JavaScript is disabled in your browser. Please enable JavaScript to view this website.
AB307552

Anti-SPTLC1 antibody [EPR26226-136]

Be the first to review this product! Submit a review

|

(0 Publication)

Rabbit Recombinant Monoclonal SPTLC1 antibody. Suitable for IP, Flow Cyt (Intra), IHC-P, WB and reacts with Human samples.

View Alternative Names

LCB1, SPTLC1, Serine palmitoyltransferase 1, Long chain base biosynthesis protein 1, Serine-palmitoyl-CoA transferase 1, LCB 1, SPT 1, SPT1

9 Images
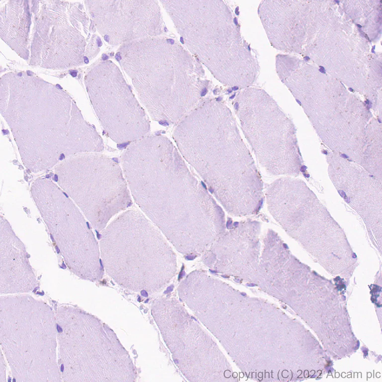
Immunohistochemistry (Formalin/PFA-fixed paraffin-embedded sections) - Anti-SPTLC1 antibody [EPR26226-136] (AB307552)
  • IHC-P

Supplier Data

Immunohistochemistry (Formalin/PFA-fixed paraffin-embedded sections) - Anti-SPTLC1 antibody [EPR26226-136] (AB307552)

Immunohistochemical analysis of paraffin-embedded human skeletal muscle tissue labeling SPTLC1 with ab307552 at 1/200 dilution (2.44 µg/ml) followed by a ready to use Goat Anti-Rabbit IgG H&L (HRP polymer). Negative control : No staining on human skeletal muscle. The section was incubated with ab307552 at 4°C overnight. Counterstained with Hematoxylin. Secondary antibody only control : Secondary antibody is a ready to use Goat Anti-Rabbit IgG H&L (HRP polymer. Heat mediated antigen retrieval was performed using ab93684 (Tris/EDTA buffer, pH 9.0).

Immunohistochemistry (Formalin/PFA-fixed paraffin-embedded sections) - Anti-SPTLC1 antibody [EPR26226-136] (AB307552)
  • IHC-P

Supplier Data

Immunohistochemistry (Formalin/PFA-fixed paraffin-embedded sections) - Anti-SPTLC1 antibody [EPR26226-136] (AB307552)

Immunohistochemical analysis of paraffin-embedded human cerebrum tissue labeling SPTLC1 with ab307552 at 1/200 dilution (2.44 µg/ml) followed by a ready to use Goat Anti-Rabbit IgG H&L (HRP polymer). Positive staining on human cerebrum. The section was incubated with ab307552 at 4°C overnight. Counterstained with Hematoxylin. Secondary antibody only control : Secondary antibody is a ready to use Goat Anti-Rabbit IgG H&L (HRP polymer. Heat mediated antigen retrieval was performed using ab93684 (Tris/EDTA buffer, pH 9.0).

Immunohistochemistry (Formalin/PFA-fixed paraffin-embedded sections) - Anti-SPTLC1 antibody [EPR26226-136] (AB307552)
  • IHC-P

Supplier Data

Immunohistochemistry (Formalin/PFA-fixed paraffin-embedded sections) - Anti-SPTLC1 antibody [EPR26226-136] (AB307552)

Immunohistochemical analysis of paraffin-embedded human colon tissue labeling SPTLC1 with ab307552 at 1/200 dilution (2.44 µg/ml) followed by a ready to use Goat Anti-Rabbit IgG H&L (HRP polymer). Positive staining on human colon (PMID : 12704216). The section was incubated with ab307552 at 4°C overnight. Counterstained with Hematoxylin. Secondary antibody only control : Secondary antibody is a ready to use Goat Anti-Rabbit IgG H&L (HRP polymer. Heat mediated antigen retrieval was performed using ab93684 (Tris/EDTA buffer, pH 9.0).

