JavaScript is disabled in your browser. Please enable JavaScript to view this website.
AB85670

Anti-Spry-2 antibody

3

(3 Reviews)

|

(10 Publications)

Rabbit Polyclonal Spry-2 antibody. Suitable for IHC-P, WB, ICC/IF and reacts with Human, Rat samples. Cited in 10 publications.

View Alternative Names

Protein sprouty homolog 2, Spry-2, SPRY2

3 Images
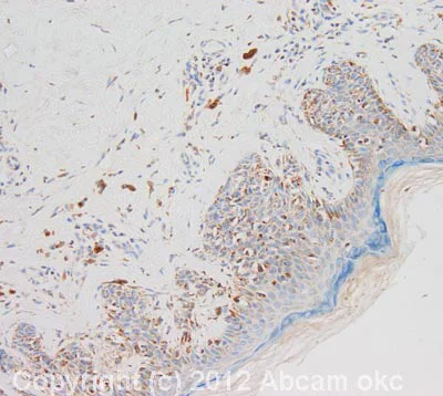
Immunohistochemistry (Formalin/PFA-fixed paraffin-embedded sections) - Anti-Spry-2 antibody (AB85670)
  • IHC-P

Unknown

Immunohistochemistry (Formalin/PFA-fixed paraffin-embedded sections) - Anti-Spry-2 antibody (AB85670)

IHC image of Spry-2 staining in human skin melanoma formalin fixed paraffin embedded tissue section, performed on a Leica BondTM system using the standard protocol F. The section was pre-treated using heat mediated antigen retrieval with sodium citrate buffer (pH6, epitope retrieval solution 1) for 20 mins. The section was then incubated with ab85670, 1μg/ml, for 15 mins at room temperature and detected using an HRP conjugated compact polymer system. DAB was used as the chromogen. The section was then counterstained with haematoxylin and mounted with DPX.

For other IHC staining systems (automated and non-automated) customers should optimize variable parameters such as antigen retrieval conditions, primary antibody concentration and antibody incubation times.

Immunocytochemistry/ Immunofluorescence - Anti-Spry-2 antibody (AB85670)
  • ICC/IF

Unknown

Immunocytochemistry/ Immunofluorescence - Anti-Spry-2 antibody (AB85670)

ICC/IF image of ab85670 stained PC12 cells. The cells were 4% PFA fixed (10 min) and then incubated in 1%BSA / 10% normal goat serum / 0.3M glycine in 0.1% PBS-Tween for 1h to permeabilise the cells and block non-specific protein-protein interactions. The cells were then incubated with the antibody (ab85670, 10µg/ml) overnight at +4°C. The secondary antibody (green) was Alexa Fluor® 488 goat anti-rabbit IgG (H+L) used at a 1/1000 dilution for 1h. Alexa Fluor® 594 WGA was used to label plasma membranes (red) at a 1/200 dilution for 1h. DAPI was used to stain the cell nuclei (blue) at a concentration of 1.43µM. This antibody also gave a positive result in 100% methanol fixed (5 min) PC12 cells at 10µg/ml.

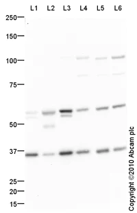
Western blot - Anti-Spry-2 antibody (AB85670)
  • WB

Unknown

Western blot - Anti-Spry-2 antibody (AB85670)

All lanes:

Western blot - Anti-Spry-2 antibody (ab85670) at 1 µg/mL

Lane 1:

Human brain tissue lysate - total protein (<a href='/en-us/products/unavailable/human-brain-tissue-lysate-total-protein-ab29466'>ab29466</a>) at 10 µg

Lane 2:

Lung (Human) Tissue Lysate at 10 µg

Lane 3:

Human heart tissue lysate - total protein (<a href='/en-us/products/unavailable/human-heart-tissue-lysate-total-protein-ab29431'>ab29431</a>) at 10 µg

Lane 4:

Jurkat (Human T cell lymphoblast-like cell line) Whole Cell Lysate at 10 µg

Lane 5:

