JavaScript is disabled in your browser. Please enable JavaScript to view this website.
AB249370

Anti-sPLA2-X antibody [EPR11202] - BSA and Azide free

Be the first to review this product! Submit a review

|

(0 Publication)

Rabbit Recombinant Monoclonal sPLA2-X antibody. Carrier free. Suitable for IHC-P, WB, Flow Cyt (Intra) and reacts with Human samples.

View Alternative Names

Group 10 secretory phospholipase A2, Group X secretory phospholipase A2, Phosphatidylcholine 2-acylhydrolase 10, GX sPLA2, sPLA2-X, PLA2G10

4 Images
Flow Cytometry (Intracellular) - Anti-sPLA2-X antibody [EPR11202] - BSA and Azide free (AB249370)
  • Flow Cyt (Intra)

Unknown

Flow Cytometry (Intracellular) - Anti-sPLA2-X antibody [EPR11202] - BSA and Azide free (AB249370)

This data was developed using ab166634, the same antibody clone in a different buffer formulation.

Intracellular flow cytometric analysis of permeabilized A549 cells using ab166634 at a 1/100 dilution (red) or a rabbit IgG (negative) (green).

Immunohistochemistry (Formalin/PFA-fixed paraffin-embedded sections) - Anti-sPLA2-X antibody [EPR11202] - BSA and Azide free (AB249370)
  • IHC-P

Unknown

Immunohistochemistry (Formalin/PFA-fixed paraffin-embedded sections) - Anti-sPLA2-X antibody [EPR11202] - BSA and Azide free (AB249370)

This data was developed using ab166634, the same antibody clone in a different buffer formulation.

Immunohistochemical analysis of paraffin embedded Human tonsil tissue labeling sPLA2-X with ab166634 at a 1/100 dilution.

Perform heat mediated antigen retrieval with citrate buffer pH 6 before commencing with IHC staining protocol.

Immunohistochemistry (Formalin/PFA-fixed paraffin-embedded sections) - Anti-sPLA2-X antibody [EPR11202] - BSA and Azide free (AB249370)
  • IHC-P

Unknown

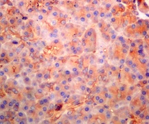
Immunohistochemistry (Formalin/PFA-fixed paraffin-embedded sections) - Anti-sPLA2-X antibody [EPR11202] - BSA and Azide free (AB249370)

This data was developed using ab166634, the same antibody clone in a different buffer formulation.

Immunohistochemical analysis of paraffin embedded Human pancreas tissue labeling sPLA2-X with ab166634 at a 1/100 dilution.

Perform heat mediated antigen retrieval with citrate buffer pH 6 before commencing with IHC staining protocol.

Western blot - Anti-sPLA2-X antibody [EPR11202] - BSA and Azide free (AB249370)
  • WB

Unknown

Western blot - Anti-sPLA2-X antibody [EPR11202] - BSA and Azide free (AB249370)

This data was developed using ab166634, the same antibody clone in a different buffer formulation.

All lanes:

Western blot - Anti-sPLA2-X antibody [EPR11202] (<a href='/en-us/products/primary-antibodies/spla2-x-antibody-epr11202-ab166634'>ab166634</a>) at 1/1000 dilution

Lane 1:

TT cell lysate at 10 µg

Lane 2:

A549 cell lysate at 10 µg

Lane 3:

MCF7 cell lysate at 10 µg

Lane 4:

Caco-2 cell lysate at 10 µg

Predicted band size: 18 kDa

false

Key facts

Host species

Rabbit

Clonality

Monoclonal

Clone number

EPR11202

Isotype

IgG

Carrier free

Yes

Reacts with

Human

Applications

Flow Cyt (Intra), WB, IHC-P

applications

Immunogen

The exact immunogen used to generate this antibody is proprietary information.

