JavaScript is disabled in your browser. Please enable JavaScript to view this website.
AB309347

Anti-SPIB antibody [EPR26784-117] - BSA and Azide free

Be the first to review this product! Submit a review

|

(0 Publication)

Rabbit Recombinant Monoclonal SPIB antibody. Carrier free. Suitable for WB, IHC-P, ICC/IF, Flow Cyt (Intra), IP and reacts with Human samples.

View Alternative Names

Transcription factor Spi-B, SPIB

9 Images
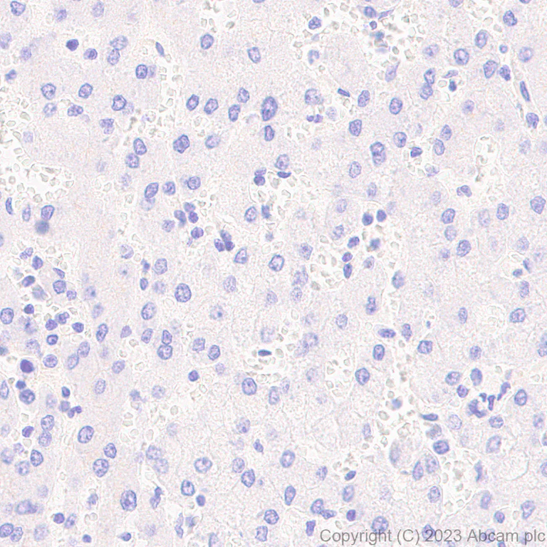
Immunohistochemistry (Formalin/PFA-fixed paraffin-embedded sections) - Anti-SPIB antibody [EPR26784-117] - BSA and Azide free (AB309347)
  • IHC-P

Supplier Data

Immunohistochemistry (Formalin/PFA-fixed paraffin-embedded sections) - Anti-SPIB antibody [EPR26784-117] - BSA and Azide free (AB309347)

This data was developed using ab309346, the same antibody clone in a different buffer formulation. Immunohistochemical analysis of paraffin-embedded Human liver tissue labeling SPIB with ab309346 at 1/100 (5.31 ug/ml) followed by a ready to use LeicaDS9800 (Bond™ Polymer Refine Detection). Negative control : No staining on human liver (PMID : 26610895).The section was incubated with ab309346 for 30 mins at room temperature.The immunostaining was performed on a Leica Biosystems BOND® RX instrument Counterstained with Hematoxylin. Secondary antibody only control : Secondary antibody is a ready to use LeicaDS9800 (Bond™ Polymer Refine Detection). Heat mediated antigen retrieval was performed with Tris-EDTA buffer (pH 9.0, Epitope Retrieval Solution2) for 20 mins

Immunohistochemistry (Formalin/PFA-fixed paraffin-embedded sections) - Anti-SPIB antibody [EPR26784-117] - BSA and Azide free (AB309347)
  • IHC-P

Supplier Data

Immunohistochemistry (Formalin/PFA-fixed paraffin-embedded sections) - Anti-SPIB antibody [EPR26784-117] - BSA and Azide free (AB309347)

This data was developed using ab309346, the same antibody clone in a different buffer formulation. Immunohistochemical analysis of paraffin-embedded Human Non-Hodgkin ly tissue labeling SPIB with ab309346 at 1/100 (5.31 ug/ml) followed by a ready to use LeicaDS9800 (Bond™ Polymer Refine Detection). Nuclear staining on human Non-Hodgkin lymphoma (PMID : 23165482).The section was incubated with ab309346 for 30 mins at room temperature.The immunostaining was performed on a Leica Biosystems BOND® RX instrument Counterstained with Hematoxylin. Secondary antibody only control : Secondary antibody is a ready to use LeicaDS9800 (Bond™ Polymer Refine Detection). Heat mediated antigen retrieval was performed with Tris-EDTA buffer (pH 9.0, Epitope Retrieval Solution2) for 20 mins

