JavaScript is disabled in your browser. Please enable JavaScript to view this website.
AB254199

Anti-splicing factor 1 antibody [EPR22437-50] - BSA and Azide free

Be the first to review this product! Submit a review

|

(1 Publication)

Rabbit Recombinant Monoclonal splicing factor 1 antibody. Carrier free. Suitable for IP, WB, ICC/IF, Flow Cyt (Intra), IHC-P and reacts with Human, Mouse, Rat samples. Cited in 1 publication.

View Alternative Names

ZFM1, ZNF162, SF1, Splicing factor 1, Mammalian branch point-binding protein, Transcription factor ZFM1, Zinc finger gene in MEN1 locus, Zinc finger protein 162, BBP, mBBP

11 Images
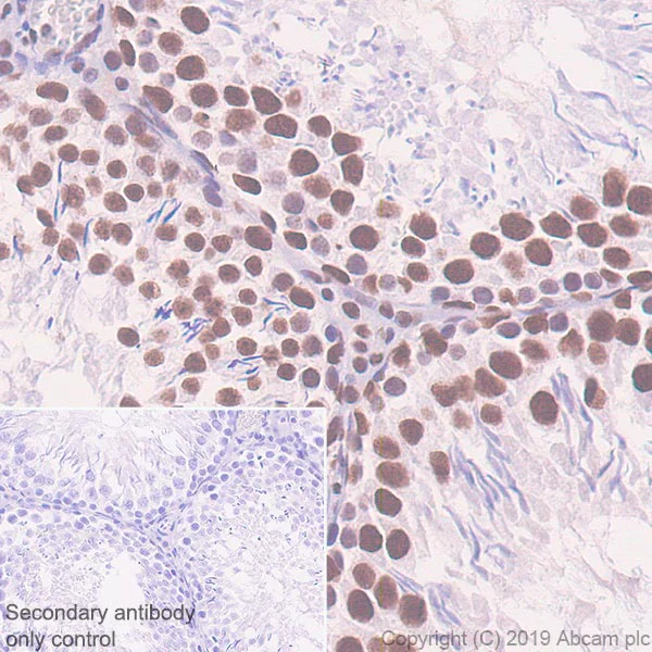
Immunohistochemistry (Formalin/PFA-fixed paraffin-embedded sections) - Anti-splicing factor 1 antibody [EPR22437-50] - BSA and Azide free (AB254199)
  • IHC-P

Unknown

Immunohistochemistry (Formalin/PFA-fixed paraffin-embedded sections) - Anti-splicing factor 1 antibody [EPR22437-50] - BSA and Azide free (AB254199)

Immunohistochemical analysis of paraffin-embedded human testis tissue labeling Steroidogenic Factor 1/SF-1 with ab223256 at 1/4000 dilution, followed by ready to use Rabbit specific IHC polymer detection kit HRP/DAB (ab209101). Nuclear staining on human testis (PMID : 25145264; PMID : 20736371) is observed. The section was incubated with ab223256 for 10 mins at room temperature. The immunostaining was performed on a Leica Biosystems BOND® RX instrument. Counterstained with hematoxylin.
Secondary antibody only control : Used PBS instead of primary antibody, secondary antibody is ready to use Rabbit specific IHC polymer detection kit HRP/DAB (ab209101).
Perform heat mediated antigen retrieval with Tris-EDTA buffer (pH 9.0, epitope retrieval solution 2) for 20 mins.This data was developed using the same antibody clone in a different buffer formulation containing PBS, BSA, glycerol, and sodium azide (ab223256).

Immunocytochemistry/ Immunofluorescence - Anti-splicing factor 1 antibody [EPR22437-50] - BSA and Azide free (AB254199)
  • ICC/IF

Unknown

Immunocytochemistry/ Immunofluorescence - Anti-splicing factor 1 antibody [EPR22437-50] - BSA and Azide free (AB254199)

Immunofluorescent analysis of 4% paraformaldehyde-fixed, 0.1% Triton X-100 permeabilized HeLa (human cervix adenocarcinoma epithelial cell) cells labeling Steroidogenic Factor 1/SF-1 with ab223256 at 1/500 dilution, followed by Goat Anti-Rabbit IgG H&L (Alexa Fluor® 488) (ab150077) secondary antibody at 1/1000 dilution (green). Confocal image showing nuclear staining in HeLa cell line. The nuclear counterstain is DAPI (blue).
Tubulin is detected with ab195889 Anti-alpha Tubulin antibody [DM1A] - Microtubule Marker (Alexa Fluor® 594) at a 1/200 dilution (red).

