JavaScript is disabled in your browser. Please enable JavaScript to view this website.
AB302916

Anti-Sp8 antibody [EPR26224-86] - BSA and Azide free

Be the first to review this product! Submit a review

|

(0 Publication)

Rabbit Recombinant Monoclonal SP8 antibody. Carrier free. Suitable for WB, IHC-P, IHC-Fr and reacts with Rat, Human samples.

View Alternative Names

Transcription factor Sp8, Specificity protein 8, SP8

5 Images
Immunohistochemistry - Anti-Sp8 antibody [EPR26224-86] - BSA and Azide free (AB302916)
  • IHC

Supplier Data

Immunohistochemistry - Anti-Sp8 antibody [EPR26224-86] - BSA and Azide free (AB302916)

This data was developed using ab302915, the same antibody clone in a different buffer formulation. Immunohistochemical analysis of paraffin-embedded A HEK-293T cells tr tissue labeling Sp8 with ab302915 at 1/5000 (0.106 ug/ml) followed by a LeicaDS9800 (Bond™ Polymer Refine Detection) was used at Ready to use dilution. Nuclear staining on HEK-293T cells transfected with a human SP8 expression vector containing a myc-His tag cell pallet (image A). No staining on HEK-293T cells transfected with empty vector containing a his tag cell pallet (image B). The section was incubated with ab302915 for 30 mins at room temperature.The immunostaining was performed on a Leica Biosystems BOND® RX instrument Counterstained with Hematoxylin. Secondary antibody only control : Secondary antibody is LeicaDS9800 (Bond™ Polymer Refine Detection) was used at Ready to use dilution. Heat mediated antigen retrieval with Tris-EDTA buffer (pH 9.0, epitope retrieval solution2) for 20 mins

Immunohistochemistry - Anti-Sp8 antibody [EPR26224-86] - BSA and Azide free (AB302916)
  • IHC

Supplier Data

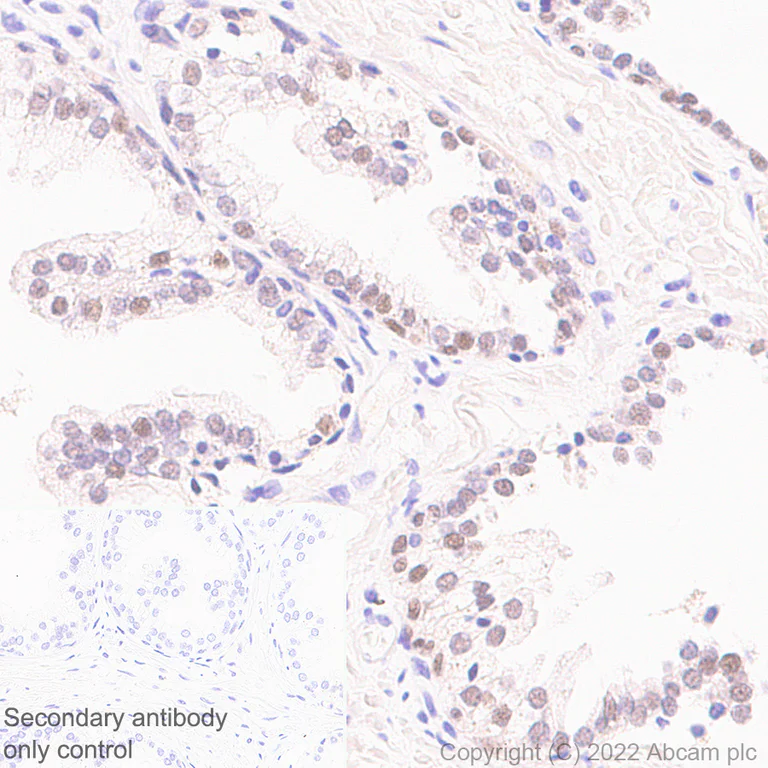
Immunohistochemistry - Anti-Sp8 antibody [EPR26224-86] - BSA and Azide free (AB302916)

