JavaScript is disabled in your browser. Please enable JavaScript to view this website.
AB209484

Anti-Sp7 / Osterix antibody [EPR21034]

5

(7 Reviews)

|

(271 Publications)

Anti-Sp7 / Osterix antibody [EPR21034] (ab209484) is a rabbit monoclonal antibody detecting Sp7 / Osterix in Western Blot, IP, IHC-P, IHC-Fr. Suitable for Human, Mouse, Rat.

- Biophysical QC for unrivalled batch-batch consistency
- Over 130 publications

View Alternative Names

OSX, SP7, Transcription factor Sp7, Zinc finger protein osterix

10 Images
Immunohistochemistry (Formalin/PFA-fixed paraffin-embedded sections) - Anti-Sp7 / Osterix antibody [EPR21034] (AB209484)
  • IHC-P

Supplier Data

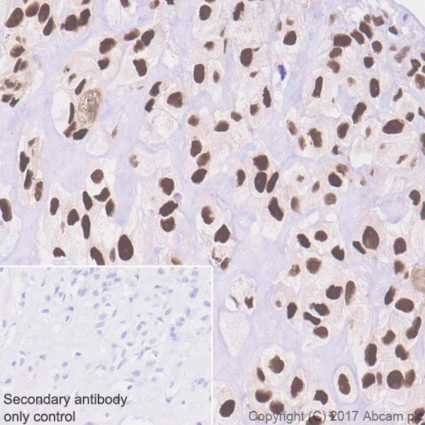
Immunohistochemistry (Formalin/PFA-fixed paraffin-embedded sections) - Anti-Sp7 / Osterix antibody [EPR21034] (AB209484)

Immunohistochemical analysis of paraffin-embedded human chondrosarcoma tissue labeling Sp7 / Osterix with ab209484 at 1/1000 dilution, followed by Goat Anti-Rabbit IgG H&L (HRP) Ready to use. Nuclear staining on tumor cells of human chondrosarcoma is observed. Counter stained with Hematoxylin.

Secondary antibody only control : Used PBS instead of primary antibody, secondary antibody is Goat Anti-Rabbit IgG H&L (HRP) Ready to use.

Perform heat mediated antigen retrieval with Tris/EDTA buffer pH 9.0 before commencing with IHC staining protocol.

Immunohistochemistry (Formalin/PFA-fixed paraffin-embedded sections) - Anti-Sp7 / Osterix antibody [EPR21034] (AB209484)
  • IHC-P

Lab

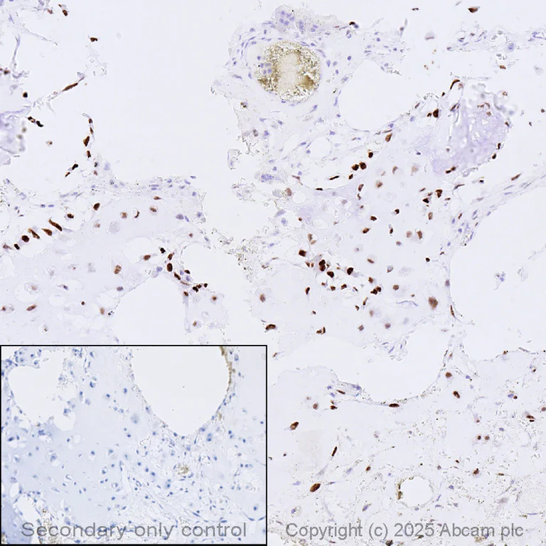
Immunohistochemistry (Formalin/PFA-fixed paraffin-embedded sections) - Anti-Sp7 / Osterix antibody [EPR21034] (AB209484)

Immunohistochemical analysis of formalin fixed paraffin embedded human chondrosarcoma labelling Sp7/Osterix with ab209484 at a concentration of 0.1µg/ml. The immunostaining was performed on a Ventana DISCOVERY ULTRA (Roche Tissue Diagnostics) instrument with a OptiView DAB IHC Detection Kit. Heat mediated antigen retrieval was performed with DISCOVERY cell conditioning solution (CC1) 100°C, pH8.5 for 32mins.

ab209484 anti-Sp7/Osterix antibody [EPR21034] was incubated for 16mins at 37°C. Sections were counterstained with Hematoxylin II. Image inset shows absence of staining in secondary antibody only control.

