JavaScript is disabled in your browser. Please enable JavaScript to view this website.
AB290647

Anti-SPARC antibody [EPR25122-122] - BSA and Azide free

Be the first to review this product! Submit a review

|

(0 Publication)

Rabbit Recombinant Monoclonal SPARC antibody. Carrier free. Suitable for ICC/IF, IP, WB, IHC-P, Flow Cyt (Intra) and reacts with Mouse, Rat samples.

View Alternative Names

SPARC, Basement-membrane protein 40, Osteonectin, Secreted protein acidic and rich in cysteine, BM-40, ON, Sparc

12 Images
Immunohistochemistry (Formalin/PFA-fixed paraffin-embedded sections) - Anti-SPARC antibody [EPR25122-122] - BSA and Azide free (AB290647)
  • IHC-P

Supplier Data

Immunohistochemistry (Formalin/PFA-fixed paraffin-embedded sections) - Anti-SPARC antibody [EPR25122-122] - BSA and Azide free (AB290647)

This data was developed using ab290636, the same antibody clone in a different buffer formulation.

Immunohistochemical analysis of paraffin-embedded mouse hepatocellular tissue labelling SPARC with ab290636 at 1/15000 (0.041 μg/ml) followed by a ready to use LeicaDS9800 (BOND™ Polymer Refine Detection) . Positive staining on interstitial cells of mouse hepatocellular carcinoma. The section was incubated with ab290636 for 30 mins at room temperature.The immunostaining was performed on a Leica Biosystems BOND® RX instrument. Counterstained with Hematoxylin.

Secondary antibody only control : Secondary antibody is a ready to use LeicaDS9800 (BOND™ Polymer Refine Detection) .

Heat mediated antigen retrieval with Tris-EDTA buffer (pH 9.0, epitope retrieval solution2) for 20 mins.

Flow Cytometry (Intracellular) - Anti-SPARC antibody [EPR25122-122] - BSA and Azide free (AB290647)
  • Flow Cyt (Intra)

Supplier Data

Flow Cytometry (Intracellular) - Anti-SPARC antibody [EPR25122-122] - BSA and Azide free (AB290647)

This data was developed using ab290636, the same antibody clone in a different buffer formulation.

Intracellular flow cytometric analysis of 4% paraformaldehyde fixed 90% methanol permeabilized Rat primary neuron cells labelling SPARC with ab290636 at 1/600 dilution (0.1μg) (Right) compared with a Rabbit monoclonal IgG (ab172730) (Left). A Goat Anti-Rabbit IgG (Alexa Fluor® 488, ab150081) at 1/2000 dilution was used as the secondary antibody.

Immunohistochemistry (Formalin/PFA-fixed paraffin-embedded sections) - Anti-SPARC antibody [EPR25122-122] - BSA and Azide free (AB290647)
  • IHC-P

Supplier Data

Immunohistochemistry (Formalin/PFA-fixed paraffin-embedded sections) - Anti-SPARC antibody [EPR25122-122] - BSA and Azide free (AB290647)

This data was developed using ab290636, the same antibody clone in a different buffer formulation.

