JavaScript is disabled in your browser. Please enable JavaScript to view this website.
AB206294

Anti-SPINK1/P12 antibody [EPR17585-30]

Be the first to review this product! Submit a review

|

(2 Publications)

Rabbit Recombinant Monoclonal SPINK1/P12 antibody. Suitable for WB, IHC-P and reacts with Human samples. Cited in 2 publications.

View Alternative Names

PSTI, SPINK1, Serine protease inhibitor Kazal-type 1, Pancreatic secretory trypsin inhibitor, Tumor-associated trypsin inhibitor, TATI

3 Images
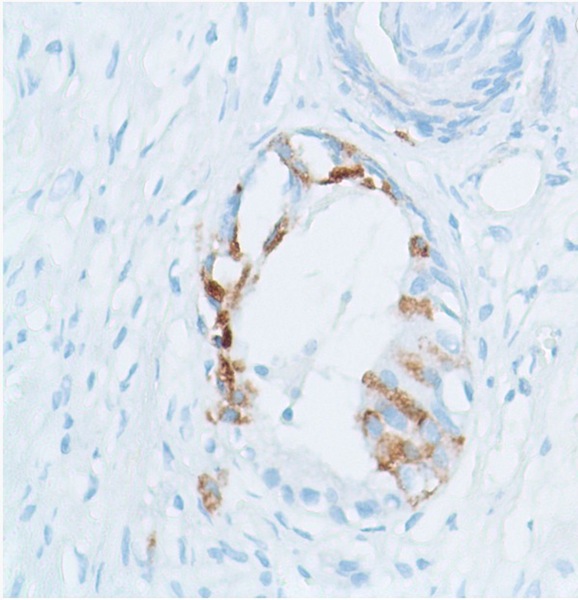
Immunohistochemistry (Formalin/PFA-fixed paraffin-embedded sections) - Anti-SPINK1/P12 antibody [EPR17585-30] (AB206294)
  • IHC-P

Supplier Data

Immunohistochemistry (Formalin/PFA-fixed paraffin-embedded sections) - Anti-SPINK1/P12 antibody [EPR17585-30] (AB206294)

Immunohistochemical analysis of paraffin-embedded human liver carcinoma tissue labeling SPINK1/P12 with ab206294 at 1/100 dilution followed by Goat Anti-Rabbit IgG H&L (HRP) (ab97051) at 1/500 dilution.

Cytoplasmic staining on human liver carcinoma tissue is observed.

Counter stained with Hematoxylin.
Negative control : Used PBS instead of primary ab secondary ab is Goat Anti-Rabbit IgG H&L (HRP) (ab97051).

Perform heat mediated antigen retrieval with Tris/EDTA buffer pH 9.0 before commencing with IHC staining protocol.

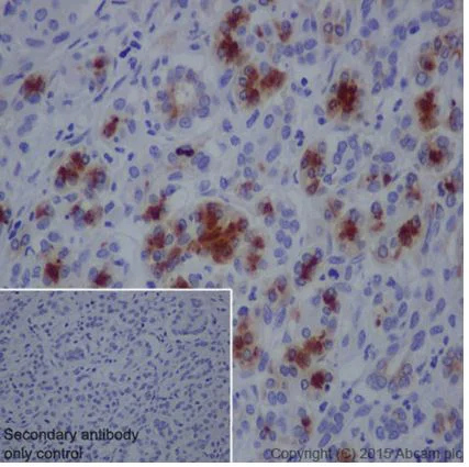
Immunohistochemistry (Formalin/PFA-fixed paraffin-embedded sections) - Anti-SPINK1/P12 antibody [EPR17585-30] (AB206294)
  • IHC-P

Supplier Data

Immunohistochemistry (Formalin/PFA-fixed paraffin-embedded sections) - Anti-SPINK1/P12 antibody [EPR17585-30] (AB206294)

Immunohistochemical analysis of paraffin-embedded human pancreatic carcinoma tissue labeling SPINK1/P12 with ab206294 at 1/100 dilution followed by Goat Anti-Rabbit IgG H&L (HRP) (ab97051) at 1/500 dilution.