Immunohistochemistry (Formalin/PFA-fixed paraffin-embedded sections) - Anti-SPTLC1 antibody [EPR26226-136] (AB307552)
  • IHC-P

Supplier Data

Immunohistochemistry (Formalin/PFA-fixed paraffin-embedded sections) - Anti-SPTLC1 antibody [EPR26226-136] (AB307552)

Immunohistochemical analysis of paraffin-embedded human placenta tissue labeling SPTLC1 with ab307552 at 1/200 dilution (2.44 µg/ml) followed by a ready to use Goat Anti-Rabbit IgG H&L (HRP polymer). Positive staining on human placenta. The section was incubated with ab307552 at 4°C overnight. Counterstained with Hematoxylin. Secondary antibody only control : Secondary antibody is a ready to use Goat Anti-Rabbit IgG H&L (HRP polymer. Heat mediated antigen retrieval was performed using ab93684 (Tris/EDTA buffer, pH 9.0).

Flow Cytometry (Intracellular) - Anti-SPTLC1 antibody [EPR26226-136] (AB307552)
  • Flow Cyt (Intra)

Supplier Data

Flow Cytometry (Intracellular) - Anti-SPTLC1 antibody [EPR26226-136] (AB307552)

Flow cytometric analysis of 4% paraformaldehyde-fixed 90% methanol-permeabilized HepG2 (human hepatocellular carcinoma epithelial cell) cells labeling SPTLC1 with ab307552 at 1/50 dilution (1µg) (Red) compared with a Rabbit monoclonal IgG (ab172730) (Black) isotype control and an unlabeled control (cells without incubation with primary antibody and secondary antibody) (Blue). A Goat Anti-Rabbit IgG (Alexa Fluor® 488, ab150081) at 1/2000 dilution was used as the secondary antibody.

Immunoprecipitation - Anti-SPTLC1 antibody [EPR26226-136] (AB307552)
  • IP

Supplier Data

Immunoprecipitation - Anti-SPTLC1 antibody [EPR26226-136] (AB307552)

SPTLC1 was immunoprecipitated from 0.35 mg HeLa (human cervical adenocarcinoma epithelial cell) whole cell lysate 10 µg with ab307552 at 1/30 dilution (2µg in 0.35mg lysates). Western blot was performed on the immunoprecipitate using ab307552 at 1/1000 dilution. VeriBlot for IP secondary antibody(HRP)(ab131366) was used at 1/5000 dilution.

Lane 1 : HeLa whole cell lysate

Lane 2 : ab307552 at 1/30 IP in HeLa whole cell lysate

Lane 3 : Rabbit monoclonal IgG (ab172730) instead of ab307552 in HeLa whole cell lysate

Blocking and dilution buffer and concentration : 5% NFDM/TBST.

This blot was developed using a high sensitivity ECL substrate. The high-sensitivity ECL substrate used allows for the detection of proteins in the mid-femtogram range.

All lanes:

Immunoprecipitation - Anti-SPTLC1 antibody [EPR26226-136] (ab307552) at 1/1000 dilution

Lane 1:

HeLa (human cervical adenocarcinoma epithelial cell) at 10 µg

Lane 2:

ab307552 at 1/30 IP in HeLa whole cell lysate

Secondary

All lanes:

Immunoprecipitation - VeriBlot for IP Detection Reagent (HRP) (<a href='/en-us/products/reagents/veriblot-for-ip-detection-reagent-hrp-ab131366'>ab131366</a>) at 1/5000 dilution

Observed band size: 53 kDa

true

Exposure time: 180s

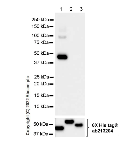
Western blot - Anti-SPTLC1 antibody [EPR26226-136] (AB307552)
  • WB

Supplier Data

Western blot - Anti-SPTLC1 antibody [EPR26226-136] (AB307552)

Blocking and diluting buffer and concentration : 5% NFDM/TBST. This antibody does not cross-react with human SPTLC2 and SPTLC3. Exposure time : 37 seconds.