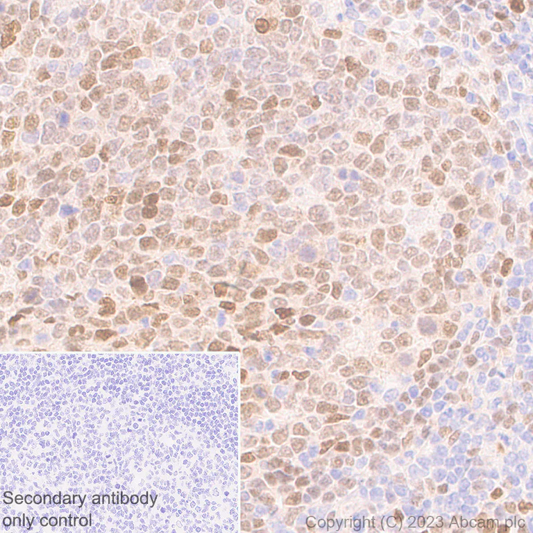
Immunohistochemistry (Formalin/PFA-fixed paraffin-embedded sections) - Anti-SPIB antibody [EPR26784-117] - BSA and Azide free (AB309347)
  • IHC-P

Supplier Data

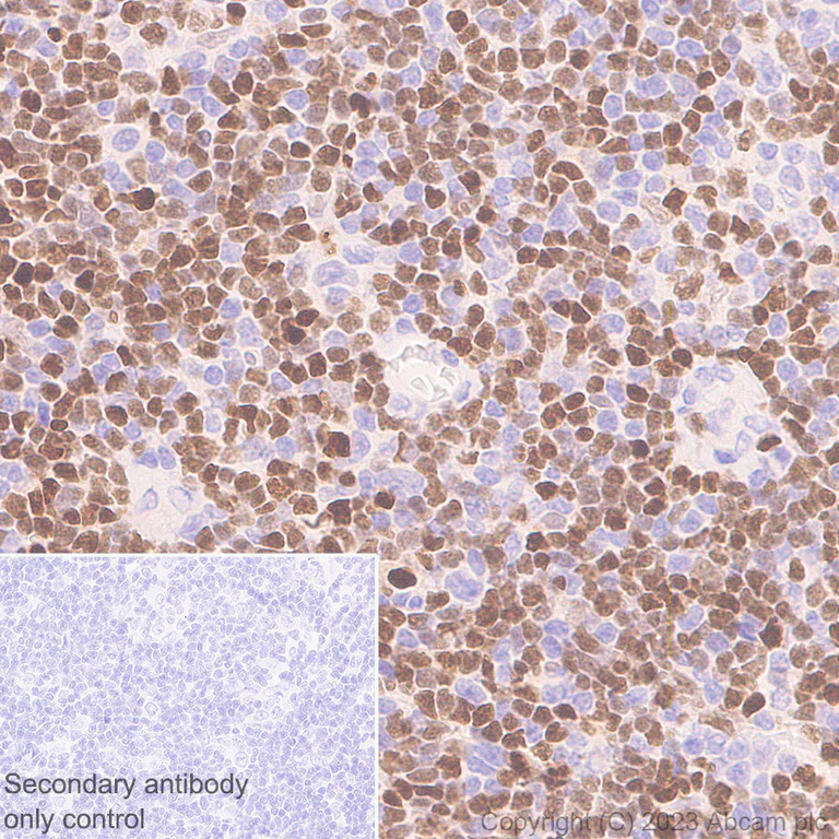
Immunohistochemistry (Formalin/PFA-fixed paraffin-embedded sections) - Anti-SPIB antibody [EPR26784-117] - BSA and Azide free (AB309347)

This data was developed using ab309346, the same antibody clone in a different buffer formulation. Immunohistochemical analysis of paraffin-embedded Human tonsil tissue labeling SPIB with ab309346 at 1/100 (5.31 ug/ml) followed by a ready to use LeicaDS9800 (Bond™ Polymer Refine Detection). Nuclear staining on human tonsil (PMID : 23165482).The section was incubated with ab309346 for 30 mins at room temperature.The immunostaining was performed on a Leica Biosystems BOND® RX instrument Counterstained with Hematoxylin. Secondary antibody only control : Secondary antibody is a ready to use LeicaDS9800 (Bond™ Polymer Refine Detection). Heat mediated antigen retrieval was performed with Tris-EDTA buffer (pH 9.0, Epitope Retrieval Solution2) for 20 mins

Immunohistochemistry (Formalin/PFA-fixed paraffin-embedded sections) - Anti-SPIB antibody [EPR26784-117] - BSA and Azide free (AB309347)
  • IHC-P

Supplier Data

Immunohistochemistry (Formalin/PFA-fixed paraffin-embedded sections) - Anti-SPIB antibody [EPR26784-117] - BSA and Azide free (AB309347)