Caco 2 (Human colonic carcinoma cell line) Whole Cell Lysate at 10 µg

Lane 6:

SW480 (Human colon adenocarcinoma cell line) Whole Cell Lysate at 10 µg

Secondary

All lanes:

Western blot - Goat Anti-Rabbit IgG H&L (HRP) preadsorbed (<a href='/en-us/products/secondary-antibodies/goat-rabbit-igg-h-l-hrp-preadsorbed-ab97080'>ab97080</a>) at 1/5000 dilution

Predicted band size: 35 kDa

Observed band size: 100 kDa,35 kDa,55 kDa

true

Exposure time: 2min

Key facts

Host species

Rabbit

Clonality

Polyclonal

Isotype

IgG

Carrier free

No

Reacts with

Rat, Human

Applications

IHC-P, ICC/IF, WB

applications

Immunogen

The exact immunogen used to generate this antibody is proprietary information.

Specificity

From Mar 2024, QC testing of replenishment batches of this polyclonal changed. All tested and expected application and reactive species combinations are still covered by our Abcam product promise. However, we no longer test all applications. For more information on a specific batch, please contact our Scientific Support who will be happy to help. You may also be interested in our alternative recombinant antibody, ab180527.

Reactivity data

{ "title": "Reactivity Data", "filters": { "stats": ["", "Species", "Dilution Info", "Notes"], "tabs": { "all-applications": {"fullname" : "All Applications", "shortname": "All Applications"}, "IHCP" : {"fullname" : "Immunohistochemistry (Formalin/PFA-fixed paraffin-embedded sections)", "shortname":"IHC-P"}, "WB" : {"fullname" : "Western blot", "shortname":"WB"}, "ICCIF" : {"fullname" : "Immunocytochemistry/ Immunofluorescence", "shortname":"ICC/IF"} }, "product-promise": { "all": "all", "testedAndGuaranteed": "tested", "guaranteed": "expected", "predicted": "predicted", "notRecommended": "not-recommended" } }, "values": { "Human": { "IHCP-species-checked": "guaranteed", "IHCP-species-dilution-info": "1 µg/mL", "IHCP-species-notes": "<p></p> Perform heat-mediated antigen retrieval before commencing with IHC staining protocol.", "WB-species-checked": "testedAndGuaranteed", "WB-species-dilution-info": "1 µg/mL", "WB-species-notes": "<p></p>", "ICCIF-species-checked": "guaranteed", "ICCIF-species-dilution-info": "", "ICCIF-species-notes": "<p></p>" }, "Mouse": { "IHCP-species-checked": "predicted", "IHCP-species-dilution-info": "", "IHCP-species-notes": "", "WB-species-checked": "predicted", "WB-species-dilution-info": "", "WB-species-notes": "", "ICCIF-species-checked": "predicted", "ICCIF-species-dilution-info": "", "ICCIF-species-notes": "" }, "Rat": { "IHCP-species-checked": "guaranteed", "IHCP-species-dilution-info": "", "IHCP-species-notes": "<p></p>", "WB-species-checked": "guaranteed", "WB-species-dilution-info": "", "WB-species-notes": "<p></p>", "ICCIF-species-checked": "guaranteed", "ICCIF-species-dilution-info": "10 µg/mL", "ICCIF-species-notes": "<p></p>" }, "Cynomolgus monkey": { "IHCP-species-checked": "predicted", "IHCP-species-dilution-info": "", "IHCP-species-notes": "", "WB-species-checked": "predicted", "WB-species-dilution-info": "", "WB-species-notes": "", "ICCIF-species-checked": "predicted", "ICCIF-species-dilution-info": "", "ICCIF-species-notes": "" }, "Orangutan": { "IHCP-species-checked": "predicted", "IHCP-species-dilution-info": "", "IHCP-species-notes": "", "WB-species-checked": "predicted", "WB-species-dilution-info": "", "WB-species-notes": "", "ICCIF-species-checked": "predicted", "ICCIF-species-dilution-info": "", "ICCIF-species-notes": "" } } }

