JavaScript is disabled in your browser. Please enable JavaScript to view this website.
AB72239

Anti-SPTBN1 antibody

3

(2 Reviews)

|

(12 Publications)

Rabbit Polyclonal SPTBN1 antibody. Suitable for IHC-P, IP, WB and reacts with Human samples. Cited in 12 publications. Immunogen corresponding to Synthetic Peptide within Human SPTBN1.

View Alternative Names

SPTB2, SPTBN1, Beta-II spectrin, Fodrin beta chain

5 Images
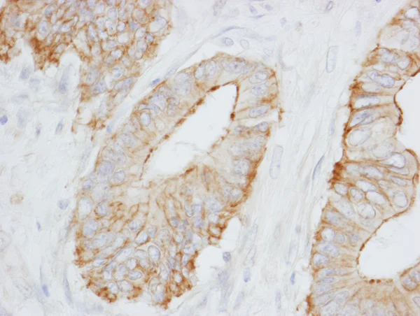
Immunohistochemistry (Formalin/PFA-fixed paraffin-embedded sections) - Anti-SPTBN1 antibody (AB72239)
  • IHC-P

Unknown

Immunohistochemistry (Formalin/PFA-fixed paraffin-embedded sections) - Anti-SPTBN1 antibody (AB72239)

Immunohistochemistry (Formalin/PFA-fixed paraffin-embedded sections) analysis of human colon carcinoma tissue labelling SPTBN1 with ab72239 at 1/1000 (0.2µg/ml). Detection : DAB.

Immunohistochemistry (Formalin/PFA-fixed paraffin-embedded sections) - Anti-SPTBN1 antibody (AB72239)
  • IHC-P

Unknown

Immunohistochemistry (Formalin/PFA-fixed paraffin-embedded sections) - Anti-SPTBN1 antibody (AB72239)

IHC image of ab72239 staining in human normal tonsil formalin fixed paraffin embedded tissue section, performed on a Leica BondTM system using the standard protocol F. The section was pre-treated using heat mediated antigen retrieval with sodium citrate buffer (pH6, epitope retrieval solution 1) for 20 mins. The section was then incubated with ab72239, 1µg/ml, for 15 mins at room temperature and detected using an HRP conjugated compact polymer system. DAB was used as the chromogen. The section was then counterstained with haematoxylin and mounted with DPX.

For other IHC staining systems (automated and non-automated) customers should optimize variable parameters such as antigen retrieval conditions, primary antibody concentration and antibody incubation times.

Immunoprecipitation - Anti-SPTBN1 antibody (AB72239)
  • IP

Unknown

Immunoprecipitation - Anti-SPTBN1 antibody (AB72239)

Immunoprecipitation/ Western Blot of SPTBN1.
Lane 1 : ab72239 at 3μg/mg whole cell lysate.
Lane 2 : Control IgG.

ab72239 at 1μg/ml for WB.
Whole cell lysate from Hela cells at 1mg for IP, 20% of IP loaded.
Chemiluminescence with an exposure time of 1 second.

All lanes:

Immunoprecipitation - Anti-SPTBN1 antibody (ab72239)

Predicted band size: 275 kDa

false

Western blot - Anti-SPTBN1 antibody (AB72239)
  • WB

Lab

Western blot - Anti-SPTBN1 antibody (AB72239)

Western blot : Anti-SPTBN1 antibody ab72239 staining at 0.04 µg/mL, shown in green; Mouse anti alpha Tubulin ab7291 loading control staining at 1/20000 dilution, shown in magenta. A band was observed at 240-260 kDa in Wild-type A549 cell lysates with no signal observed at this size in SPTBN1 knockout A549 cell line. To generate this image, samples were run on an SDS-PAGE gel then transferred onto a nitrocellulose membrane. Membranes were blocked in 3pc BSA in TBS-0.1 % Tween® 20 (TBS-T) before incubation with primary antibodies overnight at 4 °C. Blots were washed four times in TBS-T, incubated with secondary antibodies for 1 h at room temperature, washed again four times then imaged. Secondary antibodies used were Goat anti-Rabbit 800CW and Goat anti-Mouse 680RD at 1/20,000 dilution.

