JavaScript is disabled in your browser. Please enable JavaScript to view this website.
AB302897

Anti-SPON2 antibody [EPR25828A-87]

Be the first to review this product! Submit a review

|

(1 Publication)

Rabbit Recombinant Monoclonal SPON2 antibody. Suitable for WB, ICC/IF, Flow Cyt (Intra), I-ELISA and reacts with Human samples. Cited in 1 publication.

View Alternative Names

DIL1, UNQ435/PRO866, SPON2, Spondin-2, Differentially expressed in cancerous and non-cancerous lung cells 1, Mindin, DIL-1

4 Images
Immunocytochemistry - Anti-SPON2 antibody [EPR25828A-87] (AB302897)
  • ICC

Supplier Data

Immunocytochemistry - Anti-SPON2 antibody [EPR25828A-87] (AB302897)

Immunofluorescent analysis of 100% methanol-fixed, 0.1% TritonX-100 permeabilized LNCaP (human prostate carcinoma epithelial cell) cells labelling SPON2 with ab302897 at 1/50 dilution, followed by ab150081 Goat Anti-Rabbit IgG H&L (Alexa Fluor® 488) preadsorbed antibody at 1/1000 dilution (Green). Confocal image showing mainly cytoplasmic staining in LNCaP cell line and weak staining in PC-3 cell line. Low expression : PC-3 (PMID : 22615945) is observed. ab195889 Anti-alpha Tubulin mouse monoclonal antibody - Microtubule Marker (Alexa Fluor® 594) was used to counterstain tubulin at 1/200 dilution (Red). The Nuclear counterstain was DAPI (Blue). Secondary antibody only control : Secondary antibody is ab150081 Goat Anti-Rabbit IgG H&L (Alexa Fluor® 488) preadsorbed at 1/1000 dilution.

Flow Cytometry (Intracellular) - Anti-SPON2 antibody [EPR25828A-87] (AB302897)
  • Flow Cyt (Intra)

Supplier Data

Flow Cytometry (Intracellular) - Anti-SPON2 antibody [EPR25828A-87] (AB302897)

Flow cytometric analysis of 4% paraformaldehyde fixed 90% methanol permeabilized PC-3 (human prostate adenocarcinoma epithelial cell, Left) / LNCaP (human prostate carcinoma epithelial cell, Right) cells labelling SPON2 with ab302897 at 1/50 dilution (1ug) (Red) compared with a Rabbit monoclonal IgG (ab172730) (Black) isotype control and an unlabelled control (cells without incubation with primary antibody and secondary antibody) (Blue). A Goat Anti-Rabbit IgG (Alexa Fluor® 488, ab150081) at 1/2000 dilution was used as the secondary antibody. Low expression : PC-3 (PMID : 22615945).

Indirect ELISA - Anti-SPON2 antibody [EPR25828A-87] (AB302897)
  • I-ELISA

Lab

Indirect ELISA - Anti-SPON2 antibody [EPR25828A-87] (AB302897)

Indirect ELISA Human SPON2 Antigen concentration 1000 ng/ml. ab302897 concentration range 1000-0 ng/ml. Secondary antibody Alkaline Phosphatase-conjugated AffiniPure Goat Anti-Rabbit IgG (H+L) used at 1/2500 dilution.

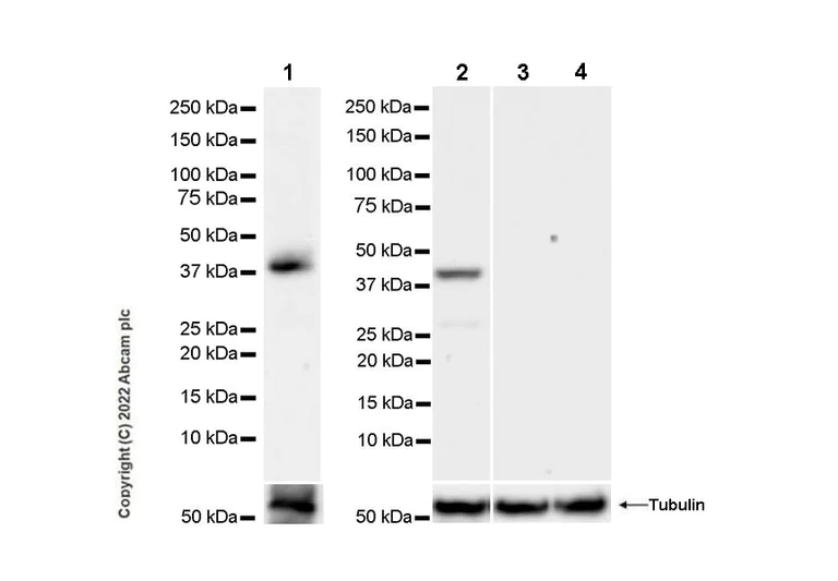
Western blot - Anti-SPON2 antibody [EPR25828A-87] (AB302897)
  • WB

