JavaScript is disabled in your browser. Please enable JavaScript to view this website.
AB157194

Anti-SPR antibody [EPR9290]

4

(1 Review)

|

(4 Publications)

Rabbit Recombinant Monoclonal SPR antibody. Suitable for IHC-P, IP, WB, ICC/IF, Flow Cyt (Intra) and reacts with Human samples. Cited in 4 publications.

View Alternative Names

Sepiapterin reductase, SPR

11 Images
Immunocytochemistry/ Immunofluorescence - Anti-SPR antibody [EPR9290] (AB157194)
  • ICC/IF

Supplier Data

Immunocytochemistry/ Immunofluorescence - Anti-SPR antibody [EPR9290] (AB157194)

Immunofluorescent analysis of HeLa cells labeling TPST2 with ab157194 at 1/100 dilution.

Immunohistochemistry (Formalin/PFA-fixed paraffin-embedded sections) - Anti-SPR antibody [EPR9290] (AB157194)
  • IHC-P

Unknown

Immunohistochemistry (Formalin/PFA-fixed paraffin-embedded sections) - Anti-SPR antibody [EPR9290] (AB157194)

ab157194 showing +ve staining in Human colonic adenocarcinoma.

Perform heat mediated antigen retrieval before commencing with IHC staining protocol.

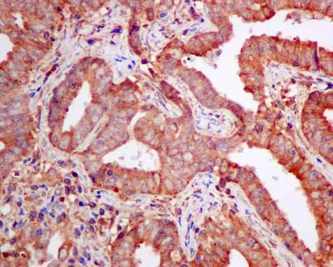
Immunohistochemistry (Formalin/PFA-fixed paraffin-embedded sections) - Anti-SPR antibody [EPR9290] (AB157194)
  • IHC-P

Unknown

Immunohistochemistry (Formalin/PFA-fixed paraffin-embedded sections) - Anti-SPR antibody [EPR9290] (AB157194)

ab157194 showing +ve staining in Human endometrial carcinoma.

Perform heat mediated antigen retrieval before commencing with IHC staining protocol.

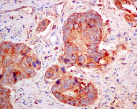
Immunohistochemistry (Formalin/PFA-fixed paraffin-embedded sections) - Anti-SPR antibody [EPR9290] (AB157194)
  • IHC-P

Unknown

Immunohistochemistry (Formalin/PFA-fixed paraffin-embedded sections) - Anti-SPR antibody [EPR9290] (AB157194)

Immunohistochemical analysis of paraffin-eEmbedded Human thyroid gland carcinoma tissue labeling TPST2 with ab157194 at 1/100 dilution.

Perform heat mediated antigen retrieval before commencing with IHC staining protocol.

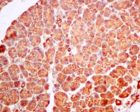
Immunohistochemistry (Formalin/PFA-fixed paraffin-embedded sections) - Anti-SPR antibody [EPR9290] (AB157194)
  • IHC-P

Unknown

Immunohistochemistry (Formalin/PFA-fixed paraffin-embedded sections) - Anti-SPR antibody [EPR9290] (AB157194)

ab157194 showing +ve staining in Human normal pancreas.

Perform heat mediated antigen retrieval before commencing with IHC staining protocol.

Immunohistochemistry (Formalin/PFA-fixed paraffin-embedded sections) - Anti-SPR antibody [EPR9290] (AB157194)
  • IHC-P

Unknown

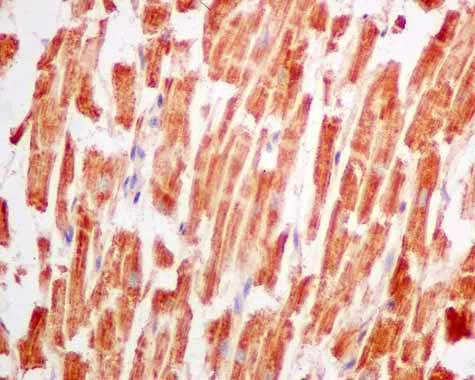
Immunohistochemistry (Formalin/PFA-fixed paraffin-embedded sections) - Anti-SPR antibody [EPR9290] (AB157194)

ab157194 showing +ve staining in Human heart.

Perform heat mediated antigen retrieval before commencing with IHC staining protocol.

Flow Cytometry (Intracellular) - Anti-SPR antibody [EPR9290] (AB157194)
  • Flow Cyt (Intra)

Unknown

Flow Cytometry (Intracellular) - Anti-SPR antibody [EPR9290] (AB157194)

Intracellular Intracellular Flow Cytometic analysis of permeabilized MCF7 cells labeling TPST2 with ab157194 at 1/100 (red) or a rabbit IgG (negative) (green).

Immunoprecipitation - Anti-SPR antibody [EPR9290] (AB157194)
  • IP

Unknown

Immunoprecipitation - Anti-SPR antibody [EPR9290] (AB157194)

Detection of TPST2 by Western Blot of Immunprecipitate. MCF7 cell lysate immunoprecipitated using ab157194 at 1/10 dilution.

