JavaScript is disabled in your browser. Please enable JavaScript to view this website.
AB313638

Anti-SPARCL1 antibody [EPR28135-54]

  • BOND RX™ Validated
  • 20ul selling size
  • RabMAb
  • Recombinant
  • What is this?

Be the first to review this product! Submit a review

|

(0 Publication)

Rabbit Recombinant Monoclonal SPARCL1 antibody. Suitable for WB, IHC-P, Flow Cyt (Intra), IP, ICC/IF and reacts with Mouse samples.

View Alternative Names

Ecm2, Sc1, Sparcl1, SPARC-like protein 1, Extracellular matrix protein 2, Matrix glycoprotein Sc1

6 Images
Immunohistochemistry (Formalin/PFA-fixed paraffin-embedded sections) - Anti-SPARCL1 antibody [EPR28135-54] (AB313638)
  • IHC-P

Supplier Data

Immunohistochemistry (Formalin/PFA-fixed paraffin-embedded sections) - Anti-SPARCL1 antibody [EPR28135-54] (AB313638)

Immunohistochemical analysis of paraffin-embedded Mouse cerebrum tissue labeling SPARCL1 with ab313638 at 1/2000 (0.248 ug/ml) followed by a ready to use LeicaDS9800 (Bond™ Polymer Refine Detection). Positive staining on mouse cerebrum (PMID : 18381651).The section was incubated with ab313638 for 30 mins at room temperature.The immunostaining was performed on a Leica Biosystems BOND® RX instrumentIncubate slides with 3% Hydrogen Peroxide for 10 mins at room temperature after secondary antibody incubation to reduce the background Counterstained with Hematoxylin. Secondary antibody only control : Secondary antibody is a ready to use LeicaDS9800 (Bond™ Polymer Refine Detection). Heat mediated antigen retrieval was performed with Tris-EDTA buffer (pH 9.0, Epitope Retrieval Solution2) for 20 mins

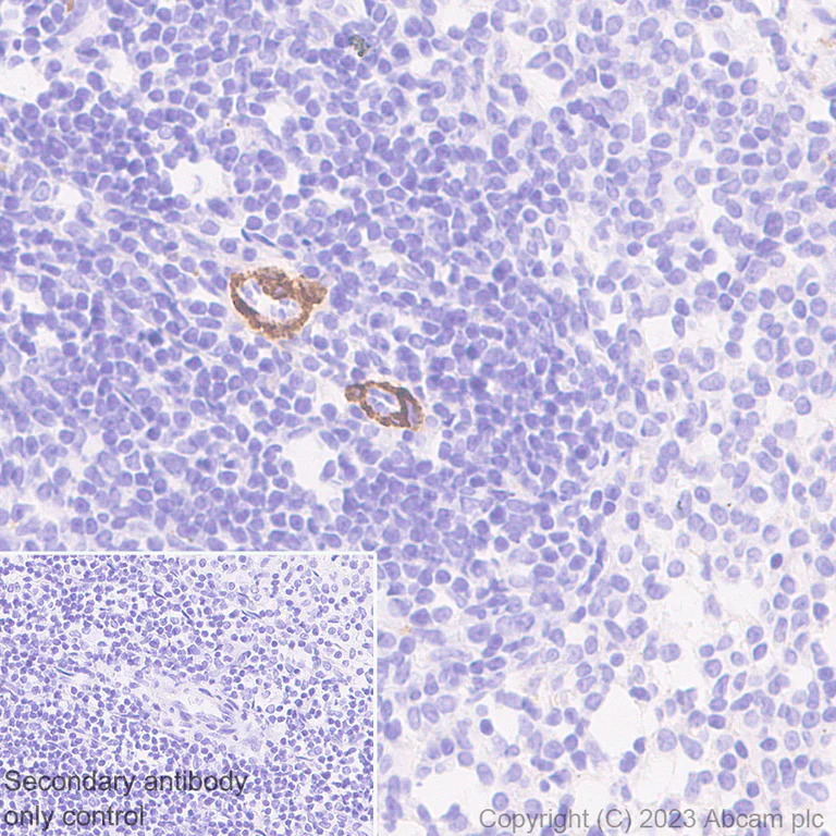
Immunohistochemistry (Formalin/PFA-fixed paraffin-embedded sections) - Anti-SPARCL1 antibody [EPR28135-54] (AB313638)
  • IHC-P