Customers are encouraged to optimise antigen retrieval conditions, antibody concentration, incubation times and temperature for best results in their own IHC assay workflow (automated and manual)

Immunoprecipitation - Anti-Sp7 / Osterix antibody [EPR21034] (AB209484)
  • IP

Supplier Data

Immunoprecipitation - Anti-Sp7 / Osterix antibody [EPR21034] (AB209484)

Sp7 / Osterix was immunoprecipitated from 0.35mg of Saos-2 (human osteosarcoma cell line) whole cell lysate with ab209484 at 1/30 dilution. Western blot was performed from the immunoprecipitate using ab209484 at 1/1000 dilution. VeriBlot for IP Detection Reagent (HRP) (ab131366), was used for detection at 1/10000 dilution.

Lane 1 : Saos-2 whole cell lysate 10ug (Input).

Lane 2 : ab209484 IP in Saos-2 whole cell lysate.

Lane 3 : Rabbit monoclonal IgG (ab172730) instead of ab190908 in Saos-2 whole cell lysate.

Blocking and dilution buffer and concentration : 5% NFDM/TBST. Exposure time : 8 seconds.

All lanes:

Immunoprecipitation - Anti-Sp7 / Osterix antibody [EPR21034] (ab209484)

Predicted band size: 45 kDa,47 kDa

Observed band size: 45 kDa,47 kDa

false

Immunohistochemistry (Formalin/PFA-fixed paraffin-embedded sections) - Anti-Sp7 / Osterix antibody [EPR21034] (AB209484)
  • IHC-P

Supplier Data

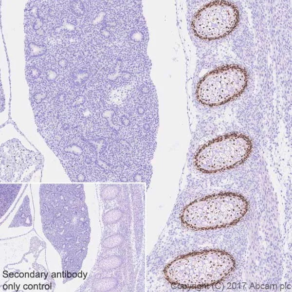
Immunohistochemistry (Formalin/PFA-fixed paraffin-embedded sections) - Anti-Sp7 / Osterix antibody [EPR21034] (AB209484)

IHC image of SP7/Osterix staining in a section of formalin-fixed paraffin-embedded normal mouse E15 embryo performed on a Leica BOND® system using the standard protocol F. The section was pre-treated using heat mediated antigen retrieval with sodium citrate buffer (pH6, epitope retrieval solution 1) for 20mins. The section was then incubated with ab22552, 1μg/ml, for 15 mins at room temperature and detected using an HRP conjugated compact polymer system. DAB was used as the chromogen. The section was then counterstained with haematoxylin and mounted with DPX. The inset secondary-only control image is taken from an identical assay without primary antibody.

For other IHC staining systems (automated and non-automated) customers should optimize variable parameters such as antigen retrieval conditions, primary antibody concentration and antibody incubation times.

Immunohistochemistry (Formalin/PFA-fixed paraffin-embedded sections) - Anti-Sp7 / Osterix antibody [EPR21034] (AB209484)
  • IHC-P

Supplier Data

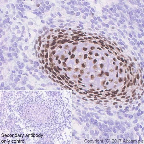
Immunohistochemistry (Formalin/PFA-fixed paraffin-embedded sections) - Anti-Sp7 / Osterix antibody [EPR21034] (AB209484)

Immunohistochemical analysis of paraffin-embedded rat E14.5 rib tissue labeling Sp7 / Osterix with ab209484 at 1/1000 dilution, followed by Goat Anti-Rabbit IgG H&L (HRP) Ready to use. Nuclear staining on osteoblasts and chondrocytes of rat E14.5 rib (PMID : 17579353; PMID : 25977369) is observed. Counter stained with Hematoxylin.

Secondary antibody only control : Used PBS instead of primary antibody, secondary antibody is Goat Anti-Rabbit IgG H&L (HRP) Ready to use.