Supplier Data

Western blot - Anti-SPON2 antibody [EPR25828A-87] (AB302897)

Blocking and diluting buffer and concentration : 5% NFDM/TBST Low expression : PC-3, DU 145 (PMID : 22615945 ) Lysate in lane1 was freshly made and used for Western blotting immediately to minimize protein degradation. The band beneath the target band (40kDa) in Lane 2 is likely to be degraded target fragments. Exposure time : Lane 1 : 81 seconds Lane 2-4 : 37 seconds

All lanes:

Western blot - Anti-SPON2 antibody [EPR25828A-87] (ab302897) at 1/1000 dilution

Lane 1:

LNCaP (human prostate carcinoma epithelial cell), whole cell lysate at 10 µg

Lane 2:

LNCaP whole cell lysate at 20 µg

Lane 3:

PC-3 (human prostate adenocarcinoma epithelial cell), whole cell lysate at 20 µg

Lane 4:

DU145 (human prostate carcinoma epithelial cell), whole cell lysate at 20 µg

Secondary

All lanes:

Western blot - Goat Anti-Rabbit IgG H&L (HRP) (<a href='/en-us/products/secondary-antibodies/goat-rabbit-igg-h-l-hrp-ab97051'>ab97051</a>) at 1/100000 dilution

Observed band size: 40 kDa

false

  • Carrier free

    Anti-SPON2 antibody [EPR25828A-87] - BSA and Azide free

Key facts

Host species

Rabbit

Clonality

Monoclonal

Clone number

EPR25828A-87

Isotype

IgG

Carrier free

No

Reacts with

Human

Applications

Flow Cyt (Intra), I-ELISA, ICC/IF, WB

applications

Immunogen

The exact immunogen used to generate this antibody is proprietary information.

Reactivity data

{ "title": "Reactivity Data", "filters": { "stats": ["", "Species", "Dilution Info", "Notes"], "tabs": { "all-applications": {"fullname" : "All Applications", "shortname": "All Applications"}, "WB" : {"fullname" : "Western blot", "shortname":"WB"}, "IHCP" : {"fullname" : "Immunohistochemistry (Formalin/PFA-fixed paraffin-embedded sections)", "shortname":"IHC-P"}, "ICCIF" : {"fullname" : "Immunocytochemistry/ Immunofluorescence", "shortname":"ICC/IF"}, "FlowCytIntra" : {"fullname" : "Flow Cytometry (Intracellular)", "shortname":"Flow Cyt (Intra)"}, "IP" : {"fullname" : "Immunoprecipitation", "shortname":"IP"}, "IELISA" : {"fullname" : "Indirect ELISA", "shortname":"I-ELISA"} }, "product-promise": { "all": "all", "testedAndGuaranteed": "tested", "guaranteed": "expected", "predicted": "predicted", "notRecommended": "not-recommended" } }, "values": { "Human": { "WB-species-checked": "testedAndGuaranteed", "WB-species-dilution-info": "1/1000", "WB-species-notes": "<p></p>", "IHCP-species-checked": "notRecommended", "IHCP-species-dilution-info": "", "IHCP-species-notes": "<p></p> Perform heat-mediated antigen retrieval with Tris/EDTA buffer pH 9.0 before commencing with IHC staining protocol.", "ICCIF-species-checked": "testedAndGuaranteed", "ICCIF-species-dilution-info": "1/50", "ICCIF-species-notes": "<p></p>", "FlowCytIntra-species-checked": "testedAndGuaranteed", "FlowCytIntra-species-dilution-info": "1/50", "FlowCytIntra-species-notes": "<p></p>", "IP-species-checked": "notRecommended", "IP-species-dilution-info": "", "IP-species-notes": "<p></p>", "IELISA-species-checked": "testedAndGuaranteed", "IELISA-species-dilution-info": "1000 ng/mL", "IELISA-species-notes": "<p></p>" }, "Mouse": { "WB-species-checked": "notRecommended", "WB-species-dilution-info": "", "WB-species-notes": "<p></p>", "IHCP-species-checked": "notRecommended", "IHCP-species-dilution-info": "", "IHCP-species-notes": "<p></p> Perform heat-mediated antigen retrieval with Tris/EDTA buffer pH 9.0 before commencing with IHC staining protocol.", "ICCIF-species-checked": "notRecommended", "ICCIF-species-dilution-info": "", "ICCIF-species-notes": "", "FlowCytIntra-species-checked": "notRecommended", "FlowCytIntra-species-dilution-info": "", "FlowCytIntra-species-notes": "", "IP-species-checked": "notRecommended", "IP-species-dilution-info": "", "IP-species-notes": "", "IELISA-species-checked": "notRecommended", "IELISA-species-dilution-info": "", "IELISA-species-notes": "" }, "Rat": { "WB-species-checked": "notRecommended", "WB-species-dilution-info": "", "WB-species-notes": "", "IHCP-species-checked": "notRecommended", "IHCP-species-dilution-info": "", "IHCP-species-notes": "<p></p> Perform heat-mediated antigen retrieval with Tris/EDTA buffer pH 9.0 before commencing with IHC staining protocol.", "ICCIF-species-checked": "notRecommended", "ICCIF-species-dilution-info": "", "ICCIF-species-notes": "", "FlowCytIntra-species-checked": "notRecommended", "FlowCytIntra-species-dilution-info": "", "FlowCytIntra-species-notes": "", "IP-species-checked": "notRecommended", "IP-species-dilution-info": "", "IP-species-notes": "", "IELISA-species-checked": "notRecommended", "IELISA-species-dilution-info": "", "IELISA-species-notes": "" } } }