Cytoplasmic staining on human pancreatic carcinoma tissue is observed.

Counter stained with Hematoxylin.
Negative control : Used PBS instead of primary ab secondary ab is Goat Anti-Rabbit IgG H&L (HRP) (ab97051).

Perform heat mediated antigen retrieval with Tris/EDTA buffer pH 9.0 before commencing with IHC staining protocol.

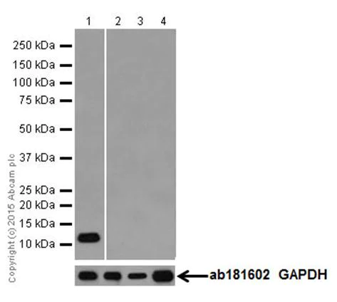
Western blot - Anti-SPINK1/P12 antibody [EPR17585-30] (AB206294)
  • WB

Supplier Data

Western blot - Anti-SPINK1/P12 antibody [EPR17585-30] (AB206294)

Blocking/dilution buffer : 5% NFDM/TBST.

Exposure time; Lane 1 : 5 seconds;
Lane 2,3 and 4 : 3 minutes.

All lanes:

Western blot - Anti-SPINK1/P12 antibody [EPR17585-30] (ab206294) at 1/5000 dilution

Lane 1:

Human pancreas lysate at 20 µg

Lane 2:

Human fetal kidney tissue lysate at 20 µg

Lane 3:

HepG2 (Human liver hepatocellular carcinoma cell line) whole cell lysate at 20 µg

Lane 4:

BxPC-3 (Human pancreas adenocarcinoma cell line) whole cell lysate at 20 µg

Secondary

All lanes:

Anti-Rabbit IgG (HRP), specific to the non-reduced form of IgG at 1/10000 dilution

Predicted band size: 8 kDa

Observed band size: 11 kDa

false

  • Carrier free

    Anti-SPINK1/P12 antibody [EPR17585-30] - BSA and Azide free

Key facts

Host species

Rabbit

Clonality

Monoclonal

Clone number

EPR17585-30

Isotype

IgG

Carrier free

No

Reacts with

Human

Applications

WB, IHC-P

applications

Immunogen

The exact immunogen used to generate this antibody is proprietary information.

Reactivity data

{ "title": "Reactivity Data", "filters": { "stats": ["", "Species", "Dilution Info", "Notes"], "tabs": { "all-applications": {"fullname" : "All Applications", "shortname": "All Applications"}, "WB" : {"fullname" : "Western blot", "shortname":"WB"}, "IHCP" : {"fullname" : "Immunohistochemistry (Formalin/PFA-fixed paraffin-embedded sections)", "shortname":"IHC-P"} }, "product-promise": { "all": "all", "testedAndGuaranteed": "tested", "guaranteed": "expected", "predicted": "predicted", "notRecommended": "not-recommended" } }, "values": { "Human": { "WB-species-checked": "testedAndGuaranteed", "WB-species-dilution-info": "1/5000", "WB-species-notes": "<p></p>", "IHCP-species-checked": "testedAndGuaranteed", "IHCP-species-dilution-info": "1/100", "IHCP-species-notes": "<p></p>" } } }

Product details

Patented technology
Our RabMAb® technology is a patented hybridoma-based technology for making rabbit monoclonal antibodies. For details on our patents, please refer to RabMAb® patents.

What are the advantages of a recombinant monoclonal antibody?
This product is a recombinant monoclonal antibody, which offers several advantages including:

  • - High batch-to-batch consistency and reproducibility
  • - Improved sensitivity and specificity
  • - Long-term security of supply
  • - Animal-free batch production

For more information, read more on recombinant antibodies.