Reactivity data

{ "title": "Reactivity Data", "filters": { "stats": ["", "Species", "Dilution Info", "Notes"], "tabs": { "all-applications": {"fullname" : "All Applications", "shortname": "All Applications"}, "IHCP" : {"fullname" : "Immunohistochemistry (Formalin/PFA-fixed paraffin-embedded sections)", "shortname":"IHC-P"}, "IP" : {"fullname" : "Immunoprecipitation", "shortname":"IP"}, "WB" : {"fullname" : "Western blot", "shortname":"WB"}, "ICCIF" : {"fullname" : "Immunocytochemistry/ Immunofluorescence", "shortname":"ICC/IF"}, "FlowCytIntra" : {"fullname" : "Flow Cytometry (Intracellular)", "shortname":"Flow Cyt (Intra)"} }, "product-promise": { "all": "all", "testedAndGuaranteed": "tested", "guaranteed": "expected", "predicted": "predicted", "notRecommended": "not-recommended" } }, "values": { "Human": { "IHCP-species-checked": "testedAndGuaranteed", "IHCP-species-dilution-info": "", "IHCP-species-notes": "<p></p>", "IP-species-checked": "notRecommended", "IP-species-dilution-info": "", "IP-species-notes": "<p></p>", "WB-species-checked": "testedAndGuaranteed", "WB-species-dilution-info": "", "WB-species-notes": "<p></p>", "ICCIF-species-checked": "notRecommended", "ICCIF-species-dilution-info": "", "ICCIF-species-notes": "<p></p>", "FlowCytIntra-species-checked": "testedAndGuaranteed", "FlowCytIntra-species-dilution-info": "", "FlowCytIntra-species-notes": "<p></p>" }, "Mouse": { "IHCP-species-checked": "predicted", "IHCP-species-dilution-info": "", "IHCP-species-notes": "", "IP-species-checked": "notRecommended", "IP-species-dilution-info": "", "IP-species-notes": "", "WB-species-checked": "predicted", "WB-species-dilution-info": "", "WB-species-notes": "", "ICCIF-species-checked": "notRecommended", "ICCIF-species-dilution-info": "", "ICCIF-species-notes": "", "FlowCytIntra-species-checked": "predicted", "FlowCytIntra-species-dilution-info": "", "FlowCytIntra-species-notes": "" }, "Rat": { "IHCP-species-checked": "predicted", "IHCP-species-dilution-info": "", "IHCP-species-notes": "", "IP-species-checked": "notRecommended", "IP-species-dilution-info": "", "IP-species-notes": "", "WB-species-checked": "predicted", "WB-species-dilution-info": "", "WB-species-notes": "", "ICCIF-species-checked": "notRecommended", "ICCIF-species-dilution-info": "", "ICCIF-species-notes": "", "FlowCytIntra-species-checked": "predicted", "FlowCytIntra-species-dilution-info": "", "FlowCytIntra-species-notes": "" } } }

Product details

ab249370 is the carrier-free version of ab166634.

Patented technology
Our RabMAb® technology is a patented hybridoma-based technology for making rabbit monoclonal antibodies. For details on our patents, please refer to RabMAb® patents.

What are the advantages of a recombinant monoclonal antibody?
This product is a recombinant monoclonal antibody, which offers several advantages including:

  • - High batch-to-batch consistency and reproducibility
  • - Improved sensitivity and specificity
  • - Long-term security of supply
  • - Animal-free batch production

For more information, read more on recombinant antibodies.

Conjugation ready
Our carrier-free antibodies are typically supplied in a PBS-only formulation, purified and free of BSA, sodium azide and glycerol. This conjugation-ready format is designed for use with fluorochromes, metal isotopes, oligonucleotides, and enzymes, which makes them ideal for antibody labelling, functional and cell-based assays, flow-based assays (e.g. mass cytometry) and Multiplex Imaging applications.

Use our conjugation kits for antibody conjugates that are ready-to-use in as little as 20 minutes with 1 minute hands-on-time and 100% antibody recovery: available for fluorescent dyes, HRP, biotin and gold.

Compatibility
This product is compatible with the Maxpar® Antibody Labeling Kit from Fluidigm, without the need for antibody preparation. Maxpar® is a trademark of Fluidigm Canada Inc.

Properties and storage information

Form
Liquid
Purification technique
Affinity purification Protein A
Storage buffer
pH: 7.2 - 7.4 Constituents: PBS
Shipped at conditions
Blue Ice
Appropriate short-term storage conditions
+4°C
Appropriate long-term storage conditions
+4°C
Storage information
Do Not Freeze

Supplementary information

This supplementary information is collated from multiple sources and compiled automatically.

SPLA2-X also known as Group X secreted phospholipase A2 is an enzyme with a molecular mass of approximately 18 kDa. This enzyme catalyzes the hydrolysis of phospholipids at the sn-2 position yielding free fatty acids and lysophospholipids. sPLA2-X expresses mainly in human tissues including the airway epithelium which suggests its role in inflammatory responses and other physiological processes. This enzyme shows high affinity for certain membrane phospholipids indicating its potential interaction with cell membranes and involvement in lipid signaling.
Biological function summary

SPLA2-X contributes to the generation of bioactive lipid mediators such as eicosanoids which play key roles in cellular signaling. The enzyme does not act alone; it can associate with other proteins to form functional complexes that amplify inflammatory and immune responses. This activity becomes critical in host defenses and maintaining homeostasis during infections and injuries. Moreover by producing lipid mediators sPLA2-X influences processes like cell differentiation proliferation and apoptosis.