Perform heat mediated antigen retrieval with Tris/EDTA buffer pH 9.0 before commencing with IHC staining protocol.

Immunohistochemistry (Formalin/PFA-fixed paraffin-embedded sections) - Anti-Sp7 / Osterix antibody [EPR21034] (AB209484)
  • IHC-P

Supplier Data

Immunohistochemistry (Formalin/PFA-fixed paraffin-embedded sections) - Anti-Sp7 / Osterix antibody [EPR21034] (AB209484)

IHC image of SP7/Osterix staining in a section of formalin-fixed paraffin-embedded normal rat E15 embryo performed on a Leica BOND® system using the standard protocol F. The section was pre-treated using heat mediated antigen retrieval with sodium citrate buffer (pH6, epitope retrieval solution 1) for 20mins. The section was then incubated with ab22552, 1μg/ml, for 15 mins at room temperature and detected using an HRP conjugated compact polymer system. DAB was used as the chromogen. The section was then counterstained with haematoxylin and mounted with DPX. The inset secondary-only control image is taken from an identical assay without primary antibody.

For other IHC staining systems (automated and non-automated) customers should optimize variable parameters such as antigen retrieval conditions, primary antibody concentration and antibody incubation times.

Immunohistochemistry (Formalin/PFA-fixed paraffin-embedded sections) - Anti-Sp7 / Osterix antibody [EPR21034] (AB209484)
  • IHC-P

Supplier Data

Immunohistochemistry (Formalin/PFA-fixed paraffin-embedded sections) - Anti-Sp7 / Osterix antibody [EPR21034] (AB209484)

Immunohistochemical analysis of paraffin-embedded mouse E14.5 rib tissue labeling Sp7 / Osterix with ab209484 at 1/1000 dilution, followed by Goat Anti-Rabbit IgG H&L (HRP) Ready to use. Nuclear staining on osteoblasts and chondrocytes of mouse E14.5 rib (PMID : 17579353; PMID : 25977369) is observed. Counter stained with Hematoxylin.

Secondary antibody only control : Used PBS instead of primary antibody, secondary antibody is Goat Anti-Rabbit IgG H&L (HRP) Ready to use.

Perform heat mediated antigen retrieval with Tris/EDTA buffer pH 9.0 before commencing with IHC staining protocol.

Immunohistochemistry (Frozen sections) - Anti-Sp7 / Osterix antibody [EPR21034] (AB209484)
  • IHC-Fr

Supplier Data

Immunohistochemistry (Frozen sections) - Anti-Sp7 / Osterix antibody [EPR21034] (AB209484)

Immunohistochemical analysis of 4% paraformaldehyde-fixed, 0.1% Triton X-100 permeabilized mouse E14.5 developing humerus tissue labeling Sp7 / Osterix with ab209484 at 1/500 dilution, followed by AlexaFluor® 488 Goat anti-Rabbit (ab150077) at 1/1000 dilution. Positive staining on the mouse embryo E14.5 developing humerus (PMID : 27134141) is observed. Counter stained with DAPI.

Secondary antibody only control : Used PBS instead of primary antibody, secondary antibody is AlexaFluor® 488 Goat anti-Rabbit (ab150077) at 1/1000 dilution.

Western blot - Anti-Sp7 / Osterix antibody [EPR21034] (AB209484)
  • WB

Supplier Data

Western blot - Anti-Sp7 / Osterix antibody [EPR21034] (AB209484)

Blocking and dilution buffer concentration : 5% NFDM/TBST.

We recommend using 1% SDS hot method to prepare lysate to improve signal intensity. Please refer to the Protocol booklet under the Product Protocol section.