Properties and storage information

Form
Liquid
Purification technique
Affinity purification Immunogen
Storage buffer
pH: 7.4 Preservative: 0.02% Sodium azide Constituents: PBS
Shipped at conditions
Blue Ice
Appropriate short-term storage duration
1-2 weeks
Appropriate short-term storage conditions
+4°C
Appropriate long-term storage conditions
-20°C
Aliquoting information
Upon delivery aliquot
Storage information
Avoid freeze / thaw cycle

Supplementary information

This supplementary information is collated from multiple sources and compiled automatically.

Spry-2 also known as Sprouty homolog 2 is an intracellular protein involved in the regulation of signaling pathways. It has a molecular weight of approximately 35 kDa. This protein expresses in tissues such as the lung kidney and colon. Mainly Spry-2 acts through interaction with other proteins to inhibit or modulate various cellular processes such as growth and differentiation.
Biological function summary

Sprouty homolog 2 functions by mediating negative feedback in signaling pathways. It plays a role in controlling cellular responses to growth factors. Although not part of a large protein complex it interacts with specific proteins to exert its biological effects. For instance Spry-2 interacts with components of the receptor tyrosine kinase signaling pathway. This interaction helps fine-tune cell signaling responses preventing excessive cell proliferation.

Pathways

Sprouty homolog 2 acts within the MAPK/ERK signaling pathway and the fibroblast growth factor (FGF) pathway. In these pathways Spry-2 functions as an inhibitor thereby maintaining proper cellular regulation. It interacts with proteins like Raf and inhibits their activities ensuring balanced signal transduction. In the MAPK/ERK pathway this regulation by Spry-2 helps control cellular responses to external stimuli.

Abnormalities in Sprouty homolog 2 function relate to cancer and congenital anomalies. Altered expression or mutations in Spry-2 have associations with colorectal cancer partly due to its role in cell signaling regulation. Spry-2 connects to proteins like Ras known for their involvement in oncogenic pathways. Similarly variations in Spry-2 activity can lead to developmental disorders highlighting its importance in normal cellular function.

Product protocols

For this product, it's our understanding that no specific protocols are required. You can visit:

Target data

Antagonist of fibroblast growth factor (FGF) pathways via inhibition of FGF-mediated phosphorylation of ERK1/2 (By similarity). Thereby acts as an antagonist of FGF-induced retinal lens fiber differentiation, may inhibit limb bud outgrowth and may negatively modulate respiratory organogenesis (By similarity). Inhibits TGFB-induced epithelial-to-mesenchymal transition in retinal lens epithelial cells (By similarity). Inhibits CBL/C-CBL-mediated EGFR ubiquitination (PubMed : 17974561).
See full target information Protein sprouty homolog 2

Publications (10)

Recent publications for all applications. Explore the full list and refine your search

Experimental & molecular medicine 54:1076-1085 PubMed35915222

2022

MeCP2 inhibits ischemic neuronal injury by enhancing methylation of the FOXO3a promoter to repress the SPRY2-ZEB1 axis.

Applications

Unspecified application

Species

Unspecified reactive species

Lei Meng,Bin Feng,Liming Luan,Zhihao Fang,Guangyu Zhao

Molecular cell 82:2443-2457.e7 PubMed35613620

2022

ARAF protein kinase activates RAS by antagonizing its binding to RASGAP NF1.

Applications

Unspecified application

Species

Unspecified reactive species

Wenjing Su,Radha Mukherjee,Rona Yaeger,Jieun Son,Jianing Xu,Na Na,Neilawattie Merna Timaul,Jaclyn Hechtman,Viktoriya Paroder,Mika Lin,Marissa Mattar,Juan Qiu,Qing Chang,Huiyong Zhao,Jonathan Zhang,Megan Little,Yuta Adachi,Sae-Won Han,Barry S Taylor,Hiromichi Ebi,Omar Abdel-Wahab,Elisa de Stanchina,Charles M Rudin,Pasi A Jänne,Frank McCormick,Zhan Yao,Neal Rosen

Cell death & disease 12:608 PubMed34117217

2021

K63-linked ubiquitination of DYRK1A by TRAF2 alleviates Sprouty 2-mediated degradation of EGFR.

