JavaScript is disabled in your browser. Please enable JavaScript to view this website.
AB250647

Anti-SPINK1/P12 antibody [EPR12696(2)] - BSA and Azide free

Be the first to review this product! Submit a review

|

(0 Publication)

Rabbit Recombinant Monoclonal SPINK1/P12 antibody. Carrier free. Suitable for WB, IHC-P and reacts with Human samples.

View Alternative Names

PSTI, SPINK1, Serine protease inhibitor Kazal-type 1, Pancreatic secretory trypsin inhibitor, Tumor-associated trypsin inhibitor, TATI

2 Images
Immunohistochemistry (Formalin/PFA-fixed paraffin-embedded sections) - Anti-SPINK1/P12 antibody [EPR12696(2)] - BSA and Azide free (AB250647)
  • IHC-P

Supplier Data

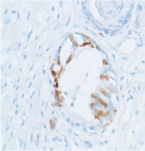
Immunohistochemistry (Formalin/PFA-fixed paraffin-embedded sections) - Anti-SPINK1/P12 antibody [EPR12696(2)] - BSA and Azide free (AB250647)

This data was developed using ab183034, the same antibody clone in a different buffer formulation.

Immunohistochemical analysis of Paraffin-embedded Human pancreas tissue labeling SPINK1/P12 with ab183034 at 1/4000 dilution followed by pre-diluted HRP-conjugated secondary antibody and counter-stained with Hematoxylin.

Perform heat mediated antigen retrieval with EDTA buffer pH 9 before commencing with IHC staining protocol.

Western blot - Anti-SPINK1/P12 antibody [EPR12696(2)] - BSA and Azide free (AB250647)
  • WB

Supplier Data

Western blot - Anti-SPINK1/P12 antibody [EPR12696(2)] - BSA and Azide free (AB250647)

This data was developed using ab183034, the same antibody clone in a different buffer formulation.

All lanes:

Western blot - Anti-SPINK1/P12 antibody [EPR12696(2)] (<a href='/en-us/products/primary-antibodies/spink1-p12-antibody-epr126962-ab183034'>ab183034</a>) at 1/50000 dilution

All lanes:

Human pancreas lysate at 20 µg

Secondary

All lanes:

Goat Anti-rabbit IgG HRP at 1/1000 dilution

Predicted band size: 8 kDa

false

Key facts

Host species

Rabbit

Clonality

Monoclonal

Clone number

EPR12696(2)

Isotype

IgG

Carrier free

Yes

Reacts with

Human

Applications

IHC-P, WB

applications

Immunogen

The exact immunogen used to generate this antibody is proprietary information.

Reactivity data

{ "title": "Reactivity Data", "filters": { "stats": ["", "Species", "Dilution Info", "Notes"], "tabs": { "all-applications": {"fullname" : "All Applications", "shortname": "All Applications"}, "WB" : {"fullname" : "Western blot", "shortname":"WB"}, "IHCP" : {"fullname" : "Immunohistochemistry (Formalin/PFA-fixed paraffin-embedded sections)", "shortname":"IHC-P"} }, "product-promise": { "all": "all", "testedAndGuaranteed": "tested", "guaranteed": "expected", "predicted": "predicted", "notRecommended": "not-recommended" } }, "values": { "Human": { "WB-species-checked": "testedAndGuaranteed", "WB-species-dilution-info": "", "WB-species-notes": "<p></p>", "IHCP-species-checked": "testedAndGuaranteed", "IHCP-species-dilution-info": "", "IHCP-species-notes": "<p></p> Perform heat-mediated antigen retrieval with Tris/EDTA buffer pH 9.0 before commencing with IHC staining protocol." } } }

Product details

ab250647 is the carrier-free version of ab183034.

Patented technology
Our RabMAb® technology is a patented hybridoma-based technology for making rabbit monoclonal antibodies. For details on our patents, please refer to RabMAb® patents.