Supplier Data

Immunohistochemistry (Formalin/PFA-fixed paraffin-embedded sections) - Anti-SPARCL1 antibody [EPR28135-54] (AB313638)

Immunohistochemical analysis of paraffin-embedded Mouse spleen tissue labeling SPARCL1 with ab313638 at 1/2000 (0.248 ug/ml) followed by a ready to use LeicaDS9800 (Bond™ Polymer Refine Detection). Positive staining on endothelium of mouse spleen (PMID : 9199668).The section was incubated with ab313638 for 30 mins at room temperature.The immunostaining was performed on a Leica Biosystems BOND® RX instrumentIncubate slides with 3% Hydrogen Peroxide for 10 mins at room temperature after secondary antibody incubation to reduce the background Counterstained with Hematoxylin. Secondary antibody only control : Secondary antibody is a ready to use LeicaDS9800 (Bond™ Polymer Refine Detection). Heat mediated antigen retrieval was performed with Tris-EDTA buffer (pH 9.0, Epitope Retrieval Solution2) for 20 mins

Immunocytochemistry/ Immunofluorescence - Anti-SPARCL1 antibody [EPR28135-54] (AB313638)
  • ICC/IF

Supplier Data

Immunocytochemistry/ Immunofluorescence - Anti-SPARCL1 antibody [EPR28135-54] (AB313638)

Immunofluorescent analysis of 4% Paraformaldehyde-fixed, 0.1% TritonX-100 permeabilized mouse primary neural/glia cell cells labelling SPARCL1 with ab313638 at 1/50 (9.9 ug/ml) dilution, followed by ab150081 Goat Anti-Rabbit IgG H&L (Alexa Fluor® 488) preadsorbed antibody at 1/1000 2ug/ml dilution (Green). Confocal image showing cytoplasmic staining in mouse astrocyte cells.Confocal scanning Z step was set as 0.3 μm followed by image processing with maximum Z projection.Image was taken with a confocal microscope (Leica-Microsystems, TCS SP8). is observed. Anti-Glial Fibrillary Acidic Protein (GFAP) mouse monoclonal antibody was used to counterstain tubulin at 1/50 10ug/ml dilution (Red). The Nuclear counterstain was DAPI (Blue). Secondary antibody only control : Secondary antibody is ab150081 Goat Anti-Rabbit IgG H&L (Alexa Fluor® 488) preadsorbed at 1/1000 2ug/ml dilution.

Flow Cytometry (Intracellular) - Anti-SPARCL1 antibody [EPR28135-54] (AB313638)
  • Flow Cyt (Intra)

Supplier Data

Flow Cytometry (Intracellular) - Anti-SPARCL1 antibody [EPR28135-54] (AB313638)

Flow cytometric analysis of 4% paraformaldehyde fixed 90% methanol permeabilized Mouse primary neural/glia cell cells labelling SPARCL1 with ab313638 at 1/50 dilution (1ug)/ Right (Red) compared with a Rabbit monoclonal IgG (ab172730) / Left isotype control and an unlabelled control (cells without incubation with primary antibody and secondary antibody) (Blue). A Goat Anti-Rabbit IgG (Alexa Fluor® 488, ab150081) at 1/5000 dilution was used as the secondary antibody.

