JavaScript is disabled in your browser. Please enable JavaScript to view this website.
AB197680

Anti-SPATA6 antibody

Be the first to review this product! Submit a review

|

(1 Publication)

Rabbit Polyclonal SPATA6 antibody. Suitable for WB, IHC-P and reacts with Human samples. Cited in 1 publication. Immunogen corresponding to Recombinant Fragment Protein within Human SPATA6.

View Alternative Names

Spermatogenesis-associated protein 6, SPATA6

2 Images
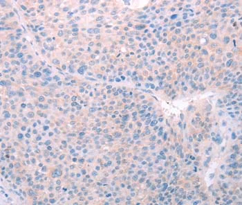
Immunohistochemistry (Formalin/PFA-fixed paraffin-embedded sections) - Anti-SPATA6 antibody (AB197680)
  • IHC-P

Supplier Data

Immunohistochemistry (Formalin/PFA-fixed paraffin-embedded sections) - Anti-SPATA6 antibody (AB197680)

Immunohistochemical analysis of formalin fixed paraffin embedded human liver cancer tissue labeling SPATA6 with ab197680 at a 1/40 dilution.

Western blot - Anti-SPATA6 antibody (AB197680)
  • WB

Supplier Data

Western blot - Anti-SPATA6 antibody (AB197680)

8% SDS PAGE gel

All lanes:

Western blot - Anti-SPATA6 antibody (ab197680) at 1/1000 dilution

All lanes:

human testis tissue lysate at 60 µg

Predicted band size: 56 kDa

false

Exposure time: 5min

Key facts

Host species

Rabbit

Clonality

Polyclonal

Isotype

IgG

Carrier free

No

Reacts with

Human

Applications

WB, IHC-P

applications

Immunogen

Recombinant Fragment Protein within Human SPATA6. The exact immunogen used to generate this antibody is proprietary information.

Q9NWH7

Reactivity data

{ "title": "Reactivity Data", "filters": { "stats": ["", "Species", "Dilution Info", "Notes"], "tabs": { "all-applications": {"fullname" : "All Applications", "shortname": "All Applications"}, "WB" : {"fullname" : "Western blot", "shortname":"WB"}, "IHCP" : {"fullname" : "Immunohistochemistry (Formalin/PFA-fixed paraffin-embedded sections)", "shortname":"IHC-P"} }, "product-promise": { "all": "all", "testedAndGuaranteed": "tested", "guaranteed": "expected", "predicted": "predicted", "notRecommended": "not-recommended" } }, "values": { "Human": { "WB-species-checked": "testedAndGuaranteed", "WB-species-dilution-info": "1/200 - 1/1000", "WB-species-notes": "<p></p>", "IHCP-species-checked": "testedAndGuaranteed", "IHCP-species-dilution-info": "1/25 - 1/100", "IHCP-species-notes": "<p></p>" }, "Mouse": { "WB-species-checked": "predicted", "WB-species-dilution-info": "", "WB-species-notes": "", "IHCP-species-checked": "predicted", "IHCP-species-dilution-info": "", "IHCP-species-notes": "" }, "Rat": { "WB-species-checked": "predicted", "WB-species-dilution-info": "", "WB-species-notes": "", "IHCP-species-checked": "predicted", "IHCP-species-dilution-info": "", "IHCP-species-notes": "" } } }

Properties and storage information

Form
Liquid
Purification technique
Affinity purification Immunogen
Storage buffer
pH: 7.4 Preservative: 0.05% Sodium azide Constituents: PBS, 50% Glycerol (glycerin, glycerine)
Shipped at conditions
Blue Ice
Appropriate short-term storage duration
1-2 weeks
Appropriate short-term storage conditions
+4°C
Appropriate long-term storage conditions
-20°C
Aliquoting information
Upon delivery aliquot
Storage information
Avoid freeze / thaw cycle

Supplementary information

This supplementary information is collated from multiple sources and compiled automatically.

SPATA6 also known as Spermatogenesis Associated 6 is a protein involved in the mechanical processes of cell development. The protein has a mass of around 62 kDa. SPATA6 expression primarily occurs in the testis suggesting a role in reproductive biology. It facilitates the proper function and structure of microtubules which are important in maintaining cell shape and division. As a part of the spermatogenic process SPATA6 contributes to the complex progression of sperm maturation making proper sperm function reliant on its activity.
Biological function summary

SPATA6 plays an important role in spermatogenesis the process where sperm cells form. The protein contributes to spermatid elongation and acrosome development. It possibly exists within a larger complex associated with microtubule proteins that support cell movement and stability. This association enables SPATA6 to influence the integrity and motility of spermatozoa. By interacting with cytoskeletal components SPATA6 aids in the structural reorganization necessary for productive reproduction.

Pathways

SPATA6 interacts within the reproductive pathways that govern sperm development and function. It associates with pathways involved in cytoskeletal rearrangements specifically implicating it in microtubule-organizing structures. SPATA6 indirectly links to proteins such as kinesin family members that regulate molecular motor activities playing a part in efficient intracellular transport and cellular morphology. These pathways ensure the coordination of structural transformations essential during germ cell maturation.

SPATA6 mutations or malfunctions relate to reproductive disorders particularly male infertility. Disruption in SPATA6 may lead to compromised sperm motility impacting fertilization ability. The improper function of SPATA6 can result in defective spermatid development showing potential correlations with proteins involved in cytoskeletal configurations like tubulins. A deeper understanding of SPATA6 interactions could provide insight into therapeutic targets for treating infertility and other reproductive health issues.

Product protocols

For this product, it's our understanding that no specific protocols are required. You can visit:

Target data

Required for formation of the sperm connecting piece during spermiogenesis. Sperm connecting piece is essential for linking the developing flagellum to the head during late spermiogenesis. May be involved in myosin-based microfilament transport through interaction with myosin subunits.
See full target information SPATA6

Publications (1)

Recent publications for all applications. Explore the full list and refine your search

Biology of reproduction 100:561-572 PubMed30295753

2018

Murine PAIP1 stimulates translation of spermiogenic mRNAs stored by YBX2 via its interaction with YBX2†.

Applications

Unspecified application

Species

Unspecified reactive species

Yue He,Yu Lin,Yu Zhu,Ping Ping,Guishuan Wang,Fei Sun
View all publications

Product promise

We are committed to supporting your work with high-quality reagents, and we're here for you every step of the way. In the unlikely event that one of our products does not perform as expected, you're protected by our Product Promise.
For full details, please see our Terms & Conditions

Please note: All products are 'FOR RESEARCH USE ONLY. NOT FOR USE IN DIAGNOSTIC OR THERAPEUTIC PROCEDURES'.

For licensing inquiries, please contact partnerships@abcam.com