCIF-species-notes": "" }, "Cow": { "IHCP-species-checked": "predicted", "IHCP-species-dilution-info": "", "IHCP-species-notes": "", "IP-species-checked": "predicted", "IP-species-dilution-info": "", "IP-species-notes": "", "WB-species-checked": "predicted", "WB-species-dilution-info": "", "WB-species-notes": "", "ICCIF-species-checked": "predicted", "ICCIF-species-dilution-info": "", "ICCIF-species-notes": "" }, "Rhesus monkey": { "IHCP-species-checked": "predicted", "IHCP-species-dilution-info": "", "IHCP-species-notes": "", "IP-species-checked": "predicted", "IP-species-dilution-info": "", "IP-species-notes": "", "WB-species-checked": "predicted", "WB-species-dilution-info": "", "WB-species-notes": "", "ICCIF-species-checked": "predicted", "ICCIF-species-dilution-info": "", "ICCIF-species-notes": "" } } }

Properties and storage information

Form
Liquid
Purification technique
Affinity purification Immunogen
Storage buffer
pH: 7 Preservative: 0.025% Proclin 300 Constituents: PBS, 20% Glycerol (glycerin, glycerine)
Shipped at conditions
Blue Ice
Appropriate short-term storage duration
1-2 weeks
Appropriate short-term storage conditions
+4°C
Appropriate long-term storage conditions
-20°C
Aliquoting information
Upon delivery aliquot
Storage information
Avoid freeze / thaw cycle

Product protocols

For this product, it's our understanding that no specific protocols are required. You can visit:

Target data

Binds to GC box promoters elements and selectively activates mRNA synthesis from genes that contain functional recognition sites.
See full target information SP2

Publications (6)

Recent publications for all applications. Explore the full list and refine your search

Nature communications 16:6585 PubMed40721574

2025

DynaTag for efficient mapping of transcription factors in low-input samples and at single-cell resolution.

Applications

Unspecified application

Species

Unspecified reactive species

Pascal Hunold,Giulia Pizzolato,Nadia Heramvand,Laura Kaiser,Giulia Barbiera,Olivia van Ray,Roman Thomas,Julie George,Martin Peifer,Robert Hänsel-Hertsch

mBio 15:e0347923 PubMed38349188

2024

Sp1 facilitates continued HSV-1 gene expression in the absence of key viral transactivators.

Applications

Unspecified application

Species

Unspecified reactive species

Catherine N Sodroski,Hyung Suk Oh,Shu-Fan Chou,David M Knipe

ACS nano 18:4871-4885 PubMed38290527

2024

A Dual Role of Mesenchymal Stem Cell Derived Small Extracellular Vesicles on TRPC6 Protein and Mitochondria to Promote Diabetic Wound Healing.

Applications

Unspecified application

Species

Unspecified reactive species

Min Wang,Dakai Yang,Linli Li,Peipei Wu,Yaoxiang Sun,Xu Zhang,Cheng Ji,Wenrong Xu,Hui Qian,Hui Shi

Developmental cell 58:2867-2880.e7 PubMed37972593

2023

Transcription factor NFYa controls cardiomyocyte metabolism and proliferation during mouse fetal heart development.

Applications

Unspecified application

Species

Unspecified reactive species

Miao Cui,Svetlana Bezprozvannaya,Tian Hao,Abdallah Elnwasany,Luke I Szweda,Ning Liu,Rhonda Bassel-Duby,Eric N Olson

Genome biology 22:117 PubMed33892767

2021

G-quadruplexes are transcription factor binding hubs in human chromatin.

Applications

Unspecified application

Species

Unspecified reactive species

Jochen Spiegel,Sergio Martínez Cuesta,Santosh Adhikari,Robert Hänsel-Hertsch,David Tannahill,Shankar Balasubramanian

Acta physiologica (Oxford, England) 232:e13629 PubMed33590667

2021

Adaptive physiological water conservation explains hypertension and muscle catabolism in experimental chronic renal failure.

Applications

Unspecified application

Species

Unspecified reactive species

Johannes J Kovarik,Norihiko Morisawa,Johannes Wild,Adriana Marton,Kaoru Takase-Minegishi,Shintaro Minegishi,Steffen Daub,Jeff M Sands,Janet D Klein,James L Bailey,Jean-Paul Kovalik,Manfred Rauh,Susanne Karbach,Karl F Hilgers,Friedrich Luft,Akira Nishiyama,Daisuke Nakano,Kento Kitada,Jens Titze
View all publications

Product promise

We are committed to supporting your work with high-quality reagents, and we're here for you every step of the way. In the unlikely event that one of our products does not perform as expected, you're protected by our Product Promise.
For full details, please see our Terms & Conditions

Please note: All products are 'FOR RESEARCH USE ONLY. NOT FOR USE IN DIAGNOSTIC OR THERAPEUTIC PROCEDURES'.

For licensing inquiries, please contact partnerships@abcam.com