Secondary antibody only control : Used PBS insread of primary antibody, followed by Goat Anti-Rabbit IgG H&L (Alexa Fluor® 488) (ab150077) secondary antibody at 1/1000 dilution.

This data was developed using the same antibody clone in a different buffer formulation containing PBS, BSA, glycerol, and sodium azide (ab223256).

Flow Cytometry (Intracellular) - Anti-splicing factor 1 antibody [EPR22437-50] - BSA and Azide free (AB254199)
  • Flow Cyt (Intra)

Unknown

Flow Cytometry (Intracellular) - Anti-splicing factor 1 antibody [EPR22437-50] - BSA and Azide free (AB254199)

Intracellular flow cytometric analysis of 4% paraformaldehyde-fixed, 90% methanol permeabilized HeLa (human cervix adenocarcinoma epithelial cell) cell line labeling Steroidogenic Factor 1/SF-1 with ab223256 at 1/500 dilution (red) compared with a Rabbit monoclonal IgG (ab172730) (black) and an unlabeled control (cells without incubation with primary antibody and secondary antibody) (blue). Goat anti rabbit IgG (Alexa Fluor® 488, ab150077), at 1/2000 dilution was used as the secondary antibody.

This data was developed using the same antibody clone in a different buffer formulation containing PBS, BSA, glycerol, and sodium azide (ab223256).

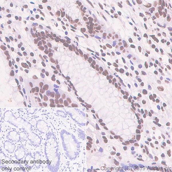
Immunohistochemistry (Formalin/PFA-fixed paraffin-embedded sections) - Anti-splicing factor 1 antibody [EPR22437-50] - BSA and Azide free (AB254199)
  • IHC-P

Unknown

Immunohistochemistry (Formalin/PFA-fixed paraffin-embedded sections) - Anti-splicing factor 1 antibody [EPR22437-50] - BSA and Azide free (AB254199)

Immunohistochemical analysis of paraffin-embedded human stomach tissue labeling Steroidogenic Factor 1/SF-1 with ab223256 at 1/4000 dilution, followed by ready to use Rabbit specific IHC polymer detection kit HRP/DAB (ab209101). Nuclear staining on human stomach (PMID : 25145264) is observed. The section was incubated with ab223256 for 10 mins at room temperature. The immunostaining was performed on a Leica Biosystems BOND® RX instrument. Counterstained with hematoxylin.
Secondary antibody only control : Used PBS instead of primary antibody, secondary antibody is ready to use Rabbit specific IHC polymer detection kit HRP/DAB (ab209101).
Perform heat mediated antigen retrieval with Tris-EDTA buffer (pH 9.0, epitope retrieval solution 2) for 20 mins.This data was developed using the same antibody clone in a different buffer formulation containing PBS, BSA, glycerol, and sodium azide (ab223256).

Immunoprecipitation - Anti-splicing factor 1 antibody [EPR22437-50] - BSA and Azide free (AB254199)
  • IP

Lab

Immunoprecipitation - Anti-splicing factor 1 antibody [EPR22437-50] - BSA and Azide free (AB254199)

This data was developed using the same antibody clone in a different buffer formulation containing PBS, BSA, glycerol, and sodium azide (ab223256).

Splicing factor 1 was immunoprecipitated from HeLa (human cervix adenocarcinoma epithelial cell) whole cell lysate with ab223256 at 1/30 dilution (2μg in 0.35mg lysates). Western blot was performed from the immunoprecipitate using ab223256 at 1/1000 dilution. VeriBlot for IP Detection Reagent (HRP) (ab131366), was used at 1/5000 dilution.