Product details

Patented technology
Our RabMAb® technology is a patented hybridoma-based technology for making rabbit monoclonal antibodies. For details on our patents, please refer to RabMAb® patents.

What are the advantages of a recombinant monoclonal antibody?
This product is a recombinant monoclonal antibody, which offers several advantages including:

  • - High batch-to-batch consistency and reproducibility
  • - Improved sensitivity and specificity
  • - Long-term security of supply
  • - Animal-free batch production

For more information, read more on recombinant antibodies.

Properties and storage information

Form
Liquid
Purification technique
Affinity purification Protein A
Storage buffer
pH: 7.2 - 7.4 Preservative: 0.01% Sodium azide Constituents: PBS, 40% Glycerol (glycerin, glycerine), 0.05% BSA
Shipped at conditions
Blue Ice
Appropriate short-term storage duration
1-2 weeks
Appropriate short-term storage conditions
+4°C
Appropriate long-term storage conditions
-20°C
Aliquoting information
Upon delivery aliquot
Storage information
Avoid freeze / thaw cycle

Product protocols

For this product, it's our understanding that no specific protocols are required. You can visit:

Target data

Cell adhesion protein that promotes adhesion and outgrowth of hippocampal embryonic neurons. Binds directly to bacteria and their components and functions as an opsonin for macrophage phagocytosis of bacteria. Essential in the initiation of the innate immune response and represents a unique pattern-recognition molecule in the ECM for microbial pathogens (By similarity). Binds bacterial lipopolysaccharide (LPS).
See full target information SPON2

Publications (1)

Recent publications for all applications. Explore the full list and refine your search

The Kaohsiung journal of medical sciences 41:e70007 PubMed40066751

2025

PSMD14 Transcriptionally Activated by MEF2A Promotes Pancreatic Cancer Development by Upregulating SPON2 Expression.

Applications

Unspecified application

Species

Unspecified reactive species

Yun-He Hao,Cheng-Ru Yang,Wu-Jiang Shi,Xiang-Yu Zhong
View all publications

Product promise

We are committed to supporting your work with high-quality reagents, and we're here for you every step of the way. In the unlikely event that one of our products does not perform as expected, you're protected by our Product Promise.
For full details, please see our Terms & Conditions

Please note: All products are 'FOR RESEARCH USE ONLY. NOT FOR USE IN DIAGNOSTIC OR THERAPEUTIC PROCEDURES'.

For licensing inquiries, please contact partnerships@abcam.com