All lanes:

Immunoprecipitation - Anti-SPR antibody [EPR9290] (ab157194)

Predicted band size: 28 kDa

false

Western blot - Anti-SPR antibody [EPR9290] (AB157194)
  • WB

Unknown

Western blot - Anti-SPR antibody [EPR9290] (AB157194)

All lanes:

Western blot - Anti-SPR antibody [EPR9290] (ab157194) at 1/1000 dilution

Lane 1:

A549 cell lysate at 10 µg

Lane 2:

MCF7 cell lysate at 10 µg

Lane 3:

HepG2 cell lysate at 10 µg

Lane 4:

HeLa cell lysate at 10 µg

Secondary

All lanes:

Goat anti-rabbit HRP at 1/2000 dilution

Predicted band size: 28 kDa

false

Western blot - Anti-SPR antibody [EPR9290] (AB157194)
  • WB

Lab

Western blot - Anti-SPR antibody [EPR9290] (AB157194)

Lanes 1-3 : Merged signal (red and green). Green - ab157194 observed at 26 kDa. Red - loading control, ab8245 observed at 37 kDa.

ab157194 Anti-SPR antibody [EPR9290] was shown to specifically react with SPR in wild-type HeLa cells. Loss of signal was observed when knockout cell line ab264681 (knockout cell lysate ab258700) was used. Wild-type and SPR knockout samples were subjected to SDS-PAGE. ab157194 and Anti-GAPDH antibody [6C5] - Loading Control (ab8245) were incubated overnight at 4°C at 1 in 1000 dilution and 1 in 20000 dilution respectively. Blots were developed with Goat anti-Rabbit IgG H&L (IRDye® 800CW) preadsorbed (ab216773) and Goat anti-Mouse IgG H&L (IRDye® 680RD) preadsorbed (ab216776) secondary antibodies at 1 in 10000 dilution for 1 hour at room temperature before imaging.

All lanes:

Western blot - Anti-SPR antibody [EPR9290] (ab157194) at 1/1000 dilution

Lane 1:

Wild-type HeLa cell lysate at 20 µg

Lane 2:

SPR knockout HeLa cell lysate at 20 µg

Lane 2:

Western blot - Human SPR knockout HeLa cell line (<a href='/en-us/products/cell-lines/human-spr-knockout-hela-cell-line-ab264681'>ab264681</a>)

Lane 3:

MCF7 cell lysate at 20 µg

Predicted band size: 28 kDa

Observed band size: 26 kDa

false

Western blot - Anti-SPR antibody [EPR9290] (AB157194)
  • WB

Unknown

Western blot - Anti-SPR antibody [EPR9290] (AB157194)

Lanes 1-3 : Merged signal (red and green). Green - ab157194 observed at 26 kDa. Red - loading control, ab8245 observed at 37 kDa.

ab157194 Anti-SPR antibody [EPR9290] was shown to specifically react with SPR in wild-type HeLa cells. Loss of signal was observed when knockout cell line ab264681 (knockout cell lysate ab258700) was used. Wild-type and SPR knockout samples were subjected to SDS-PAGE. ab157194 and Anti-GAPDH antibody [6C5] - Loading Control (ab8245) were incubated overnight at 4°C at 1 in 1000 dilution and 1 in 20000 dilution respectively. Blots were developed with Goat anti-Rabbit IgG H&L (IRDye® 800CW) preadsorbed (ab216773) and Goat anti-Mouse IgG H&L (IRDye® 680RD) preadsorbed (ab216776) secondary antibodies at 1 in 10000 dilution for 1 hour at room temperature before imaging.

All lanes:

Western blot - Anti-SPR antibody [EPR9290] (ab157194) at 1/1000 dilution

Lane 1:

Wild-type HeLa cell lysate at 20 µg

Lane 2:

SPR knockout HeLa cell lysate at 20 µg

Lane 3:

MCF7 cell lysate at 20 µg

Predicted band size: 28 kDa

Observed band size: 26 kDa

false

  • Carrier free

    Anti-SPR antibody [EPR9290] - BSA and Azide free

Key facts

Host species

Rabbit

Clonality

Monoclonal

Clone number

EPR9290

Isotype

IgG

Carrier free

No

Reacts with

Human

Applications

WB, Flow Cyt (Intra), IP, IHC-P, ICC/IF

applications

Immunogen

The exact immunogen used to generate this antibody is proprietary information.

