JavaScript is disabled in your browser. Please enable JavaScript to view this website.
AB114968

Anti-SPF45 antibody

Be the first to review this product! Submit a review

|

(2 Publications)

Rabbit Polyclonal SPF45 antibody. Suitable for IHC-P, IP and reacts with Human, Mouse samples. Cited in 2 publications. Immunogen corresponding to Synthetic Peptide within Human RBM17 aa 1-100.

View Alternative Names

SPF45, RBM17, Splicing factor 45, 45 kDa-splicing factor, RNA-binding motif protein 17

3 Images
Immunohistochemistry (Formalin/PFA-fixed paraffin-embedded sections) - Anti-SPF45 antibody (AB114968)
  • IHC-P

Unknown

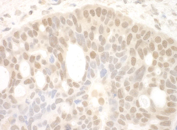
Immunohistochemistry (Formalin/PFA-fixed paraffin-embedded sections) - Anti-SPF45 antibody (AB114968)

Immunohistochemistry (Formalin/PFA-fixed paraffin-embedded sections) analysis of human ovarian carcinoma tissue labelling RBM17 with ab114968 at 1/1000 (1µg/ml). Detection : DAB.

Immunohistochemistry (Formalin/PFA-fixed paraffin-embedded sections) - Anti-SPF45 antibody (AB114968)
  • IHC-P

Supplier Data

Immunohistochemistry (Formalin/PFA-fixed paraffin-embedded sections) - Anti-SPF45 antibody (AB114968)

Immunohistochemistry (Formalin/PFA-fixed paraffin-embedded sections) analysis of mouse plasmacytoma tissue labelling SPF45 with ab114968 at 1/500 (2μg/ml). Detection : DAB.

Immunoprecipitation - Anti-SPF45 antibody (AB114968)
  • IP

Unknown

Immunoprecipitation - Anti-SPF45 antibody (AB114968)

Detection of SPF45 by Western Blot of Immunprecipitate.
anti-SPF45 at 0.4μg/ml staining SPF45 in HeLa whole cell lysate immunoprecipitated using ab114968 at 3μg/mg lysate (1 mg/IP; 20% of IP loaded/lane).
Detection : Chemiluminescence with exposure time of 10 seconds.

All lanes:

Immunoprecipitation - Anti-SPF45 antibody (ab114968)

Predicted band size: 45 kDa

false

Key facts

Host species

Rabbit

Clonality

Polyclonal

Isotype

IgG

Carrier free

No

Reacts with

Human, Mouse

Applications

IHC-P, IP

applications

Immunogen

Synthetic Peptide within Human RBM17 aa 1-100. The exact immunogen used to generate this antibody is proprietary information.

Q96I25

Reactivity data

{ "title": "Reactivity Data", "filters": { "stats": ["", "Species", "Dilution Info", "Notes"], "tabs": { "all-applications": {"fullname" : "All Applications", "shortname": "All Applications"}, "IHCP" : {"fullname" : "Immunohistochemistry (Formalin/PFA-fixed paraffin-embedded sections)", "shortname":"IHC-P"}, "IP" : {"fullname" : "Immunoprecipitation", "shortname":"IP"} }, "product-promise": { "all": "all", "testedAndGuaranteed": "tested", "guaranteed": "expected", "predicted": "predicted", "notRecommended": "not-recommended" } }, "values": { "Human": { "IHCP-species-checked": "testedAndGuaranteed", "IHCP-species-dilution-info": "1/500 - 1/2000", "IHCP-species-notes": "<p></p> Perform heat-mediated antigen retrieval with citrate buffer pH 6 before commencing with IHC staining protocol.", "IP-species-checked": "testedAndGuaranteed", "IP-species-dilution-info": "2-5 µg/mg of lysate", "IP-species-notes": "<p></p>" }, "Mouse": { "IHCP-species-checked": "testedAndGuaranteed", "IHCP-species-dilution-info": "1/500 - 1/2000", "IHCP-species-notes": "<p></p> Perform heat-mediated antigen retrieval with citrate buffer pH 6 before commencing with IHC staining protocol.", "IP-species-checked": "guaranteed", "IP-species-dilution-info": "", "IP-species-notes": "" }, "Rat": { "IHCP-species-checked": "predicted", "IHCP-species-dilution-info": "", "IHCP-species-notes": "", "IP-species-checked": "predicted", "IP-species-dilution-info": "", "IP-species-notes": "" }, "Chimpanzee": { "IHCP-species-checked": "predicted", "IHCP-species-dilution-info": "", "IHCP-species-notes": "", "IP-species-checked": "predicted", "IP-species-dilution-info": "", "IP-species-notes": "" }, "Cow": { "IHCP-species-checked": "predicted", "IHCP-species-dilution-info": "", "IHCP-species-notes": "", "IP-species-checked": "predicted", "IP-species-dilution-info": "", "IP-species-notes": "" }, "Dog": { "IHCP-species-checked": "predicted", "IHCP-species-dilution-info": "", "IHCP-species-notes": "", "IP-species-checked": "predicted", "IP-species-dilution-info": "", "IP-species-notes": "" }, "Guinea pig": { "IHCP-species-checked": "predicted", "IHCP-species-dilution-info": "", "IHCP-species-notes": "", "IP-species-checked": "predicted", "IP-species-dilution-info": "", "IP-species-notes": "" }, "Orangutan": { "IHCP-species-checked": "predicted", "IHCP-species-dilution-info": "", "IHCP-species-notes": "", "IP-species-checked": "predicted", "IP-species-dilution-info": "", "IP-species-notes": "" }, "Pig": { "IHCP-species-checked": "predicted", "IHCP-species-dilution-info": "", "IHCP-species-notes": "", "IP-species-checked": "predicted", "IP-species-dilution-info": "", "IP-species-notes": "" }, "Rhesus monkey": { "IHCP-species-checked": "predicted", "IHCP-species-dilution-info": "", "IHCP-species-notes": "", "IP-species-checked": "predicted", "IP-species-dilution-info": "", "IP-species-notes": "" }, "Xenopus laevis": { "IHCP-species-checked": "predicted", "IHCP-species-dilution-info": "", "IHCP-species-notes": "", "IP-species-checked": "predicted", "IP-species-dilution-info": "", "IP-species-notes": "" } } }

