JavaScript is disabled in your browser. Please enable JavaScript to view this website.
AB151100

Anti-SPEF1 antibody

5

(1 Review)

|

(1 Publication)

Rabbit Polyclonal SPEF1 antibody. Suitable for IHC-P, WB and reacts with Human samples. Cited in 1 publication. Immunogen corresponding to Recombinant Fragment Protein within Human SPEF1 aa 1-200.

View Alternative Names

C20orf28, SPEF1, Sperm flagellar protein 1

2 Images
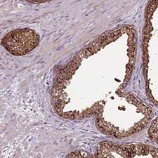
Immunohistochemistry (Formalin/PFA-fixed paraffin-embedded sections) - Anti-SPEF1 antibody (AB151100)
  • IHC-P

Unknown

Immunohistochemistry (Formalin/PFA-fixed paraffin-embedded sections) - Anti-SPEF1 antibody (AB151100)

Immunohistochemical analysis of paraffin-embedded Human prostate tissue labeling SPEF1 with ab151100 at 1/50 dilution.

Western blot - Anti-SPEF1 antibody (AB151100)
  • WB

Unknown

Western blot - Anti-SPEF1 antibody (AB151100)

All lanes:

Western blot - Anti-SPEF1 antibody (ab151100) at 1/250 dilution

Lane 1:

RT-4 cell lysate

Lane 2:

U-251 MG cell lysate

Lane 3:

Human Plasma lysate

Lane 4:

Human Liver lysate

Lane 5:

Human Tonsil lysate

Predicted band size: 27 kDa

false

Key facts

Host species

Rabbit

Clonality

Polyclonal

Isotype

IgG

Carrier free

No

Reacts with

Human

Applications

WB, IHC-P

applications

Immunogen

Recombinant Fragment Protein within Human SPEF1 aa 1-200. The exact immunogen used to generate this antibody is proprietary information.

Q9Y4P9

Reactivity data

{ "title": "Reactivity Data", "filters": { "stats": ["", "Species", "Dilution Info", "Notes"], "tabs": { "all-applications": {"fullname" : "All Applications", "shortname": "All Applications"}, "IHCP" : {"fullname" : "Immunohistochemistry (Formalin/PFA-fixed paraffin-embedded sections)", "shortname":"IHC-P"}, "WB" : {"fullname" : "Western blot", "shortname":"WB"} }, "product-promise": { "all": "all", "testedAndGuaranteed": "tested", "guaranteed": "expected", "predicted": "predicted", "notRecommended": "not-recommended" } }, "values": { "Human": { "IHCP-species-checked": "testedAndGuaranteed", "IHCP-species-dilution-info": "1/50 - 1/200", "IHCP-species-notes": "<p></p> Perform heat-mediated antigen retrieval with citrate buffer pH 6 before commencing with IHC staining protocol.", "WB-species-checked": "testedAndGuaranteed", "WB-species-dilution-info": "1/250 - 1/500", "WB-species-notes": "<p></p>" } } }

Product details

The antibody solution should be gently mixed before use.

Properties and storage information

Form
Liquid
Purification technique
Affinity purification Immunogen
Storage buffer
pH: 7.2 Preservative: 0.02% Sodium azide Constituents: PBS, 40% Glycerol (glycerin, glycerine)
Shipped at conditions
Blue Ice
Appropriate short-term storage conditions
+4°C
Appropriate long-term storage conditions
-20°C
Aliquoting information
Upon delivery aliquot
Storage information
Avoid freeze / thaw cycle

Supplementary information

This supplementary information is collated from multiple sources and compiled automatically.

SPEF1 also known as Sperm Flagellar Protein 1 functions in the motility of cilia and flagella. The protein has a mass of approximately 38 kDa. Researchers have observed its expression mainly in tissues with motile cilia such as the respiratory tract and reproductive system. It is essential for proper ciliary movement contributing to the physical structure and movement capability of cilia and flagella.
Biological function summary

As part of motility mechanisms SPEF1 plays a role in the assembly and stabilization of the axoneme the core structure of cilia and flagella. This protein is an axonemal protein that interacts with microtubules facilitating the sliding of microtubule doublets necessary for ciliary beating. SPEF1 does not act alone; it works within a multi-protein complex that includes other ciliary proteins to ensure effective ciliary and flagellar function.

Pathways

SPEF1 participates in pathways involved in respiratory cilia function and sperm motility. Within these pathways its role is connected to proteins such as dynein and kinesin which are also involved in microtubule-based movements. These pathways are essential for proper respiratory function and fertility due to their involvement in the movement and fluid clearance by cilia as well as sperm motility.

SPEF1 dysregulation links to primary ciliary dyskinesia (PCD) and some infertility cases. PCD results from mutated components of the axoneme impacting SPEF1 along with other proteins like DNAI1. These conditions illustrate the importance of functional ciliary and flagellar proteins for respiratory health and reproduction. Understanding the exact role of SPEF1 in these disorders helps in the development of targeted therapies and diagnostic tools.

Product protocols

For this product, it's our understanding that no specific protocols are required. You can visit:

Target data

Microtubule-associated protein involved in the stabilization of microtubules along the axis of migration during radial intercalation. Promotes the establishment and stabilization of an axis of microtubules required for the active migration of cells into the outer epithelium (By similarity). Microtubule-associated protein that promotes microtubule bundling and stabilizes microtubules against depolymerization in response to cold shock (By similarity). Essential for ciliary central apparatus formation which requires both its microtubule-binding and bundling activities and for ciliary localization of HYDIN and SPAG6 in ependymal cilia (By similarity). Binds actin in intestinal epithelial cells (IECs), essential for IECs survival and contributes to formation of filopodia and lamellipodia in migrating IECs (PubMed : 31473225). Regulates planar cell polarity signaling pathway and asymmetric microtubule accumulation in ciliated epithelia (By similarity).
See full target information SPEF1

Publications (1)

Recent publications for all applications. Explore the full list and refine your search

Frontiers in immunology 14:1268141 PubMed38035073

2023

A comprehensive cuproptosis score and associated gene signatures reveal prognostic and immunological features of idiopathic pulmonary fibrosis.

Applications

Unspecified application

Species

Unspecified reactive species

Chuanqing Jing,Rong Fu,Xue Liu,Guodong Zang,Xue Zhu,Can Wang,Wei Zhang
View all publications

Product promise

We are committed to supporting your work with high-quality reagents, and we're here for you every step of the way. In the unlikely event that one of our products does not perform as expected, you're protected by our Product Promise.
For full details, please see our Terms & Conditions

Please note: All products are 'FOR RESEARCH USE ONLY. NOT FOR USE IN DIAGNOSTIC OR THERAPEUTIC PROCEDURES'.

For licensing inquiries, please contact partnerships@abcam.com