Lane 1 : HeLa (human cervical adenocarcinoma epithelial cell) whole cell lysate 10 μg

Lane 2 : ab223256 IP in HeLa (human cervical adenocarcinoma epithelial cell) whole cell lysate

Lane 3 : Rabbit monoclonal IgG (ab172730) instead of ab223256 in HeLa whole cell lysate

Blocking/Dilution buffer : 5% NFDM/TBST.

Lysates were freshly made and used for Western blotting immediately to minimize protein degradation.

All lanes:

Immunoprecipitation - Anti-splicing factor 1 antibody [EPR22437-50] (<a href='/en-us/products/primary-antibodies/splicing-factor-1-antibody-epr22437-50-ab223256'>ab223256</a>) at 1/1000 dilution

Lane 1:

HeLa (human cervical adenocarcinoma epithelial cell) whole cell lysate at 10 µg

Lane 2:

<a href='/en-us/products/primary-antibodies/splicing-factor-1-antibody-epr22437-50-ab223256'>ab223256</a> IP in HeLa (human cervical adenocarcinoma epithelial cell) whole cell lysate

Secondary

All lanes:

Immunoprecipitation - VeriBlot for IP Detection Reagent (HRP) (<a href='/en-us/products/reagents/veriblot-for-ip-detection-reagent-hrp-ab131366'>ab131366</a>) at 1/5000 dilution

Predicted band size: 68 kDa

Observed band size: 70 kDa,80 kDa

false

Exposure time: 15s

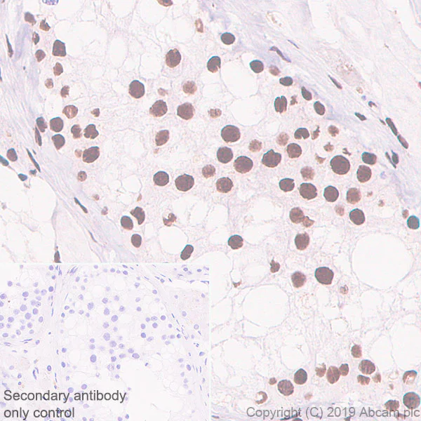
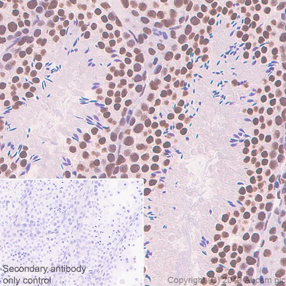
Immunohistochemistry (Formalin/PFA-fixed paraffin-embedded sections) - Anti-splicing factor 1 antibody [EPR22437-50] - BSA and Azide free (AB254199)
  • IHC-P

Unknown

Immunohistochemistry (Formalin/PFA-fixed paraffin-embedded sections) - Anti-splicing factor 1 antibody [EPR22437-50] - BSA and Azide free (AB254199)

Immunohistochemical analysis of paraffin-embedded mouse testis tissue labeling Steroidogenic Factor 1/SF-1 with ab223256 at 1/4000 dilution, followed by ready to use Rabbit specific IHC polymer detection kit HRP/DAB (ab209101). Nuclear staining on mouse testis (PMID : 25145264) is observed. The section was incubated with ab223256 for 10 mins at room temperature. The immunostaining was performed on a Leica Biosystems BOND® RX instrument. Counterstained with hematoxylin.
Secondary antibody only control : Used PBS instead of primary antibody, secondary antibody is ready to use Rabbit specific IHC polymer detection kit HRP/DAB (ab209101).
Perform heat mediated antigen retrieval with Tris-EDTA buffer (pH 9.0, epitope retrieval solution 2) for 20 mins.

This data was developed using the same antibody clone in a different buffer formulation containing PBS, BSA, glycerol, and sodium azide (ab223256).