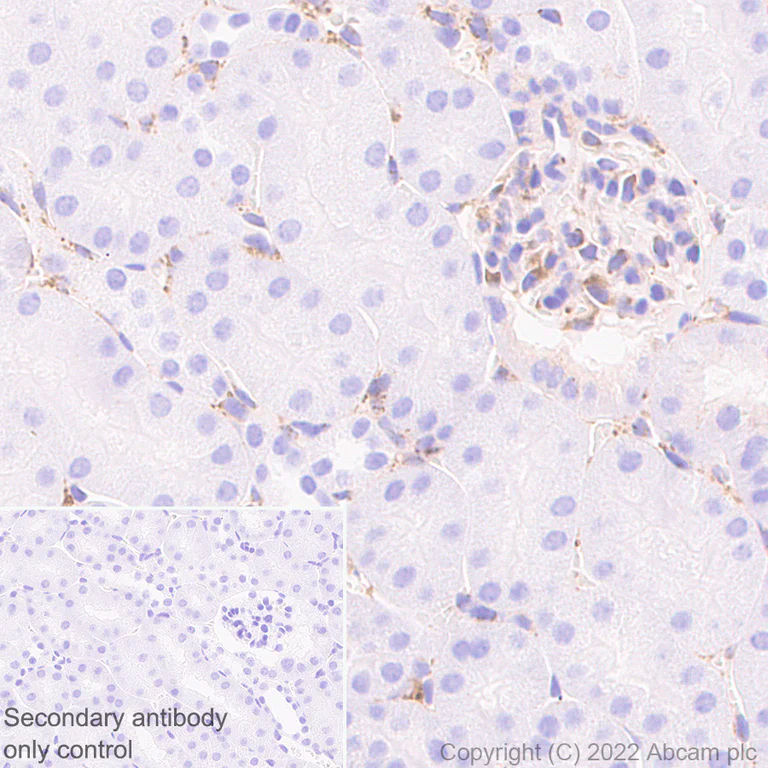
Immunohistochemical analysis of paraffin-embedded Mouse kidney tissue labelling SPARC with ab290636 at 1/15000 (0.041 μg/ml) followed by a ready to use LeicaDS9800 (BOND™ Polymer Refine Detection) . Positive staining on glomerulus and endothelium of mouse kidney. The section was incubated with ab290636 for 30 mins at room temperature.The immunostaining was performed on a Leica Biosystems BOND® RX instrument Counterstained with Hematoxylin.

Secondary antibody only control : Secondary antibody is a ready to use LeicaDS9800 (BOND™ Polymer Refine Detection) .

Heat mediated antigen retrieval with Tris-EDTA buffer (pH 9.0, epitope retrieval solution2) for 20 mins

Immunohistochemistry (Formalin/PFA-fixed paraffin-embedded sections) - Anti-SPARC antibody [EPR25122-122] - BSA and Azide free (AB290647)
  • IHC-P

Supplier Data

Immunohistochemistry (Formalin/PFA-fixed paraffin-embedded sections) - Anti-SPARC antibody [EPR25122-122] - BSA and Azide free (AB290647)

This data was developed using ab290636, the same antibody clone in a different buffer formulation.

Immunohistochemical analysis of paraffin-embedded mouse cerebrum tissue labelling SPARC with ab290636 at 1/15000 (0.041 μg/ml) followed by a ready to use LeicaDS9800 (BOND™ Polymer Refine Detection) . Positive staining on microglia of mouse cerebrum. The section was incubated with ab290636 for 30 mins at room temperature.The immunostaining was performed on a Leica Biosystems BOND® RX instrument. Counterstained with Hematoxylin.

Secondary antibody only control : Secondary antibody is a ready to use LeicaDS9800 (BOND™ Polymer Refine Detection) .

Heat mediated antigen retrieval with Tris-EDTA buffer (pH 9.0, epitope retrieval solution2) for 20 mins.

Immunocytochemistry/ Immunofluorescence - Anti-SPARC antibody [EPR25122-122] - BSA and Azide free (AB290647)
  • ICC/IF

Lab

Immunocytochemistry/ Immunofluorescence - Anti-SPARC antibody [EPR25122-122] - BSA and Azide free (AB290647)

Immunofluorescent analysis of 4% paraformaldehyde-fixed, 0.1% Triton X-100 permeabilized bEnd.3 (mouse brain endothelioma cell line) cells labelling SPARC with primary antibody anti-SPARC (ab290636) at 1/100 dilution, followed by Goat Anti-Rabbit IgG H&L (Alexa Fluor® 488) (ab150081) secondary antibody at 1/1000 dilution (2.0 µg/mL). Confocal image showing cytoplasmic staining in bEnd.3 cells. Anti-alpha Tubulin mouse monoclonal antibody - Microtubule Marker (Alexa Fluor® 594) (ab195889) was used to counterstain tubulin at 1/200 dilution (2.5 µg/mL). The nuclear counter stain is DAPI (blue). The secondary antibody only control is : Secondary antibody is ab150081 Goat Anti-Rabbit IgG H&L (Alexa Fluor® 488) at 1/1000 dilution (2.0 µg/mL). This data was developed using ab290636, the same antibody clone in a different buffer formulation.

