JavaScript is disabled in your browser. Please enable JavaScript to view this website.
AB192798

Anti-SPAK (phospho S309) antibody

Be the first to review this product! Submit a review

|

(1 Publication)

Rabbit Polyclonal SPAK phospho S309 antibody. Suitable for WB, IHC-P and reacts with Human samples. Cited in 1 publication. Immunogen corresponding to Synthetic Peptide within Human STK39 phospho S309 conjugated to Keyhole Limpet Haemocyanin.

View Alternative Names

PASK, SPAK, STK39, STE20/SPS1-related proline-alanine-rich protein kinase, Ste-20-related kinase, DCHT, Serine/threonine-protein kinase 39

2 Images
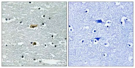
Immunohistochemistry (Formalin/PFA-fixed paraffin-embedded sections) - Anti-SPAK (phospho S309) antibody (AB192798)
  • IHC-P

Supplier Data

Immunohistochemistry (Formalin/PFA-fixed paraffin-embedded sections) - Anti-SPAK (phospho S309) antibody (AB192798)

Immunohistochemical analysis of paraffin-embedded Human brain tissue labeling SPAK (phospho S311) with ab192798 at 1/50 (left) or ab192798 preincubated with blocking peptide (right).

Western blot - Anti-SPAK (phospho S309) antibody (AB192798)
  • WB

Supplier Data

Western blot - Anti-SPAK (phospho S309) antibody (AB192798)

All lanes:

Western blot - Anti-SPAK (phospho S309) antibody (ab192798) at 1/500 dilution

Lane 1:

COLO cell extract

Lane 2:

COLO cell extract with antigen-specific peptide

Predicted band size: 59 kDa

false

Key facts

Host species

Rabbit

Clonality

Polyclonal

Isotype

IgG

Carrier free

No

Reacts with

Human

Applications

WB, IHC-P

applications

Immunogen

Synthetic Peptide within Human STK39 phospho S309 conjugated to Keyhole Limpet Haemocyanin. The exact immunogen used to generate this antibody is proprietary information.

Q9UEW8

Reactivity data

{ "title": "Reactivity Data", "filters": { "stats": ["", "Species", "Dilution Info", "Notes"], "tabs": { "all-applications": {"fullname" : "All Applications", "shortname": "All Applications"}, "WB" : {"fullname" : "Western blot", "shortname":"WB"}, "IHCP" : {"fullname" : "Immunohistochemistry (Formalin/PFA-fixed paraffin-embedded sections)", "shortname":"IHC-P"} }, "product-promise": { "all": "all", "testedAndGuaranteed": "tested", "guaranteed": "expected", "predicted": "predicted", "notRecommended": "not-recommended" } }, "values": { "Human": { "WB-species-checked": "testedAndGuaranteed", "WB-species-dilution-info": "1/500 - 1/1000", "WB-species-notes": "<p></p>", "IHCP-species-checked": "testedAndGuaranteed", "IHCP-species-dilution-info": "1/50 - 1/100", "IHCP-species-notes": "<p></p>" }, "Mouse": { "WB-species-checked": "predicted", "WB-species-dilution-info": "", "WB-species-notes": "", "IHCP-species-checked": "predicted", "IHCP-species-dilution-info": "", "IHCP-species-notes": "" }, "Rat": { "WB-species-checked": "predicted", "WB-species-dilution-info": "", "WB-species-notes": "", "IHCP-species-checked": "predicted", "IHCP-species-dilution-info": "", "IHCP-species-notes": "" } } }

Properties and storage information

Form
Liquid
Purification technique
Affinity purification Immunogen
Purification notes
ab192798 was purified by affinity-chromatography using epitope-specific phosphopeptide. Non-phospho specific antibodies were removed by chromatography using non-phosphopeptide.
Storage buffer
pH: 7.4 Preservative: 0.02% Sodium azide Constituents: PBS, 50% Glycerol (glycerin, glycerine), 0.87% Sodium chloride
Shipped at conditions
Blue Ice
Appropriate short-term storage duration
1-2 weeks
Appropriate short-term storage conditions
+4°C
Appropriate long-term storage conditions
-20°C
Aliquoting information
Upon delivery aliquot
Storage information
Avoid freeze / thaw cycle

Supplementary information

This supplementary information is collated from multiple sources and compiled automatically.

