JavaScript is disabled in your browser. Please enable JavaScript to view this website.
AB31850

Anti-Spastin antibody [Sp 3G11/1]

Be the first to review this product! Submit a review

|

(5 Publications)

Mouse Monoclonal Spastin antibody. Suitable for IP, WB, IHC-P and reacts with Human, Rat samples. Cited in 5 publications. Immunogen corresponding to Recombinant Full Length Protein corresponding to Human SPAST.

View Alternative Names

ADPSP, FSP2, KIAA1083, SPG4, SPAST, Spastin, Spastic paraplegia 4 protein

5 Images
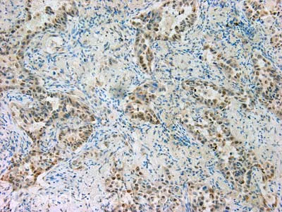
Immunohistochemistry (Formalin/PFA-fixed paraffin-embedded sections) - Anti-Spastin antibody [Sp 3G11/1] (AB31850)
  • IHC-P

Lab

Immunohistochemistry (Formalin/PFA-fixed paraffin-embedded sections) - Anti-Spastin antibody [Sp 3G11/1] (AB31850)

IHC image of Spastin staining in Human lung adenocarcinoma formalin fixed paraffin embedded tissue section, performed on a Leica BondTM system using the standard protocol F. The section was pre-treated using heat mediated antigen retrieval with sodium citrate buffer (pH6, epitope retrieval solution 1) for 20 mins. The section was then incubated with ab31850, 10μg/ml, for 15 mins at room temperature and detected using an HRP conjugated compact polymer system. DAB was used as the chromogen. The section was then counterstained with haematoxylin and mounted with DPX.

For other IHC staining systems (automated and non-automated) customers should optimize variable parameters such as antigen retrieval conditions, primary antibody concentration and antibody incubation times.

Immunoprecipitation - Anti-Spastin antibody [Sp 3G11/1] (AB31850)
  • IP

Characteriser

Immunoprecipitation - Anti-Spastin antibody [Sp 3G11/1] (AB31850)

Immunoprecipitation of SPAST in HAP1 cells. Lysates were prepared and immunoprecipitation was performed using 1μg of ab31850 pre-coupled to Protein A beads. Samples were washed and processed for western blot with ab77144 at 1/500.

This data was kindly provided by the YCharOS Inc., an open science company with the mission of characterizing every commercially available antibody reagent. Abcam are working with YCharOS to support their mission of antibody characterisation using knock out cell lines.

All lanes:

Immunoprecipitation - Anti-Spastin antibody [Sp 3G11/1] (ab31850)

Predicted band size: 68 kDa

false

Western blot - Anti-Spastin antibody [Sp 3G11/1] (AB31850)
  • WB

Lab

Western blot - Anti-Spastin antibody [Sp 3G11/1] (AB31850)

False colour image of Western blot : Anti-Spastin antibody [Sp 3G11/1] staining at 1/500 dilution, shown in green; Rabbit Anti-GAPDH antibody [EPR16891] (ab181602) loading control staining at 1/20000 dilution, shown in red. In Western blot, ab31850 was shown to bind specifically to Spastin. A band was observed at 55 kDa in wild-type HEK-293T cell lysates with no signal observed at this size in SPAST knockout cell line ab267238 (knockout cell lysate ab258698). To generate this image, wild-type and SPAST knockout HEK-293T cell lysates were analysed. First, samples were run on an SDS-PAGE gel then transferred onto a nitrocellulose membrane. Membranes were blocked in 3 % milk in TBS-0.1 % Tween® 20 (TBS-T) before incubation with primary antibodies overnight at 4 °C. Blots were washed four times in TBS-T, incubated with secondary antibodies for 1 h at room temperature, washed again four times then imaged. Secondary antibodies used were Goat anti-Mouse IgG H&L (IRDye® 800CW) preabsorbed (ab216772) and Goat anti-Rabbit IgG H&L (IRDye® 680RD) preabsorbed (ab216777) at 1/20000 dilution.