This data was developed using ab309346, the same antibody clone in a different buffer formulation. Immunohistochemical analysis of paraffin-embedded Human colon tissue labeling SPIB with ab309346 at 1/100 (5.31 ug/ml) followed by a ready to use LeicaDS9800 (Bond™ Polymer Refine Detection). Nuclear staining on immune cells in human colon (PMID : 23360902).The section was incubated with ab309346 for 30 mins at room temperature.The immunostaining was performed on a Leica Biosystems BOND® RX instrument Counterstained with Hematoxylin. Secondary antibody only control : Secondary antibody is a ready to use LeicaDS9800 (Bond™ Polymer Refine Detection). Heat mediated antigen retrieval was performed with Tris-EDTA buffer (pH 9.0, Epitope Retrieval Solution2) for 20 mins

Immunocytochemistry/ Immunofluorescence - Anti-SPIB antibody [EPR26784-117] - BSA and Azide free (AB309347)
  • ICC/IF

Supplier Data

Immunocytochemistry/ Immunofluorescence - Anti-SPIB antibody [EPR26784-117] - BSA and Azide free (AB309347)

This data was developed using ab309346, the same antibody clone in a different buffer formulation. Immunofluorescent analysis of 4% Paraformaldehyde-fixed, 0.1% TritonX-100 permeabilized Raji (human Burkitt's lymphoma B lymphocyte) cells labelling SPIB with ab309346 at 1/50 (10.62 ug/ml) dilution, followed by ab150081 Goat Anti-Rabbit IgG H&L (Alexa Fluor® 488) preadsorbed antibody at 1/1000 2ug/ml dilution (Green). Confocal image showing nuclear staining in Raji cell line.Negative control : Jurkat (PMID : 8691135).Image was taken with a confocal microscope(Leica-Microsystems, TCS SP8). is observed. ab195889 Anti-alpha Tubulin mouse monoclonal antibody - Microtubule Marker (Alexa Fluor® 594) was used to counterstain tubulin at 1/200 2.5ug/ml dilution (Red). The Nuclear counterstain was DAPI (Blue). Secondary antibody only control : Secondary antibody is ab150081 Goat Anti-Rabbit IgG H&L (Alexa Fluor® 488) preadsorbed at 1/1000 2ug/ml dilution.

Flow Cytometry (Intracellular) - Anti-SPIB antibody [EPR26784-117] - BSA and Azide free (AB309347)
  • Flow Cyt (Intra)

Supplier Data

Flow Cytometry (Intracellular) - Anti-SPIB antibody [EPR26784-117] - BSA and Azide free (AB309347)

This data was developed using ab309346, the same antibody clone in a different buffer formulation. Flow cytometric analysis of Jurkat (human T cell leukemia T lymphocyte from peripheral blood, Left) / Raji (human Burkitt's lymphoma B lymphocyte, Right) cells labelling SPIB with ab309346 at 1/50 dilution (1 ug)/Red compared with a Rabbit monoclonal IgG (ab172730) (Black) isotype control and an unlabelled control (cells without incubation with primary antibody and secondary antibody) (Blue). Goat Anti-Rabbit IgG (Alexa Fluor® 488, ab150081) at 1/5000 dilution was used as the secondary antibody. Negative control : Jurkat (PMID : 8691135, 11841448).

Immunoprecipitation - Anti-SPIB antibody [EPR26784-117] - BSA and Azide free (AB309347)
  • IP

Supplier Data

Immunoprecipitation - Anti-SPIB antibody [EPR26784-117] - BSA and Azide free (AB309347)

This data was developed using ab309346, the same antibody clone in a different buffer formulation. SPIB was immunoprecipitated from 0.35 mg Raji (human Burkitt's lymphoma B lymphocyte) whole cell lysate with ab309346 at 1/30 dilution (2ug in 0.35mg lysates). Western blot was performed on the immunoprecipitate using ab309346 at 1/1000 dilution. VeriBlot for IP secondary antibody(HRP)(ab131366) was used at 1/5000 dilution. Lane 1 : Raji (human Burkitt's lymphoma B lymphocyte) whole cell lysate Lane 2 : ab309346 IP in Raji (human Burkitt's lymphoma B lymphocyte) whole cell lysate Lane 3 : Rabbit monoclonal IgG (ab172730) instead of ab309346 in Raji whole cell lysate Blocking and dilution buffer and concentration : 5% NFDM/TBST. Exposure time : 180 seconds

