JavaScript is disabled in your browser. Please enable JavaScript to view this website.
AB256506

Anti-SPARCL1 antibody [EPR22615-277] - BSA and Azide free

Be the first to review this product! Submit a review

|

(0 Publication)

Rabbit Recombinant Monoclonal SPARCL1 antibody. Carrier free. Suitable for WB, IHC-P and reacts with Human samples.

View Alternative Names

SPARC-like protein 1, High endothelial venule protein, MAST 9, Hevin, SPARCL1

2 Images
Immunohistochemistry (Formalin/PFA-fixed paraffin-embedded sections) - Anti-SPARCL1 antibody [EPR22615-277] - BSA and Azide free (AB256506)
  • IHC-P

Unknown

Immunohistochemistry (Formalin/PFA-fixed paraffin-embedded sections) - Anti-SPARCL1 antibody [EPR22615-277] - BSA and Azide free (AB256506)

Immunohistochemical analysis of paraffin-embedded human cerebral cortex tissue labeling SPARCL1 with ab255597 at 1/1000 dilution (0.623 μg/ml) followed by a ready to use Rabbit specific IHC polymer detection kit HRP/DAB (ab209101). Cytoplasmic staining in human cerebral cortex (PMID : 18381651, 9199668). The section was incubated with ab255597 for 15 mins at room temperature. The immunostaining was performed on a Leica Biosystems BOND® RX instrument. Counterstained with hematoxylin. Heat mediated antigen retrieval with Tris-EDTA buffer (pH 9.0, epitope retrieval solution 2) for 20 mins.

Secondary antibody only control : Used PBS instead of primary antibody, secondary antibody is a ready to use Rabbit specific IHC polymer detection kit HRP/DAB (ab209101).

This data was developed using the same antibody clone in a different buffer formulation containing PBS, BSA, glycerol, and sodium azide (ab255597).

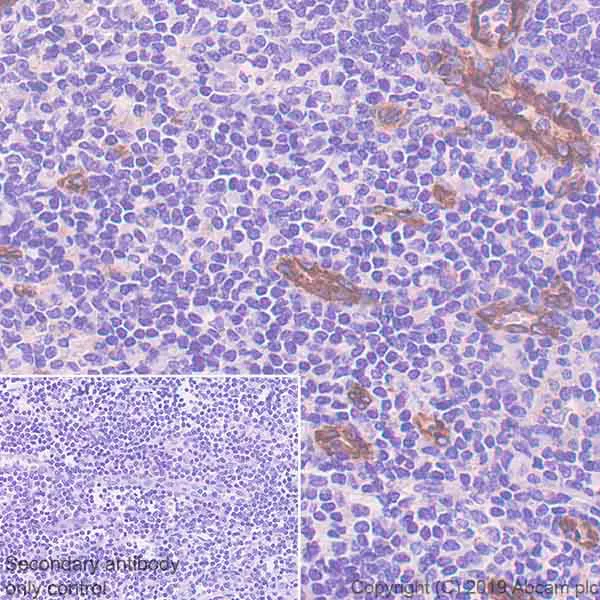
Immunohistochemistry (Formalin/PFA-fixed paraffin-embedded sections) - Anti-SPARCL1 antibody [EPR22615-277] - BSA and Azide free (AB256506)
  • IHC-P

Unknown

Immunohistochemistry (Formalin/PFA-fixed paraffin-embedded sections) - Anti-SPARCL1 antibody [EPR22615-277] - BSA and Azide free (AB256506)

Immunohistochemical analysis of paraffin-embedded human tonsil tissue labeling SPARCL1 with ab255597 at 1/1000 dilution (0.623 μg/ml) followed by a ready to use Rabbit specific IHC polymer detection kit HRP/DAB (ab209101). Cytoplasmic staining in high endothelial venules of human tonsil (PMID : 8626806) is observed. The section was incubated with ab255597 for 15 mins at room temperature. The immunostaining was performed on a Leica Biosystems BOND® RX instrument Counterstained with Hematoxylin. Heat mediated antigen retrieval with Tris-EDTA buffer (pH 9.0, epitope retrieval solution 2) for 20 mins.

Secondary antibody only control : Used PBS instead of primary antibody, secondary antibody is a ready to use Rabbit specific IHC polymer detection kit HRP/DAB (ab209101).

This data was developed using the same antibody clone in a different buffer formulation containing PBS, BSA, glycerol, and sodium azide (ab255597).

Key facts

Host species

Rabbit

Clonality

Monoclonal

Clone number

EPR22615-277

Isotype

IgG

Carrier free

Yes

Reacts with

Human

Applications

IHC-P, WB

applications

Immunogen

The exact immunogen used to generate this antibody is proprietary information.