All lanes:

Western blot - Anti-Spastin antibody [Sp 3G11/1] (ab31850) at 1/500 dilution

Lane 1:

Wild-type HEK-293T cell lysate at 20 µg

Lane 2:

Spastin knockout HEK-293T cell lysate at 20 µg

Lane 2:

Western blot - Human SPAST (Spastin) knockout HEK-293T cell line (<a href='/en-us/products/cell-lines/human-spast-spastin-knockout-hek-293t-cell-line-ab267238'>ab267238</a>)

Lane 3:

SH-SY5Y cell lysate at 20 µg

Lane 4:

HeLa cell lysate at 20 µg

Predicted band size: 68 kDa

Observed band size: 55 kDa

false

Western blot - Anti-Spastin antibody [Sp 3G11/1] (AB31850)
  • WB

Lab

Western blot - Anti-Spastin antibody [Sp 3G11/1] (AB31850)

ab31850 was shown to react with SPAST in wild-type HEK293T cells in Western blot with loss of signal observed in SPAST knockout cell line ab267238 (SPAST knockout cell lysate ab258698). Wild-type HEK293T and SPAST knockout cell lysates were subjected to SDS-PAGE. Membranes were blocked in 5% milk in TBST for 1 hr before incubation with ab31850 overnight at 4 °C at a 1/500 dilution. Blots were incubated with goat anti-rabbit HRP secondary antibodies at 0.2μg/mL before imaging.

These data were provided by YCharOS Inc., an open science company with the mission of characterizing commercially available antibody reagents for all human proteins. Abcam and YCharOS are working together to help address the reproducibility crisis by enabling the life science community to better evaluate commercially available antibodies.

All lanes:

Western blot - Anti-Spastin antibody [Sp 3G11/1] (ab31850) at 1/500 dilution

Lane 1:

Wild-type HEK-293T cell lysate at 20 µg

Lane 2:

SPAST knockout HEK293T cell lysate at 20 µg

Lane 2:

Western blot - Human SPAST (Spastin) knockout HEK-293T cell line (<a href='/en-us/products/cell-lines/human-spast-spastin-knockout-hek-293t-cell-line-ab267238'>ab267238</a>)

Lane 3:

Wild-type HAP1 cell lysate at 20 µg

Lane 4:

SPAST knockout HAP1 cell lysate at 20 µg

Secondary

All lanes:

goat anti-rabbit HRP at 0.2 µg/mL

Predicted band size: 68 kDa

false

Western blot - Anti-Spastin antibody [Sp 3G11/1] (AB31850)
  • WB

Unknown

Western blot - Anti-Spastin antibody [Sp 3G11/1] (AB31850)

There are two splice isoforms of spastin (one without exon4) and two alternative ATG start sites, which may determine the localisation of the translate protein. 52kDa is the major band.

All lanes:

Western blot - Anti-Spastin antibody [Sp 3G11/1] (ab31850) at 1/500 dilution

All lanes:

rat brain synaptosome

Predicted band size: 68 kDa

Observed band size: 52 kDa

false

Key facts

Host species

Mouse

Clonality

Monoclonal

Clone number

Sp 3G11/1

Isotype

IgG2a

Carrier free

No

Reacts with

Rat, Human

Applications

WB, IHC-P, IP

applications

Immunogen

Recombinant Full Length Protein corresponding to Human SPAST.