All lanes:

Western blot - Anti-SPTLC1 antibody [EPR26226-136] (ab307552) at 1/1000 dilution

Lane 1:

His-tagged human SPTLC1 recombinant protein fragment at 10 ng

Lane 2:

His-tagged human SPTLC2 recombinant protein fragment at 10 ng

Lane 3:

His-tagged human SPTLC3 recombinant protein fragment at 10 ng

Secondary

All lanes:

Western blot - Goat Anti-Rabbit IgG H&L (HRP) (<a href='/en-us/products/secondary-antibodies/goat-rabbit-igg-h-l-hrp-ab97051'>ab97051</a>) at 1/100000 dilution

Observed band size: 46 kDa

false

Exposure time: 37s

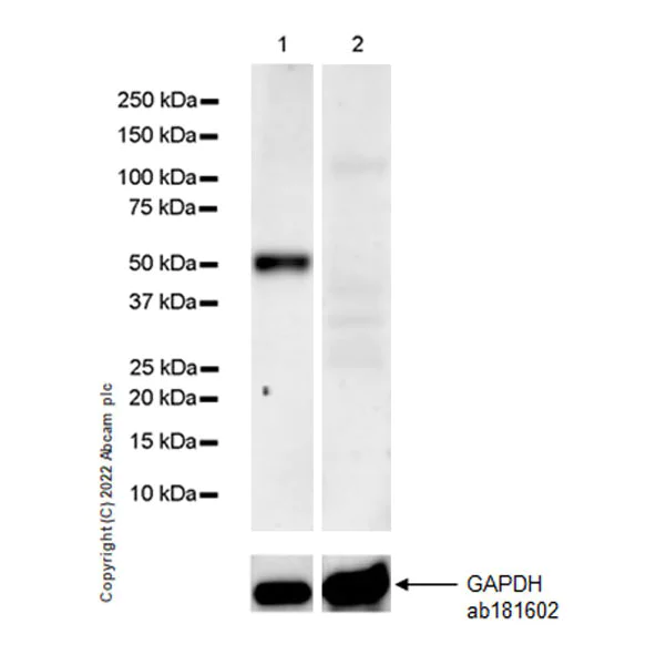
Western blot - Anti-SPTLC1 antibody [EPR26226-136] (AB307552)
  • WB

Supplier Data

Western blot - Anti-SPTLC1 antibody [EPR26226-136] (AB307552)

Blocking and diluting buffer and concentration : 5% NFDM/TBST. Negative control : human skeletal muscle (PMID : 17023427). Exposure time : 48 seconds.

All lanes:

Western blot - Anti-SPTLC1 antibody [EPR26226-136] (ab307552) at 1/1000 dilution

Lane 1:

Human placenta tissue lysate at 20 µg

Lane 2:

Human skeletal muscle tissue lysate at 20 µg

Secondary

All lanes:

Goat Anti-Rabbit IgG (HRP) with minimal cross-reactivity with human IgG at 1/2000 dilution

Observed band size: 53 kDa

false

Exposure time: 48s

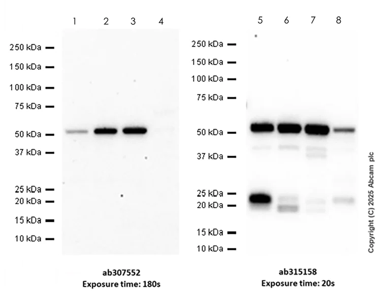
Western blot - Anti-SPTLC1 antibody [EPR26226-136] (AB307552)
  • WB

Lab

Western blot - Anti-SPTLC1 antibody [EPR26226-136] (AB307552)

Blocking and diluting buffer and concentration : 5% NFDM/TBST.

Compared with ab307552, ab315158 has higher sensitivity. We recommend ab315158 as an alternative.

