JavaScript is disabled in your browser. Please enable JavaScript to view this website.
AB241570

Anti-SPIB antibody [235D]

Be the first to review this product! Submit a review

|

(3 Publications)

Mouse Recombinant Monoclonal SPIB antibody. Suitable for IHC-P and reacts with Human samples. Cited in 3 publications.

View Alternative Names

Transcription factor Spi-B, SPIB

2 Images
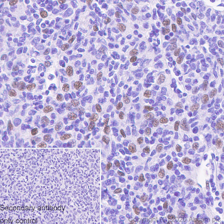
Immunohistochemistry (Formalin/PFA-fixed paraffin-embedded sections) - Anti-SPIB antibody [235D] (AB241570)
  • IHC-P

Unknown

Immunohistochemistry (Formalin/PFA-fixed paraffin-embedded sections) - Anti-SPIB antibody [235D] (AB241570)

Immunohistochemical analysis of paraffin-embedded human thymoma tissue labeling SPIB with ab241570 at 9.69μg/ml followed by a ready to use secondary. Nuclear staining on human thymoma. The section was incubated with ab241570 for 30 mins at room temperature. The immunostaining was performed on a Leica Biosystems BOND® RX instrument. Counterstained with Hematoxylin.

Secondary antibody only control : Secondary antibody is a ready to use.

Heat mediated antigen retrieval with Tris-EDTA buffer (pH 9.0, epitope retrieval solution2) for 20 mins.

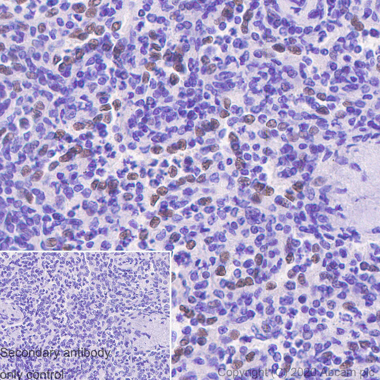
Immunohistochemistry (Formalin/PFA-fixed paraffin-embedded sections) - Anti-SPIB antibody [235D] (AB241570)
  • IHC-P

Unknown

Immunohistochemistry (Formalin/PFA-fixed paraffin-embedded sections) - Anti-SPIB antibody [235D] (AB241570)

Immunohistochemical analysis of paraffin-embedded human spleen tissue labeling SPIB with ab241570 at 9.69μg/ml followed by a ready to use secondary. Nuclear staining on human spleen. The section was incubated with ab241570 for 30 mins at room temperature. The immunostaining was performed on a Leica Biosystems BOND® RX instrument. Counterstained with Hematoxylin.

Secondary antibody only control : Secondary antibody is a ready to use.

Heat mediated antigen retrieval with Tris-EDTA buffer (pH 9.0, epitope retrieval solution2) for 20 mins.

  • Carrier free

    Anti-SPIB antibody [235D] - BSA and Azide free

Key facts

Host species

Mouse

Clonality

Monoclonal

Clone number

235D

Isotype

IgG1

Carrier free

No

Reacts with

Human

Applications

IHC-P

applications

Immunogen

The exact immunogen used to generate this antibody is proprietary information.

Reactivity data

{ "title": "Reactivity Data", "filters": { "stats": ["", "Species", "Dilution Info", "Notes"], "tabs": { "all-applications": {"fullname" : "All Applications", "shortname": "All Applications"}, "WB" : {"fullname" : "Western blot", "shortname":"WB"}, "ICCIF" : {"fullname" : "Immunocytochemistry/ Immunofluorescence", "shortname":"ICC/IF"}, "IHCP" : {"fullname" : "Immunohistochemistry (Formalin/PFA-fixed paraffin-embedded sections)", "shortname":"IHC-P"} }, "product-promise": { "all": "all", "testedAndGuaranteed": "tested", "guaranteed": "expected", "predicted": "predicted", "notRecommended": "not-recommended" } }, "values": { "Human": { "WB-species-checked": "notRecommended", "WB-species-dilution-info": "", "WB-species-notes": "<p></p>", "ICCIF-species-checked": "notRecommended", "ICCIF-species-dilution-info": "", "ICCIF-species-notes": "<p></p>", "IHCP-species-checked": "testedAndGuaranteed", "IHCP-species-dilution-info": "9.69 µg/mL", "IHCP-species-notes": "<p></p>" }, "Mouse": { "WB-species-checked": "notRecommended", "WB-species-dilution-info": "", "WB-species-notes": "<p></p>", "ICCIF-species-checked": "notRecommended", "ICCIF-species-dilution-info": "", "ICCIF-species-notes": "", "IHCP-species-checked": "notRecommended", "IHCP-species-dilution-info": "9.69 µg/mL", "IHCP-species-notes": "<p></p>" }, "Rat": { "WB-species-checked": "notRecommended", "WB-species-dilution-info": "", "WB-species-notes": "", "ICCIF-species-checked": "notRecommended", "ICCIF-species-dilution-info": "", "ICCIF-species-notes": "", "IHCP-species-checked": "notRecommended", "IHCP-species-dilution-info": "9.69 µg/mL", "IHCP-species-notes": "<p></p>" } } }

Product details

What are the advantages of a recombinant monoclonal antibody?
This product is a recombinant monoclonal antibody, which offers several advantages including:

  • - High batch-to-batch consistency and reproducibility
  • - Improved sensitivity and specificity
  • - Long-term security of supply
  • - Animal-free batch production

For more information, read more on recombinant antibodies.

