JavaScript is disabled in your browser. Please enable JavaScript to view this website.
AB204333

Anti-SPF45 antibody

Be the first to review this product! Submit a review

|

(4 Publications)

Rabbit Polyclonal SPF45 antibody. Suitable for IHC-P, WB, ICC/IF and reacts with Human samples. Cited in 4 publications. Immunogen corresponding to Recombinant Fragment Protein within Human RBM17 aa 1-150.

View Alternative Names

SPF45, RBM17, Splicing factor 45, 45 kDa-splicing factor, RNA-binding motif protein 17

3 Images
Immunocytochemistry/ Immunofluorescence - Anti-SPF45 antibody (AB204333)
  • ICC/IF

Supplier Data

Immunocytochemistry/ Immunofluorescence - Anti-SPF45 antibody (AB204333)

Immunofluorescent analysis of U2 OS cells (PFA-fixed/Triton X-100 permeabilized) labeling SPF45 with ab204333 at 4 μg/ml (green).

Immunohistochemistry (Formalin/PFA-fixed paraffin-embedded sections) - Anti-SPF45 antibody (AB204333)
  • IHC-P

Supplier Data

Immunohistochemistry (Formalin/PFA-fixed paraffin-embedded sections) - Anti-SPF45 antibody (AB204333)

Immunohistochemical analysis of Paraffin-embedded Human lateral ventricle tissue labeling SPF45 with ab204333 at 1/200 dilution.

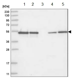
Western blot - Anti-SPF45 antibody (AB204333)
  • WB

Supplier Data

Western blot - Anti-SPF45 antibody (AB204333)

All lanes:

Western blot - Anti-SPF45 antibody (ab204333) at 1/100 dilution

Lane 1:

RT4 cell lysate

Lane 2:

U251 MG cell lysate

Lane 3:

Human plasma tissue lysate

Lane 4:

Human liver tissue lysate

Lane 5:

Human tonsil tissue lysate

Predicted band size: 45 kDa

true

Key facts

Host species

Rabbit

Clonality

Polyclonal

Isotype

IgG

Carrier free

No

Reacts with

Human

Applications

WB, IHC-P, ICC/IF

applications

Immunogen

Recombinant Fragment Protein within Human RBM17 aa 1-150. The exact immunogen used to generate this antibody is proprietary information.

Q96I25

Reactivity data

{ "title": "Reactivity Data", "filters": { "stats": ["", "Species", "Dilution Info", "Notes"], "tabs": { "all-applications": {"fullname" : "All Applications", "shortname": "All Applications"}, "IHCP" : {"fullname" : "Immunohistochemistry (Formalin/PFA-fixed paraffin-embedded sections)", "shortname":"IHC-P"}, "WB" : {"fullname" : "Western blot", "shortname":"WB"}, "ICCIF" : {"fullname" : "Immunocytochemistry/ Immunofluorescence", "shortname":"ICC/IF"} }, "product-promise": { "all": "all", "testedAndGuaranteed": "tested", "guaranteed": "expected", "predicted": "predicted", "notRecommended": "not-recommended" } }, "values": { "Human": { "IHCP-species-checked": "testedAndGuaranteed", "IHCP-species-dilution-info": "1/200 - 1/500", "IHCP-species-notes": "<p></p> Perform heat-mediated antigen retrieval with citrate buffer pH 6 before commencing with IHC staining protocol.", "WB-species-checked": "testedAndGuaranteed", "WB-species-dilution-info": "0.04-0.4 µg/mL", "WB-species-notes": "<p></p>", "ICCIF-species-checked": "testedAndGuaranteed", "ICCIF-species-dilution-info": "0.25-2 µg/mL", "ICCIF-species-notes": "<p></p>" }, "Mouse": { "IHCP-species-checked": "predicted", "IHCP-species-dilution-info": "", "IHCP-species-notes": "", "WB-species-checked": "predicted", "WB-species-dilution-info": "", "WB-species-notes": "", "ICCIF-species-checked": "predicted", "ICCIF-species-dilution-info": "", "ICCIF-species-notes": "" }, "Rat": { "IHCP-species-checked": "predicted", "IHCP-species-dilution-info": "", "IHCP-species-notes": "", "WB-species-checked": "predicted", "WB-species-dilution-info": "", "WB-species-notes": "", "ICCIF-species-checked": "predicted", "ICCIF-species-dilution-info": "", "ICCIF-species-notes": "" } } }

Properties and storage information

Form
Liquid
Purification technique
Affinity purification Immunogen
Storage buffer
pH: 7.2 Preservative: 0.02% Sodium azide Constituents: PBS, 40% Glycerol (glycerin, glycerine)
Shipped at conditions
Blue Ice
Appropriate short-term storage duration
1-2 weeks
Appropriate short-term storage conditions
+4°C
Appropriate long-term storage conditions
-20°C
Aliquoting information
Upon delivery aliquot
Storage information
Avoid freeze / thaw cycle

Supplementary information

This supplementary information is collated from multiple sources and compiled automatically.

