JavaScript is disabled in your browser. Please enable JavaScript to view this website.
AB232847

Anti-SPTLC1 antibody

Be the first to review this product! Submit a review

|

(2 Publications)

Rabbit Polyclonal SPTLC1 antibody. Suitable for WB, IHC-P and reacts with Recombinant fragment - Mouse, Mouse samples. Cited in 2 publications. Immunogen corresponding to Recombinant Fragment Protein within Mouse Sptlc1 aa 100 to C-terminus.

View Alternative Names

Lcb1, Sptlc1, Serine palmitoyltransferase 1, Long chain base biosynthesis protein 1, Serine-palmitoyl-CoA transferase 1, LCB 1, SPT 1, SPT1

5 Images
Immunohistochemistry (Formalin/PFA-fixed paraffin-embedded sections) - Anti-SPTLC1 antibody (AB232847)
  • IHC-P

Supplier Data

Immunohistochemistry (Formalin/PFA-fixed paraffin-embedded sections) - Anti-SPTLC1 antibody (AB232847)

Formalin-fixed, paraffin-embedded mouse uterus tissue stained for SPTLC1 using ab232847 at 20 μg/mL in immunohistochemical analysis. DAB staining.

Immunohistochemistry (Formalin/PFA-fixed paraffin-embedded sections) - Anti-SPTLC1 antibody (AB232847)
  • IHC-P

Supplier Data

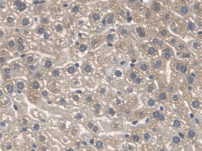
Immunohistochemistry (Formalin/PFA-fixed paraffin-embedded sections) - Anti-SPTLC1 antibody (AB232847)

Formalin-fixed, paraffin-embedded mouse liver tissue stained for SPTLC1 using ab232847 at 20 μg/mL in immunohistochemical analysis. DAB staining.

Immunohistochemistry (Formalin/PFA-fixed paraffin-embedded sections) - Anti-SPTLC1 antibody (AB232847)
  • IHC-P

Supplier Data

Immunohistochemistry (Formalin/PFA-fixed paraffin-embedded sections) - Anti-SPTLC1 antibody (AB232847)

Formalin-fixed, paraffin-embedded mouse kidney tissue stained for SPTLC1 using ab232847 at 20 μg/mL in immunohistochemical analysis. DAB staining.

Western blot - Anti-SPTLC1 antibody (AB232847)
  • WB

Supplier Data

Western blot - Anti-SPTLC1 antibody (AB232847)

All lanes:

Western blot - Anti-SPTLC1 antibody (ab232847) at 1 µg/mL

All lanes:

Recombinant mouse SPTLC1 protein

Secondary

All lanes:

HRP-Linked Guinea pig anti-rabbit at 1/2000 dilution

Predicted band size: 53 kDa

false

Western blot - Anti-SPTLC1 antibody (AB232847)
  • WB

Supplier Data

Western blot - Anti-SPTLC1 antibody (AB232847)

All lanes:

Western blot - Anti-SPTLC1 antibody (ab232847) at 1 µg/mL

Lane 1:

Mouse liver lysate

Lane 2:

Mouse lung lysate

Lane 3:

Mouse brain lysate

Secondary

All lanes:

HRP-Linked Guinea pig anti-rabbit at 1/2000 dilution

Predicted band size: 53 kDa

false

Key facts

Host species

Rabbit

Clonality

Polyclonal

Isotype

IgG

Carrier free

No

Reacts with

Mouse

Applications

WB, IHC-P

applications

Immunogen

Recombinant Fragment Protein within Mouse Sptlc1 aa 100 to C-terminus. The exact immunogen used to generate this antibody is proprietary information.