Properties and storage information

Form
Liquid
Purification technique
Affinity purification Immunogen
Storage buffer
pH: 7 - 8 Preservative: 0.09% Sodium azide Constituents: 99% Tris citrate/phosphate
Shipped at conditions
Blue Ice
Appropriate short-term storage conditions
+4°C
Appropriate long-term storage conditions
-20°C
Aliquoting information
Upon delivery aliquot
Storage information
Avoid freeze / thaw cycle

Supplementary information

This supplementary information is collated from multiple sources and compiled automatically.

SPF45 also known as RBM17 (RNA binding motif protein 17) is a protein that plays an essential role in pre-mRNA splicing. With a molecular weight of approximately 45 kDa SPF45 is expressed widely in human tissues with significant levels in the testes ovaries and other proliferative tissues. The protein consists of an RNA recognition motif which facilitates its binding to RNA molecules during the splicing process. Through these interactions SPF45 contributes significantly to the modification and maturation of pre-mRNA molecules.
Biological function summary

SPF45 interacts with components of the spliceosome a large and dynamic ribonucleoprotein complex essential for the removal of introns from pre-mRNA. This protein serves as an activator in the alternative splicing of transcripts thereby influencing gene expression patterns. SPF45's binding with other spliceosome-associated proteins and its participation in splicing regulation highlight its role in generating diverse protein isoforms which are important for cell differentiation and development. The interactions within the spliceosomal complex mark SPF45 as a significant player in mRNA biogenesis.

Pathways

SPF45 participates prominently in the regulation of the spliceosome and consequently in the overall RNA processing pathway. By modulating alternative splicing SPF45 affects pathways such as signal transduction and cell cycle control. SPF45 closely interacts with other splicing factors like SF1 and U2AF65 forming important nodes in the network of splicing regulation. Its activity in spliceosome assembly and function is integral influencing various downstream pathways essential for cellular response and adaptation.

SPF45 alterations have been implicated in cancer and neurodegenerative diseases. SPF45's regulation of alternative splicing can lead to aberrant gene expression when disrupted contributing to tumorigenesis. Increased or altered expression levels are observed in several cancers linking it to oncogenic pathways. Additionally in neurodegenerative disorders SPF45's role in splicing regulation intersects with proteins such as TDP-43 impacting neuronal health and function. Its intricate involvement highlights the importance of SPF45 in both normal cellular processes and pathological conditions.

Product protocols

For this product, it's our understanding that no specific protocols are required. You can visit:

Target data

Splice factor that binds to the single-stranded 3'AG at the exon/intron border and promotes its utilization in the second catalytic step. Involved in the regulation of alternative splicing and the utilization of cryptic splice sites. Promotes the utilization of a cryptic splice site created by the beta-110 mutation in the HBB gene. The resulting frameshift leads to sickle cell anemia.
See full target information RBM17

Publications (2)

Recent publications for all applications. Explore the full list and refine your search

Journal of cellular and molecular medicine 29:e70674 PubMed40576214

2025

Hippo Pathway Regulates Cell Proliferation in Skin Epidermis Exposed to Mechanical Forces.

Applications

Unspecified application

Species

Unspecified reactive species

Joanna K Ledwon,Bianka Progri,Sarah A Applebaum,Oveyaa Vignesh,Alice Yau,Angie H Aguilar,Adrian B Tepole,Arun K Gosain

Journal of experimental & clinical cancer research : CR 40:222 PubMed34225773

2021

A 5'-tRNA halve, tiRNA-Gly promotes cell proliferation and migration via binding to RBM17 and inducing alternative splicing in papillary thyroid cancer.

Applications

Unspecified application

Species

Unspecified reactive species

Litao Han,Hejing Lai,Yichen Yang,Jiaqian Hu,Zhe Li,Ben Ma,Weibo Xu,Wanlin Liu,Wenjun Wei,Duanshu Li,Yu Wang,Qiwei Zhai,Qinghai Ji,Tian Liao
View all publications

Product promise

We are committed to supporting your work with high-quality reagents, and we're here for you every step of the way. In the unlikely event that one of our products does not perform as expected, you're protected by our Product Promise.
For full details, please see our Terms & Conditions

Please note: All products are 'FOR RESEARCH USE ONLY. NOT FOR USE IN DIAGNOSTIC OR THERAPEUTIC PROCEDURES'.

For licensing inquiries, please contact partnerships@abcam.com