Immunocytochemistry/ Immunofluorescence - Anti-splicing factor 1 antibody [EPR22437-50] - BSA and Azide free (AB254199)
  • ICC/IF

Unknown

Immunocytochemistry/ Immunofluorescence - Anti-splicing factor 1 antibody [EPR22437-50] - BSA and Azide free (AB254199)

Immunofluorescent analysis of 4% paraformaldehyde-fixed, 0.1% Triton X-100 permeabilized Neuro-2a (mouse neuroblastoma neuroblast) cells labeling Steroidogenic Factor 1/SF-1 with ab223256 at 1/500 dilution, followed by Goat Anti-Rabbit IgG H&L (Alexa Fluor® 488) (ab150077) secondary antibody at 1/1000 dilution (green). Confocal image showing nuclear staining in Neuro-2a cell line. The nuclear counterstain is DAPI (blue).
Tubulin is detected with with ab195889 Anti-alpha Tubulin antibody [DM1A] - Microtubule Marker (Alexa Fluor® 594) at a 1/200 dilution (red).

Secondary antibody only control : Used PBS instead of primary antibody, followed by Goat Anti-Rabbit IgG H&L (Alexa Fluor® 488) (ab150077) secondary antibody at 1/1000 dilution.

This data was developed using the same antibody clone in a different buffer formulation containing PBS, BSA, glycerol, and sodium azide (ab223256).

Immunohistochemistry (Formalin/PFA-fixed paraffin-embedded sections) - Anti-splicing factor 1 antibody [EPR22437-50] - BSA and Azide free (AB254199)
  • IHC-P

Unknown

Immunohistochemistry (Formalin/PFA-fixed paraffin-embedded sections) - Anti-splicing factor 1 antibody [EPR22437-50] - BSA and Azide free (AB254199)

Immunohistochemical analysis of paraffin-embedded rat testis tissue labeling Steroidogenic Factor 1/SF-1 with ab223256 at 1/4000 dilution, followed by ready to use Rabbit specific IHC polymer detection kit HRP/DAB (ab209101). Nuclear staining on rat testis (PMID : 25145264) is observed. The section was incubated with ab223256 for 10 mins at room temperature. The immunostaining was performed on a Leica Biosystems BOND® RX instrument. Counterstained with hematoxylin.
Secondary antibody only control : Used PBS instead of primary antibody, secondary antibody is ready to use Rabbit specific IHC polymer detection kit HRP/DAB (ab209101).
Perform heat mediated antigen retrieval with Tris-EDTA buffer (pH 9.0, epitope retrieval solution 2) for 20 mins.This data was developed using the same antibody clone in a different buffer formulation containing PBS, BSA, glycerol, and sodium azide (ab223256).

Western blot - Anti-splicing factor 1 antibody [EPR22437-50] - BSA and Azide free (AB254199)
  • WB

Lab

Western blot - Anti-splicing factor 1 antibody [EPR22437-50] - BSA and Azide free (AB254199)

This data was developed using the same antibody clone in a different buffer formulation containing PBS, BSA, glycerol, and sodium azide (ab254199).

Blocking and dilution buffer : 5% NFDM/TBST.

The molecular weight observed is consistent with what has been described in the literature (PMID : 8752089; PMID : 17383426; PMID : 10103072; PMID : 25145264).

Lysates were freshly made and used for Western blotting immediately to minimize protein degradation.

All lanes:

Western blot - Anti-splicing factor 1 antibody [EPR22437-50] (<a href='/en-us/products/primary-antibodies/splicing-factor-1-antibody-epr22437-50-ab223256'>ab223256</a>) at 1/1000 dilution

Lane 1:

HeLa (human cervical adenocarcinoma epithelial cell) whole cell lysate at 20 µg

Lane 2:

293T (human embryonic kidney epithelial cell) whole cell lysate at 20 µg

Lane 3:

PC-12 (rat adrenal gland pheochromocytoma cell) whole cell lysate at 20 µg

Secondary

All lanes:

Western blot - Goat Anti-Rabbit IgG H&L (HRP) (<a href='/en-us/products/secondary-antibodies/goat-rabbit-igg-h-l-hrp-ab97051'>ab97051</a>) at 1/100000 dilution

Predicted band size: 68 kDa

Observed band size: 70 kDa,80 kDa

false

Exposure time: 26s

Western blot - Anti-splicing factor 1 antibody [EPR22437-50] - BSA and Azide free (AB254199)
  • WB

Lab

Western blot - Anti-splicing factor 1 antibody [EPR22437-50] - BSA and Azide free (AB254199)

This data was developed using ab223256, the same antibody clone in a different buffer formulation.