Immunoprecipitation - Anti-SPARCL1 antibody [EPR28135-54] (AB313638)
  • IP

Supplier Data

Immunoprecipitation - Anti-SPARCL1 antibody [EPR28135-54] (AB313638)

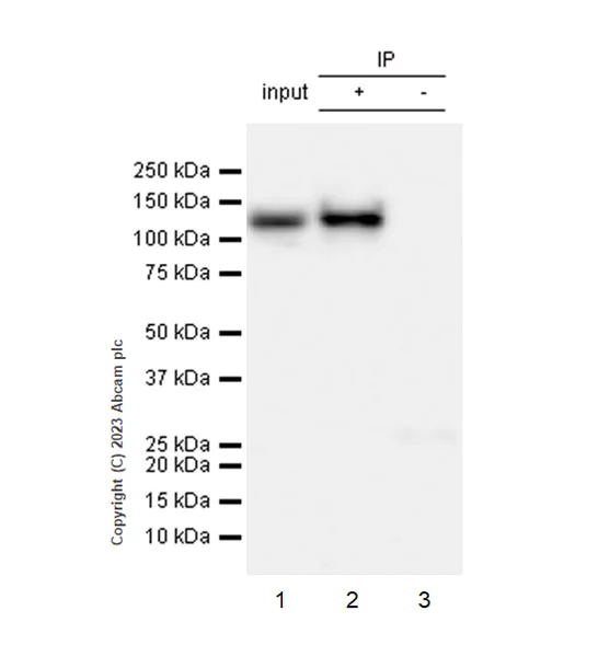
SPARCL1 was immunoprecipitated from 0.35 mg Mouse cerebellum tissue lysate with ab313638 at 1/30 dilution (2ug in 0.35mg lysates). Western blot was performed on the immunoprecipitate using ab313638 at 1/1000 dilution. VeriBlot for IP secondary antibody(HRP)(ab131366) was used at 1/5000 dilution. Lane 1 : Mouse cerebellum tissue lysate Lane 2 : ab313638 IP in Mouse cerebellum tissue lysate Lane 3 : Rabbit monoclonal IgG (ab172730) instead of ab313638 in mouse cerebellum tissue lysate Blocking and dilution buffer and concentration : 5% NFDM/TBST. Exposure time : 10 seconds

All lanes:

Immunoprecipitation - Anti-SPARCL1 antibody [EPR28135-54] (ab313638) at 1/30 dilution

All lanes:

Mouse cerebellum tissue lysate

Secondary

All lanes:

Immunoprecipitation - VeriBlot for IP Detection Reagent (HRP) (<a href='/en-us/products/reagents/veriblot-for-ip-detection-reagent-hrp-ab131366'>ab131366</a>) at 1/1000 dilution

false

Exposure time: 10s

Western blot - Anti-SPARCL1 antibody [EPR28135-54] (AB313638)
  • WB

Supplier Data

Western blot - Anti-SPARCL1 antibody [EPR28135-54] (AB313638)

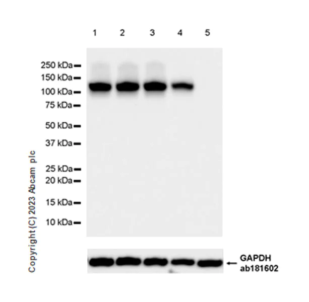
Blocking and diluting buffer and concentration : 5% NFDM/TBST The molecular weight observed is consistent with what has been described in the literature (PMID : 22173850). Low expression : kidney (PMID : 9199668; PMID : 32437418). In Western blot, anti-GAPDH antibody (ab181602) loading control staining at 1/200000 dilution. Exposure time : 6 seconds

All lanes:

Western blot - Anti-SPARCL1 antibody [EPR28135-54] (ab313638) at 1/1000 dilution

Lane 1:

Mouse brain tissue lysate at 20 µg

Lane 2:

Mouse cerebellum tissue lysate at 20 µg

Lane 3:

Mouse hippocampus tissue lysate at 20 µg

Lane 4:

Mouse lung tissue lysate at 20 µg

Lane 5:

