JavaScript is disabled in your browser. Please enable JavaScript to view this website.
AB244429

Anti-SPT5 antibody

Be the first to review this product! Submit a review

|

(1 Publication)

Rabbit Polyclonal SPT5 antibody. Suitable for IHC-P, WB, ICC/IF and reacts with Human, Rat, Mouse samples. Cited in 1 publication. Immunogen corresponding to Recombinant Fragment Protein within Human SUPT5H aa 900 to C-terminus.

View Alternative Names

SPT5, SPT5H, SUPT5H, Transcription elongation factor SPT5, hSPT5, DRB sensitivity-inducing factor 160 kDa subunit, DRB sensitivity-inducing factor large subunit, Tat-cotransactivator 1 protein, DSIF p160, DSIF large subunit, Tat-CT1 protein

5 Images
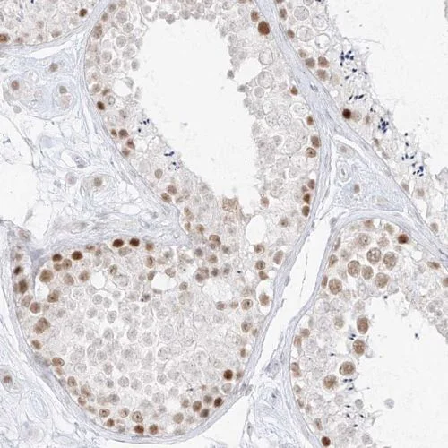
Immunohistochemistry (Formalin/PFA-fixed paraffin-embedded sections) - Anti-SPT5 antibody (AB244429)
  • IHC-P

Unknown

Immunohistochemistry (Formalin/PFA-fixed paraffin-embedded sections) - Anti-SPT5 antibody (AB244429)

Paraffin-embedded human testis tissue stained for SPT5 using ab244429 at 1/50 dilution in immunohistochemical analysis.

Immunohistochemistry (Formalin/PFA-fixed paraffin-embedded sections) - Anti-SPT5 antibody (AB244429)
  • IHC-P

Unknown

Immunohistochemistry (Formalin/PFA-fixed paraffin-embedded sections) - Anti-SPT5 antibody (AB244429)

Paraffin-embedded human pancreas tissue stained for SPT5 using ab244429 at 1/50 dilution in immunohistochemical analysis.

Immunocytochemistry/ Immunofluorescence - Anti-SPT5 antibody (AB244429)
  • ICC/IF

Unknown

Immunocytochemistry/ Immunofluorescence - Anti-SPT5 antibody (AB244429)

PFA-fixed, Triton X-100 permeabilized A431 (human epidermoid carcinoma cell line) cells stained for SPT5 (green) using ab244429 at 4 μg/ml in ICC/IF.

Western blot - Anti-SPT5 antibody (AB244429)
  • WB

Unknown

Western blot - Anti-SPT5 antibody (AB244429)

All lanes:

Western blot - Anti-SPT5 antibody (ab244429) at 0.4 µg/mL

All lanes:

RT4 (human urinary bladder cancer cell line) cell lysate

Predicted band size: 121 kDa

false

Western blot - Anti-SPT5 antibody (AB244429)
  • WB

Unknown

Western blot - Anti-SPT5 antibody (AB244429)

All lanes:

Western blot - Anti-SPT5 antibody (ab244429) at 0.4 µg/mL

Lane 1:

NIH/3T3 (mouse embyro fibroblast cell line) cell lysate

Lane 2:

NBT-II cell lysate

Predicted band size: 121 kDa

false

Key facts

Host species

Rabbit

Clonality

Polyclonal

Isotype

IgG

Carrier free

No

Reacts with

Mouse, Rat, Human

Applications

IHC-P, WB, ICC/IF

applications

Immunogen

Recombinant Fragment Protein within Human SUPT5H aa 900 to C-terminus. The exact immunogen used to generate this antibody is proprietary information.

O00267

Reactivity data

{ "title": "Reactivity Data", "filters": { "stats": ["", "Species", "Dilution Info", "Notes"], "tabs": { "all-applications": {"fullname" : "All Applications", "shortname": "All Applications"}, "IHCP" : {"fullname" : "Immunohistochemistry (Formalin/PFA-fixed paraffin-embedded sections)", "shortname":"IHC-P"}, "WB" : {"fullname" : "Western blot", "shortname":"WB"}, "ICCIF" : {"fullname" : "Immunocytochemistry/ Immunofluorescence", "shortname":"ICC/IF"} }, "product-promise": { "all": "all", "testedAndGuaranteed": "tested", "guaranteed": "expected", "predicted": "predicted", "notRecommended": "not-recommended" } }, "values": { "Human": { "IHCP-species-checked": "testedAndGuaranteed", "IHCP-species-dilution-info": "1/50 - 1/200", "IHCP-species-notes": "<p></p> Perform heat-mediated antigen retrieval with citrate buffer pH 6 before commencing with IHC staining protocol.", "WB-species-checked": "testedAndGuaranteed", "WB-species-dilution-info": "0.04-0.4 µg/mL", "WB-species-notes": "<p></p>", "ICCIF-species-checked": "testedAndGuaranteed", "ICCIF-species-dilution-info": "0.25-2 µg/mL", "ICCIF-species-notes": "<p>Fixation/Permeabilization: PFA/Triton X-100.</p>" }, "Mouse": { "IHCP-species-checked": "guaranteed", "IHCP-species-dilution-info": "", "IHCP-species-notes": "", "WB-species-checked": "testedAndGuaranteed", "WB-species-dilution-info": "0.04-0.4 µg/mL", "WB-species-notes": "<p></p>", "ICCIF-species-checked": "guaranteed", "ICCIF-species-dilution-info": "", "ICCIF-species-notes": "" }, "Rat": { "IHCP-species-checked": "guaranteed", "IHCP-species-dilution-info": "", "IHCP-species-notes": "", "WB-species-checked": "testedAndGuaranteed", "WB-species-dilution-info": "0.04-0.4 µg/mL", "WB-species-notes": "<p></p>", "ICCIF-species-checked": "guaranteed", "ICCIF-species-dilution-info": "", "ICCIF-species-notes": "" }, "Chicken": { "IHCP-species-checked": "predicted", "IHCP-species-dilution-info": "", "IHCP-species-notes": "", "WB-species-checked": "predicted", "WB-species-dilution-info": "", "WB-species-notes": "", "ICCIF-species-checked": "predicted", "ICCIF-species-dilution-info": "", "ICCIF-species-notes": "" }, "Orangutan": { "IHCP-species-checked": "predicted", "IHCP-species-dilution-info": "", "IHCP-species-notes": "", "WB-species-checked": "predicted", "WB-species-dilution-info": "", "WB-species-notes": "", "ICCIF-species-checked": "predicted", "ICCIF-species-dilution-info": "", "ICCIF-species-notes": "" } } }