Immunocytochemistry/ Immunofluorescence - Anti-SPARC antibody [EPR25122-122] - BSA and Azide free (AB290647)
  • ICC/IF

Lab

Immunocytochemistry/ Immunofluorescence - Anti-SPARC antibody [EPR25122-122] - BSA and Azide free (AB290647)

Immunofluorescent analysis of 4% paraformaldehyde-fixed, 0.1% Triton X-100 permeabilized C6 (rat glial tumour cell line) cells labelling SPARC with primary antibody anti-SPARC (ab290636) at 1/100 dilution, followed by Goat Anti-Rabbit IgG H&L (Alexa Fluor® 488) (ab150081) secondary antibody at 1/1000 dilution (2.0 µg/mL). Confocal image showing cytoplasmic staining in C6 cells. Anti-alpha Tubulin mouse monoclonal antibody - Microtubule Marker (Alexa Fluor® 594) (ab195889) was used to counterstain tubulin at 1/200 dilution (2.5 µg/mL). The nuclear counter stain is DAPI (blue). The secondary antibody only control is : Secondary antibody is ab150081 Goat Anti-Rabbit IgG H&L (Alexa Fluor® 488) at 1/1000 dilution (2.0 µg/mL). This data was developed using ab290636, the same antibody clone in a different buffer formulation.

Flow Cytometry (Intracellular) - Anti-SPARC antibody [EPR25122-122] - BSA and Azide free (AB290647)
  • Flow Cyt (Intra)

Supplier Data

Flow Cytometry (Intracellular) - Anti-SPARC antibody [EPR25122-122] - BSA and Azide free (AB290647)

This data was developed using ab290636, the same antibody clone in a different buffer formulation.

Intracellular flow cytometric analysis of 4% paraformaldehyde fixed 90% methanol permeabilized Mouse primary neuron cell cells labelling SPARC with ab290636 at 1/600 dilution (0.1μg) (Right) compared with a Rabbit monoclonal IgG (ab172730) (Left) isotype control 0. A Goat Anti-Rabbit IgG (Alexa Fluor® 488, ab150081) at 1/2000 dilution was used as the secondary antibody.

Immunoprecipitation - Anti-SPARC antibody [EPR25122-122] - BSA and Azide free (AB290647)
  • IP

Supplier Data

Immunoprecipitation - Anti-SPARC antibody [EPR25122-122] - BSA and Azide free (AB290647)

This data was developed using ab290636, the same antibody clone in a different buffer formulation.

SPARC was immunoprecipitated from rat brain tissue lysate with ab290636 at 1/30 dilution (2μg in 0.35mg lysates). Western blot was performed on the immunoprecipitate using ab290636 at 1/1000 dilution. VeriBlot for IP secondary antibody(HRP)(ab131366) was used at 1/5000 dilution.

Lane 1 : Rat brain tissue lysate 10 μg

Lane 2 : ab290636 IP in Rat brain tissue lysate

Lane 3 : Rabbit monoclonal IgG (ab172730) instead of ab290636 in rat brain tissue lysate

Blocking and dilution buffer and concentration : 5% NFDM/TBST.

Exposure time : 10 seconds

All lanes:

Immunoprecipitation - Anti-SPARC antibody [EPR25122-122] (<a href='/en-us/products/primary-antibodies/sparc-antibody-epr25122-122-ab290636'>ab290636</a>)

Predicted band size: 35 kDa

false

Immunoprecipitation - Anti-SPARC antibody [EPR25122-122] - BSA and Azide free (AB290647)
  • IP

Supplier Data

Immunoprecipitation - Anti-SPARC antibody [EPR25122-122] - BSA and Azide free (AB290647)

This data was developed using ab290636, the same antibody clone in a different buffer formulation.

SPARC was immunoprecipitated from Neuro-2a (mouse neuroblastoma neuroblast) whole cell lysate with ab290636 at 1/30 dilution (2μg in 0.35mg lysates). Western blot was performed on the immunoprecipitate using ab290636 at 1/1000 dilution. VeriBlot for IP secondary antibody(HRP)(ab131366) was used at 1/5000 dilution.

Lane 1 : Neuro-2a (mouse neuroblastoma neuroblast) whole cell lysate 10 μg

Lane 2 : ab290636 IP in Neuro-2a whole cell lysate

Lane 3 : Rabbit monoclonal IgG (ab172730) instead of ab290636 in Neuro-2a whole cell lysate

Blocking and dilution buffer and concentration : 5% NFDM/TBST.