This data was developed using ab302915, the same antibody clone in a different buffer formulation. Immunohistochemical analysis of paraffin-embedded Human prostate tissue labeling Sp8 with ab302915 at 1/50 (10.6 ug/ml) followed by a LeicaDS9800 (Bond™ Polymer Refine Detection) was used at Ready to use dilution. Nuclear staining on human prostate. The section was incubated with ab302915 for 30 mins at room temperature.The immunostaining was performed on a Leica Biosystems BOND® RX instrument Counterstained with Hematoxylin. Secondary antibody only control : Secondary antibody is LeicaDS9800 (Bond™ Polymer Refine Detection) was used at Ready to use dilution. Heat mediated antigen retrieval with Tris-EDTA buffer (pH 9.0, epitope retrieval solution2) for 20 mins

Immunohistochemistry - Anti-Sp8 antibody [EPR26224-86] - BSA and Azide free (AB302916)
  • IHC

Supplier Data

Immunohistochemistry - Anti-Sp8 antibody [EPR26224-86] - BSA and Azide free (AB302916)

This data was developed using ab302915, the same antibody clone in a different buffer formulation. Immunohistochemical analysis of paraffin-embedded Rat brain tissue labeling Sp8 with ab302915 at 1/200 (2.65 ug/ml) followed by a LeicaDS9800 (Bond™ Polymer Refine Detection) was used at Ready to use dilution. (A) Nuclear staining on olfactory bulb of rat brain at low-powered (magnification, x10) and (B) nuclear staining on rat olfactory bulb at high-powered (magnification, x400). The section was incubated with ab302915 for 30 mins at room temperature.The immunostaining was performed on a Leica Biosystems BOND® RX instrument Counterstained with Hematoxylin. Secondary antibody only control : Secondary antibody is LeicaDS9800 (Bond™ Polymer Refine Detection) was used at Ready to use dilution. Heat mediated antigen retrieval with Tris-EDTA buffer (pH 9.0, epitope retrieval solution2) for 20 mins

Immunohistochemistry (Frozen sections) - Anti-Sp8 antibody [EPR26224-86] - BSA and Azide free (AB302916)
  • IHC-Fr

Supplier Data

Immunohistochemistry (Frozen sections) - Anti-Sp8 antibody [EPR26224-86] - BSA and Azide free (AB302916)

This data was developed using ab302915, the same antibody clone in a different buffer formulation. Immunohistochemical analysis of 4% PFA-fixed, 0.2% Triton X-100 permeabilized frozen Rat olfactory bulb (fresh) tissue labeling Sp8 with ab302915 at 1/500 (1.06 ug/ml) dilution followed by ab150081 Goat Anti-Rabbit IgG H&L (Alexa Fluor® 488) preadsorbed at 1/1000 2 ug/mL dilution (Green). Positive staining on rat olfactory bulb. The nuclear counterstain was DAPI (Blue). The section was incubated with ab302915 for 60 mins at room temperature. The section was then mounted using Fluoromount®.The immunostaining was performed on a Leica Biosystems BOND® RX instrument. Image was taken with a confocal microscope (Leica-Microsystems, TCS SP8). is observed. The nuclear counterstain was DAPI (Blue). Secondary antibody control : Secondary antibody is ab150081 Goat Anti-Rabbit IgG H&L (Alexa Fluor® 488) preadsorbed at 1/1000 2 ug/mL dilution.<\p> .

Western blot - Anti-Sp8 antibody [EPR26224-86] - BSA and Azide free (AB302916)
  • WB

Supplier Data

Western blot - Anti-Sp8 antibody [EPR26224-86] - BSA and Azide free (AB302916)

This data was developed using ab302915, the same antibody clone in a different buffer formulation.

Blocking and dilution buffer : 5% NFDM/TBST

Low expression :  spleen, lung (consistent with the predicted expression pattern).

Bands below 60 kDa may due to degradation.

This blot was developed using a high sensitivity ECL substrate. The high-sensitivity ECL substrate used allows for the detection of proteins in the mid-femtogram range.