Want a custom formulation?
This antibody clone is manufactured by Abcam. If you require a custom buffer formulation or conjugation for your experiments, please contact orders@abcam.com

Properties and storage information

Form
Liquid
Purification technique
Affinity purification Protein A
Storage buffer
pH: 7.2 - 7.4 Preservative: 0.01% Sodium azide Constituents: PBS, 40% Glycerol (glycerin, glycerine), 0.05% BSA
Shipped at conditions
Blue Ice
Appropriate short-term storage duration
1-2 weeks
Appropriate short-term storage conditions
+4°C
Appropriate long-term storage conditions
-20°C
Aliquoting information
Upon delivery aliquot
Storage information
Avoid freeze / thaw cycle

Supplementary information

This supplementary information is collated from multiple sources and compiled automatically.

The SPIB protein also known as Spi-B transcription factor is a member of the ETS family of transcription factors. Its molecular weight is approximately 31 kDa. SPIB is expressed mainly in lymphoid tissues including the spleen thymus and lymph nodes with high activity observed in B-cells and plasmacytoid dendritic cells. As a transcription factor SPIB binds to specific DNA sequences and influences the transcription of various genes involved in immune response and cellular development.
Biological function summary

SPIB regulates gene expression important for immune system function. It plays a role in hematopoiesis particularly in the differentiation and function of B-cells and plasmacytoid dendritic cells. SPIB does not form complexes with other proteins in a classical sense but it does interact with other transcription factors within the cell’s nucleus to modulate gene expression. This regulation is significant for ensuring the immune system's proper response to pathogens.

Pathways

SPIB influences several critical biological pathways. It is an important player in the Toll-like receptor (TLR) signaling pathway which is essential for recognizing pathogens and activating innate immunity. Within this pathway SPIB interacts with proteins such as IRF4 and IRF8 which also play roles in immune system regulation. SPIB's involvement extends to the B-cell receptor signaling pathway influencing the development and function of B-cells.

SPIB has associations with certain autoimmune conditions and hematological malignancies. In particular alterations in SPIB expression are linked to systemic lupus erythematosus (SLE) an autoimmune disease characterized by the immune system attacking its own tissues. Furthermore SPIB can influence the pathogenesis of some lymphomas such as diffuse large B-cell lymphoma (DLBCL) in which IRF4 also plays a pivotal role. Understanding SPIB's involvement in these diseases provides potential targets for therapeutic intervention.

Product protocols

For this product, it's our understanding that no specific protocols are required. You can visit:

Target data

Sequence specific transcriptional activator which binds to the PU-box, a purine-rich DNA sequence (5'-GAGGAA-3') that can act as a lymphoid-specific enhancer. Promotes development of plasmacytoid dendritic cells (pDCs), also known as type 2 DC precursors (pre-DC2) or natural interferon (IFN)-producing cells. These cells have the capacity to produce large amounts of interferon and block viral replication. May be required for B-cell receptor (BCR) signaling, which is necessary for normal B-cell development and antigenic stimulation.
See full target information SPIB

Publications (3)

Recent publications for all applications. Explore the full list and refine your search

Advanced science (Weinheim, Baden-Wurttemberg, Germany) 12:e2412282 PubMed39887620

2025

Unraveling the Microenvironment and the Pathogenic Axis of HIF-1α-Visfatin-Fibrosis in Autoimmune Pancreatitis Using a Single-Cell Atlas.

Applications

Unspecified application

Species

Unspecified reactive species

Deyu Zhang,Congjia Ma,Zhen Wang,Yanfang Liu,Zaoqu Liu,Wanshun Li,Yue Liu,Chang Wu,Liqi Sun,Fei Jiang,Hui Jiang,Xiaoju Su,Lisi Peng,Jiayu Li,Xinyue Wang,Hua Yin,Dongling Wan,Yuyan Zhou,Xiaorong Tian,Shiyu Li,Zhendong Jin,Baoan Ji,Zhaoshen Li,Haojie Huang

Journal of biochemical and molecular toxicology 38:e23693 PubMed38622980

2024

IGSF10 inhibits the metastasis of lung adenocarcinoma via the Spi-B/Integrin-β1 signaling pathway.

Applications

Unspecified application

Species

Unspecified reactive species

Bo Ling,Guangbin Ye,Chunyan Qin,Xianjiu Liao,Ruirui Yang,Lili Su,Guangzi Qi

Iranian journal of immunology : IJI 20:335-347 PubMed37452634

2023

SPIB Knockdown Inhibits the Immune Escape of Ovarian Cancer Cells by Reducing PD-L1 (CD274) Expression and Inactivating the JAK/STAT Pathway.

Applications

Unspecified application

Species

Unspecified reactive species

Wenfei Gu,GuangTao Qi,Li Chen
View all publications

Product promise

We are committed to supporting your work with high-quality reagents, and we're here for you every step of the way. In the unlikely event that one of our products does not perform as expected, you're protected by our Product Promise.
For full details, please see our Terms & Conditions

Please note: All products are 'FOR RESEARCH USE ONLY. NOT FOR USE IN DIAGNOSTIC OR THERAPEUTIC PROCEDURES'.

For licensing inquiries, please contact partnerships@abcam.com