JavaScript is disabled in your browser. Please enable JavaScript to view this website.
AB110830

Anti-SPINK6 antibody

0

(1 Review)

|

(3 Publications)

Rabbit Polyclonal SPINK6 antibody. Suitable for IHC-P and reacts with Human samples. Cited in 3 publications. Immunogen corresponding to Synthetic Peptide within Human SPINK6.

View Alternative Names

UNQ844/PRO1782, SPINK6, Serine protease inhibitor Kazal-type 6, Kallikrein inhibitor

1 Images
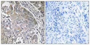
Immunohistochemistry (Formalin/PFA-fixed paraffin-embedded sections) - Anti-SPINK6 antibody (AB110830)
  • IHC-P

Unknown

Immunohistochemistry (Formalin/PFA-fixed paraffin-embedded sections) - Anti-SPINK6 antibody (AB110830)

ab110830, at 1/50 dilution, staining SPINK6 in paraffin-embedded Human lung carcinoma tissue by Immunohistochemistry, in the presence (right panel) or absence (left panel) of immunising peptide.

Key facts

Host species

Rabbit

Clonality

Polyclonal

Isotype

IgG

Carrier free

No

Reacts with

Human

Applications

IHC-P

applications

Immunogen

Synthetic Peptide within Human SPINK6. The exact immunogen used to generate this antibody is proprietary information.

Q6UWN8

Reactivity data

{ "title": "Reactivity Data", "filters": { "stats": ["", "Species", "Dilution Info", "Notes"], "tabs": { "all-applications": {"fullname" : "All Applications", "shortname": "All Applications"}, "IHCP" : {"fullname" : "Immunohistochemistry (Formalin/PFA-fixed paraffin-embedded sections)", "shortname":"IHC-P"} }, "product-promise": { "all": "all", "testedAndGuaranteed": "tested", "guaranteed": "expected", "predicted": "predicted", "notRecommended": "not-recommended" } }, "values": { "Human": { "IHCP-species-checked": "testedAndGuaranteed", "IHCP-species-dilution-info": "1/50 - 1/100", "IHCP-species-notes": "<p></p> Perform heat-mediated antigen retrieval with citrate buffer pH 6 before commencing with IHC staining protocol." } } }

Properties and storage information

Form
Liquid
Purification technique
Affinity purification Immunogen
Purification notes
ab110830 was affinity-purified from rabbit antiserum by affinity-chromatography using epitope-specific immunogen.
Storage buffer
pH: 7.4 Preservative: 0.02% Sodium azide Constituents: PBS, 50% Glycerol (glycerin, glycerine), 0.88% Sodium chloride
Shipped at conditions
Blue Ice
Appropriate short-term storage conditions
+4°C
Appropriate long-term storage conditions
-20°C
Storage information
Stable for 12 months at -20°C

Supplementary information

This supplementary information is collated from multiple sources and compiled automatically.

SPINK6 also known as Serine Peptidase Inhibitor Kazal Type 6 is a small protein with a mass of about 9.4 kDa. It acts mechanically as a serine protease inhibitor blocking the activity of certain enzymes that cleave peptide bonds in proteins. SPINK6 expresses mainly in the skin and in some epithelial tissues where it regulates proteolytic activity. This regulation plays an important role in maintaining tissue homeostasis and protecting against excessive protease activity that could damage cells.
Biological function summary

Serine protease inhibitory actions of SPINK6 contribute significantly to skin barrier function and immune defense. While SPINK6 is not currently known to be part of a larger protein complex its inhibitory effects on enzymes like trypsin and kallikreins implicate it in processes that control skin desquamation and inflammation. These processes ensure proper shedding of skin and protection against microbial invasion illustrating SPINK6's protective role in epithelial surfaces.

Pathways

Specific functions of SPINK6 link it to the regulation of the kallikrein-kinin system and inflammation pathways. Through inhibitory interactions SPINK6 modulates the activity of proteins like KLK5 and KLK7 important in skin physiology. These interactions help maintain balance in the epidermal environment by controlling protease activity that could otherwise activate inflammatory cascades or impair barrier function.

In terms of diseases and disorders closely connected to SPINK6 disruptions in its expression or function may relate to skin conditions like atopic dermatitis and psoriasis. Such disorders can result from imbalances in protease inhibition leading to excessive inflammation and barrier dysfunction. KLK5 in particular has strong links to these conditions as alterations in the regulation by SPINK6 can exacerbate disease severity by increasing inflammation and skin barrier permeability.

Product protocols

For this product, it's our understanding that no specific protocols are required. You can visit:

Target data

Serine protease inhibitor selective for kallikreins. Efficiently inhibits KLK4, KLK5, KLK6, KLK7, KLK12, KLK13 and KLK14. Doesn't inhibit KLK8.
See full target information SPINK6

Publications (3)

Recent publications for all applications. Explore the full list and refine your search

EMBO molecular medicine 14:e14485 PubMed34826211

2021

SPINK6 inhibits human airway serine proteases and restricts influenza virus activation.

Applications

Unspecified application

Species

Unspecified reactive species

Dong Wang,Cun Li,Man Chun Chiu,Yifei Yu,Xiaojuan Liu,Xiaoyu Zhao,Jingjing Huang,Zhongshan Cheng,Shuofeng Yuan,Vincent Poon,Jian-Piao Cai,Hin Chu,Jasper Fuk-Woo Chan,Kelvin Kai-Wang To,Kwok Yung Yuen,Jie Zhou

Communications biology 4:692 PubMed34099859

2021

Single-cell RNA sequencing of human nail unit defines RSPO4 onychofibroblasts and SPINK6 nail epithelium.

Applications

Unspecified application

Species

Unspecified reactive species

Hyun Je Kim,Joon Ho Shim,Ji-Hye Park,Hyun Tae Shin,Jong Sup Shim,Kee-Taek Jang,Woong-Yang Park,Kyung-Hoon Lee,Eun Ji Kwon,Hyung-Suk Jang,Hanseul Yang,Jong Hee Lee,Jun-Mo Yang,Dongyoun Lee

Cancer research 77:579-589 PubMed27671677

2016

SPINK6 Promotes Metastasis of Nasopharyngeal Carcinoma via Binding and Activation of Epithelial Growth Factor Receptor.

Applications

Unspecified application

Species

Unspecified reactive species

Li-Sheng Zheng,Jun-Ping Yang,Yun Cao,Li-Xia Peng,Rui Sun,Ping Xie,Meng-Yao Wang,Dong-Fang Meng,Dong-Hua Luo,Xiong Zou,Ming-Yuan Chen,Hai-Qiang Mai,Ling Guo,Xiang Guo,Jian-Yong Shao,Bi-Jun Huang,Wei Zhang,Chao-Nan Qian
View all publications

Product promise

We are committed to supporting your work with high-quality reagents, and we're here for you every step of the way. In the unlikely event that one of our products does not perform as expected, you're protected by our Product Promise.
For full details, please see our Terms & Conditions

Associated Products

Select an associated product type
Alternative Product
Primary Antibodies

AB201319

Anti-SPINK6 antibody

primary-antibodies

spink6-antibody-ab201319

0

(0 reviews)

Please note: All products are 'FOR RESEARCH USE ONLY. NOT FOR USE IN DIAGNOSTIC OR THERAPEUTIC PROCEDURES'.

For licensing inquiries, please contact partnerships@abcam.com