Mouse kidney tissue lysate at 20 µg

Secondary

All lanes:

Western blot - Goat Anti-Rabbit IgG H&L (HRP) (<a href='/en-us/products/secondary-antibodies/goat-rabbit-igg-h-l-hrp-ab97051'>ab97051</a>) at 1/20000 dilution

Observed band size: 130 kDa

false

Exposure time: 6s

  • Carrier free

    Anti-SPARCL1 antibody [EPR28135-54] - BSA and Azide free

Key facts

Host species

Rabbit

Clonality

Monoclonal

Clone number

EPR28135-54

Isotype

IgG

Carrier free

No

Reacts with

Mouse

Applications

WB, IHC-P, IP, Flow Cyt (Intra), ICC/IF

applications

Immunogen

The exact immunogen used to generate this antibody is proprietary information.

Reactivity data

{ "title": "Reactivity Data", "filters": { "stats": ["", "Species", "Dilution Info", "Notes"], "tabs": { "all-applications": {"fullname" : "All Applications", "shortname": "All Applications"}, "WB" : {"fullname" : "Western blot", "shortname":"WB"}, "IHCP" : {"fullname" : "Immunohistochemistry (Formalin/PFA-fixed paraffin-embedded sections)", "shortname":"IHC-P"}, "FlowCytIntra" : {"fullname" : "Flow Cytometry (Intracellular)", "shortname":"Flow Cyt (Intra)"}, "IP" : {"fullname" : "Immunoprecipitation", "shortname":"IP"}, "ICCIF" : {"fullname" : "Immunocytochemistry/ Immunofluorescence", "shortname":"ICC/IF"}, "IHCFr" : {"fullname" : "Immunohistochemistry (Frozen sections)", "shortname":"IHC-Fr"} }, "product-promise": { "all": "all", "testedAndGuaranteed": "tested", "guaranteed": "expected", "predicted": "predicted", "notRecommended": "not-recommended" } }, "values": { "Human": { "WB-species-checked": "notRecommended", "WB-species-dilution-info": "", "WB-species-notes": "<p></p>", "IHCP-species-checked": "notRecommended", "IHCP-species-dilution-info": "", "IHCP-species-notes": "<p></p>", "FlowCytIntra-species-checked": "notRecommended", "FlowCytIntra-species-dilution-info": "", "FlowCytIntra-species-notes": "", "IP-species-checked": "notRecommended", "IP-species-dilution-info": "", "IP-species-notes": "", "ICCIF-species-checked": "notRecommended", "ICCIF-species-dilution-info": "", "ICCIF-species-notes": "", "IHCFr-species-checked": "notRecommended", "IHCFr-species-dilution-info": "", "IHCFr-species-notes": "" }, "Mouse": { "WB-species-checked": "testedAndGuaranteed", "WB-species-dilution-info": "1/1000", "WB-species-notes": "<p></p>", "IHCP-species-checked": "testedAndGuaranteed", "IHCP-species-dilution-info": "1/2000", "IHCP-species-notes": "<p></p>", "FlowCytIntra-species-checked": "testedAndGuaranteed", "FlowCytIntra-species-dilution-info": "1/50", "FlowCytIntra-species-notes": "<p></p>", "IP-species-checked": "testedAndGuaranteed", "IP-species-dilution-info": "1/30", "IP-species-notes": "<p></p>", "ICCIF-species-checked": "testedAndGuaranteed", "ICCIF-species-dilution-info": "1/50", "ICCIF-species-notes": "<p></p>", "IHCFr-species-checked": "notRecommended", "IHCFr-species-dilution-info": "", "IHCFr-species-notes": "<p></p>" }, "Rat": { "WB-species-checked": "notRecommended", "WB-species-dilution-info": "", "WB-species-notes": "<p></p>", "IHCP-species-checked": "notRecommended", "IHCP-species-dilution-info": "", "IHCP-species-notes": "<p></p>", "FlowCytIntra-species-checked": "notRecommended", "FlowCytIntra-species-dilution-info": "", "FlowCytIntra-species-notes": "", "IP-species-checked": "notRecommended", "IP-species-dilution-info": "", "IP-species-notes": "", "ICCIF-species-checked": "notRecommended", "ICCIF-species-dilution-info": "", "ICCIF-species-notes": "", "IHCFr-species-checked": "notRecommended", "IHCFr-species-dilution-info": "", "IHCFr-species-notes": "" } } }