Pathways

SPLA2-X participates significantly in the arachidonic acid metabolism pathway leading to the production of pro-inflammatory mediators such as prostaglandins and leukotrienes. This enzyme interacts with cytosolic phospholipase A2 (cPLA2) and cyclooxygenases enhancing the generation of these mediators. Furthermore sPLA2-X also relates to the phospholipid-remodeling pathway affecting membrane dynamics and signaling. These interactions underline its significant role in modulating inflammation and other cellular processes.

SPLA2-X has been associated with conditions like asthma and rheumatoid arthritis where inflammation plays a central role. In asthma the enzyme's overactivity contributes to airway inflammation and hyperresponsiveness potentially through interactions with lung-related proteins such as leukotriene receptors. In rheumatoid arthritis sPLA2-X may exacerbate joint inflammation by enhancing the production of inflammatory mediators involving cytokines like tumor necrosis factor-alpha (TNF-α). Understanding these connections aids in targeting sPLA2-X for therapeutic interventions in such inflammatory disorders.

Product protocols

For this product, it's our understanding that no specific protocols are required. You can visit:

Target data

Secretory calcium-dependent phospholipase A2 that primarily targets extracellular phospholipids (PubMed : 12021277, PubMed : 9188469). Hydrolyzes the ester bond of the fatty acyl group attached at sn-2 position of phospholipids with preference for phosphatidylcholines and phosphatidylglycerols over phosphatidylethanolamines. Preferentially releases sn-2 omega-6 and omega-3 polyunsaturated fatty acyl (PUFA) chains over saturated fatty acyls (PubMed : 12021277, PubMed : 12359733). Contributes to phospholipid remodeling of very low-density lipoprotein (VLDL), low-density lipoprotein (LDL) and high-density lipoprotein (HDL) particles (PubMed : 12021277). Hydrolyzes LDL phospholipids releasing unsaturated fatty acids that regulate macrophage differentiation toward foam cells (PubMed : 12021277). Efficiently hydrolyzes and inactivates platelet activating factor (PAF), a potent lipid mediator present in oxidized LDL (PubMed : 16962371). May act in an autocrine and paracrine manner. Secreted by lung epithelium, targets membrane phospholipids of infiltrating eosinophils, releasing arachidonate and boosting eicosanoid and cysteinyl leukotriene synthesis involved in airway inflammatory response (By similarity). Secreted by gut epithelium, hydrolyzes dietary and biliary phosphatidylcholines in the gastrointestinal lumen (By similarity). Plays a stem cell regulator role in colon epithelium. Within intracellular compartment, mediates Paneth-like cell differentiation and its stem cell supporting functions by inhibiting the Wnt signaling pathway in intestinal stem cell (ISC). Secreted in the intestinal lumen upon inflammation, acts in an autocrine way and promotes prostaglandin E2 synthesis that stimulates Wnt signaling pathway in ISCs and tissue regeneration (By similarity). May participate in hair follicle morphogenesis by regulating phosphatidylethanolamines metabolism at the outermost epithelial layer and facilitating melanin synthesis (By similarity). By releasing lysophosphatidylcholines (LPCs) at sperm acrosome, controls sperm cell capacitation, acrosome reaction and overall fertility (By similarity). May promote neurite outgrowth in neuron fibers involved in nociception (By similarity). Contributes to lipid remodeling of cellular membranes and generation of lipid mediators involved in pathogen clearance. Cleaves sn-2 fatty acyl chains of phosphatidylglycerols and phosphatidylethanolamines, which are major components of membrane phospholipids in bacteria (PubMed : 12359733). Displays bactericidal activity against Gram-positive bacteria by directly hydrolyzing phospholipids of the bacterial membrane (PubMed : 11694541). In pulmonary epithelium, may contribute to host defense response against adenoviral infection. Prevents adenovirus entry into host cells by hydrolyzing host cell plasma membrane, releasing C16 : 0 LPCs that inhibit virus-mediated membrane fusion and viral infection. Likely prevents adenoviral entry into the endosomes of host cells (PubMed : 16146426). May play a role in maturation and activation of innate immune cells including macrophages, group 2 innate lymphoid cells and mast cells (By similarity).
See full target information PLA2G10

Product promise

We are committed to supporting your work with high-quality reagents, and we're here for you every step of the way. In the unlikely event that one of our products does not perform as expected, you're protected by our Product Promise.
For full details, please see our Terms & Conditions

Please note: All products are 'FOR RESEARCH USE ONLY. NOT FOR USE IN DIAGNOSTIC OR THERAPEUTIC PROCEDURES'.

For licensing inquiries, please contact partnerships@abcam.com