All lanes:

Western blot - Anti-SPTBN1 antibody (ab72239) at 0.04 µg/mL

Lane 1:

Wild-type A549 at 20 µg

Lane 2:

SPTBN1 knockout A549 at 20 µg

Lane 3:

Calu-3 at 20 µg

Lane 4:

THP-1 at 20 µg

Secondary

All lanes:

Goat anti-Rabbit 800CW & Goat anti-Mouse 680RD at 1/20000 dilution

Predicted band size: 275 kDa

Observed band size: 240-260 kDa,50 kDa

false

Western blot - Anti-SPTBN1 antibody (AB72239)
  • WB

Unknown

Western blot - Anti-SPTBN1 antibody (AB72239)

All lanes:

Western blot - Anti-SPTBN1 antibody (ab72239) at 0.04 µg/mL

Lane 1:

Whole cell lysate from Hela cells at 50 µg

Lane 2:

Whole cell lysate from Hela cells at 15 µg

Lane 3:

Whole cell lysate from Hela cells at 5 µg

Lane 4:

Whole cell lysate from 293T cells at 50 µg

Predicted band size: 275 kDa

Observed band size: 274 kDa

false

Key facts

Host species

Rabbit

Clonality

Polyclonal

Isotype

IgG

Carrier free

No

Reacts with

Human

Applications

IP, IHC-P, WB

applications

Immunogen

Synthetic Peptide within Human SPTBN1. The exact immunogen used to generate this antibody is proprietary information.

Q01082

Reactivity data

{ "title": "Reactivity Data", "filters": { "stats": ["", "Species", "Dilution Info", "Notes"], "tabs": { "all-applications": {"fullname" : "All Applications", "shortname": "All Applications"}, "IHCP" : {"fullname" : "Immunohistochemistry (Formalin/PFA-fixed paraffin-embedded sections)", "shortname":"IHC-P"}, "IP" : {"fullname" : "Immunoprecipitation", "shortname":"IP"}, "WB" : {"fullname" : "Western blot", "shortname":"WB"} }, "product-promise": { "all": "all", "testedAndGuaranteed": "tested", "guaranteed": "expected", "predicted": "predicted", "notRecommended": "not-recommended" } }, "values": { "Human": { "IHCP-species-checked": "testedAndGuaranteed", "IHCP-species-dilution-info": "1 µg/mL", "IHCP-species-notes": "<p></p> Perform heat-mediated antigen retrieval with citrate buffer pH 6 before commencing with IHC staining protocol.", "IP-species-checked": "testedAndGuaranteed", "IP-species-dilution-info": "2-5 µg/mg of lysate", "IP-species-notes": "<p></p>", "WB-species-checked": "testedAndGuaranteed", "WB-species-dilution-info": "0.04 µg/mL", "WB-species-notes": "<p></p>" }, "Chimpanzee": { "IHCP-species-checked": "predicted", "IHCP-species-dilution-info": "", "IHCP-species-notes": "", "IP-species-checked": "predicted", "IP-species-dilution-info": "", "IP-species-notes": "", "WB-species-checked": "predicted", "WB-species-dilution-info": "", "WB-species-notes": "" }, "Cow": { "IHCP-species-checked": "predicted", "IHCP-species-dilution-info": "", "IHCP-species-notes": "", "IP-species-checked": "predicted", "IP-species-dilution-info": "", "IP-species-notes": "", "WB-species-checked": "predicted", "WB-species-dilution-info": "", "WB-species-notes": "" }, "Dog": { "IHCP-species-checked": "predicted", "IHCP-species-dilution-info": "", "IHCP-species-notes": "", "IP-species-checked": "predicted", "IP-species-dilution-info": "", "IP-species-notes": "", "WB-species-checked": "predicted", "WB-species-dilution-info": "", "WB-species-notes": "" }, "Elephant": { "IHCP-species-checked": "predicted", "IHCP-species-dilution-info": "", "IHCP-species-notes": "", "IP-species-checked": "predicted", "IP-species-dilution-info": "", "IP-species-notes": "", "WB-species-checked": "predicted", "WB-species-dilution-info": "", "WB-species-notes": "" }, "Ferret": { "IHCP-species-checked": "predicted", "IHCP-species-dilution-info": "", "IHCP-species-notes": "", "IP-species-checked": "predicted", "IP-species-dilution-info": "", "IP-species-notes": "", "WB-species-checked": "predicted", "WB-species-dilution-info": "", "WB-species-notes": "" }, "Gorilla": { "IHCP-species-checked": "predicted", "IHCP-species-dilution-info": "", "IHCP-species-notes": "", "IP-species-checked": "predicted", "IP-species-dilution-info": "", "IP-species-notes": "", "WB-species-checked": "predicted", "WB-species-dilution-info": "", "WB-species-notes": "" }, "Horse": { "IHCP-species-checked": "predicted", "IHCP-species-dilution-info": "", "IHCP-species-notes": "", "IP-species-checked": "predicted", "IP-species-dilution-info": "", "IP-species-notes": "", "WB-species-checked": "predicted", "WB-species-dilution-info": "", "WB-species-notes": "" }, "Opossum": { "IHCP-species-checked": "predicted", "IHCP-species-dilution-info": "", "IHCP-species-notes": "", "IP-species-checked": "predicted", "IP-species-dilution-info": "", "IP-species-notes": "", "WB-species-checked": "predicted", "WB-species-dilution-info": "", "WB-species-notes": "" }, "Orangutan": { "IHCP-species-checked": "predicted", "IHCP-species-dilution-info": "", "IHCP-species-notes": "", "IP-species-checked": "predicted", "IP-species-dilution-info": "", "IP-species-notes": "", "WB-species-checked": "predicted", "WB-species-dilution-info": "", "WB-species-notes": "" }, "Rhesus monkey": { "IHCP-species-checked": "predicted", "IHCP-species-dilution-info": "", "IHCP-species-notes": "", "IP-species-checked": "predicted", "IP-species-dilution-info": "", "IP-species-notes": "", "WB-species-checked": "predicted", "WB-species-dilution-info": "", "WB-species-notes": "" } } }