Properties and storage information

Form
Liquid
Purification technique
Affinity purification Immunogen
Storage buffer
pH: 7.2 Preservative: 0.02% Sodium azide Constituents: PBS, 40% Glycerol (glycerin, glycerine)
Shipped at conditions
Blue Ice
Appropriate short-term storage duration
1-2 weeks
Appropriate short-term storage conditions
+4°C
Appropriate long-term storage conditions
-20°C
Aliquoting information
Upon delivery aliquot
Storage information
Avoid freeze / thaw cycle

Product protocols

For this product, it's our understanding that no specific protocols are required. You can visit:

Target data

Component of the DRB sensitivity-inducing factor complex (DSIF complex), which regulates mRNA processing and transcription elongation by RNA polymerase II (PubMed : 10075709, PubMed : 10199401, PubMed : 10421630, PubMed : 10757782, PubMed : 10912001, PubMed : 11112772, PubMed : 11553615, PubMed : 12653964, PubMed : 12718890, PubMed : 15136722, PubMed : 15380072, PubMed : 9450929, PubMed : 9857195). DSIF positively regulates mRNA capping by stimulating the mRNA guanylyltransferase activity of RNGTT/CAP1A (PubMed : 10075709, PubMed : 10421630, PubMed : 10757782, PubMed : 10912001, PubMed : 11112772, PubMed : 11553615, PubMed : 12653964, PubMed : 12718890, PubMed : 15136722, PubMed : 15380072, PubMed : 9450929, PubMed : 9857195). DSIF also acts cooperatively with the negative elongation factor complex (NELF complex) to enhance transcriptional pausing at sites proximal to the promoter (PubMed : 10075709, PubMed : 10199401, PubMed : 10757782, PubMed : 10912001, PubMed : 11112772, PubMed : 11553615, PubMed : 12653964, PubMed : 12718890, PubMed : 15136722, PubMed : 15380072, PubMed : 9450929, PubMed : 9857195). Transcriptional pausing may facilitate the assembly of an elongation competent RNA polymerase II complex (PubMed : 10075709, PubMed : 10199401, PubMed : 10421630, PubMed : 10757782, PubMed : 10912001, PubMed : 11112772, PubMed : 11553615, PubMed : 12653964, PubMed : 12718890, PubMed : 15136722, PubMed : 15380072, PubMed : 9450929, PubMed : 9857195). DSIF and NELF promote pausing by inhibition of the transcription elongation factor TFIIS/S-II (PubMed : 16214896). TFIIS/S-II binds to RNA polymerase II at transcription pause sites and stimulates the weak intrinsic nuclease activity of the enzyme (PubMed : 16214896). Cleavage of blocked transcripts by RNA polymerase II promotes the resumption of transcription from the new 3' terminus and may allow repeated attempts at transcription through natural pause sites (PubMed : 16214896). Following phosphorylation by CDK9, DSIF can also positively regulate transcriptional elongation (PubMed : 16427012). Required for the efficient activation of transcriptional elongation by the HIV-1 nuclear transcriptional activator, Tat (PubMed : 10393184, PubMed : 10454543, PubMed : 11809800, PubMed : 9514752). DSIF acts to suppress transcriptional pausing in transcripts derived from the HIV-1 LTR and blocks premature release of HIV-1 transcripts at terminator sequences (PubMed : 11112772, PubMed : 14701750).
See full target information SUPT5H

Publications (1)

Recent publications for all applications. Explore the full list and refine your search

International journal of biological sciences 20:200-217 PubMed38164169

2024

Treatment for type 2 diabetes and diabetic nephropathy by targeting Smad3 signaling.

Applications

Unspecified application

Species

Unspecified reactive species

Huijun He,Honglian Wang,Xiaocui Chen,Yu Zhong,Xiao Ru Huang,Ronald Cw Ma,Cheng Wang,Hui-Yao Lan
View all publications

Product promise

We are committed to supporting your work with high-quality reagents, and we're here for you every step of the way. In the unlikely event that one of our products does not perform as expected, you're protected by our Product Promise.
For full details, please see our Terms & Conditions

Please note: All products are 'FOR RESEARCH USE ONLY. NOT FOR USE IN DIAGNOSTIC OR THERAPEUTIC PROCEDURES'.

For licensing inquiries, please contact partnerships@abcam.com