Lanes 1 - 4:

Western blot - Anti-SPTLC1 antibody [EPR26226-136] (ab307552) at 1/1000 dilution

Lanes 5 - 8:

Western blot - Anti-SPTLC1 antibody [EPR26226-221] (<a href='/en-us/products/primary-antibodies/sptlc1-antibody-epr26226-221-ab315158'>ab315158</a>) at 1/1000 dilution

Lanes 1 and 5:

HeLa (human cervix adenocarcinoma epithelial cell) whole cell lysate at 20 µg

Lanes 2 and 6:

293T (human embryonic kidney epithelial cell) whole cell lysate

Lanes 3 and 7:

HepG2 (human hepatocellar carcinoma epithelial cell) whole cell lysate at 20 µg

Lanes 4 and 8:

Human small intestine tissue lysate at 20 µg

Secondary

All lanes:

Goat Anti-Rabbit IgG (HRP) with minimal cross-reactivity with human IgG at 1/2000 dilution

Observed band size: 54 kDa

false

Exposure time: 60s

  • Carrier free

    Anti-SPTLC1 antibody [EPR26226-136] - BSA and Azide free

Key facts

Host species

Rabbit

Clonality

Monoclonal

Clone number

EPR26226-136

Isotype

IgG

Carrier free

No

Reacts with

Human

Applications

WB, IP, IHC-P, Flow Cyt (Intra)

applications

Immunogen

The exact immunogen used to generate this antibody is proprietary information.

Reactivity data

{ "title": "Reactivity Data", "filters": { "stats": ["", "Species", "Dilution Info", "Notes"], "tabs": { "all-applications": {"fullname" : "All Applications", "shortname": "All Applications"}, "IP" : {"fullname" : "Immunoprecipitation", "shortname":"IP"}, "FlowCytIntra" : {"fullname" : "Flow Cytometry (Intracellular)", "shortname":"Flow Cyt (Intra)"}, "IHCP" : {"fullname" : "Immunohistochemistry (Formalin/PFA-fixed paraffin-embedded sections)", "shortname":"IHC-P"}, "WB" : {"fullname" : "Western blot", "shortname":"WB"}, "IHCFr" : {"fullname" : "Immunohistochemistry (Frozen sections)", "shortname":"IHC-Fr"}, "ICCIF" : {"fullname" : "Immunocytochemistry/ Immunofluorescence", "shortname":"ICC/IF"} }, "product-promise": { "all": "all", "testedAndGuaranteed": "tested", "guaranteed": "expected", "predicted": "predicted", "notRecommended": "not-recommended" } }, "values": { "Human": { "IP-species-checked": "testedAndGuaranteed", "IP-species-dilution-info": "1/1000", "IP-species-notes": "<p></p>", "FlowCytIntra-species-checked": "testedAndGuaranteed", "FlowCytIntra-species-dilution-info": "1/50", "FlowCytIntra-species-notes": "<p></p>", "IHCP-species-checked": "testedAndGuaranteed", "IHCP-species-dilution-info": "1/200", "IHCP-species-notes": "<p></p>", "WB-species-checked": "testedAndGuaranteed", "WB-species-dilution-info": "1/1000", "WB-species-notes": "<p></p>", "IHCFr-species-checked": "notRecommended", "IHCFr-species-dilution-info": "", "IHCFr-species-notes": "", "ICCIF-species-checked": "notRecommended", "ICCIF-species-dilution-info": "", "ICCIF-species-notes": "<p></p>" }, "Mouse": { "IP-species-checked": "notRecommended", "IP-species-dilution-info": "", "IP-species-notes": "", "FlowCytIntra-species-checked": "notRecommended", "FlowCytIntra-species-dilution-info": "", "FlowCytIntra-species-notes": "<p></p>", "IHCP-species-checked": "notRecommended", "IHCP-species-dilution-info": "", "IHCP-species-notes": "<p></p>", "WB-species-checked": "notRecommended", "WB-species-dilution-info": "1/1000", "WB-species-notes": "<p></p>", "IHCFr-species-checked": "notRecommended", "IHCFr-species-dilution-info": "", "IHCFr-species-notes": "<p></p>", "ICCIF-species-checked": "notRecommended", "ICCIF-species-dilution-info": "", "ICCIF-species-notes": "<p></p>" }, "Rat": { "IP-species-checked": "notRecommended", "IP-species-dilution-info": "", "IP-species-notes": "", "FlowCytIntra-species-checked": "notRecommended", "FlowCytIntra-species-dilution-info": "", "FlowCytIntra-species-notes": "<p></p>", "IHCP-species-checked": "notRecommended", "IHCP-species-dilution-info": "", "IHCP-species-notes": "<p></p>", "WB-species-checked": "notRecommended", "WB-species-dilution-info": "1/1000", "WB-species-notes": "<p></p>", "IHCFr-species-checked": "notRecommended", "IHCFr-species-dilution-info": "", "IHCFr-species-notes": "<p></p>", "ICCIF-species-checked": "notRecommended", "ICCIF-species-dilution-info": "", "ICCIF-species-notes": "<p></p>" } } }