Properties and storage information

Form
Liquid
Purification technique
Affinity purification Immunogen
Storage buffer
pH: 6.8 - 7.4 Preservative: 0.09% Sodium azide Constituents: Tris buffered saline, 0.1% BSA
Shipped at conditions
Blue Ice
Appropriate short-term storage conditions
+4°C
Appropriate long-term storage conditions
+4°C
Aliquoting information
Upon delivery aliquot
Storage information
Avoid freeze / thaw cycle

Product protocols

For this product, it's our understanding that no specific protocols are required. You can visit:

Target data

Fodrin, which seems to be involved in secretion, interacts with calmodulin in a calcium-dependent manner and is thus candidate for the calcium-dependent movement of the cytoskeleton at the membrane. Plays a critical role in central nervous system development and function.
See full target information SPTBN1

Publications (12)

Recent publications for all applications. Explore the full list and refine your search

PloS one 18:e0287829 PubMed37910521

2023

Interleukin-27-induced HIV-resistant dendritic cells suppress reveres transcription following virus entry in an SPTBN1, autophagy, and YB-1 independent manner.

Applications

Unspecified application

Species

Unspecified reactive species

Tomozumi Imamichi,Qian Chen,Bharatwaj Sowrirajan,Jun Yang,Sylvain Laverdure,Mayra Marquez,Anthony R Mele,Catherine Watkins,Joseph W Adelsberger,Jeanette Higgins,Hongyan Sui

Cell genomics 3:100250 PubMed36950384

2023

Protein interaction studies in human induced neurons indicate convergent biology underlying autism spectrum disorders.

Applications

Unspecified application

Species

Unspecified reactive species

Greta Pintacuda,Yu-Han H Hsu,Kalliopi Tsafou,Ka Wan Li,Jacqueline M Martín,Jackson Riseman,Julia C Biagini,Joshua K T Ching,Daya Mena,Miguel A Gonzalez-Lozano,Shawn B Egri,Jake Jaffe,August B Smit,Nadine Fornelos,Kevin C Eggan,Kasper Lage

Frontiers in molecular neuroscience 15:1017404 PubMed36263376

2022

Analyzing the mechanisms that facilitate the subtype-specific assembly of -aminobutyric acid type A receptors.