Exposure time : 10 seconds

All lanes:

Immunoprecipitation - Anti-SPARC antibody [EPR25122-122] (<a href='/en-us/products/primary-antibodies/sparc-antibody-epr25122-122-ab290636'>ab290636</a>)

Predicted band size: 35 kDa

false

Western blot - Anti-SPARC antibody [EPR25122-122] - BSA and Azide free (AB290647)
  • WB

Supplier Data

Western blot - Anti-SPARC antibody [EPR25122-122] - BSA and Azide free (AB290647)

This data was developed using ab290636, the same antibody clone in a different buffer formulation.

Blocking and diluting buffer and concentration was 5% NFDM/TBST.

The expression profile/molecular weight observed is consistent with that described in the literature (PMID : 29449802; PMID : 9008236).
SPARC is a glycosylated protein and can be deglycosylated by Protein Deglycosylation MIX II.
The additional band is expected to be a SPARC cleavage product (PMID : 9008236).

All lanes:

Western blot - Anti-SPARC antibody [EPR25122-122] (<a href='/en-us/products/primary-antibodies/sparc-antibody-epr25122-122-ab290636'>ab290636</a>) at 1/1000 dilution

Lane 1:

Untreated mouse brain tissue lysate at 15 µg

Lane 2:

Mouse brain tissue lysate treated with Protein Deglycosylation MIX II at 15 µg

Lane 3:

Untreated rat brain tissue lysate at 15 µg

Lane 4:

Rat brain tissue lysate treated with Protein Deglycosylation MIX II at 15 µg

Secondary

All lanes:

Western blot - Goat Anti-Rabbit IgG H&L (HRP) (<a href='/en-us/products/secondary-antibodies/goat-rabbit-igg-h-l-hrp-ab97051'>ab97051</a>) at 1/100000 dilution

Predicted band size: 35 kDa

Observed band size: 37 kDa,40 kDa

false

Exposure time: 103s

Western blot - Anti-SPARC antibody [EPR25122-122] - BSA and Azide free (AB290647)
  • WB

Supplier Data

Western blot - Anti-SPARC antibody [EPR25122-122] - BSA and Azide free (AB290647)

This data was developed using ab290636, the same antibody clone in a different buffer formulation.

Blocking and diluting buffer and concentration was 5% NFDM/TBST.

The expression profile/molecular weight observed is consistent with that described in the literature (PMID : 29449802; PMID : 9008236).
The additional band is expected to be a SPARC cleavage product (PMID : 9008236).

Exposure time :

Lane 2 : 5.5 seconds
Lane 1, 3-6 : 3.25 seconds

All lanes:

Western blot - Anti-SPARC antibody [EPR25122-122] (<a href='/en-us/products/primary-antibodies/sparc-antibody-epr25122-122-ab290636'>ab290636</a>) at 1/1000 dilution

Lane 1:

Mouse brain tissue lysate at 20 µg

Lane 2:

Mouse heart tissue lysate at 20 µg

Lane 3:

Mouse placenta tissue lysate at 20 µg

Lane 4:

Rat brain tissue lysate at 20 µg

Lane 5:

Rat heart tissue lysate at 20 µg

Lane 6:

Rat placenta tissue lysate at 20 µg

Secondary

All lanes:

Western blot - Goat Anti-Rabbit IgG H&L (HRP) (<a href='/en-us/products/secondary-antibodies/goat-rabbit-igg-h-l-hrp-ab97051'>ab97051</a>) at 1/100000 dilution

Predicted band size: 35 kDa

Observed band size: 37 kDa,40 kDa

false

Western blot - Anti-SPARC antibody [EPR25122-122] - BSA and Azide free (AB290647)
  • WB

Supplier Data

Western blot - Anti-SPARC antibody [EPR25122-122] - BSA and Azide free (AB290647)

This data was developed using ab290636, the same antibody clone in a different buffer formulation.

Blocking and diluting buffer and concentration was 5% NFDM/TBST.

Exposure time : 3.25 seconds.

The expression profile/molecular weight observed is consistent with that described in the literature (PMID : 29449802; PMID : 9008236).
The additional band is expected to be a SPARC cleavage product (PMID : 9008236).