All lanes:

Western blot - Anti-Sp8 antibody [EPR26224-86] (<a href='/en-us/products/primary-antibodies/sp8-antibody-epr26224-86-ab302915'>ab302915</a>) at 1/1000 dilution

Lane 1:

Rat olfactory bulb tissue lysate at 20 µg

Lane 2:

Rat spleen tissue lysate at 20 µg

Lane 3:

Rat lung tissue lysate at 20 µg

Secondary

All lanes:

Western blot - Goat Anti-Rabbit IgG H&L (HRP) (<a href='/en-us/products/secondary-antibodies/goat-rabbit-igg-h-l-hrp-ab97051'>ab97051</a>) at 1/50000 dilution

Predicted band size: 48 kDa

Observed band size: 30-60 kDa

true

Exposure time: 180s

Key facts

Host species

Rabbit

Clonality

Monoclonal

Clone number

EPR26224-86

Isotype

IgG

Carrier free

Yes

Reacts with

Human, Rat

Applications

WB, IHC-P, IHC-Fr

applications

Immunogen

The exact immunogen used to generate this antibody is proprietary information.

Reactivity data

{ "title": "Reactivity Data", "filters": { "stats": ["", "Species", "Dilution Info", "Notes"], "tabs": { "all-applications": {"fullname" : "All Applications", "shortname": "All Applications"}, "WB" : {"fullname" : "Western blot", "shortname":"WB"}, "IHCP" : {"fullname" : "Immunohistochemistry (Formalin/PFA-fixed paraffin-embedded sections)", "shortname":"IHC-P"}, "IHCFr" : {"fullname" : "Immunohistochemistry (Frozen sections)", "shortname":"IHC-Fr"}, "ICCIF" : {"fullname" : "Immunocytochemistry/ Immunofluorescence", "shortname":"ICC/IF"}, "FlowCytIntra" : {"fullname" : "Flow Cytometry (Intracellular)", "shortname":"Flow Cyt (Intra)"} }, "product-promise": { "all": "all", "testedAndGuaranteed": "tested", "guaranteed": "expected", "predicted": "predicted", "notRecommended": "not-recommended" } }, "values": { "Human": { "WB-species-checked": "notRecommended", "WB-species-dilution-info": "", "WB-species-notes": "<p></p>", "IHCP-species-checked": "testedAndGuaranteed", "IHCP-species-dilution-info": "", "IHCP-species-notes": "<p></p>", "IHCFr-species-checked": "guaranteed", "IHCFr-species-dilution-info": "", "IHCFr-species-notes": "", "ICCIF-species-checked": "notRecommended", "ICCIF-species-dilution-info": "", "ICCIF-species-notes": "<p></p>", "FlowCytIntra-species-checked": "notRecommended", "FlowCytIntra-species-dilution-info": "", "FlowCytIntra-species-notes": "<p></p>" }, "Mouse": { "WB-species-checked": "notRecommended", "WB-species-dilution-info": "", "WB-species-notes": "<p></p>", "IHCP-species-checked": "notRecommended", "IHCP-species-dilution-info": "", "IHCP-species-notes": "<p></p>", "IHCFr-species-checked": "notRecommended", "IHCFr-species-dilution-info": "", "IHCFr-species-notes": "<p></p>", "ICCIF-species-checked": "notRecommended", "ICCIF-species-dilution-info": "", "ICCIF-species-notes": "", "FlowCytIntra-species-checked": "notRecommended", "FlowCytIntra-species-dilution-info": "", "FlowCytIntra-species-notes": "" }, "Rat": { "WB-species-checked": "testedAndGuaranteed", "WB-species-dilution-info": "", "WB-species-notes": "<p></p>", "IHCP-species-checked": "testedAndGuaranteed", "IHCP-species-dilution-info": "", "IHCP-species-notes": "<p></p>", "IHCFr-species-checked": "testedAndGuaranteed", "IHCFr-species-dilution-info": "", "IHCFr-species-notes": "<p></p>", "ICCIF-species-checked": "notRecommended", "ICCIF-species-dilution-info": "", "ICCIF-species-notes": "", "FlowCytIntra-species-checked": "notRecommended", "FlowCytIntra-species-dilution-info": "", "FlowCytIntra-species-notes": "" } } }