Applications

Unspecified application

Species

Unspecified reactive species

Catherine Choi,Joshua L Smalley,Abigail H S Lemons,Qiu Ren,Christopher E Bope,Jake S Dengler,Paul A Davies,Stephen J Moss

Frontiers in cardiovascular medicine 8:764831 PubMed34977182

2021

miR-153-3p Targets βII Spectrin to Regulate Formaldehyde-Induced Cardiomyocyte Apoptosis.

Applications

Unspecified application

Species

Unspecified reactive species

Panyu Yang,Yanyan Yang,Xiangqin He,Pin Sun,Ying Zhang,Xiaoxia Song,Yu Tian,Tingyu Zong,Jianmin Ma,Xiaofei Chen,Qifeng Lv,Tao Yu,Zhirong Jiang

Journal of cellular and molecular medicine 25:11300-11309 PubMed34799994

2021

β2SP/TET2 complex regulates gene 5hmC modification after cerebral ischemia.

Applications

Unspecified application

Species

Unspecified reactive species

Xiaohua Ma,Meng Zhang,Rui Yan,Hainan Wu,Bo Yang,Zhigang Miao

Frontiers in cell and developmental biology 9:653724 PubMed33816505

2021

SPTBN1 Prevents Primary Osteoporosis by Modulating Osteoblasts Proliferation and Differentiation and Blood Vessels Formation in Bone.

Applications

Unspecified application

Species

Unspecified reactive species

Xuejuan Xu,Jiayi Yang,Yanshi Ye,Guoqiang Chen,Yinhua Zhang,Hangtian Wu,Yuqian Song,Meichen Feng,Xiaoting Feng,Xingying Chen,Xiao Wang,Xu Lin,Xiaochun Bai,Jie Shen

Frontiers in molecular neuroscience 13:563091 PubMed33192291

2020

Isolation and Characterization of Multi-Protein Complexes Enriched in the K-Cl Co-transporter 2 From Brain Plasma Membranes.

Applications

Unspecified application

Species

Unspecified reactive species

Joshua L Smalley,Georgina Kontou,Catherine Choi,Qiu Ren,David Albrecht,Krithika Abiraman,Miguel A Rodriguez Santos,Christopher E Bope,Tarek Z Deeb,Paul A Davies,Nicholas J Brandon,Stephen J Moss

Oncotarget 7:38440-38450 PubMed27469031

2016

Validation of a multi-omics strategy for prioritizing personalized candidate driver genes

Applications

Unspecified application

Species

Unspecified reactive species

Li Liang,Liting Song,Yi Yang,Ling Tian,Xiaoyuan Li,Songfeng Wu,Wenxun Huang,Hong Ren,Ni Tang,Keyue Ding

BMC cancer 15:116 PubMed25880619

2015

The prognostic value of combined TGF-β1 and ELF in hepatocellular carcinoma.

Applications

IHC

Species

Unspecified reactive species

Fei Ji,Shun-Jun Fu,Shun-Li Shen,Long-Juan Zhang,Qing-Hua Cao,Shao-Qiang Li,Bao-Gang Peng,Li-Jian Liang,Yun-Peng Hua

Annals of surgical oncology 21 Suppl 4:S505-14 PubMed24390710

2014

CEACAM1 long cytoplasmic domain isoform is associated with invasion and recurrence of hepatocellular carcinoma.

Applications

Unspecified application

Species

Unspecified reactive species

Shigehisa Kiriyama,Shozo Yokoyama,Masaki Ueno,Shinya Hayami,Junji Ieda,Naoyuki Yamamoto,Shunsuke Yamaguchi,Yasuyuki Mitani,Yasushi Nakamura,Masaji Tani,Lopa Mishra,John E Shively,Hiroki Yamaue
View all publications

Product promise

We are committed to supporting your work with high-quality reagents, and we're here for you every step of the way. In the unlikely event that one of our products does not perform as expected, you're protected by our Product Promise.
For full details, please see our Terms & Conditions

Please note: All products are 'FOR RESEARCH USE ONLY. NOT FOR USE IN DIAGNOSTIC OR THERAPEUTIC PROCEDURES'.

For licensing inquiries, please contact partnerships@abcam.com