All lanes:

Western blot - Anti-Sp7 / Osterix antibody [EPR21034] (ab209484) at 1/1000 dilution

Lane 1:

Saos-2 (human osteosarcoma cell line) whole cell lysate, prepared by RIPA method at 20 µg

Lane 2:

Saos-2 (human osteosarcoma cell line) whole cell lysate, prepared by 1% SDS hot method at 20 µg

Secondary

All lanes:

Western blot - Goat Anti-Rabbit IgG H&L (HRP) (<a href='/en-us/products/secondary-antibodies/goat-rabbit-igg-h-l-hrp-ab97051'>ab97051</a>) at 1/20000 dilution

Predicted band size: 45 kDa

Observed band size: 45 kDa,47 kDa

false

Exposure time: 20s

Western blot - Anti-Sp7 / Osterix antibody [EPR21034] (AB209484)
  • WB

Supplier Data

Western blot - Anti-Sp7 / Osterix antibody [EPR21034] (AB209484)

Blocking/Dilution buffer : 5% NFDM/TBST.

Human Sp7 / Osterix has two isoforms (45 and 47 kDa). The 45kDa isoform is predominant (UniProt ID : Q8TDD2). In Saos-2 cells, we observed a faint, extra band at around 37kDa.

All lanes:

Western blot - Anti-Sp7 / Osterix antibody [EPR21034] (ab209484) at 1/1000 dilution

All lanes:

Saos-2 (human osteosarcoma cell line) whole cell lysate at 10 µg

Secondary

All lanes:

Western blot - Goat Anti-Rabbit IgG H&L (HRP) (<a href='/en-us/products/secondary-antibodies/goat-rabbit-igg-h-l-hrp-ab97051'>ab97051</a>) at 1/100000 dilution

Predicted band size: 45 kDa

Observed band size: 45 kDa,47 kDa

true

  • Carrier free

    Anti-Sp7 / Osterix antibody [EPR21034] - BSA and Azide free

Key facts

Host species

Rabbit

Clonality

Monoclonal

Clone number

EPR21034

Isotype

IgG

Carrier free

No

Reacts with

Mouse, Rat, Human

Applications

IHC-P, IHC-Fr, IP, WB

applications

Immunogen

The exact immunogen used to generate this antibody is proprietary information.

Specificity

Mouse and rat species are recommended based on the IHC result. We do not guarantee western blot for mouse and rat.

We recommend using 1% SDS hot method to prepare lysate to improve signal intensity.

Please refer to the Protocol booklet under the Product Protocol section for the lysate preparation protocol.

Reactivity data

{ "title": "Reactivity Data", "filters": { "stats": ["", "Species", "Dilution Info", "Notes"], "tabs": { "all-applications": {"fullname" : "All Applications", "shortname": "All Applications"}, "IP" : {"fullname" : "Immunoprecipitation", "shortname":"IP"}, "WB" : {"fullname" : "Western blot", "shortname":"WB"}, "IHCFr" : {"fullname" : "Immunohistochemistry (Frozen sections)", "shortname":"IHC-Fr"}, "IHCP" : {"fullname" : "Immunohistochemistry (Formalin/PFA-fixed paraffin-embedded sections)", "shortname":"IHC-P"} }, "product-promise": { "all": "all", "testedAndGuaranteed": "tested", "guaranteed": "expected", "predicted": "predicted", "notRecommended": "not-recommended" } }, "values": { "Human": { "IP-species-checked": "testedAndGuaranteed", "IP-species-dilution-info": "1/30", "IP-species-notes": "<p></p>", "WB-species-checked": "testedAndGuaranteed", "WB-species-dilution-info": "1/1000", "WB-species-notes": "<p>Mouse and rat species are recommended based on the IHC result. We do not guarantee western blot for mouse and rat.</p>", "IHCFr-species-checked": "guaranteed", "IHCFr-species-dilution-info": "", "IHCFr-species-notes": "", "IHCP-species-checked": "testedAndGuaranteed", "IHCP-species-dilution-info": "1/1000", "IHCP-species-notes": "<p></p>" }, "Mouse": { "IP-species-checked": "guaranteed", "IP-species-dilution-info": "", "IP-species-notes": "", "WB-species-checked": "notRecommended", "WB-species-dilution-info": "1/1000", "WB-species-notes": "<p>Mouse and rat species are recommended based on the IHC result. We do not guarantee western blot for mouse and rat.</p>", "IHCFr-species-checked": "testedAndGuaranteed", "IHCFr-species-dilution-info": "1/500", "IHCFr-species-notes": "<p>Perform heat mediated antigen retrieval with Tris/EDTA buffer pH 9.0 before commencing with IHC staining protocol.</p>", "IHCP-species-checked": "testedAndGuaranteed", "IHCP-species-dilution-info": "1/1000", "IHCP-species-notes": "<p></p>" }, "Rat": { "IP-species-checked": "guaranteed", "IP-species-dilution-info": "", "IP-species-notes": "", "WB-species-checked": "guaranteed", "WB-species-dilution-info": "1/1000", "WB-species-notes": "<p>Mouse and rat species are recommended based on the IHC result. We do not guarantee western blot for mouse and rat.</p>", "IHCFr-species-checked": "guaranteed", "IHCFr-species-dilution-info": "", "IHCFr-species-notes": "", "IHCP-species-checked": "testedAndGuaranteed", "IHCP-species-dilution-info": "1/1000", "IHCP-species-notes": "<p></p>" } } }