What are the advantages of a recombinant monoclonal antibody?
This product is a recombinant monoclonal antibody, which offers several advantages including:

  • - High batch-to-batch consistency and reproducibility
  • - Improved sensitivity and specificity
  • - Long-term security of supply
  • - Animal-free batch production

For more information, read more on recombinant antibodies.

Conjugation ready
Our carrier-free antibodies are typically supplied in a PBS-only formulation, purified and free of BSA, sodium azide and glycerol. This conjugation-ready format is designed for use with fluorochromes, metal isotopes, oligonucleotides, and enzymes, which makes them ideal for antibody labelling, functional and cell-based assays, flow-based assays (e.g. mass cytometry) and Multiplex Imaging applications.

Use our conjugation kits for antibody conjugates that are ready-to-use in as little as 20 minutes with 1 minute hands-on-time and 100% antibody recovery: available for fluorescent dyes, HRP, biotin and gold.

Compatibility
This product is compatible with the Maxpar® Antibody Labeling Kit from Fluidigm, without the need for antibody preparation. Maxpar® is a trademark of Fluidigm Canada Inc.

Properties and storage information

Form
Liquid
Purification technique
Affinity purification Protein A
Storage buffer
pH: 7.2 - 7.4 Constituents: PBS
Shipped at conditions
Blue Ice
Appropriate short-term storage conditions
+4°C
Appropriate long-term storage conditions
+4°C
Storage information
Do Not Freeze

Supplementary information

This supplementary information is collated from multiple sources and compiled automatically.

The SPINK1/P12 protein also known as serine peptidase inhibitor Kazal type 1 has a mass of approximately 11 kDa. It functions as an inhibitor of serine proteases particularly trypsin. SPINK1 is mainly expressed in the pancreas but is also present in other tissues like the gastrointestinal tract and liver. In the pancreas SPINK1 plays an important role by preventing premature activation of digestive enzymes guarding pancreatic tissue from autodigestion.
Biological function summary

SPINK1 acts as a protector in the delicate balance of enzyme regulation in tissues where it is present. It does not form part of a larger protein complex but its action is critical in reducing excessive proteolytic activity. By inhibiting trypsin SPINK1 helps avoid damage to cells that could otherwise occur if protease activity goes unchecked. This inhibition supports the stability and regulated functioning of pancreatic and gastrointestinal tissues.

Pathways

SPINK1/P12 is involved in the protease inhibition pathway and plays a role in the regulation of digestive enzyme activity specifically linked to the pancreas. SPINK1 interacts with proteins such as trypsin and other serine proteases working to suppress their activity and protect against unwanted proteolysis. This interaction helps maintain the right balance within the digestive enzyme activation pathway ensuring proper digestive processes.

SPINK1 relates closely to pancreatic disorders like hereditary pancreatitis. Mutations or deficiencies in SPINK1 can lead to an increased risk of pancreatitis due to unchecked activation of trypsin and other proteases. It is also implicated in conditions such as chronic pancreatitis. SPINK1 mutations may also affect its interaction with trypsin exacerbating the tissue damage due to enzymatic digestion.

Product protocols

For this product, it's our understanding that no specific protocols are required. You can visit:

Target data

Serine protease inhibitor which exhibits anti-trypsin activity (PubMed : 7142173). In the pancreas, protects against trypsin-catalyzed premature activation of zymogens (By similarity).. In the male reproductive tract, binds to sperm heads where it modulates sperm capacitance by inhibiting calcium uptake and nitrogen oxide (NO) production.
See full target information SPINK1

Product promise

We are committed to supporting your work with high-quality reagents, and we're here for you every step of the way. In the unlikely event that one of our products does not perform as expected, you're protected by our Product Promise.
For full details, please see our Terms & Conditions

Please note: All products are 'FOR RESEARCH USE ONLY. NOT FOR USE IN DIAGNOSTIC OR THERAPEUTIC PROCEDURES'.

For licensing inquiries, please contact partnerships@abcam.com