Blocking and diluting buffer and concentration : 5% NFDM/TBST.

This protein is easy to be degraded, to minimize protein degradation, cells/tissues were lysed immediately after harvest and then applied to a gel and transfer membrane for Western blotting right away.

All lanes:

Western blot - Anti-splicing factor 1 antibody [EPR22437-50] (<a href='/en-us/products/primary-antibodies/splicing-factor-1-antibody-epr22437-50-ab223256'>ab223256</a>) at 1/1000 dilution

Lane 1:

HeLa (human cervical adenocarcinoma epithelial cell) frozen lysate at 20 µg

Lane 2:

HeLa (human cervical adenocarcinoma epithelial cell) fresh lysate at 20 µg

Secondary

All lanes:

Western blot - Goat Anti-Rabbit IgG H&L (HRP) (<a href='/en-us/products/secondary-antibodies/goat-rabbit-igg-h-l-hrp-ab97051'>ab97051</a>) at 1/20000 dilution

Observed band size: 70-80 kDa

false

Exposure time: 7s

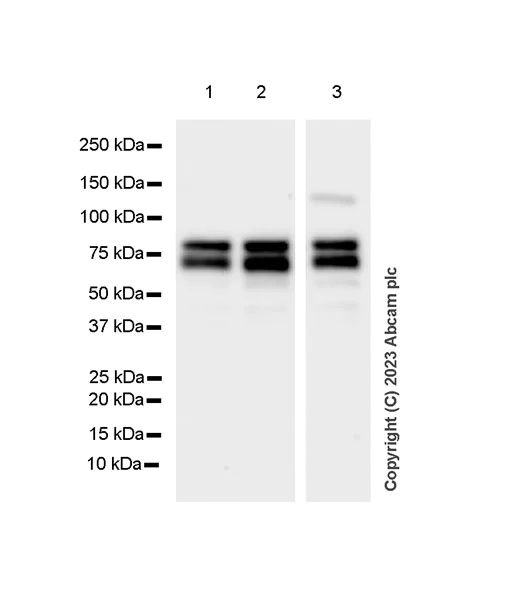
Western blot - Anti-splicing factor 1 antibody [EPR22437-50] - BSA and Azide free (AB254199)
  • WB

Lab

Western blot - Anti-splicing factor 1 antibody [EPR22437-50] - BSA and Azide free (AB254199)

Blocking and dilution buffer : 5% NFDM/TBST.

The molecular weight observed is consistent with what has been described in the literature (PMID : 8752089; PMID : 17383426; PMID : 10103072; PMID : 25145264).

Lysates were freshly made and used for Western blotting immediately to minimize protein degradation.

This data was developed using the same antibody clone in a different buffer formulation containing PBS, BSA, glycerol, and sodium azide (ab254199).

All lanes:

Western blot - Anti-splicing factor 1 antibody [EPR22437-50] (<a href='/en-us/products/primary-antibodies/splicing-factor-1-antibody-epr22437-50-ab223256'>ab223256</a>) at 1/1000 dilution

Lane 1:

Mouse brain tissue lysate at 20 µg

Lane 2:

Mouse testis tissue lysate at 20 µg

Secondary

All lanes:

Western blot - Goat Anti-Rabbit IgG H&L (HRP) (<a href='/en-us/products/secondary-antibodies/goat-rabbit-igg-h-l-hrp-ab97051'>ab97051</a>) at 1/100000 dilution

Observed band size: 70 kDa,80 kDa

false

Exposure time: 26s

  • Unconjugated

    Anti-splicing factor 1 antibody [EPR22437-50]

Key facts

Host species

Rabbit

Clonality

Monoclonal

Clone number

EPR22437-50

Isotype

IgG

Carrier free

Yes

Reacts with

Mouse, Rat, Human

Applications

WB, Flow Cyt (Intra), IHC-P, ICC/IF, IP

applications

Immunogen

The exact immunogen used to generate this antibody is proprietary information.