SPAK also known as Ste20-related Proline-Alanine-rich Kinase is a serine/threonine protein kinase with a molecular mass of approximately 61 kDa. It plays a critical mechanical role in the regulation of ion transport and cell volume by phosphorylating a variety of ion transporters and channels. SPAK expresses in many tissues including the kidney brain and heart which highlights its multifaceted functions in different physiological contexts.
Biological function summary

SPAK integrates into cellular signaling processes by contributing to the regulation of sodium potassium and chloride transport. This kinase mainly interacts within complexes of kinase networks that include OSR1 and WNK kinases. SPAK has essential roles in mediating responses to osmotic stress and modulating ion homeostasis reflecting its participation in regulating blood pressure and neuronal excitability.

Pathways

SPAK serves a significant role in the WNK signaling pathway and the MAPK pathway. WNK kinases activate SPAK through phosphorylation allowing SPAK to modulate the activity of co-transporter proteins. This interaction is important for managing ion fluxes across membranes. Furthermore SPAK's interplay with the MAPK pathway implicates it in cellular stress responses and proliferation where it coordinates with players like p38 MAPK to influence cell survival.

Researchers have linked SPAK to conditions like hypertension and epilepsy. Its association with hypertension arises through its involvement in sodium balance where disrupted SPAK activity can lead to increased blood pressure. SPAK also connects with epilepsy via modulation of neuronal ion transport playing a part alongside other proteins such as OSR1 in maintaining neuronal excitability. Understanding SPAK's role helps in developing strategies for managing these conditions.

Product protocols

For this product, it's our understanding that no specific protocols are required. You can visit:

Target data

Effector serine/threonine-protein kinase component of the WNK-SPAK/OSR1 kinase cascade, which is involved in various processes, such as ion transport, response to hypertonic stress and blood pressure (PubMed : 16669787, PubMed : 18270262, PubMed : 21321328, PubMed : 34289367). Specifically recognizes and binds proteins with a RFXV motif (PubMed : 16669787, PubMed : 21321328). Acts downstream of WNK kinases (WNK1, WNK2, WNK3 or WNK4) : following activation by WNK kinases, catalyzes phosphorylation of ion cotransporters, such as SLC12A1/NKCC2, SLC12A2/NKCC1, SLC12A3/NCC, SLC12A5/KCC2 or SLC12A6/KCC3, regulating their activity (PubMed : 21321328). Mediates regulatory volume increase in response to hyperosmotic stress by catalyzing phosphorylation of ion cotransporters SLC12A1/NKCC2, SLC12A2/NKCC1 and SLC12A6/KCC3 downstream of WNK1 and WNK3 kinases (PubMed : 12740379, PubMed : 16669787, PubMed : 21321328). Phosphorylation of Na-K-Cl cotransporters SLC12A2/NKCC1 and SLC12A2/NKCC1 promote their activation and ion influx; simultaneously, phosphorylation of K-Cl cotransporters SLC12A5/KCC2 and SLC12A6/KCC3 inhibit their activity, blocking ion efflux (PubMed : 16669787, PubMed : 19665974, PubMed : 21321328). Acts as a regulator of NaCl reabsorption in the distal nephron by mediating phosphorylation and activation of the thiazide-sensitive Na-Cl cotransporter SLC12A3/NCC in distal convoluted tubule cells of kidney downstream of WNK4 (PubMed : 18270262). Mediates the inhibition of SLC4A4, SLC26A6 as well as CFTR activities (By similarity). Phosphorylates RELT (By similarity).
See full target information STK39 phospho S309

Publications (1)

Recent publications for all applications. Explore the full list and refine your search

Communications biology 8:916 PubMed40527961

2025

Drug treatment alters performance in a neural microphysiological system of information processing.

Applications

Unspecified application

Species

Unspecified reactive species

Bradley Watmuff,Forough Habibollahi,Candice Desouza,Moein Khajehnejad,Alon Loeffler,Koby Baranes,Noah Poulin,Mark Kotter,Brett J Kagan
View all publications

Product promise

We are committed to supporting your work with high-quality reagents, and we're here for you every step of the way. In the unlikely event that one of our products does not perform as expected, you're protected by our Product Promise.
For full details, please see our Terms & Conditions

Please note: All products are 'FOR RESEARCH USE ONLY. NOT FOR USE IN DIAGNOSTIC OR THERAPEUTIC PROCEDURES'.

For licensing inquiries, please contact partnerships@abcam.com