All lanes:

Western blot - Anti-SPARC antibody [EPR25122-122] (<a href='/en-us/products/primary-antibodies/sparc-antibody-epr25122-122-ab290636'>ab290636</a>) at 1/1000 dilution

Lane 1:

C2C12 (mouse myoblast) whole cell lysate at 20 µg

Lane 2:

bEnd.3 (mouse brain endothelioma) whole cell lysate at 20 µg

Lane 3:

Neuro-2a (mouse neuroblastoma) whole cell lysate at 20 µg

Lane 4:

C6 (rat glioma) whole cell lysate at 20 µg

Secondary

All lanes:

Western blot - Goat Anti-Rabbit IgG H&L (HRP) (<a href='/en-us/products/secondary-antibodies/goat-rabbit-igg-h-l-hrp-ab97051'>ab97051</a>) at 1/100000 dilution

Predicted band size: 35 kDa

Observed band size: 37 kDa,40 kDa

false

Key facts

Host species

Rabbit

Clonality

Monoclonal

Clone number

EPR25122-122

Isotype

IgG

Carrier free

Yes

Reacts with

Mouse, Rat

Applications

ICC/IF, IHC-P, Flow Cyt (Intra), IP, WB

applications

Immunogen

The exact immunogen used to generate this antibody is proprietary information.

Specificity

This antibody does not react with Rat species for IHC application.

Reactivity data

{ "title": "Reactivity Data", "filters": { "stats": ["", "Species", "Dilution Info", "Notes"], "tabs": { "all-applications": {"fullname" : "All Applications", "shortname": "All Applications"}, "ICCIF" : {"fullname" : "Immunocytochemistry/ Immunofluorescence", "shortname":"ICC/IF"}, "IP" : {"fullname" : "Immunoprecipitation", "shortname":"IP"}, "WB" : {"fullname" : "Western blot", "shortname":"WB"}, "IHCP" : {"fullname" : "Immunohistochemistry (Formalin/PFA-fixed paraffin-embedded sections)", "shortname":"IHC-P"}, "FlowCytIntra" : {"fullname" : "Flow Cytometry (Intracellular)", "shortname":"Flow Cyt (Intra)"} }, "product-promise": { "all": "all", "testedAndGuaranteed": "tested", "guaranteed": "expected", "predicted": "predicted", "notRecommended": "not-recommended" } }, "values": { "Human": { "ICCIF-species-checked": "notRecommended", "ICCIF-species-dilution-info": "", "ICCIF-species-notes": "", "IP-species-checked": "notRecommended", "IP-species-dilution-info": "", "IP-species-notes": "<p></p>", "WB-species-checked": "notRecommended", "WB-species-dilution-info": "", "WB-species-notes": "<p></p>", "IHCP-species-checked": "notRecommended", "IHCP-species-dilution-info": "", "IHCP-species-notes": "<p></p>", "FlowCytIntra-species-checked": "notRecommended", "FlowCytIntra-species-dilution-info": "", "FlowCytIntra-species-notes": "<p></p>" }, "Mouse": { "ICCIF-species-checked": "testedAndGuaranteed", "ICCIF-species-dilution-info": "", "ICCIF-species-notes": "<p></p>", "IP-species-checked": "testedAndGuaranteed", "IP-species-dilution-info": "", "IP-species-notes": "<p></p>", "WB-species-checked": "testedAndGuaranteed", "WB-species-dilution-info": "", "WB-species-notes": "<p></p>", "IHCP-species-checked": "testedAndGuaranteed", "IHCP-species-dilution-info": "", "IHCP-species-notes": "<p></p>", "FlowCytIntra-species-checked": "testedAndGuaranteed", "FlowCytIntra-species-dilution-info": "", "FlowCytIntra-species-notes": "<p></p>" }, "Rat": { "ICCIF-species-checked": "testedAndGuaranteed", "ICCIF-species-dilution-info": "", "ICCIF-species-notes": "<p></p>", "IP-species-checked": "testedAndGuaranteed", "IP-species-dilution-info": "", "IP-species-notes": "<p></p>", "WB-species-checked": "testedAndGuaranteed", "WB-species-dilution-info": "", "WB-species-notes": "<p></p>", "IHCP-species-checked": "notRecommended", "IHCP-species-dilution-info": "", "IHCP-species-notes": "<p></p>", "FlowCytIntra-species-checked": "testedAndGuaranteed", "FlowCytIntra-species-dilution-info": "", "FlowCytIntra-species-notes": "<p></p>" } } }

Product details

ab290647 is a carrier free version of ab290636.