Q9UBP0

Reactivity data

{ "title": "Reactivity Data", "filters": { "stats": ["", "Species", "Dilution Info", "Notes"], "tabs": { "all-applications": {"fullname" : "All Applications", "shortname": "All Applications"}, "IP" : {"fullname" : "Immunoprecipitation", "shortname":"IP"}, "WB" : {"fullname" : "Western blot", "shortname":"WB"}, "IHCP" : {"fullname" : "Immunohistochemistry (Formalin/PFA-fixed paraffin-embedded sections)", "shortname":"IHC-P"} }, "product-promise": { "all": "all", "testedAndGuaranteed": "tested", "guaranteed": "expected", "predicted": "predicted", "notRecommended": "not-recommended" } }, "values": { "Human": { "IP-species-checked": "testedAndGuaranteed", "IP-species-dilution-info": "", "IP-species-notes": "<p></p>", "WB-species-checked": "testedAndGuaranteed", "WB-species-dilution-info": "1/500", "WB-species-notes": "<p>There are two splice isoforms of spastin, one without exon4 and two alternative ATG start sites, which may determine the localisation of the translate protein. 52kDa is the major band.</p>", "IHCP-species-checked": "testedAndGuaranteed", "IHCP-species-dilution-info": "", "IHCP-species-notes": "<p></p>" }, "Rat": { "IP-species-checked": "guaranteed", "IP-species-dilution-info": "", "IP-species-notes": "", "WB-species-checked": "testedAndGuaranteed", "WB-species-dilution-info": "1/500", "WB-species-notes": "<p>There are two splice isoforms of spastin, one without exon4 and two alternative ATG start sites, which may determine the localisation of the translate protein. 52kDa is the major band.</p>", "IHCP-species-checked": "guaranteed", "IHCP-species-dilution-info": "", "IHCP-species-notes": "" } } }

Properties and storage information

Form
Liquid
Purification technique
Affinity purification Protein A/G
Storage buffer
Preservative: 0.02% Sodium azide Constituents: PBS
Shipped at conditions
Blue Ice
Appropriate short-term storage duration
1-2 weeks
Appropriate short-term storage conditions
+4°C
Appropriate long-term storage conditions
-20°C
Aliquoting information
Upon delivery aliquot
Storage information
Avoid freeze / thaw cycle

Supplementary information

This supplementary information is collated from multiple sources and compiled automatically.

Spastin also known as SPG4 is a microtubule-severing ATPase that plays an important role in cellular mechanics by cutting microtubules in cells. It weighs approximately 68 kDa and is present mainly in neural tissue but can also be found in other tissues. The protein's localization includes the cytoplasm and is associated with centrosomes and subcellular regions with dense microtubule networks.
Biological function summary

Spastin participates in regulating microtubule dynamics. It plays a critical role in axonal growth and maintenance by modulating microtubule lengths and branching. Spastin does not function alone; it forms part of the AAA protein family functioning in significant processes like neurogenesis and neural maintenance. Its activity affects neural cell structure and transport by influencing cytoskeletal rearrangement.

Pathways

Any disturbances in Spastin function can impact the microtubule dynamics pathway and the axonal transport pathway. Spastin interacts closely with proteins such as Tubulin and Katanin which are also involved in microtubule severing and organization. Proper Spastin function is necessary to maintain intracellular transport and signal transduction critical for neural cell health and function.

Alterations in Spastin activity lead to neurodegenerative conditions like Hereditary Spastic Paraplegia (HSP). This disorder often relates to mutations in the SPG4 gene which encodes Spastin affecting motor neuron functions. In HSP disrupted Spastin function correlates with deficiencies in proteins such as Tubulin exacerbating neuroaxonal deficits and influencing disease progression.