O35704

Reactivity data

{ "title": "Reactivity Data", "filters": { "stats": ["", "Species", "Dilution Info", "Notes"], "tabs": { "all-applications": {"fullname" : "All Applications", "shortname": "All Applications"}, "WB" : {"fullname" : "Western blot", "shortname":"WB"}, "IHCP" : {"fullname" : "Immunohistochemistry (Formalin/PFA-fixed paraffin-embedded sections)", "shortname":"IHC-P"} }, "product-promise": { "all": "all", "testedAndGuaranteed": "tested", "guaranteed": "expected", "predicted": "predicted", "notRecommended": "not-recommended" } }, "values": { "Mouse": { "WB-species-checked": "testedAndGuaranteed", "WB-species-dilution-info": "0.5-2 µg/mL", "WB-species-notes": "<p></p>", "IHCP-species-checked": "testedAndGuaranteed", "IHCP-species-dilution-info": "5-20 µg/mL", "IHCP-species-notes": "<p></p>" }, "Recombinant fragment - Mouse": { "WB-species-checked": "testedAndGuaranteed", "WB-species-dilution-info": "0.5-2 µg/mL", "WB-species-notes": "<p></p>", "IHCP-species-checked": "notRecommended", "IHCP-species-dilution-info": "", "IHCP-species-notes": "" } } }

Properties and storage information

Form
Liquid
Purification technique
Affinity purification Immunogen
Purification notes
Antigen-specific affinity chromatography followed by Protein A affinity chromatography.
Storage buffer
pH: 7.4 Preservative: 0.011% Proclin 300 Constituents: PBS, 55.77% Glycerol (glycerin, glycerine)
Shipped at conditions
Blue Ice
Appropriate short-term storage duration
1-2 weeks
Appropriate short-term storage conditions
+4°C
Appropriate long-term storage conditions
-20°C
Aliquoting information
Upon delivery aliquot
Storage information
Avoid freeze / thaw cycle

Product protocols

For this product, it's our understanding that no specific protocols are required. You can visit:

Target data

Component of the serine palmitoyltransferase multisubunit enzyme (SPT) that catalyzes the initial and rate-limiting step in sphingolipid biosynthesis by condensing L-serine and activated acyl-CoA (most commonly palmitoyl-CoA) to form long-chain bases (PubMed : 28100772). The SPT complex is also composed of SPTLC2 or SPTLC3 and SPTSSA or SPTSSB. Within this complex, the heterodimer with SPTLC2 or SPTLC3 forms the catalytic core. The composition of the serine palmitoyltransferase (SPT) complex determines the substrate preference. The SPTLC1-SPTLC2-SPTSSA complex shows a strong preference for C16-CoA substrate, while the SPTLC1-SPTLC3-SPTSSA isozyme uses both C14-CoA and C16-CoA as substrates, with a slight preference for C14-CoA. The SPTLC1-SPTLC2-SPTSSB complex shows a strong preference for C18-CoA substrate, while the SPTLC1-SPTLC3-SPTSSB isozyme displays an ability to use a broader range of acyl-CoAs, without apparent preference (By similarity). Required for adipocyte cell viability and metabolic homeostasis (PubMed : 28100772).
See full target information Sptlc1

Publications (2)

Recent publications for all applications. Explore the full list and refine your search

Hypertension research : official journal of the Japanese Society of Hypertension 48:2218-2233 PubMed40490489

2025

Dark-phase melatonin administration does not reduce blood pressure but induces changes in parameters related to the control of the cardiovascular system in spontaneously hypertensive rats.

Applications

Unspecified application

Species

Unspecified reactive species

Hana Mauer Sutovska,Lubos Molcan,Peter Stefanik,Michal Zeman

Journal of cellular biochemistry 121:1552-1562 PubMed31512789

2019

Decreased SPTLC1 expression predicts worse outcomes in ccRCC patients.

Applications

Unspecified application

Species

Unspecified reactive species

Wen-Kai Zhu,Wen-Hao Xu,Jun Wang,Yong-Qiang Huang,Mierxiati Abudurexiti,Yuan-Yuan Qu,Yi-Ping Zhu,Hai-Liang Zhang,Ding-Wei Ye
View all publications

Product promise

We are committed to supporting your work with high-quality reagents, and we're here for you every step of the way. In the unlikely event that one of our products does not perform as expected, you're protected by our Product Promise.
For full details, please see our Terms & Conditions

Please note: All products are 'FOR RESEARCH USE ONLY. NOT FOR USE IN DIAGNOSTIC OR THERAPEUTIC PROCEDURES'.

For licensing inquiries, please contact partnerships@abcam.com