JavaScript is disabled in your browser. Please enable JavaScript to view this website.
AB111948

Anti-SPHK2 (phospho T614) antibody

Be the first to review this product! Submit a review

|

(1 Publication)

Rabbit Polyclonal SPHK2 phospho T614 antibody. Suitable for IHC-P and reacts with Human samples. Cited in 1 publication.

View Alternative Names

SK2, SPHK2, Sphingosine kinase 2, SK 2, SPK 2

1 Images
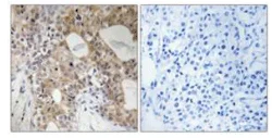
Immunohistochemistry (Formalin/PFA-fixed paraffin-embedded sections) - Anti-SPHK2 (phospho T614) antibody (AB111948)
  • IHC-P

Unknown

Immunohistochemistry (Formalin/PFA-fixed paraffin-embedded sections) - Anti-SPHK2 (phospho T614) antibody (AB111948)

ab111948 at 1/50 dilution staining SPHK2 in paraffin-embedded Human Breast carcinoma tissue by Immunohistochemistry. The image on the right is treated with the synthesized phosphopeptide.

Key facts

Host species

Rabbit

Clonality

Polyclonal

Isotype

IgG

Carrier free

No

Reacts with

Human

Applications

IHC-P

applications

Immunogen

The exact immunogen used to generate this antibody is proprietary information.

Reactivity data

{ "title": "Reactivity Data", "filters": { "stats": ["", "Species", "Dilution Info", "Notes"], "tabs": { "all-applications": {"fullname" : "All Applications", "shortname": "All Applications"}, "IHCP" : {"fullname" : "Immunohistochemistry (Formalin/PFA-fixed paraffin-embedded sections)", "shortname":"IHC-P"} }, "product-promise": { "all": "all", "testedAndGuaranteed": "tested", "guaranteed": "expected", "predicted": "predicted", "notRecommended": "not-recommended" } }, "values": { "Human": { "IHCP-species-checked": "testedAndGuaranteed", "IHCP-species-dilution-info": "1/50 - 1/100", "IHCP-species-notes": "<p></p> Perform heat-mediated antigen retrieval with citrate buffer pH 6 before commencing with IHC staining protocol." }, "Mouse": { "IHCP-species-checked": "predicted", "IHCP-species-dilution-info": "", "IHCP-species-notes": "" }, "Rat": { "IHCP-species-checked": "predicted", "IHCP-species-dilution-info": "", "IHCP-species-notes": "" } } }

Properties and storage information

Form
Liquid
Purification technique
Affinity purification Immunogen
Purification notes
ab111948 was affinity-purified from Rabbit antiserum by affinity-chromatography using epitope-specific phosphopeptide. The antibody against non-phosphopeptide was removed by chromatography using non-phosphopeptide corresponding to the phosphorylation site.
Storage buffer
pH: 7.4 Preservative: 0.02% Sodium azide Constituents: PBS, 50% Glycerol (glycerin, glycerine), 0.88% Sodium chloride
Shipped at conditions
Blue Ice
Appropriate short-term storage conditions
+4°C
Appropriate long-term storage conditions
-20°C
Storage information
Stable for 12 months at -20°C

Supplementary information

This supplementary information is collated from multiple sources and compiled automatically.

SPHK2 also known as sphingosine kinase 2 is an enzyme responsible for the conversion of sphingosine to sphingosine-1-phosphate (S1P). This enzyme weighs approximately 68 kDa and is expressed in a wide range of tissues including liver kidney and brain. The catalytic activity of SPHK2 involves the phosphorylation of sphingosine which plays a part in the modulation of various cellular processes.
Biological function summary

SPHK2 influences cell growth survival and differentiation by generating sphingosine-1-phosphate a signaling lipid. It functions independently or in association with other proteins but it is not always a part of a larger complex. The generated S1P acts as a signaling molecule both inside and outside of cells affecting processes like apoptosis and inflammation.

Pathways

SPHK2 is a significant player in the sphingolipid signaling pathway and impacts the MAPK/ERK pathway. These pathways collectively regulate cellular proliferation and apoptosis. SPHK2 works in conjunction with SPHK1 a closely related sphingosine kinase in these signaling routes. These kinases together help to balance the levels of sphingosine and S1P which is essential for maintaining cellular homeostasis.

SPHK2 has been linked to cancer and inflammatory diseases. The overexpression of SPHK2 can result in increased levels of sphingosine-1-phosphate promoting cancer cell survival and resistance to chemotherapy. In addition SPHK2's involvement in inflammation suggests roles in conditions like rheumatoid arthritis where it might interact with TNF-α related signaling pathways. These connections highlight SPHK2 as a potential target for therapeutic intervention in such diseases.

Product protocols

For this product, it's our understanding that no specific protocols are required. You can visit:

Target data

Catalyzes the phosphorylation of sphingosine to form sphingosine-1-phosphate (SPP), a lipid mediator with both intra- and extracellular functions. Also acts on D-erythro-dihydrosphingosine, D-erythro-sphingosine and L-threo-dihydrosphingosine. Binds phosphoinositides (PubMed : 12954646, PubMed : 19168031). In contrast to prosurvival SPHK1, has a positive effect on intracellular ceramide levels, inhibits cells growth and enhances apoptosis (PubMed : 16118219). In mitochondria, is important for cytochrome-c oxidase assembly and mitochondrial respiration. The SPP produced in mitochondria binds PHB2 and modulates the regulation via PHB2 of complex IV assembly and respiration (PubMed : 20959514). In nucleus, plays a role in epigenetic regulation of gene expression. Interacts with HDAC1 and HDAC2 and, through SPP production, inhibits their enzymatic activity, preventing the removal of acetyl groups from lysine residues with histones. Up-regulates acetylation of histone H3-K9, histone H4-K5 and histone H2B-K12 (PubMed : 19729656). In nucleus, may have an inhibitory effect on DNA synthesis and cell cycle (PubMed : 12954646, PubMed : 16103110). In mast cells, is the main regulator of SPP production which mediates calcium influx, NF-kappa-B activation, cytokine production, such as TNF and IL6, and degranulation of mast cells (By similarity). In dopaminergic neurons, is involved in promoting mitochondrial functions regulating ATP and ROS levels (By similarity). Also involved in the regulation of glucose and lipid metabolism (By similarity).
See full target information SPHK2 phospho T614

Publications (1)

Recent publications for all applications. Explore the full list and refine your search

Science advances 11:eadt9645 PubMed40845099

2025

Microbiota metabolite taurodeoxycholic acid maintains intestinal tissue residency of innate lymphoid cells via engagement with P2Y10 receptor.

Applications

Unspecified application

Species

Unspecified reactive species

Yuwei Xu,Zhen Xiong,Peikang Zhang,Runyuan Wu,Cunzhen Li,Hui Guo,Ying Du,Xiaoxiao Zhu,Dongdong Fan,Hongzhe Fan,Yong Tian,Yun Chen,Zusen Fan
View all publications

Product promise

We are committed to supporting your work with high-quality reagents, and we're here for you every step of the way. In the unlikely event that one of our products does not perform as expected, you're protected by our Product Promise.
For full details, please see our Terms & Conditions

Please note: All products are 'FOR RESEARCH USE ONLY. NOT FOR USE IN DIAGNOSTIC OR THERAPEUTIC PROCEDURES'.

For licensing inquiries, please contact partnerships@abcam.com