Patented technology
Our RabMAb® technology is a patented hybridoma-based technology for making rabbit monoclonal antibodies. For details on our patents, please refer to RabMAb® patents.

What are the advantages of a recombinant monoclonal antibody?
This product is a recombinant monoclonal antibody, which offers several advantages including:

  • - High batch-to-batch consistency and reproducibility
  • - Improved sensitivity and specificity
  • - Long-term security of supply
  • - Animal-free batch production

For more information, read more on recombinant antibodies.

Conjugation ready
Our carrier-free antibodies are typically supplied in a PBS-only formulation, purified and free of BSA, sodium azide and glycerol. This conjugation-ready format is designed for use with fluorochromes, metal isotopes, oligonucleotides, and enzymes, which makes them ideal for antibody labelling, functional and cell-based assays, flow-based assays (e.g. mass cytometry) and Multiplex Imaging applications.

Use our conjugation kits for antibody conjugates that are ready-to-use in as little as 20 minutes with 1 minute hands-on-time and 100% antibody recovery: available for fluorescent dyes, HRP, biotin and gold.

Properties and storage information

Form
Liquid
Purification technique
Affinity purification Protein A
Storage buffer
pH: 7.2 - 7.4 Constituents: PBS
Shipped at conditions
Blue Ice
Appropriate short-term storage conditions
+4°C
Appropriate long-term storage conditions
+4°C

Supplementary information

This supplementary information is collated from multiple sources and compiled automatically.

SPARC also known as Secreted Protein Acidic and Rich in Cysteine or osteonectin is a glycoprotein with a molecular mass of approximately 32 to 43 kDa. It is widely expressed in various tissues notably within the bone skin and extracellular matrix. SPARC influences cell-matrix interactions and modulates cellular functions such as proliferation and migration. The protein plays a role in tissue remodeling and wound healing by interacting with structural components of the matrix and regulating cell adhesion.
Biological function summary

SPARC impacts processes related to cell communication and matrix dynamics. It does not form part of large complexes but functions through interactions with matrix molecules and receptors. SPARC regulates collagen fibrillogenesis and influences the bioavailability of growth factors. It further affects angiogenesis through its ability to alter cellular adhesion and spreading which impacts vascular development and repair processes.

Pathways

SPARC integrates into regulatory cascades such as the WNT signaling and TGF-β pathways. These pathways are essential for cellular growth repair and differentiation. In the context of the TGF-β signaling pathway SPARC modulates interactions with proteins like integrins and collagens impacting fibrotic processes and matrix assembly.

Alterations in SPARC expression show associations with cancer and fibrosis. The protein functions in tumor progression where it can influence tumor cell interactions with the stroma and affect cell migration and invasion. Furthermore in fibrotic diseases SPARC regulates the deposition and organization of collagen contributing to tissue stiffening. Connections are evident between SPARC and other matrix proteins like fibronectin known for their roles in these pathological conditions.

Product protocols

For this product, it's our understanding that no specific protocols are required. You can visit:

Target data

Appears to regulate cell growth through interactions with the extracellular matrix and cytokines. Binds calcium and copper, several types of collagen, albumin, thrombospondin, PDGF and cell membranes. There are two calcium binding sites; an acidic domain that binds 5 to 8 Ca(2+) with a low affinity and an EF-hand loop that binds a Ca(2+) ion with a high affinity.
See full target information Sparc

Product promise

We are committed to supporting your work with high-quality reagents, and we're here for you every step of the way. In the unlikely event that one of our products does not perform as expected, you're protected by our Product Promise.
For full details, please see our Terms & Conditions

Please note: All products are 'FOR RESEARCH USE ONLY. NOT FOR USE IN DIAGNOSTIC OR THERAPEUTIC PROCEDURES'.

For licensing inquiries, please contact partnerships@abcam.com