Reactivity data

{ "title": "Reactivity Data", "filters": { "stats": ["", "Species", "Dilution Info", "Notes"], "tabs": { "all-applications": {"fullname" : "All Applications", "shortname": "All Applications"}, "IHCP" : {"fullname" : "Immunohistochemistry (Formalin/PFA-fixed paraffin-embedded sections)", "shortname":"IHC-P"}, "IP" : {"fullname" : "Immunoprecipitation", "shortname":"IP"}, "WB" : {"fullname" : "Western blot", "shortname":"WB"}, "ICCIF" : {"fullname" : "Immunocytochemistry/ Immunofluorescence", "shortname":"ICC/IF"}, "FlowCytIntra" : {"fullname" : "Flow Cytometry (Intracellular)", "shortname":"Flow Cyt (Intra)"} }, "product-promise": { "all": "all", "testedAndGuaranteed": "tested", "guaranteed": "expected", "predicted": "predicted", "notRecommended": "not-recommended" } }, "values": { "Human": { "IHCP-species-checked": "testedAndGuaranteed", "IHCP-species-dilution-info": "1/100 - 1/250", "IHCP-species-notes": "<p></p> Perform heat-mediated antigen retrieval before commencing with IHC staining protocol.", "IP-species-checked": "testedAndGuaranteed", "IP-species-dilution-info": "1/10 - 1/100", "IP-species-notes": "<p></p>", "WB-species-checked": "testedAndGuaranteed", "WB-species-dilution-info": "1/1000 - 1/10000", "WB-species-notes": "<p></p>", "ICCIF-species-checked": "testedAndGuaranteed", "ICCIF-species-dilution-info": "1/100 - 1/250", "ICCIF-species-notes": "<p></p>", "FlowCytIntra-species-checked": "testedAndGuaranteed", "FlowCytIntra-species-dilution-info": "1/100 - 1/500", "FlowCytIntra-species-notes": "<p><a href='/en-us/products/primary-antibodies/rabbit-igg-monoclonal-epr25a-isotype-control-ab172730'>ab172730</a> - Rabbit monoclonal IgG, is suitable for use as an isotype control with this antibody.</p>" } } }

Product details

Species reactivity
Mouse, Rat: We have preliminary internal testing data to indicate this antibody may not react with these species.
Please contact us for more information.

Patented technology
Our RabMAb® technology is a patented hybridoma-based technology for making rabbit monoclonal antibodies. For details on our patents, please refer to RabMAb® patents.

What are the advantages of a recombinant monoclonal antibody?
This product is a recombinant monoclonal antibody, which offers several advantages including:

  • - High batch-to-batch consistency and reproducibility
  • - Improved sensitivity and specificity
  • - Long-term security of supply
  • - Animal-free batch production

For more information, read more on recombinant antibodies.

Properties and storage information

Form
Liquid
Purification technique
Affinity purification Protein A
Storage buffer
pH: 7.2 - 7.4 Preservative: 0.01% Sodium azide Constituents: PBS, 40% Glycerol (glycerin, glycerine), 0.05% BSA
Shipped at conditions
Blue Ice
Appropriate short-term storage conditions
+4°C
Appropriate long-term storage conditions
-20°C

Product protocols

For this product, it's our understanding that no specific protocols are required. You can visit:

Target data

Catalyzes the final one or two reductions in tetra-hydrobiopterin biosynthesis to form 5,6,7,8-tetrahydrobiopterin.
See full target information Sepiapterin reductase

Publications (4)

Recent publications for all applications. Explore the full list and refine your search

Redox biology 79:103447 PubMed39642597

2024

Tetrahydrobiopterin as a rheostat of cell resistance to oxidant injury.

Applications

Unspecified application

Species

Unspecified reactive species

R Steven Traeger,James Woodcock,Sidhartha Tan,Zhongjie Shi,Jeannette Vasquez-Vivar

Cell death & disease 11:248 PubMed32312975

2020

Sepiapterin reductase promotes hepatocellular carcinoma progression via FoxO3a/Bim signaling in a nonenzymatic manner.

Applications

Unspecified application

Species

Unspecified reactive species

Yao Wu,Hongzhi Du,Meixiao Zhan,Hongxv Wang,Peng Chen,Danyu Du,Xinyi Liu,Xingxv Huang,Pengcheng Ma,Dezheng Peng,Li Sun,Shengtao Yuan,Jian Ding,Ligong Lu,Jingwei Jiang

Biochemical pharmacology 162:237-249 PubMed30639262

2019

Anti-tumor effect of sulfasalazine in neuroblastoma.

Applications

Unspecified application

Species

Unspecified reactive species

Marie R Mooney,Dirk Geerts,Eric J Kort,André S Bachmann

eLife 7: PubMed29809136

2018

Semisynthetic biosensors for mapping cellular concentrations of nicotinamide adenine dinucleotides.

Applications

Unspecified application

Species

Unspecified reactive species

Olivier Sallin,Luc Reymond,Corentin Gondrand,Fabio Raith,Birgit Koch,Kai Johnsson
View all publications

Product promise

We are committed to supporting your work with high-quality reagents, and we're here for you every step of the way. In the unlikely event that one of our products does not perform as expected, you're protected by our Product Promise.
For full details, please see our Terms & Conditions

Please note: All products are 'FOR RESEARCH USE ONLY. NOT FOR USE IN DIAGNOSTIC OR THERAPEUTIC PROCEDURES'.

For licensing inquiries, please contact partnerships@abcam.com