Product details

Patented technology
Our RabMAb® technology is a patented hybridoma-based technology for making rabbit monoclonal antibodies. For details on our patents, please refer to RabMAb® patents.

What are the advantages of a recombinant monoclonal antibody?
This product is a recombinant monoclonal antibody, which offers several advantages including:

  • - High batch-to-batch consistency and reproducibility
  • - Improved sensitivity and specificity
  • - Long-term security of supply
  • - Animal-free batch production

For more information, read more on recombinant antibodies.

Properties and storage information

Form
Liquid
Purification technique
Affinity purification Protein A
Storage buffer
pH: 7.2 - 7.4 Preservative: 0.01% Sodium azide Constituents: PBS, 40% Glycerol (glycerin, glycerine), 0.05% BSA
Shipped at conditions
Blue Ice
Appropriate short-term storage duration
1-2 weeks
Appropriate short-term storage conditions
+4°C
Appropriate long-term storage conditions
-20°C
Aliquoting information
Upon delivery aliquot
Storage information
Avoid freeze / thaw cycle

Product protocols

For this product, it's our understanding that no specific protocols are required. You can visit:

Target data

Component of the serine palmitoyltransferase multisubunit enzyme (SPT) that catalyzes the initial and rate-limiting step in sphingolipid biosynthesis by condensing L-serine and activated acyl-CoA (most commonly palmitoyl-CoA) to form long-chain bases. The SPT complex is also composed of SPTLC2 or SPTLC3 and SPTSSA or SPTSSB. Within this complex, the heterodimer with SPTLC2 or SPTLC3 forms the catalytic core (PubMed : 19416851, PubMed : 33558762, PubMed : 36170811). The composition of the serine palmitoyltransferase (SPT) complex determines the substrate preference (PubMed : 19416851, PubMed : 33558762). The SPTLC1-SPTLC2-SPTSSA complex shows a strong preference for C16-CoA substrate, while the SPTLC1-SPTLC3-SPTSSA isozyme uses both C14-CoA and C16-CoA as substrates, with a slight preference for C14-CoA (PubMed : 19416851, PubMed : 19648650). The SPTLC1-SPTLC2-SPTSSB complex shows a strong preference for C18-CoA substrate, while the SPTLC1-SPTLC3-SPTSSB isozyme displays an ability to use a broader range of acyl-CoAs, without apparent preference (PubMed : 19416851, PubMed : 19648650, PubMed : 33558761, PubMed : 33558762). Required for adipocyte cell viability and metabolic homeostasis (By similarity).
See full target information SPTLC1

Product promise

We are committed to supporting your work with high-quality reagents, and we're here for you every step of the way. In the unlikely event that one of our products does not perform as expected, you're protected by our Product Promise.
For full details, please see our Terms & Conditions

Please note: All products are 'FOR RESEARCH USE ONLY. NOT FOR USE IN DIAGNOSTIC OR THERAPEUTIC PROCEDURES'.

For licensing inquiries, please contact partnerships@abcam.com