All lanes:

Immunoprecipitation - Anti-SPIB antibody [EPR26784-117] (<a href='/en-us/products/primary-antibodies/spib-antibody-epr26784-117-ab309346'>ab309346</a>) at 1/30 dilution

All lanes:

Raji (human Burkitt's lymphoma B lymphocyte) whole cell lysate

Secondary

All lanes:

Immunoprecipitation - VeriBlot for IP Detection Reagent (HRP) (<a href='/en-us/products/reagents/veriblot-for-ip-detection-reagent-hrp-ab131366'>ab131366</a>) at 1/5000 dilution

false

Exposure time: 180s

Western blot - Anti-SPIB antibody [EPR26784-117] - BSA and Azide free (AB309347)
  • WB

Lab

Western blot - Anti-SPIB antibody [EPR26784-117] - BSA and Azide free (AB309347)

This data was developed using ab309346, the same antibody clone in a different buffer formulation.

In Western blot, Anti-GAPDH antibody [EPR16891] - Loading Control (ab181602) staining at 1/1000 dilution.

We recommend optimizing the protocol to enhance signal intensity by increasing protein loading (30-50 μg/lane), reducing primary antibody dilution (1 : 500), and utilizing femtogram-level ECL substrates.

All lanes:

Western blot - Anti-SPIB antibody [EPR26784-117] (<a href='/en-us/products/primary-antibodies/spib-antibody-epr26784-117-ab309346'>ab309346</a>) at 1/1000 dilution

Lane 1:

Raji (human Burkitts lymphoma B lymphocyte) whole cell lysate at 20 µg

Lane 2:

Daudi (human Burkitts lymphoma lymphoblast) whole cell lysate at 20 µg

Lane 3:

Human colon tissue lysate at 20 µg

Lane 4:

Human tonsil tissue lysate at 20 µg

Lane 5:

Human spleen tissue lysate at 20 µg

Secondary

All lanes:

Western blot - Goat Anti-Rabbit IgG H&L (HRP) (<a href='/en-us/products/secondary-antibodies/goat-rabbit-igg-h-l-hrp-ab97051'>ab97051</a>) at 1/20000 dilution

Observed band size: 46 kDa

false

Exposure time: 180s

Western blot - Anti-SPIB antibody [EPR26784-117] - BSA and Azide free (AB309347)
  • WB

Supplier Data

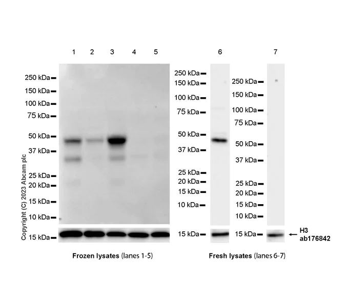
Western blot - Anti-SPIB antibody [EPR26784-117] - BSA and Azide free (AB309347)

This data was developed using ab309346, the same antibody clone in a different buffer formulation.

Blocking and diluting buffer and concentration : 5% NFDM/TBST.

Negative control : Jurkat (PMID : 8691135, 11841448), HEK-293.

The expression profile/ molecular weight observed is consistent with what has been described in the literature (PMID : 8691135).

In lanes 1-5, the lysates were stored at -80℃ prior to Western Blotting. The bands beneath the target band (46 kDa) are likely to be degradation products. In lanes 6-7, the lysates were freshly made and used for Western Blotting immediately to minimize protein degradation.

This blot was developed using a high sensitivity ECL substrate. The high-sensitivity ECL substrate used allows for the detection of proteins in the mid-femtogram range.

In Western blot, anti- H3 antibody (ab176842) loading control staining at 1/100000 dilution.

