JavaScript is disabled in your browser. Please enable JavaScript to view this website.
AB121768

Anti-SPACA3 antibody

Be the first to review this product! Submit a review

|

(1 Publication)

Rabbit Polyclonal SPACA3 antibody. Suitable for IHC-P, WB and reacts with Human samples. Cited in 1 publication. Immunogen corresponding to Recombinant Fragment Protein within Human SPACA3 aa 100 to C-terminus.

View Alternative Names

LYC3, LYZL3, SLLP1, SPRASA, UNQ424/PRO862, SPACA3, Sperm acrosome membrane-associated protein 3, Cancer/testis antigen 54, Lysozyme-like acrosomal sperm-specific secretory protein ALLP-17, Lysozyme-like protein 3, Sperm lysozyme-like protein 1, Sperm protein reactive with antisperm antibodies, CT54, Sperm protein reactive with ASA

2 Images
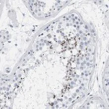
Immunohistochemistry (Formalin/PFA-fixed paraffin-embedded sections) - Anti-SPACA3 antibody (AB121768)
  • IHC-P

Unknown

Immunohistochemistry (Formalin/PFA-fixed paraffin-embedded sections) - Anti-SPACA3 antibody (AB121768)

ab121768 at a 1/2500 dilution staining SPACA3 in paraffin embedded Human testis tissue by Immunohistochemistry.

Western blot - Anti-SPACA3 antibody (AB121768)
  • WB

Unknown

Western blot - Anti-SPACA3 antibody (AB121768)

Lane 1 : Marker [kDa] 250; 130; 95; 72; 55; 36; 28; 17; 10
Lane 2 : Negative control (vector only transfected HEK293T lysate)
Lane 3 : Over-expression Lysate (Co-expressed with a C-terminal myc-DDK tag (~3.1 kDa) in mammalian HEK293T cells. Lane 1 : Marker [kDa] 250; 130; 95; 72; 55; 36; 28; 17; 10
Lane 2 : Negative control (vector only transfected HEK293T lysate)
Lane 3 : Over-expression Lysate (Co-expressed with a C-terminal myc-DDK tag (~3.1 kDa) in mammalian HEK293T cells.

All lanes:

Western blot - Anti-SPACA3 antibody (ab121768)

Predicted band size: 23 kDa

false

Key facts

Host species

Rabbit

Clonality

Polyclonal

Isotype

IgG

Carrier free

No

Reacts with

Human

Applications

IHC-P, WB

applications

Immunogen

Recombinant Fragment Protein within Human SPACA3 aa 100 to C-terminus. The exact immunogen used to generate this antibody is proprietary information.

Q8IXA5

Reactivity data

{ "title": "Reactivity Data", "filters": { "stats": ["", "Species", "Dilution Info", "Notes"], "tabs": { "all-applications": {"fullname" : "All Applications", "shortname": "All Applications"}, "IHCP" : {"fullname" : "Immunohistochemistry (Formalin/PFA-fixed paraffin-embedded sections)", "shortname":"IHC-P"}, "WB" : {"fullname" : "Western blot", "shortname":"WB"} }, "product-promise": { "all": "all", "testedAndGuaranteed": "tested", "guaranteed": "expected", "predicted": "predicted", "notRecommended": "not-recommended" } }, "values": { "Human": { "IHCP-species-checked": "testedAndGuaranteed", "IHCP-species-dilution-info": "1/2500 - 1/5000", "IHCP-species-notes": "<p></p> Perform heat-mediated antigen retrieval with citrate buffer pH 6 before commencing with IHC staining protocol.", "WB-species-checked": "testedAndGuaranteed", "WB-species-dilution-info": "0.04-0.4 µg/mL", "WB-species-notes": "<p></p>" } } }

Properties and storage information

Form
Liquid
Purification technique
Affinity purification Immunogen
Storage buffer
pH: 7.2 Preservative: 0.02% Sodium azide Constituents: PBS, 40% Glycerol (glycerin, glycerine)
Shipped at conditions
Blue Ice
Appropriate short-term storage conditions
+4°C
Appropriate long-term storage conditions
-20°C
Aliquoting information
Upon delivery aliquot
Storage information
Avoid freeze / thaw cycle

Product protocols

For this product, it's our understanding that no specific protocols are required. You can visit:

Target data

Sperm surface membrane protein that may be involved in sperm-egg plasma membrane adhesion and fusion during fertilization. It could be a potential receptor for the egg oligosaccharide residue N-acetylglucosamine, which is present in the extracellular matrix over the egg plasma membrane. The processed form has no detectable bacteriolytic activity in vitro.
See full target information SPACA3

Publications (1)

Recent publications for all applications. Explore the full list and refine your search

The Journal of allergy and clinical immunology 130:481-8.e2 PubMed22721650

2012

LPS-responsive beige-like anchor (LRBA) gene mutation in a family with inflammatory bowel disease and combined immunodeficiency.

Applications

Unspecified application

Species

Unspecified reactive species

Abdullah Alangari,Abdulrahman Alsultan,Nouran Adly,Michel J Massaad,Iram Shakir Kiani,Abdulrahman Aljebreen,Emad Raddaoui,Abdul-Kareem Almomen,Saleh Al-Muhsen,Raif S Geha,Fowzan S Alkuraya
View all publications

Product promise

We are committed to supporting your work with high-quality reagents, and we're here for you every step of the way. In the unlikely event that one of our products does not perform as expected, you're protected by our Product Promise.
For full details, please see our Terms & Conditions

Please note: All products are 'FOR RESEARCH USE ONLY. NOT FOR USE IN DIAGNOSTIC OR THERAPEUTIC PROCEDURES'.

For licensing inquiries, please contact partnerships@abcam.com