Product details

Product Specifications
Anti-Sp7 / Osterix antibody [EPR21034] (ab209484) was developed by Abcam using patented rabbit monoclonal antibody technology and is validated for use in IHC-Fr, IHC-P, IP, WB in human, mouse, rat samples.
Anti-Sp7 / Osterix antibody [EPR21034] (ab209484) specifically detects Sp7 / Osterix (UniProt ID: Q8VI67; Molecular weight: 45kDa) and is sold in 100 µL and 1 mL selling sizes.

Quality and Validation
Abcam's high quality manufacturing and validation processes ensure Anti-Sp7 / Osterix antibody [EPR21034] (ab209484) has high sensitivity and specificity alongside high lot-to-lot consistency and reproducibility.
Anti-Sp7 / Osterix antibody [EPR21034] (ab209484) has been cited over 130 times in peer reviewed journals and is trusted by the scientific community.
Anti-Sp7 / Osterix antibody [EPR21034] (ab209484) has 7 independent reviews from customers.

Patented technology
Our RabMAb® technology is a patented hybridoma-based technology for making rabbit monoclonal antibodies. For details on our patents, please refer to RabMAb® patents.

What are the advantages of a recombinant monoclonal antibody?
This product is a recombinant monoclonal antibody, which offers several advantages including:

  • - High batch-to-batch consistency and reproducibility
  • - Improved sensitivity and specificity
  • - Long-term security of supply
  • - Animal-free batch production

For more information, read more on recombinant antibodies.

Properties and storage information

Form
Liquid
Purification technique
Affinity purification Protein A
Storage buffer
pH: 7.2 - 7.4 Preservative: 0.01% Sodium azide Constituents: PBS, 40% Glycerol (glycerin, glycerine), 0.05% BSA
Shipped at conditions
Blue Ice
Appropriate short-term storage duration
1-2 weeks
Appropriate short-term storage conditions
+4°C
Appropriate long-term storage conditions
-20°C
Aliquoting information
Upon delivery aliquot
Storage information
Avoid freeze / thaw cycle

Product protocols

For this product, it's our understanding that no specific protocols are required. You can visit:

Target data

Transcriptional activator essential for osteoblast differentiation (PubMed : 23457570). Binds to SP1 and EKLF consensus sequences and to other G/C-rich sequences (By similarity).
See full target information SP7

Publications (271)

Recent publications for all applications. Explore the full list and refine your search

Journal of nanobiotechnology 23:649 PubMed41074120

2025

Targeting JAK2 with a multifunctional nanoinhibitor for long-lasting anti-inflammatory effects and bone repair.

Applications

Unspecified application

Species

Unspecified reactive species

Yang Liu,Duan Wang,Wenqian Zheng,Yuxuan Wang,Peiyu Wang,Yuping Zhao,Xiaofan Liu,Yaru Shi,Yi Wang,Na Zhou,Fermín E González,Hongchen Sun,Ding Zhou,Xiaowei Xu

Frontiers in bioengineering and biotechnology 13:1641476 PubMed41069411

2025

CGRP-dependent molecular signaling drives bone marrow stem cell osteogenesis in distraction osteogenesis.

