JavaScript is disabled in your browser. Please enable JavaScript to view this website.
AB214301

Anti-Spastin antibody

Be the first to review this product! Submit a review

|

(0 Publication)

Rabbit Polyclonal Spastin antibody. Suitable for IHC-P and reacts with Rat samples. Immunogen corresponding to Synthetic Peptide within Human SPAST aa 550 to C-terminus conjugated to Keyhole Limpet Haemocyanin.

View Alternative Names

ADPSP, FSP2, KIAA1083, SPG4, SPAST, Spastin, Spastic paraplegia 4 protein

1 Images
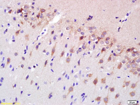
Immunohistochemistry (Formalin/PFA-fixed paraffin-embedded sections) - Anti-Spastin antibody (AB214301)
  • IHC-P

Supplier Data

Immunohistochemistry (Formalin/PFA-fixed paraffin-embedded sections) - Anti-Spastin antibody (AB214301)

Immunohistochemical analysis of formalin-fixed and paraffin embedded rat brain tissue labeling Spastin using ab214301 at 1/200, followed by secondary detection and DAB staining.

Key facts

Host species

Rabbit

Clonality

Polyclonal

Isotype

IgG

Carrier free

No

Reacts with

Rat

Applications

IHC-P

applications

Immunogen

Synthetic Peptide within Human SPAST aa 550 to C-terminus conjugated to Keyhole Limpet Haemocyanin. The exact immunogen used to generate this antibody is proprietary information.

Q9UBP0

Reactivity data

{ "title": "Reactivity Data", "filters": { "stats": ["", "Species", "Dilution Info", "Notes"], "tabs": { "all-applications": {"fullname" : "All Applications", "shortname": "All Applications"}, "IHCP" : {"fullname" : "Immunohistochemistry (Formalin/PFA-fixed paraffin-embedded sections)", "shortname":"IHC-P"} }, "product-promise": { "all": "all", "testedAndGuaranteed": "tested", "guaranteed": "expected", "predicted": "predicted", "notRecommended": "not-recommended" } }, "values": { "Human": { "IHCP-species-checked": "predicted", "IHCP-species-dilution-info": "", "IHCP-species-notes": "" }, "Mouse": { "IHCP-species-checked": "predicted", "IHCP-species-dilution-info": "", "IHCP-species-notes": "" }, "Rat": { "IHCP-species-checked": "testedAndGuaranteed", "IHCP-species-dilution-info": "1/100 - 1/500", "IHCP-species-notes": "<p></p> Perform heat-mediated antigen retrieval with citrate buffer pH 6 before commencing with IHC staining protocol." } } }

Properties and storage information

Form
Liquid
Purification technique
Affinity purification Protein A
Storage buffer
pH: 7.4 Preservative: 0.02% Proclin 300 Constituents: 50% Glycerol (glycerin, glycerine), 48.98% TBS, 1X, 1% BSA
Shipped at conditions
Blue Ice
Appropriate short-term storage duration
1-2 weeks
Appropriate short-term storage conditions
+4°C
Appropriate long-term storage conditions
-20°C
Aliquoting information
Upon delivery aliquot
Storage information
Avoid freeze / thaw cycle

Supplementary information

This supplementary information is collated from multiple sources and compiled automatically.

Spastin also known as SPG4 is a microtubule-severing ATPase that plays an important role in cellular mechanics by cutting microtubules in cells. It weighs approximately 68 kDa and is present mainly in neural tissue but can also be found in other tissues. The protein's localization includes the cytoplasm and is associated with centrosomes and subcellular regions with dense microtubule networks.
Biological function summary

Spastin participates in regulating microtubule dynamics. It plays a critical role in axonal growth and maintenance by modulating microtubule lengths and branching. Spastin does not function alone; it forms part of the AAA protein family functioning in significant processes like neurogenesis and neural maintenance. Its activity affects neural cell structure and transport by influencing cytoskeletal rearrangement.

Pathways

Any disturbances in Spastin function can impact the microtubule dynamics pathway and the axonal transport pathway. Spastin interacts closely with proteins such as Tubulin and Katanin which are also involved in microtubule severing and organization. Proper Spastin function is necessary to maintain intracellular transport and signal transduction critical for neural cell health and function.

Alterations in Spastin activity lead to neurodegenerative conditions like Hereditary Spastic Paraplegia (HSP). This disorder often relates to mutations in the SPG4 gene which encodes Spastin affecting motor neuron functions. In HSP disrupted Spastin function correlates with deficiencies in proteins such as Tubulin exacerbating neuroaxonal deficits and influencing disease progression.

Product protocols

For this product, it's our understanding that no specific protocols are required. You can visit:

Target data

ATP-dependent microtubule severing protein that specifically recognizes and cuts microtubules that are polyglutamylated (PubMed : 11809724, PubMed : 15716377, PubMed : 16219033, PubMed : 17389232, PubMed : 20530212, PubMed : 22637577, PubMed : 26875866). Preferentially recognizes and acts on microtubules decorated with short polyglutamate tails : severing activity increases as the number of glutamates per tubulin rises from one to eight, but decreases beyond this glutamylation threshold (PubMed : 26875866). Severing activity is not dependent on tubulin acetylation or detyrosination (PubMed : 26875866). Microtubule severing promotes reorganization of cellular microtubule arrays and the release of microtubules from the centrosome following nucleation. It is critical for the biogenesis and maintenance of complex microtubule arrays in axons, spindles and cilia. SPAST is involved in abscission step of cytokinesis and nuclear envelope reassembly during anaphase in cooperation with the ESCRT-III complex (PubMed : 19000169, PubMed : 21310966, PubMed : 26040712). Recruited at the midbody, probably by IST1, and participates in membrane fission during abscission together with the ESCRT-III complex (PubMed : 21310966). Recruited to the nuclear membrane by IST1 and mediates microtubule severing, promoting nuclear envelope sealing and mitotic spindle disassembly during late anaphase (PubMed : 26040712). Required for membrane traffic from the endoplasmic reticulum (ER) to the Golgi and endosome recycling (PubMed : 23897888). Recruited by IST1 to endosomes and regulates early endosomal tubulation and recycling by mediating microtubule severing (PubMed : 23897888). Probably plays a role in axon growth and the formation of axonal branches (PubMed : 15716377).. Isoform 1. Involved in lipid metabolism by regulating the size and distribution of lipid droplets.
See full target information SPAST

Product promise

We are committed to supporting your work with high-quality reagents, and we're here for you every step of the way. In the unlikely event that one of our products does not perform as expected, you're protected by our Product Promise.
For full details, please see our Terms & Conditions

Associated Products

Select an associated product type
Alternative Product
Primary Antibodies

AB31850

Anti-Spastin antibody [Sp 3G11/1]

primary-antibodies

spastin-antibody-sp-3g11-1-ab31850

0

(0 reviews)

Alternative Product
Primary Antibodies

AB77144

Anti-Spastin antibody [Sp 6C6]

primary-antibodies

spastin-antibody-sp-6c6-ab77144

4

(1 reviews)

Please note: All products are 'FOR RESEARCH USE ONLY. NOT FOR USE IN DIAGNOSTIC OR THERAPEUTIC PROCEDURES'.

For licensing inquiries, please contact partnerships@abcam.com