Reactivity data

{ "title": "Reactivity Data", "filters": { "stats": ["", "Species", "Dilution Info", "Notes"], "tabs": { "all-applications": {"fullname" : "All Applications", "shortname": "All Applications"}, "IP" : {"fullname" : "Immunoprecipitation", "shortname":"IP"}, "WB" : {"fullname" : "Western blot", "shortname":"WB"}, "ICCIF" : {"fullname" : "Immunocytochemistry/ Immunofluorescence", "shortname":"ICC/IF"}, "FlowCytIntra" : {"fullname" : "Flow Cytometry (Intracellular)", "shortname":"Flow Cyt (Intra)"}, "IHCP" : {"fullname" : "Immunohistochemistry (Formalin/PFA-fixed paraffin-embedded sections)", "shortname":"IHC-P"} }, "product-promise": { "all": "all", "testedAndGuaranteed": "tested", "guaranteed": "expected", "predicted": "predicted", "notRecommended": "not-recommended" } }, "values": { "Human": { "IP-species-checked": "testedAndGuaranteed", "IP-species-dilution-info": "", "IP-species-notes": "<p></p>", "WB-species-checked": "testedAndGuaranteed", "WB-species-dilution-info": "", "WB-species-notes": "<p>This protein is easy to be degraded, to minimize protein degradation, cells/tissues were lysed immediately after harvest and then applied to a gel and transfer membrane for Western blotting right away.</p>", "ICCIF-species-checked": "testedAndGuaranteed", "ICCIF-species-dilution-info": "", "ICCIF-species-notes": "<p></p>", "FlowCytIntra-species-checked": "testedAndGuaranteed", "FlowCytIntra-species-dilution-info": "", "FlowCytIntra-species-notes": "<p></p>", "IHCP-species-checked": "testedAndGuaranteed", "IHCP-species-dilution-info": "", "IHCP-species-notes": "<p></p>" }, "Mouse": { "IP-species-checked": "guaranteed", "IP-species-dilution-info": "", "IP-species-notes": "", "WB-species-checked": "testedAndGuaranteed", "WB-species-dilution-info": "", "WB-species-notes": "<p></p>", "ICCIF-species-checked": "testedAndGuaranteed", "ICCIF-species-dilution-info": "", "ICCIF-species-notes": "<p></p>", "FlowCytIntra-species-checked": "guaranteed", "FlowCytIntra-species-dilution-info": "", "FlowCytIntra-species-notes": "", "IHCP-species-checked": "testedAndGuaranteed", "IHCP-species-dilution-info": "", "IHCP-species-notes": "<p></p>" }, "Rat": { "IP-species-checked": "guaranteed", "IP-species-dilution-info": "", "IP-species-notes": "", "WB-species-checked": "testedAndGuaranteed", "WB-species-dilution-info": "", "WB-species-notes": "<p></p>", "ICCIF-species-checked": "guaranteed", "ICCIF-species-dilution-info": "", "ICCIF-species-notes": "<p></p>", "FlowCytIntra-species-checked": "guaranteed", "FlowCytIntra-species-dilution-info": "", "FlowCytIntra-species-notes": "", "IHCP-species-checked": "testedAndGuaranteed", "IHCP-species-dilution-info": "", "IHCP-species-notes": "<p></p>" } } }

Product details

ab254199 is the carrier-free version of ab223256.

Patented technology
Our RabMAb® technology is a patented hybridoma-based technology for making rabbit monoclonal antibodies. For details on our patents, please refer to RabMAb® patents.

What are the advantages of a recombinant monoclonal antibody?
This product is a recombinant monoclonal antibody, which offers several advantages including:

  • - High batch-to-batch consistency and reproducibility
  • - Improved sensitivity and specificity
  • - Long-term security of supply
  • - Animal-free batch production

For more information, read more on recombinant antibodies.