Applications

Unspecified application

Species

Unspecified reactive species

Yimurang Hamiti,Kai Liu,Sulong Wang,Xin Yang,Xiriaili Kadier,Aihemaitijiang Yusufu

Cellular and molecular life sciences : CMLS 82:351 PubMed41055656

2025

Mechanistic insights into miR-584-5p-mediated Inhibition of PDLSCs osteogenic differentiation through H2AFZ upregulation and RUNX2 suppression.

Applications

Unspecified application

Species

Unspecified reactive species

Chengze Wang,Xiaoyan Miao,Yongzheng Li,Lingfei Ren,Bo Zheng,Zhiwei Jiang,Ying Wang,Guoli Yang

Journal of dental sciences 20:2399-2406 PubMed41040543

2025

Lunar life drives jawbone formation.

Applications

Unspecified application

Species

Unspecified reactive species

Kotaro Sato,Naoka Kouyama,Shinya Akatsuka,Yashiro Motooka,Qinhong Wang,Hideharu Hibi,Shinya Toyokuni

Frontiers in pharmacology 16:1631039 PubMed40959453

2025

Resveratrol ameliorates osteogenic differentiation, calcification, and apoptosis of VSMCs through regulating JNK/Bax signaling.

Applications

Unspecified application

Species

Unspecified reactive species

Menglin Hou,Hui Wang,Junmei Cheng,Xuyan Duan,Min Ren,Yong Lu

Materials today. Bio 34:102236 PubMed40893361

2025

Synergistic exacerbation of periprosthetic osteolysis by inflammatory bowel disease and titanium ions: Impaired osteogenesis of BMSCs via PI3K/AKT signaling.

Applications

Unspecified application

Species

Unspecified reactive species

Panpan Ming,Kang Li,Wenqing Zhu

Materials today. Bio 34:102181 PubMed40893374

2025

CGRP-releasing PLGA/nHA/GO composite microspheres enhance distraction osteogenesis via activation of the cAMP/PKA/CREB pathway.

Applications

Unspecified application

Species

Unspecified reactive species

Yimurang Hamiti,Kai Liu,Xin Yang,Sulong Wang,Xiriaili Kadier,Aihemaitijiang Yusufu

Nature communications 16:8127 PubMed40885754

2025

Pyroptosis-responsive microspheres modulate the inflammatory microenvironment to retard osteoporosis in female mice.

Applications

Unspecified application

Species

Unspecified reactive species

Shunyi Lu,Jie Cao,Zhuorun Song,Fei Gong,Peng Yang,Jun Ge,Yunfei He,Zhihui Han,Guanghui Hou,Zimin Zhang,Yuqi Yang,Yun Teng,Zengli Zhang,Jun Zou,Liang Cheng,Huilin Yang

Journal of orthopaedic translation 54:152-166 PubMed40822518

2025

NLRP3 inflammasome impairs fracture repair in Rheumatoid arthritis through RhoA/Rac1-IL1β axis-mediated suppression of osteoblast differentiation.

Applications

Unspecified application

Species

Unspecified reactive species

Fen Miao,Hanjia Cai,Yue Chen,Ziwei Yan,Ruofan Jin,Yueming Dai,Lu Li,Hua Wang,Yan Xu,Wen Sun

Nature communications 16:7543 PubMed40813368

2025

Snhg18 regulates Yap subcellular localization to maintain bone homeostasis.

Applications

Unspecified application

Species

Unspecified reactive species

Jie Huang,Yuteng Weng,Yanhuizhi Feng,Di Wu,Yongliang Chen,Zeyuan Li,Xue Jiang,Haicheng Wang,Zuolin Wang
View all publications

Product promise

We are committed to supporting your work with high-quality reagents, and we're here for you every step of the way. In the unlikely event that one of our products does not perform as expected, you're protected by our Product Promise.
For full details, please see our Terms & Conditions

Please note: All products are 'FOR RESEARCH USE ONLY. NOT FOR USE IN DIAGNOSTIC OR THERAPEUTIC PROCEDURES'.

For licensing inquiries, please contact partnerships@abcam.com