Applications

Unspecified application

Species

Unspecified reactive species

Pengshan Zhang,Zhe Zhang,Yinkun Fu,Ying Zhang,Michael P Washburn,Laurence Florens,Min Wu,Chen Huang,Zhaoyuan Hou,Man Mohan

Clinical science (London, England : 1979) 133:1955-1975 PubMed31387936

2019

BMSC-derived exosomes carrying microRNA-122-5p promote proliferation of osteoblasts in osteonecrosis of the femoral head.

Applications

Unspecified application

Species

Unspecified reactive species

Wen Liao,Yu Ning,Hai-Jia Xu,Wen-Zhong Zou,Jing Hu,Xiang-Zhong Liu,Yi Yang,Zhang-Hua Li

PLoS genetics 15:e1008108 PubMed31017896

2019

The Noonan Syndrome-linked Raf1L613V mutation drives increased glial number in the mouse cortex and enhanced learning.

Applications

Unspecified application

Species

Unspecified reactive species

Michael C Holter,Lauren T Hewitt,Stephanie V Koebele,Jessica M Judd,Lei Xing,Heather A Bimonte-Nelson,Cheryl D Conrad,Toshiyuki Araki,Benjamin G Neel,William D Snider,Jason M Newbern

Bioscience reports 39: PubMed30837325

2019

Increased expression of miR-27 predicts poor prognosis and promotes tumorigenesis in human multiple myeloma.

Applications

Unspecified application

Species

Unspecified reactive species

Feifei Che,Chunqian Wan,Jingying Dai,Jiao Chen

Biochemical and biophysical research communication 507:297-303 PubMed30442367

2018

Epidermal growth factor induced macropinocytosis directs branch formation of lung epithelial cells.

Applications

Unspecified application

Species

Unspecified reactive species

Masaya Hagiwara,Ikuhiko Nakase

Oncology letters 15:8433-8441 PubMed29805579

2018

microRNA-23a promotes cell growth and metastasis in gastric cancer via targeting SPRY2-mediated ERK signaling.

Applications

Unspecified application

Species

Unspecified reactive species

Yingjia Li,Hui Chen,Pengfei She,Ti Chen,Lihua Chen,Jinling Yuan,Botao Jiang

Developmental cell 42:616-625.e8 PubMed28890072

2017

Large-Scale Quantitative Proteomics Identifies the Ubiquitin Ligase Nedd4-1 as an Essential Regulator of Liver Regeneration.

Applications

Unspecified application

Species

Unspecified reactive species

Marc Bachofner,Tobias Speicher,Roman L Bogorad,Sukalp Muzumdar,Carina P Derrer,Fabrizio Hürlimann,Friederike Böhm,Paolo Nanni,Tobias Kockmann,Ekaterina Kachaylo,Michael Meyer,Susagna Padrissa-Altés,Rolf Graf,Daniel G Anderson,Victor Koteliansky,Ulrich Auf dem Keller,Sabine Werner

Tissue engineering. Part C, Methods 23:323-332 PubMed28471293

2017

In Vitro Experimental Model for the Long-Term Analysis of Cellular Dynamics During Bronchial Tree Development from Lung Epithelial Cells.

Applications

IHC-P

Species

Human

Masaya Hagiwara,Naomichi Maruta,Moegi Marumoto
View all publications

Product promise

We are committed to supporting your work with high-quality reagents, and we're here for you every step of the way. In the unlikely event that one of our products does not perform as expected, you're protected by our Product Promise.
For full details, please see our Terms & Conditions

Please note: All products are 'FOR RESEARCH USE ONLY. NOT FOR USE IN DIAGNOSTIC OR THERAPEUTIC PROCEDURES'.

For licensing inquiries, please contact partnerships@abcam.com