SPF45 also known as RBM17 (RNA binding motif protein 17) is a protein that plays an essential role in pre-mRNA splicing. With a molecular weight of approximately 45 kDa SPF45 is expressed widely in human tissues with significant levels in the testes ovaries and other proliferative tissues. The protein consists of an RNA recognition motif which facilitates its binding to RNA molecules during the splicing process. Through these interactions SPF45 contributes significantly to the modification and maturation of pre-mRNA molecules.
Biological function summary

SPF45 interacts with components of the spliceosome a large and dynamic ribonucleoprotein complex essential for the removal of introns from pre-mRNA. This protein serves as an activator in the alternative splicing of transcripts thereby influencing gene expression patterns. SPF45's binding with other spliceosome-associated proteins and its participation in splicing regulation highlight its role in generating diverse protein isoforms which are important for cell differentiation and development. The interactions within the spliceosomal complex mark SPF45 as a significant player in mRNA biogenesis.

Pathways

SPF45 participates prominently in the regulation of the spliceosome and consequently in the overall RNA processing pathway. By modulating alternative splicing SPF45 affects pathways such as signal transduction and cell cycle control. SPF45 closely interacts with other splicing factors like SF1 and U2AF65 forming important nodes in the network of splicing regulation. Its activity in spliceosome assembly and function is integral influencing various downstream pathways essential for cellular response and adaptation.

SPF45 alterations have been implicated in cancer and neurodegenerative diseases. SPF45's regulation of alternative splicing can lead to aberrant gene expression when disrupted contributing to tumorigenesis. Increased or altered expression levels are observed in several cancers linking it to oncogenic pathways. Additionally in neurodegenerative disorders SPF45's role in splicing regulation intersects with proteins such as TDP-43 impacting neuronal health and function. Its intricate involvement highlights the importance of SPF45 in both normal cellular processes and pathological conditions.

Product protocols

For this product, it's our understanding that no specific protocols are required. You can visit:

Target data

Splice factor that binds to the single-stranded 3'AG at the exon/intron border and promotes its utilization in the second catalytic step. Involved in the regulation of alternative splicing and the utilization of cryptic splice sites. Promotes the utilization of a cryptic splice site created by the beta-110 mutation in the HBB gene. The resulting frameshift leads to sickle cell anemia.
See full target information RBM17

Publications (4)

Recent publications for all applications. Explore the full list and refine your search

Discover oncology 16:50 PubMed39812903

2025

Therapeutic implications and comprehensive insights into cellular senescence and aging in the tumor microenvironment of sarcoma.

Applications

Unspecified application

Species

Unspecified reactive species

Pengfei Zan,Yi Zhang,Yidong Zhu,Qingjing Chen,Zhengwei Duan,Yonghao Guan,Kaiyuan Liu,Anquan Shang,Zihua Li

Clinical science (London, England : 1979) 138:1131-1150 PubMed39282930

2024

Identifying mitigating strategies for endothelial cell dysfunction and hypertension in response to VEGF receptor inhibitors.

Applications

Unspecified application

Species

Unspecified reactive species

Nicholas D Camarda,Qing Lu,Dawn M Meola,Joshua J Man,Zeyuan Song,Richard J Travers,Katherine E Lopez,Sarah N Powers,Malvina Papanastasiou,Katherine C DeRuff,James Mullahoo,Shawn B Egri,Desiree Davison,Paola Sebastiani,Scott T Eblen,Rachel Buchsbaum,Gordon S Huggins,Cheryl A London,Jacob D Jaffe,Jenica N Upshaw,Vicky K Yang,Iris Z Jaffe

MedComm 5:e548 PubMed38645664

2024

Mechanism of Musashi2 affecting radiosensitivity of lung cancer by modulating DNA damage repair.

Applications

Unspecified application

Species

Unspecified reactive species

Hongjin Qu,Xiong Shi,Ying Xu,Hongran Qin,Junshi Li,Shanlin Cai,Jianpeng Zhao,Bingbing Wan,Yanyong Yang,Bailong Li

Nature communications 13:3833 PubMed35781533

2022

The splicing factor RBM17 drives leukemic stem cell maintenance by evading nonsense-mediated decay of pro-leukemic factors.

Applications

Unspecified application

Species

Unspecified reactive species

Lina Liu,Ana Vujovic,Nandan P Deshpande,Shashank Sathe,Govardhan Anande,He Tian Tony Chen,Joshua Xu,Mark D Minden,Gene W Yeo,Ashwin Unnikrishnan,Kristin J Hope,Yu Lu
View all publications

Product promise

We are committed to supporting your work with high-quality reagents, and we're here for you every step of the way. In the unlikely event that one of our products does not perform as expected, you're protected by our Product Promise.
For full details, please see our Terms & Conditions

Please note: All products are 'FOR RESEARCH USE ONLY. NOT FOR USE IN DIAGNOSTIC OR THERAPEUTIC PROCEDURES'.

For licensing inquiries, please contact partnerships@abcam.com