Exposure time :

Lanes 1-5 : 48 seconds

Lanes 6-7 : 26 seconds

All lanes:

Western blot - Anti-SPIB antibody [EPR26784-117] (<a href='/en-us/products/primary-antibodies/spib-antibody-epr26784-117-ab309346'>ab309346</a>) at 1/1000 dilution

Lane 1:

Daudi (human Burkitts lymphoma lymphoblast) whole cell lysate at 20 µg

Lane 2:

HDLM-2 (human Hodgkin lymphoma) whole cell lysate at 20 µg

Lane 3:

Raji (human Burkitts lymphoma B lymphocyte) whole cell lysate at 20 µg

Lane 4:

Jurkat (human T cell leukemia T lymphocyte) whole cell lysate at 20 µg

Lane 5:

HEK-293 (human embryonic kidney epithelial cell) whole cell lysate at 20 µg

Lane 6:

Raji whole cell lysate at 20 µg

Lane 7:

Jurkat whole cell lysate at 20 µg

Secondary

All lanes:

Western blot - Goat Anti-Rabbit IgG H&L (HRP) (<a href='/en-us/products/secondary-antibodies/goat-rabbit-igg-h-l-hrp-ab97051'>ab97051</a>) at 1/100000 dilution

Observed band size: 46 kDa

true

Key facts

Host species

Rabbit

Clonality

Monoclonal

Clone number

EPR26784-117

Isotype

IgG

Carrier free

Yes

Reacts with

Human

Applications

IP, IHC-P, WB, ICC/IF, Flow Cyt (Intra)

applications

Immunogen

The exact immunogen used to generate this antibody is proprietary information.

Reactivity data

{ "title": "Reactivity Data", "filters": { "stats": ["", "Species", "Dilution Info", "Notes"], "tabs": { "all-applications": {"fullname" : "All Applications", "shortname": "All Applications"}, "WB" : {"fullname" : "Western blot", "shortname":"WB"}, "IHCP" : {"fullname" : "Immunohistochemistry (Formalin/PFA-fixed paraffin-embedded sections)", "shortname":"IHC-P"}, "ICCIF" : {"fullname" : "Immunocytochemistry/ Immunofluorescence", "shortname":"ICC/IF"}, "FlowCytIntra" : {"fullname" : "Flow Cytometry (Intracellular)", "shortname":"Flow Cyt (Intra)"}, "IP" : {"fullname" : "Immunoprecipitation", "shortname":"IP"} }, "product-promise": { "all": "all", "testedAndGuaranteed": "tested", "guaranteed": "expected", "predicted": "predicted", "notRecommended": "not-recommended" } }, "values": { "Human": { "WB-species-checked": "testedAndGuaranteed", "WB-species-dilution-info": "", "WB-species-notes": "<p>We recommend optimizing the protocol to enhance signal intensity by increasing protein loading (30-50 μg/lane), reducing primary antibody dilution (1:500), and utilizing femtogram-level ECL substrates.</p>", "IHCP-species-checked": "testedAndGuaranteed", "IHCP-species-dilution-info": "", "IHCP-species-notes": "<p></p> Perform heat-mediated antigen retrieval with Tris/EDTA buffer pH 9.0 before commencing with IHC staining protocol.", "ICCIF-species-checked": "testedAndGuaranteed", "ICCIF-species-dilution-info": "", "ICCIF-species-notes": "<p></p>", "FlowCytIntra-species-checked": "testedAndGuaranteed", "FlowCytIntra-species-dilution-info": "", "FlowCytIntra-species-notes": "<p></p>", "IP-species-checked": "testedAndGuaranteed", "IP-species-dilution-info": "", "IP-species-notes": "<p></p>" }, "Mouse": { "WB-species-checked": "notRecommended", "WB-species-dilution-info": "", "WB-species-notes": "<p></p>", "IHCP-species-checked": "notRecommended", "IHCP-species-dilution-info": "", "IHCP-species-notes": "<p></p>", "ICCIF-species-checked": "notRecommended", "ICCIF-species-dilution-info": "", "ICCIF-species-notes": "", "FlowCytIntra-species-checked": "notRecommended", "FlowCytIntra-species-dilution-info": "", "FlowCytIntra-species-notes": "", "IP-species-checked": "notRecommended", "IP-species-dilution-info": "", "IP-species-notes": "" }, "Rat": { "WB-species-checked": "notRecommended", "WB-species-dilution-info": "", "WB-species-notes": "<p></p>", "IHCP-species-checked": "notRecommended", "IHCP-species-dilution-info": "", "IHCP-species-notes": "<p></p>", "ICCIF-species-checked": "notRecommended", "ICCIF-species-dilution-info": "", "ICCIF-species-notes": "", "FlowCytIntra-species-checked": "notRecommended", "FlowCytIntra-species-dilution-info": "", "FlowCytIntra-species-notes": "", "IP-species-checked": "notRecommended", "IP-species-dilution-info": "", "IP-species-notes": "" } } }

Product details

Patented technology
Our RabMAb® technology is a patented hybridoma-based technology for making rabbit monoclonal antibodies. For details on our patents, please refer to RabMAb® patents.