Product details

Conjugation ready
Our carrier-free antibodies are typically supplied in a PBS-only formulation, purified and free of BSA, sodium azide and glycerol. This conjugation-ready format is designed for use with fluorochromes, metal isotopes, oligonucleotides, and enzymes, which makes them ideal for antibody labelling, functional and cell-based assays, flow-based assays (e.g. mass cytometry) and Multiplex Imaging applications.

Use our conjugation kits for antibody conjugates that are ready-to-use in as little as 20 minutes with 1 minute hands-on-time and 100% antibody recovery: available for fluorescent dyes, HRP, biotin and gold.

Compatibility
This product is compatible with the Maxpar® Antibody Labeling Kit from Fluidigm, without the need for antibody preparation. Maxpar® is a trademark of Fluidigm Canada Inc.

Patented technology
Our RabMAb® technology is a patented hybridoma-based technology for making rabbit monoclonal antibodies. For details on our patents, please refer to RabMAb® patents.

What are the advantages of a recombinant monoclonal antibody?
This product is a recombinant monoclonal antibody, which offers several advantages including:

  • - High batch-to-batch consistency and reproducibility
  • - Improved sensitivity and specificity
  • - Long-term security of supply
  • - Animal-free batch production

For more information, read more on recombinant antibodies.

Properties and storage information

Form
Liquid
Purification technique
Affinity purification Protein A
Storage buffer
pH: 7.2 - 7.4 Constituents: PBS
Shipped at conditions
Blue Ice
Appropriate short-term storage conditions
+4°C
Appropriate long-term storage conditions
+4°C
Storage information
Do Not Freeze

Supplementary information

This supplementary information is collated from multiple sources and compiled automatically.

Sp8 also known as Specificity protein 8 is a zinc finger transcription factor. It has a molecular weight of approximately 52 kDa. This protein is expressed primarily in developing tissues including the nervous system and limb buds. It plays an important role during embryonic development by modulating the expression of multiple target genes important for tissue differentiation.
Biological function summary

Sp8 is involved in the regulation of several developmental processes. It functions as a transcription factor that can activate or repress gene expression influencing cell fate during embryogenesis. Sp8 interacts with other transcription factors and cofactors to form larger transcriptional complexes. This protein is also important for the development of the telencephalon and limbs playing a pivotal role in ensuring proper morphological development.

Pathways

Sp8 is an active participant in the Wnt signaling pathway where it contributes to the regulation of gene transcription required for development. In this pathway Sp8 interacts with other factors like β-catenin to promote transcriptional activation of target genes. Sp8 also has connections to the Sonic Hedgehog (Shh) signaling pathway where it influences cell proliferation and differentiation. Both pathways are essential for embryonic development and organogenesis.

Sp8 mutations or dysregulation have been associated with intellectual disabilities and limb malformations. These conditions highlight Sp8’s role in normal neurological and skeletal development. Within these disease contexts Sp8 interacts with proteins such as GLI3 which also plays a role in the developmental abnormalities seen in some syndromes. Understanding the role of Sp8 can provide insights into the molecular mechanisms underlying these disorders.

Product protocols

For this product, it's our understanding that no specific protocols are required. You can visit:

Target data

Transcription factor which plays a key role in limb development. Positively regulates FGF8 expression in the apical ectodermal ridge (AER) and contributes to limb outgrowth in embryos (By similarity).
See full target information SP8

Product promise

We are committed to supporting your work with high-quality reagents, and we're here for you every step of the way. In the unlikely event that one of our products does not perform as expected, you're protected by our Product Promise.
For full details, please see our Terms & Conditions

Please note: All products are 'FOR RESEARCH USE ONLY. NOT FOR USE IN DIAGNOSTIC OR THERAPEUTIC PROCEDURES'.

For licensing inquiries, please contact partnerships@abcam.com