Conjugation ready
Our carrier-free antibodies are typically supplied in a PBS-only formulation, purified and free of BSA, sodium azide and glycerol. This conjugation-ready format is designed for use with fluorochromes, metal isotopes, oligonucleotides, and enzymes, which makes them ideal for antibody labelling, functional and cell-based assays, flow-based assays (e.g. mass cytometry) and Multiplex Imaging applications.

Use our conjugation kits for antibody conjugates that are ready-to-use in as little as 20 minutes with 1 minute hands-on-time and 100% antibody recovery: available for fluorescent dyes, HRP, biotin and gold.

Compatibility
This product is compatible with the Maxpar® Antibody Labeling Kit from Fluidigm, without the need for antibody preparation. Maxpar® is a trademark of Fluidigm Canada Inc.

Properties and storage information

Form
Liquid
Purification technique
Affinity purification Protein A
Storage buffer
pH: 7.2 - 7.4 Constituents: PBS
Shipped at conditions
Blue Ice
Appropriate short-term storage conditions
+4°C
Appropriate long-term storage conditions
+4°C
Storage information
Do Not Freeze

Supplementary information

This supplementary information is collated from multiple sources and compiled automatically.

Splicing factor 1 also known as SF1 or mBBP plays an important role in the splicing of pre-mRNA. It binds to the branch point sequence of intronic regions facilitating the assembly of the spliceosome complex necessary for excising introns and joining exons. The protein has a molecular mass of approximately 75 kDa. SF1 is expressed in a variety of tissues indicating its fundamental role in mRNA processing across different cell types.
Biological function summary

The protein engages in the early stages of spliceosome complex formation working in concert with other splicing factors such as U2AF and SF3b. SF1 is a specific component required in spliceosome assembly contributing to the recognition of correct splice sites. This step is essential for ensuring the accuracy and efficiency of mRNA splicing which is critical for generating mature mRNA transcripts ready for translation. SF1’s involvement with the spliceosome complex itself highlights its importance in cell function regulation.

Pathways

SF1's activity influences the splicing pathway. This pathway a part of the comprehensive gene expression mechanism is essential for regulating cellular processes through mRNA modification. SF1 interacts with proteins like U2AF65 and U2 snRNP vital components of the spliceosome to facilitate splicing. Additionally SF1 indirectly impacts alternative splicing pathways thereby contributing to mRNA diversity and functionality.

Aberrant SF1 function relates to cancer and neurological disorders. Alterations in SF1 expression or mutations can disrupt normal splicing leading to dysregulation of gene expression and pathogenic outcomes. In particular SF1 has been implicated in breast cancer and spinal muscular atrophy. It connects to other proteins such as BRCA1 in cancer and SMN1 in spinal muscular atrophy highlighting how its dysregulation can contribute to disease pathogenesis. Understanding SF1's function and interactions could enhance knowledge of disease mechanisms and potential therapeutic targets.

Product protocols

For this product, it's our understanding that no specific protocols are required. You can visit:

Target data

Necessary for the ATP-dependent first step of spliceosome assembly. Binds to the intron branch point sequence (BPS) 5'-UACUAAC-3' of the pre-mRNA. May act as transcription repressor.
See full target information SF1

Publications (1)

Recent publications for all applications. Explore the full list and refine your search

Theranostics 14:7219-7240 PubMed39629129

2024

Gut microbiota depletion and FXR inhibition exacerbates zonal hepatotoxicity of sunitinib.

Applications

Unspecified application

Species

Unspecified reactive species

Qi Zhao,Yingmei Lu,Jingyi Duan,Dan Du,Qianlun Pu,Fei Li
View all publications

Product promise

We are committed to supporting your work with high-quality reagents, and we're here for you every step of the way. In the unlikely event that one of our products does not perform as expected, you're protected by our Product Promise.
For full details, please see our Terms & Conditions

Please note: All products are 'FOR RESEARCH USE ONLY. NOT FOR USE IN DIAGNOSTIC OR THERAPEUTIC PROCEDURES'.

For licensing inquiries, please contact partnerships@abcam.com