JavaScript is disabled in your browser. Please enable JavaScript to view this website.
AB248204

Anti-SPAK antibody [EPR6394] - BSA and Azide free

Be the first to review this product! Submit a review

|

(0 Publication)

Rabbit Recombinant Monoclonal SPAK antibody. Carrier free. Suitable for IHC-P, WB and reacts with Human samples.

View Alternative Names

PASK, SPAK, STK39, STE20/SPS1-related proline-alanine-rich protein kinase, Ste-20-related kinase, DCHT, Serine/threonine-protein kinase 39

4 Images
Western blot - Anti-SPAK antibody [EPR6394] - BSA and Azide free (AB248204)
  • WB

Unknown

Western blot - Anti-SPAK antibody [EPR6394] - BSA and Azide free (AB248204)

This data was developed using ab128894, the same antibody clone in a different buffer formulation.

All lanes:

Western blot - Anti-SPAK antibody [EPR6394] (<a href='/en-us/products/primary-antibodies/spak-antibody-epr6394-ab128894'>ab128894</a>) at 1/1000 dilution

Lane 1:

SH-SY5Y cell lysate at 10 µg

Lane 2:

293T (Human embryonic kidney epithelial cell) cell lysate at 10 µg

Lane 3:

Jurkat cell lysate at 10 µg

Lane 4:

BxPC-3 cell lysate at 10 µg

Lane 5:

HepG2 cell lysate at 10 µg

Secondary

All lanes:

HRP labelled goat anti-rabbit IgG at 1/2000 dilution

Predicted band size: 59 kDa

Observed band size: 65 kDa

false

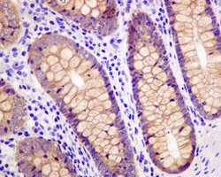
Immunohistochemistry (Formalin/PFA-fixed paraffin-embedded sections) - Anti-SPAK antibody [EPR6394] - BSA and Azide free (AB248204)
  • IHC-P

Unknown

Immunohistochemistry (Formalin/PFA-fixed paraffin-embedded sections) - Anti-SPAK antibody [EPR6394] - BSA and Azide free (AB248204)

This data was developed using ab128894, the same antibody clone in a different buffer formulation.

ab128894, at 1/50 dilution, staining SPAK in paraffin embedded Human colon tissue by Immunohistochemistry.

Perform heat mediated antigen retrieval before commencing with IHC staining protocol.

Western blot - Anti-SPAK antibody [EPR6394] - BSA and Azide free (AB248204)
  • WB

Lab

Western blot - Anti-SPAK antibody [EPR6394] - BSA and Azide free (AB248204)

This data was developed using ab128894, the same antibody clone in a different buffer formulation.

Lane 1 : Wild-type HAP1 whole cell lysate (20 μg)

Lane 2 : SPAK knockout HAP1 whole cell lysate (20 μg)

Lane 3 : Jurkat whole cell lysate (20 μg)

Lane 4 : MCF7 whole cell lysate (20 μg)

Lanes 1 - 4 : Merged signal (red and green). Green - ab128894 observed at 70 kDa. Red - loading control, ab8245, observed at 37 kDa.

ab128894 was shown to specifically react with SPAK in wild-type HAP1 cells along with additional cross-reactive bands. No band was observed when SPAK knockout samples were uexamined. Wild-type and SPAK knockout samples were subjected to SDS-PAGE. ab128894 and ab8245 (Mouse anti-GAPDH loading control) were incubated overnight at 4°C at 1/1000 dilution and 1/10,000 dilution respectively. Blots were developed with Goat anti-Rabbit IgG H&L (IRDye® 800CW) preabsorbed ab216773 and Goat anti-Mouse IgG H&L (IRDye® 680RD) preabsorbed ab216776 secondary antibodies at 1/10,000 dilution for 1 hour at room temperature before imaging.