Product details

Patented technology
Our RabMAb® technology is a patented hybridoma-based technology for making rabbit monoclonal antibodies. For details on our patents, please refer to RabMAb® patents.

What are the advantages of a recombinant monoclonal antibody?
This product is a recombinant monoclonal antibody, which offers several advantages including:

  • - High batch-to-batch consistency and reproducibility
  • - Improved sensitivity and specificity
  • - Long-term security of supply
  • - Animal-free batch production

For more information, read more on recombinant antibodies.

Properties and storage information

Form
Liquid
Purification technique
Affinity purification Protein A
Storage buffer
pH: 7.2 - 7.4 Preservative: 0.01% Sodium azide Constituents: PBS, 40% Glycerol (glycerin, glycerine), 0.05% BSA
Shipped at conditions
Blue Ice
Appropriate short-term storage duration
1-2 weeks
Appropriate short-term storage conditions
+4°C
Appropriate long-term storage conditions
-20°C
Aliquoting information
Upon delivery aliquot
Storage information
Avoid freeze / thaw cycle

Supplementary information

This supplementary information is collated from multiple sources and compiled automatically.

SPARCL1 also known as Hevin or Secreted Protein Acidic and Rich in Cysteine-Like 1 is a protein with a mass of approximately 75 kDa. It is part of the SPARC (Secreted Protein Acidic and Rich in Cysteine) family of matricellular proteins. SPARCL1 is mainly expressed in various tissues including the heart brain lungs and skeletal muscle. This protein exhibits strong conservation across species hinting at its importance to fundamental biological processes.
Biological function summary

SPARCL1 regulates cell-matrix interactions. It is not part of a protein complex but it interacts with other extracellular matrix components to influence cell adhesion and migration. SPARCL1 plays a role in normal homeostasis and is involved in the control of the extracellular matrix organization. It affects cellular behavior by modulating the activity of matrix metalloproteinases and influences the adhesion properties of cells by binding to components even in absence of complex formation.

Pathways

SPARCL1 impacts cellular processes like tissue remodeling and inflammation. It operates within the ECM remodeling and focal adhesion pathways. In ECM remodeling related proteins such as MMPs (Matrix Metalloproteinases) interact with SPARCL1 affecting tissue integrity and repair. In the focal adhesion pathway SPARCL1 affects cell shape and movement by regulating interactions with integrins which are integral membrane proteins that communicate the extracellular matrix to the cell.

SPARCL1 has associations with cancer and neuropathological diseases. Reduced expression of SPARCL1 often occurs in various cancers including prostate and colorectal cancers suggesting its potential role as a tumor suppressor. In neuropathological conditions such as Alzheimer's disease altered SPARCL1 expression affects neuroinflammation and synaptic functions related to the amyloid precursor protein (APP) which plays a critical role in Alzheimer's pathology. Understanding these pathways offers insight into therapeutic potential in these disorders.

Product protocols

For this product, it's our understanding that no specific protocols are required. You can visit:

Product promise

We are committed to supporting your work with high-quality reagents, and we're here for you every step of the way. In the unlikely event that one of our products does not perform as expected, you're protected by our Product Promise.
For full details, please see our Terms & Conditions

Please note: All products are 'FOR RESEARCH USE ONLY. NOT FOR USE IN DIAGNOSTIC OR THERAPEUTIC PROCEDURES'.

For licensing inquiries, please contact partnerships@abcam.com