JavaScript is disabled in your browser. Please enable JavaScript to view this website.
AB231136

Anti-SPINK5/LEKTI antibody

Be the first to review this product! Submit a review

|

(1 Publication)

Rabbit Polyclonal SPINK5/LEKTI antibody. Suitable for WB, IHC-P and reacts with Mouse samples. Cited in 1 publication.
3 Images
Western blot - Anti-SPINK5/LEKTI antibody (AB231136)
  • WB

Supplier Data

Western blot - Anti-SPINK5/LEKTI antibody (AB231136)

All lanes:

Western blot - Anti-SPINK5/LEKTI antibody (ab231136) at 2 µg/mL

All lanes:

Recombinant mouse SPINK5/LEKTI protein

Predicted band size: 121 kDa,35 kDa,43 kDa

false

Immunohistochemistry (Formalin/PFA-fixed paraffin-embedded sections) - Anti-SPINK5/LEKTI antibody (AB231136)
  • IHC-P

Supplier Data

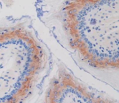
Immunohistochemistry (Formalin/PFA-fixed paraffin-embedded sections) - Anti-SPINK5/LEKTI antibody (AB231136)

Paraffin-embedded mouse esophagus tissue stained for SPINK5/LEKTI with ab231136 at 20 μg/ml in immunohistochemical analysis. DAB staining.

Immunohistochemistry (Formalin/PFA-fixed paraffin-embedded sections) - Anti-SPINK5/LEKTI antibody (AB231136)
  • IHC-P

Supplier Data

Immunohistochemistry (Formalin/PFA-fixed paraffin-embedded sections) - Anti-SPINK5/LEKTI antibody (AB231136)

Paraffin-embedded mouse esophagus tissue stained for SPINK5/LEKTI with ab231136 at 20 μg/ml in immunohistochemical analysis. DAB staining.

Key facts

Host species

Rabbit

Clonality

Polyclonal

Isotype

IgG

Carrier free

No

Reacts with

Mouse

Applications

IHC-P, WB

applications

Reactivity data

{ "title": "Reactivity Data", "filters": { "stats": ["", "Species", "Dilution Info", "Notes"], "tabs": { "all-applications": {"fullname" : "All Applications", "shortname": "All Applications"}, "WB" : {"fullname" : "Western blot", "shortname":"WB"}, "IHCP" : {"fullname" : "Immunohistochemistry (Formalin/PFA-fixed paraffin-embedded sections)", "shortname":"IHC-P"} }, "product-promise": { "all": "all", "testedAndGuaranteed": "tested", "guaranteed": "expected", "predicted": "predicted", "notRecommended": "not-recommended" } }, "values": { "Mouse": { "WB-species-checked": "testedAndGuaranteed", "WB-species-dilution-info": "0.5-2 µg/mL", "WB-species-notes": "<p></p>", "IHCP-species-checked": "testedAndGuaranteed", "IHCP-species-dilution-info": "5-20 µg/mL", "IHCP-species-notes": "<p></p>" } } }

Properties and storage information

Form
Liquid
Purification technique
Affinity purification Immunogen
Purification notes
ab231136 was purified by antigen-specific affinity chromatography followed by Protein A affinity chromatography.
Storage buffer
pH: 7.4 Preservative: 0.02% Sodium azide Constituents: PBS, 55.77% Glycerol (glycerin, glycerine)
Shipped at conditions
Blue Ice
Appropriate short-term storage duration
1-2 weeks
Appropriate short-term storage conditions
+4°C
Appropriate long-term storage conditions
-20°C
Aliquoting information
Upon delivery aliquot
Storage information
Avoid freeze / thaw cycle

Supplementary information

This supplementary information is collated from multiple sources and compiled automatically.

SPINK5 also known as LEKTI (lympho-epithelial Kazal-type-related inhibitor) is a protease inhibitor with a molecular mass of approximately 130 kDa. This protein is predominantly expressed in epithelial tissues such as the skin thymus and mucosal surfaces like the lung and gut. SPINK5/LEKTI plays a mechanical role in inhibiting serine proteases which are critical for skin barrier functions. It regulates the activity of enzymes that are involved in the process of desquamation and maintaining skin integrity.
Biological function summary

SPINK5/LEKTI functions to maintain the balance of protease activity within skin tissue. It is part of a larger complex that regulates barrier homeostasis and influences desquamation by inhibiting enzymes such as kallikreins. This protease inhibition reduces excessive protease activity therefore preserving the epidermal barrier. By controlling the breakdown of structural components the protein ensures proper skin resilience and hydration retention.

Pathways

SPINK5/LEKTI is involved in the epidermal differentiation complex and interacts within the kallikrein-related pathway. It plays a role in regulating the kallikrein protease family including proteins such as KLK5 and KLK7 which are important for skin shedding and barrier formation. The inhibition of these proteases ensures a balanced turnover of skin cells preventing unwanted degradation of the skin's protective layer. SPINK5/LEKTI participates in pathways that balance cell renewal and contribute to protective mechanisms against environmental damage.

SPINK5/LEKTI is most notably linked to Netherton syndrome a genetic disorder characterized by compromised skin barrier function chronic inflammation and allergy susceptibility. Mutations in SPINK5 lead to uncontrolled protease activity due to reduced inhibition predominantly impacting related kallikrein activities. This connection extends to disorders of skin barrier failure. Additionally SPINK5/LEKTI may play a role in atopic dermatitis where aberrant protease activity contributes to the pathophysiology through similar mechanisms involving proteins like FLG (filaggrin) which affect skin hydration and barrier function.

Product protocols

For this product, it's our understanding that no specific protocols are required. You can visit:

Publications (1)

Recent publications for all applications. Explore the full list and refine your search

Cancer cell international 20:133 PubMed32351327

2020

Long noncoding RNA BSN-AS2 induced by E2F1 promotes spinal osteosarcoma progression by targeting miR-654-3p/SYTL2 axis.

Applications

Unspecified application

Species

Unspecified reactive species

Xianwei Zhou,Jitian Li,Junyan Teng,Yufeng Liu,Di Zhang,Linyun Liu,Wenming Zhang
View all publications

Product promise

We are committed to supporting your work with high-quality reagents, and we're here for you every step of the way. In the unlikely event that one of our products does not perform as expected, you're protected by our Product Promise.
For full details, please see our Terms & Conditions

Please note: All products are 'FOR RESEARCH USE ONLY. NOT FOR USE IN DIAGNOSTIC OR THERAPEUTIC PROCEDURES'.

For licensing inquiries, please contact partnerships@abcam.com