All lanes:

Western blot - Anti-SPAK antibody [EPR6394] (<a href='/en-us/products/primary-antibodies/spak-antibody-epr6394-ab128894'>ab128894</a>)

Predicted band size: 59 kDa

Observed band size: 70 kDa

false

OI-RD Scanning - Anti-SPAK antibody [EPR6394] - BSA and Azide free (AB248204)
  • OI-RD Scanning

Unknown

OI-RD Scanning - Anti-SPAK antibody [EPR6394] - BSA and Azide free (AB248204)

We have systematically measured KD (the equilibrium dissociation constant between the antibody and its antigen), of more than 840 recombinant antibodies to assess not only their individual KD values but also to see the average affinity of antibody. Based on the comparison with published literature values for mouse monoclonal antibodies, Recombinant antibodies appear to be on average 1-2 order of magnitude higher affinity.

Key facts

Host species

Rabbit

Clonality

Monoclonal

Clone number

EPR6394

Isotype

IgG

Carrier free

Yes

Reacts with

Human

Applications

WB, IHC-P

applications

Immunogen

The exact immunogen used to generate this antibody is proprietary information.

Reactivity data

{ "title": "Reactivity Data", "filters": { "stats": ["", "Species", "Dilution Info", "Notes"], "tabs": { "all-applications": {"fullname" : "All Applications", "shortname": "All Applications"}, "IHCP" : {"fullname" : "Immunohistochemistry (Formalin/PFA-fixed paraffin-embedded sections)", "shortname":"IHC-P"}, "ICCIF" : {"fullname" : "Immunocytochemistry/ Immunofluorescence", "shortname":"ICC/IF"}, "IP" : {"fullname" : "Immunoprecipitation", "shortname":"IP"}, "WB" : {"fullname" : "Western blot", "shortname":"WB"}, "FlowCytIntra" : {"fullname" : "Flow Cytometry (Intracellular)", "shortname":"Flow Cyt (Intra)"} }, "product-promise": { "all": "all", "testedAndGuaranteed": "tested", "guaranteed": "expected", "predicted": "predicted", "notRecommended": "not-recommended" } }, "values": { "Human": { "IHCP-species-checked": "testedAndGuaranteed", "IHCP-species-dilution-info": "", "IHCP-species-notes": "<p></p> Perform heat-mediated antigen retrieval before commencing with IHC staining protocol.", "ICCIF-species-checked": "notRecommended", "ICCIF-species-dilution-info": "", "ICCIF-species-notes": "<p></p>", "IP-species-checked": "notRecommended", "IP-species-dilution-info": "", "IP-species-notes": "<p></p>", "WB-species-checked": "testedAndGuaranteed", "WB-species-dilution-info": "", "WB-species-notes": "<p></p>", "FlowCytIntra-species-checked": "notRecommended", "FlowCytIntra-species-dilution-info": "", "FlowCytIntra-species-notes": "<p></p>" } } }

Product details

ab248204 is the carrier-free version of ab128894.

Species reactivity
Mouse, Rat: We have preliminary internal testing data to indicate this antibody may not react with these species.
Please contact us for more information.

Patented technology
Our RabMAb® technology is a patented hybridoma-based technology for making rabbit monoclonal antibodies. For details on our patents, please refer to RabMAb® patents.

What are the advantages of a recombinant monoclonal antibody?
This product is a recombinant monoclonal antibody, which offers several advantages including:

  • - High batch-to-batch consistency and reproducibility
  • - Improved sensitivity and specificity
  • - Long-term security of supply
  • - Animal-free batch production

For more information, read more on recombinant antibodies.

Conjugation ready
Our carrier-free antibodies are typically supplied in a PBS-only formulation, purified and free of BSA, sodium azide and glycerol. This conjugation-ready format is designed for use with fluorochromes, metal isotopes, oligonucleotides, and enzymes, which makes them ideal for antibody labelling, functional and cell-based assays, flow-based assays (e.g. mass cytometry) and Multiplex Imaging applications.

Use our conjugation kits for antibody conjugates that are ready-to-use in as little as 20 minutes with 1 minute hands-on-time and 100% antibody recovery: available for fluorescent dyes, HRP, biotin and gold.

Compatibility
This product is compatible with the Maxpar® Antibody Labeling Kit from Fluidigm, without the need for antibody preparation. Maxpar® is a trademark of Fluidigm Canada Inc.