Product protocols

For this product, it's our understanding that no specific protocols are required. You can visit:

Target data

ATP-dependent microtubule severing protein that specifically recognizes and cuts microtubules that are polyglutamylated (PubMed : 11809724, PubMed : 15716377, PubMed : 16219033, PubMed : 17389232, PubMed : 20530212, PubMed : 22637577, PubMed : 26875866). Preferentially recognizes and acts on microtubules decorated with short polyglutamate tails : severing activity increases as the number of glutamates per tubulin rises from one to eight, but decreases beyond this glutamylation threshold (PubMed : 26875866). Severing activity is not dependent on tubulin acetylation or detyrosination (PubMed : 26875866). Microtubule severing promotes reorganization of cellular microtubule arrays and the release of microtubules from the centrosome following nucleation. It is critical for the biogenesis and maintenance of complex microtubule arrays in axons, spindles and cilia. SPAST is involved in abscission step of cytokinesis and nuclear envelope reassembly during anaphase in cooperation with the ESCRT-III complex (PubMed : 19000169, PubMed : 21310966, PubMed : 26040712). Recruited at the midbody, probably by IST1, and participates in membrane fission during abscission together with the ESCRT-III complex (PubMed : 21310966). Recruited to the nuclear membrane by IST1 and mediates microtubule severing, promoting nuclear envelope sealing and mitotic spindle disassembly during late anaphase (PubMed : 26040712). Required for membrane traffic from the endoplasmic reticulum (ER) to the Golgi and endosome recycling (PubMed : 23897888). Recruited by IST1 to endosomes and regulates early endosomal tubulation and recycling by mediating microtubule severing (PubMed : 23897888). Probably plays a role in axon growth and the formation of axonal branches (PubMed : 15716377).. Isoform 1. Involved in lipid metabolism by regulating the size and distribution of lipid droplets.
See full target information SPAST

Publications (5)

Recent publications for all applications. Explore the full list and refine your search

Virologica Sinica 38:448-458 PubMed37172824

2023

Spastin is required for human immunodeficiency virus-1 efficient replication through cooperation with the endosomal sorting complex required for transport (ESCRT) protein.

Applications

Unspecified application

Species

Unspecified reactive species

Wenyuan Shen,Chang Liu,Yue Hu,Qian Ding,Jiabin Feng,Zhou Liu,Xiaohong Kong

Development (Cambridge, England) 150: PubMed36971361

2023

Spastin is an essential regulator of male meiosis, acrosome formation, manchette structure and nuclear integrity.

Applications

Unspecified application

Species

Unspecified reactive species

Samuel R Cheers,Anne E O'Connor,Travis K Johnson,D Jo Merriner,Moira K O'Bryan,Jessica E M Dunleavy

eLife 4: PubMed25942454

2015

Chromosome mis-segregation and cytokinesis failure in trisomic human cells.

Applications

Unspecified application

Species

Unspecified reactive species

Joshua M Nicholson,Joana C Macedo,Aaron J Mattingly,Darawalee Wangsa,Jordi Camps,Vera Lima,Ana M Gomes,Sofia Dória,Thomas Ried,Elsa Logarinho,Daniela Cimini

Molecular endocrinology (Baltimore, Md.) 25:1539-49 PubMed21757506

2011

A novel role for the AAA ATPase spastin as a HOXA10 transcriptional corepressor in Ishikawa endometrial cells.

Applications

ChIP, ICC/IF, WB, IHC-P

Species

Human, Human, Human, Human

Gaurang S Daftary,Amy M Tetrault,Elisa M Jorgensen,Jennifer Sarno,Hugh S Taylor

Journal of neurochemistry 95:1411-20 PubMed16219033

2005

Human spastin has multiple microtubule-related functions.

Applications

Unspecified application

Species

Unspecified reactive species

Sara Salinas,Rafael E Carazo-Salas,Christos Proukakis,J Mark Cooper,Anne E Weston,Giampietro Schiavo,Thomas T Warner
View all publications

Product promise

We are committed to supporting your work with high-quality reagents, and we're here for you every step of the way. In the unlikely event that one of our products does not perform as expected, you're protected by our Product Promise.
For full details, please see our Terms & Conditions

Please note: All products are 'FOR RESEARCH USE ONLY. NOT FOR USE IN DIAGNOSTIC OR THERAPEUTIC PROCEDURES'.

For licensing inquiries, please contact partnerships@abcam.com