Reactivity data

{ "title": "Reactivity Data", "filters": { "stats": ["", "Species", "Dilution Info", "Notes"], "tabs": { "all-applications": {"fullname" : "All Applications", "shortname": "All Applications"}, "IP" : {"fullname" : "Immunoprecipitation", "shortname":"IP"}, "FlowCyt" : {"fullname" : "Flow Cytometry", "shortname":"Flow Cyt"}, "WB" : {"fullname" : "Western blot", "shortname":"WB"}, "ICCIF" : {"fullname" : "Immunocytochemistry/ Immunofluorescence", "shortname":"ICC/IF"}, "IHCP" : {"fullname" : "Immunohistochemistry (Formalin/PFA-fixed paraffin-embedded sections)", "shortname":"IHC-P"} }, "product-promise": { "all": "all", "testedAndGuaranteed": "tested", "guaranteed": "expected", "predicted": "predicted", "notRecommended": "not-recommended" } }, "values": { "Human": { "IP-species-checked": "notRecommended", "IP-species-dilution-info": "", "IP-species-notes": "<p></p>", "FlowCyt-species-checked": "notRecommended", "FlowCyt-species-dilution-info": "", "FlowCyt-species-notes": "<p></p>", "WB-species-checked": "guaranteed", "WB-species-dilution-info": "", "WB-species-notes": "<p></p>", "ICCIF-species-checked": "notRecommended", "ICCIF-species-dilution-info": "", "ICCIF-species-notes": "<p></p>", "IHCP-species-checked": "testedAndGuaranteed", "IHCP-species-dilution-info": "", "IHCP-species-notes": "<p></p>" } } }

Product details

ab256506 is the carrier-free version of ab255597.

Patented technology
Our RabMAb® technology is a patented hybridoma-based technology for making rabbit monoclonal antibodies. For details on our patents, please refer to RabMAb® patents.

What are the advantages of a recombinant monoclonal antibody?
This product is a recombinant monoclonal antibody, which offers several advantages including:

  • - High batch-to-batch consistency and reproducibility
  • - Improved sensitivity and specificity
  • - Long-term security of supply
  • - Animal-free batch production

For more information, read more on recombinant antibodies.

Conjugation ready
Our carrier-free antibodies are typically supplied in a PBS-only formulation, purified and free of BSA, sodium azide and glycerol. This conjugation-ready format is designed for use with fluorochromes, metal isotopes, oligonucleotides, and enzymes, which makes them ideal for antibody labelling, functional and cell-based assays, flow-based assays (e.g. mass cytometry) and Multiplex Imaging applications.

Use our conjugation kits for antibody conjugates that are ready-to-use in as little as 20 minutes with 1 minute hands-on-time and 100% antibody recovery: available for fluorescent dyes, HRP, biotin and gold.

Compatibility
This product is compatible with the Maxpar® Antibody Labeling Kit from Fluidigm, without the need for antibody preparation. Maxpar® is a trademark of Fluidigm Canada Inc.

Properties and storage information

Form
Liquid
Purification technique
Affinity purification Protein A
Storage buffer
pH: 7.2 - 7.4 Constituents: PBS
Shipped at conditions
Blue Ice
Appropriate short-term storage conditions
+4°C
Appropriate long-term storage conditions
+4°C
Storage information
Do Not Freeze

Supplementary information

This supplementary information is collated from multiple sources and compiled automatically.

SPARCL1 also known as Hevin or Secreted Protein Acidic and Rich in Cysteine-Like 1 is a protein with a mass of approximately 75 kDa. It is part of the SPARC (Secreted Protein Acidic and Rich in Cysteine) family of matricellular proteins. SPARCL1 is mainly expressed in various tissues including the heart brain lungs and skeletal muscle. This protein exhibits strong conservation across species hinting at its importance to fundamental biological processes.
Biological function summary

SPARCL1 regulates cell-matrix interactions. It is not part of a protein complex but it interacts with other extracellular matrix components to influence cell adhesion and migration. SPARCL1 plays a role in normal homeostasis and is involved in the control of the extracellular matrix organization. It affects cellular behavior by modulating the activity of matrix metalloproteinases and influences the adhesion properties of cells by binding to components even in absence of complex formation.

Pathways

SPARCL1 impacts cellular processes like tissue remodeling and inflammation. It operates within the ECM remodeling and focal adhesion pathways. In ECM remodeling related proteins such as MMPs (Matrix Metalloproteinases) interact with SPARCL1 affecting tissue integrity and repair. In the focal adhesion pathway SPARCL1 affects cell shape and movement by regulating interactions with integrins which are integral membrane proteins that communicate the extracellular matrix to the cell.

SPARCL1 has associations with cancer and neuropathological diseases. Reduced expression of SPARCL1 often occurs in various cancers including prostate and colorectal cancers suggesting its potential role as a tumor suppressor. In neuropathological conditions such as Alzheimer's disease altered SPARCL1 expression affects neuroinflammation and synaptic functions related to the amyloid precursor protein (APP) which plays a critical role in Alzheimer's pathology. Understanding these pathways offers insight into therapeutic potential in these disorders.

Product protocols

For this product, it's our understanding that no specific protocols are required. You can visit:

Product promise

We are committed to supporting your work with high-quality reagents, and we're here for you every step of the way. In the unlikely event that one of our products does not perform as expected, you're protected by our Product Promise.
For full details, please see our Terms & Conditions

Please note: All products are 'FOR RESEARCH USE ONLY. NOT FOR USE IN DIAGNOSTIC OR THERAPEUTIC PROCEDURES'.

For licensing inquiries, please contact partnerships@abcam.com