Properties and storage information

Form
Liquid
Purification technique
Affinity purification Protein A
Storage buffer
pH: 7.2 - 7.4 Constituents: PBS
Shipped at conditions
Blue Ice
Appropriate short-term storage conditions
+4°C
Appropriate long-term storage conditions
+4°C
Storage information
Do Not Freeze

Supplementary information

This supplementary information is collated from multiple sources and compiled automatically.

SPAK also known as Ste20-related Proline-Alanine-rich Kinase is a serine/threonine protein kinase with a molecular mass of approximately 61 kDa. It plays a critical mechanical role in the regulation of ion transport and cell volume by phosphorylating a variety of ion transporters and channels. SPAK expresses in many tissues including the kidney brain and heart which highlights its multifaceted functions in different physiological contexts.
Biological function summary

SPAK integrates into cellular signaling processes by contributing to the regulation of sodium potassium and chloride transport. This kinase mainly interacts within complexes of kinase networks that include OSR1 and WNK kinases. SPAK has essential roles in mediating responses to osmotic stress and modulating ion homeostasis reflecting its participation in regulating blood pressure and neuronal excitability.

Pathways

SPAK serves a significant role in the WNK signaling pathway and the MAPK pathway. WNK kinases activate SPAK through phosphorylation allowing SPAK to modulate the activity of co-transporter proteins. This interaction is important for managing ion fluxes across membranes. Furthermore SPAK's interplay with the MAPK pathway implicates it in cellular stress responses and proliferation where it coordinates with players like p38 MAPK to influence cell survival.

Researchers have linked SPAK to conditions like hypertension and epilepsy. Its association with hypertension arises through its involvement in sodium balance where disrupted SPAK activity can lead to increased blood pressure. SPAK also connects with epilepsy via modulation of neuronal ion transport playing a part alongside other proteins such as OSR1 in maintaining neuronal excitability. Understanding SPAK's role helps in developing strategies for managing these conditions.

Product protocols

For this product, it's our understanding that no specific protocols are required. You can visit:

Target data

Effector serine/threonine-protein kinase component of the WNK-SPAK/OSR1 kinase cascade, which is involved in various processes, such as ion transport, response to hypertonic stress and blood pressure (PubMed : 16669787, PubMed : 18270262, PubMed : 21321328, PubMed : 34289367). Specifically recognizes and binds proteins with a RFXV motif (PubMed : 16669787, PubMed : 21321328). Acts downstream of WNK kinases (WNK1, WNK2, WNK3 or WNK4) : following activation by WNK kinases, catalyzes phosphorylation of ion cotransporters, such as SLC12A1/NKCC2, SLC12A2/NKCC1, SLC12A3/NCC, SLC12A5/KCC2 or SLC12A6/KCC3, regulating their activity (PubMed : 21321328). Mediates regulatory volume increase in response to hyperosmotic stress by catalyzing phosphorylation of ion cotransporters SLC12A1/NKCC2, SLC12A2/NKCC1 and SLC12A6/KCC3 downstream of WNK1 and WNK3 kinases (PubMed : 12740379, PubMed : 16669787, PubMed : 21321328). Phosphorylation of Na-K-Cl cotransporters SLC12A2/NKCC1 and SLC12A2/NKCC1 promote their activation and ion influx; simultaneously, phosphorylation of K-Cl cotransporters SLC12A5/KCC2 and SLC12A6/KCC3 inhibit their activity, blocking ion efflux (PubMed : 16669787, PubMed : 19665974, PubMed : 21321328). Acts as a regulator of NaCl reabsorption in the distal nephron by mediating phosphorylation and activation of the thiazide-sensitive Na-Cl cotransporter SLC12A3/NCC in distal convoluted tubule cells of kidney downstream of WNK4 (PubMed : 18270262). Mediates the inhibition of SLC4A4, SLC26A6 as well as CFTR activities (By similarity). Phosphorylates RELT (By similarity).
See full target information STK39

Product promise

We are committed to supporting your work with high-quality reagents, and we're here for you every step of the way. In the unlikely event that one of our products does not perform as expected, you're protected by our Product Promise.
For full details, please see our Terms & Conditions

Please note: All products are 'FOR RESEARCH USE ONLY. NOT FOR USE IN DIAGNOSTIC OR THERAPEUTIC PROCEDURES'.

For licensing inquiries, please contact partnerships@abcam.com