Properties and storage information

Form
Liquid
Purification technique
Affinity purification Protein A
Storage buffer
pH: 7.2 - 7.4 Preservative: 0.01% Sodium azide Constituents: PBS, 40% Glycerol (glycerin, glycerine), 0.05% BSA
Shipped at conditions
Blue Ice
Appropriate short-term storage duration
1-2 weeks
Appropriate short-term storage conditions
+4°C
Appropriate long-term storage conditions
-20°C
Aliquoting information
Upon delivery aliquot
Storage information
Avoid freeze / thaw cycle

Supplementary information

This supplementary information is collated from multiple sources and compiled automatically.

The SPINK1/P12 protein also known as serine peptidase inhibitor Kazal type 1 has a mass of approximately 11 kDa. It functions as an inhibitor of serine proteases particularly trypsin. SPINK1 is mainly expressed in the pancreas but is also present in other tissues like the gastrointestinal tract and liver. In the pancreas SPINK1 plays an important role by preventing premature activation of digestive enzymes guarding pancreatic tissue from autodigestion.
Biological function summary

SPINK1 acts as a protector in the delicate balance of enzyme regulation in tissues where it is present. It does not form part of a larger protein complex but its action is critical in reducing excessive proteolytic activity. By inhibiting trypsin SPINK1 helps avoid damage to cells that could otherwise occur if protease activity goes unchecked. This inhibition supports the stability and regulated functioning of pancreatic and gastrointestinal tissues.

Pathways

SPINK1/P12 is involved in the protease inhibition pathway and plays a role in the regulation of digestive enzyme activity specifically linked to the pancreas. SPINK1 interacts with proteins such as trypsin and other serine proteases working to suppress their activity and protect against unwanted proteolysis. This interaction helps maintain the right balance within the digestive enzyme activation pathway ensuring proper digestive processes.

SPINK1 relates closely to pancreatic disorders like hereditary pancreatitis. Mutations or deficiencies in SPINK1 can lead to an increased risk of pancreatitis due to unchecked activation of trypsin and other proteases. It is also implicated in conditions such as chronic pancreatitis. SPINK1 mutations may also affect its interaction with trypsin exacerbating the tissue damage due to enzymatic digestion.

Product protocols

For this product, it's our understanding that no specific protocols are required. You can visit:

Target data

Serine protease inhibitor which exhibits anti-trypsin activity (PubMed : 7142173). In the pancreas, protects against trypsin-catalyzed premature activation of zymogens (By similarity).. In the male reproductive tract, binds to sperm heads where it modulates sperm capacitance by inhibiting calcium uptake and nitrogen oxide (NO) production.
See full target information SPINK1

Publications (2)

Recent publications for all applications. Explore the full list and refine your search

International journal of molecular sciences 26: PubMed40650236

2025

Cognitive and Affective Dysregulation in Neuropathic Pain: Associated Hippocampal Remodeling and Microglial Activation.

Applications

Unspecified application

Species

Unspecified reactive species

Anna Tyrtyshnaia,Igor Manzhulo,Anastasia Egoraeva,Darya Ivashkevich

Biomolecules 14: PubMed38540686

2024

SPINK1 Overexpression Correlates with Hepatocellular Carcinoma Treatment Resistance Revealed by Single Cell RNA-Sequencing and Spatial Transcriptomics.

Applications

Unspecified application

Species

Unspecified reactive species

Chunyuan Yang,Limei Guo,Juan Du,Qiulu Zhang,Lingfu Zhang
View all publications

Product promise

We are committed to supporting your work with high-quality reagents, and we're here for you every step of the way. In the unlikely event that one of our products does not perform as expected, you're protected by our Product Promise.
For full details, please see our Terms & Conditions

Please note: All products are 'FOR RESEARCH USE ONLY. NOT FOR USE IN DIAGNOSTIC OR THERAPEUTIC PROCEDURES'.

For licensing inquiries, please contact partnerships@abcam.com