What are the advantages of a recombinant monoclonal antibody?
This product is a recombinant monoclonal antibody, which offers several advantages including:

  • - High batch-to-batch consistency and reproducibility
  • - Improved sensitivity and specificity
  • - Long-term security of supply
  • - Animal-free batch production

For more information, read more on recombinant antibodies.

Conjugation ready
Our carrier-free antibodies are typically supplied in a PBS-only formulation, purified and free of BSA, sodium azide and glycerol. This conjugation-ready format is designed for use with fluorochromes, metal isotopes, oligonucleotides, and enzymes, which makes them ideal for antibody labelling, functional and cell-based assays, flow-based assays (e.g. mass cytometry) and Multiplex Imaging applications.

Use our conjugation kits for antibody conjugates that are ready-to-use in as little as 20 minutes with 1 minute hands-on-time and 100% antibody recovery: available for fluorescent dyes, HRP, biotin and gold.

Compatibility
This product is compatible with the Maxpar® Antibody Labeling Kit from Fluidigm, without the need for antibody preparation. Maxpar® is a trademark of Fluidigm Canada Inc.

Properties and storage information

Form
Liquid
Purification technique
Affinity purification Protein A
Storage buffer
pH: 7.2 - 7.4 Constituents: 100% PBS
Shipped at conditions
Blue Ice
Appropriate short-term storage conditions
+4°C
Appropriate long-term storage conditions
+4°C

Supplementary information

This supplementary information is collated from multiple sources and compiled automatically.

The SPIB protein also known as Spi-B transcription factor is a member of the ETS family of transcription factors. Its molecular weight is approximately 31 kDa. SPIB is expressed mainly in lymphoid tissues including the spleen thymus and lymph nodes with high activity observed in B-cells and plasmacytoid dendritic cells. As a transcription factor SPIB binds to specific DNA sequences and influences the transcription of various genes involved in immune response and cellular development.
Biological function summary

SPIB regulates gene expression important for immune system function. It plays a role in hematopoiesis particularly in the differentiation and function of B-cells and plasmacytoid dendritic cells. SPIB does not form complexes with other proteins in a classical sense but it does interact with other transcription factors within the cell’s nucleus to modulate gene expression. This regulation is significant for ensuring the immune system's proper response to pathogens.

Pathways

SPIB influences several critical biological pathways. It is an important player in the Toll-like receptor (TLR) signaling pathway which is essential for recognizing pathogens and activating innate immunity. Within this pathway SPIB interacts with proteins such as IRF4 and IRF8 which also play roles in immune system regulation. SPIB's involvement extends to the B-cell receptor signaling pathway influencing the development and function of B-cells.

SPIB has associations with certain autoimmune conditions and hematological malignancies. In particular alterations in SPIB expression are linked to systemic lupus erythematosus (SLE) an autoimmune disease characterized by the immune system attacking its own tissues. Furthermore SPIB can influence the pathogenesis of some lymphomas such as diffuse large B-cell lymphoma (DLBCL) in which IRF4 also plays a pivotal role. Understanding SPIB's involvement in these diseases provides potential targets for therapeutic intervention.

Product protocols

For this product, it's our understanding that no specific protocols are required. You can visit:

Target data

Sequence specific transcriptional activator which binds to the PU-box, a purine-rich DNA sequence (5'-GAGGAA-3') that can act as a lymphoid-specific enhancer. Promotes development of plasmacytoid dendritic cells (pDCs), also known as type 2 DC precursors (pre-DC2) or natural interferon (IFN)-producing cells. These cells have the capacity to produce large amounts of interferon and block viral replication. May be required for B-cell receptor (BCR) signaling, which is necessary for normal B-cell development and antigenic stimulation.
See full target information SPIB

Product promise

We are committed to supporting your work with high-quality reagents, and we're here for you every step of the way. In the unlikely event that one of our products does not perform as expected, you're protected by our Product Promise.
For full details, please see our Terms & Conditions

Please note: All products are 'FOR RESEARCH USE ONLY. NOT FOR USE IN DIAGNOSTIC OR THERAPEUTIC PROCEDURES'.

For licensing inquiries, please contact partnerships@abcam.com