JavaScript is disabled in your browser. Please enable JavaScript to view this website.
AB237532

Anti-SPTLC3 antibody

Be the first to review this product! Submit a review

|

(1 Publication)

Rabbit Polyclonal SPTLC3 antibody. Suitable for WB, IHC-P, ICC/IF and reacts with Rat, Mouse, Human samples. Cited in 1 publication. Immunogen corresponding to Recombinant Fragment Protein within Human SPTLC3 aa 1-100.

View Alternative Names

C20orf38, SPTLC2L, SPTLC3, Serine palmitoyltransferase 3, Long chain base biosynthesis protein 2b, Long chain base biosynthesis protein 3, Serine-palmitoyl-CoA transferase 3, LCB2b, LCB 3, SPT 3

6 Images
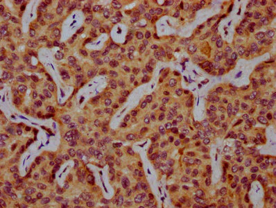
Immunohistochemistry (Formalin/PFA-fixed paraffin-embedded sections) - Anti-SPTLC3 antibody (AB237532)
  • IHC-P

Supplier Data

Immunohistochemistry (Formalin/PFA-fixed paraffin-embedded sections) - Anti-SPTLC3 antibody (AB237532)

Paraffin-embedded human liver cancer tissue stained for SPTLC3 using ab237532 at 1/300 dilution in immunohistochemical analysis.

After dewaxing and hydration, antigen retrieval was mediated by high pressure in a citrate buffer (pH 6.0). Section was blocked with 10% normal goat serum 30 minutes at RT. Then primary antibody (1% BSA) was incubated at 4°C overnight. The primary is detected by a biotinylated secondary antibody and visualized tissue using an HRP conjugated SP system.

Immunohistochemistry (Formalin/PFA-fixed paraffin-embedded sections) - Anti-SPTLC3 antibody (AB237532)
  • IHC-P

Supplier Data

Immunohistochemistry (Formalin/PFA-fixed paraffin-embedded sections) - Anti-SPTLC3 antibody (AB237532)

Immunohistochemistry (Formalin/PFA-fixed paraffin-embedded sections) staining human colon cancer using ab237532 at 1/100.

Immunocytochemistry/ Immunofluorescence - Anti-SPTLC3 antibody (AB237532)
  • ICC/IF

Supplier Data

Immunocytochemistry/ Immunofluorescence - Anti-SPTLC3 antibody (AB237532)

HepG2 (Human liver hepatocellular carcinoma cell line) cells stained for SPTLC3 (green) using ab237532 at 1/100 dilution in ICC/IF. Secondary antibody is an Alexa-Fluor® 488-conjugated Goat Anti-Rabbit IgG (H+L).

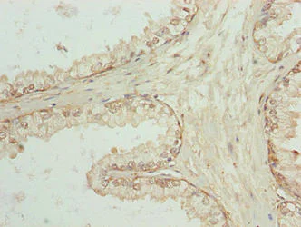
Immunohistochemistry (Formalin/PFA-fixed paraffin-embedded sections) - Anti-SPTLC3 antibody (AB237532)
  • IHC-P

Supplier Data

Immunohistochemistry (Formalin/PFA-fixed paraffin-embedded sections) - Anti-SPTLC3 antibody (AB237532)

Immunohistochemistry (Formalin/PFA-fixed paraffin-embedded sections) staining human prostate cancer using ab237532 at 1/100.

Western blot - Anti-SPTLC3 antibody (AB237532)
  • WB

Supplier Data

Western blot - Anti-SPTLC3 antibody (AB237532)

All lanes:

Western blot - Anti-SPTLC3 antibody (ab237532) at 1/1000 dilution

Lane 1:

HepG2 (Human liver hepatocellular carcinoma cell line) whole cell lysate

Lane 2:

HEK-293T (Human epithelial cell line from embryonic kidney transformed with large T antigen) whole cell lysate

Lane 3:

A549 (Human lung carcinoma cell line) whole cell lysate

Lane 4:

Rat heart tissue lysate

Lane 5:

Rat kidney tissue lysate

Secondary

All lanes:

Goat polyclonal to rabbit IgG at 1/50000 dilution

Predicted band size: 62 kDa

false

Western blot - Anti-SPTLC3 antibody (AB237532)
  • WB

Supplier Data

Western blot - Anti-SPTLC3 antibody (AB237532)

All lanes:

Western blot - Anti-SPTLC3 antibody (ab237532) at 1/1000 dilution

Lane 1:

Mouse liver tissue lysate

Lane 2:

Mouse kidney tissue lysate

Lane 3:

U-87 MG (Human glioblastoma-astrocytoma epithelial cell line) whole cell lysate

Secondary

All lanes:

Goat polyclonal to Rabbit IgG at 1/10000 dilution

Predicted band size: 62 kDa

false

Key facts

Host species

Rabbit

Clonality

Polyclonal

Isotype

IgG

Carrier free

No

Reacts with

Mouse, Rat, Human

Applications

IHC-P, ICC/IF, WB

applications

Immunogen

Recombinant Fragment Protein within Human SPTLC3 aa 1-100. The exact immunogen used to generate this antibody is proprietary information.

Q9NUV7

Reactivity data

{ "title": "Reactivity Data", "filters": { "stats": ["", "Species", "Dilution Info", "Notes"], "tabs": { "all-applications": {"fullname" : "All Applications", "shortname": "All Applications"}, "WB" : {"fullname" : "Western blot", "shortname":"WB"}, "IHCP" : {"fullname" : "Immunohistochemistry (Formalin/PFA-fixed paraffin-embedded sections)", "shortname":"IHC-P"}, "ICCIF" : {"fullname" : "Immunocytochemistry/ Immunofluorescence", "shortname":"ICC/IF"} }, "product-promise": { "all": "all", "testedAndGuaranteed": "tested", "guaranteed": "expected", "predicted": "predicted", "notRecommended": "not-recommended" } }, "values": { "Human": { "WB-species-checked": "testedAndGuaranteed", "WB-species-dilution-info": "1/1000 - 1/5000", "WB-species-notes": "<p></p>", "IHCP-species-checked": "testedAndGuaranteed", "IHCP-species-dilution-info": "1/200 - 1/500", "IHCP-species-notes": "<p></p>", "ICCIF-species-checked": "testedAndGuaranteed", "ICCIF-species-dilution-info": "1/50 - 1/200", "ICCIF-species-notes": "<p></p>" }, "Mouse": { "WB-species-checked": "testedAndGuaranteed", "WB-species-dilution-info": "1/1000 - 1/5000", "WB-species-notes": "<p></p>", "IHCP-species-checked": "guaranteed", "IHCP-species-dilution-info": "", "IHCP-species-notes": "", "ICCIF-species-checked": "guaranteed", "ICCIF-species-dilution-info": "", "ICCIF-species-notes": "" }, "Rat": { "WB-species-checked": "testedAndGuaranteed", "WB-species-dilution-info": "1/1000 - 1/5000", "WB-species-notes": "<p></p>", "IHCP-species-checked": "guaranteed", "IHCP-species-dilution-info": "", "IHCP-species-notes": "", "ICCIF-species-checked": "guaranteed", "ICCIF-species-dilution-info": "", "ICCIF-species-notes": "" } } }

Properties and storage information

Form
Liquid
Purification technique
Affinity purification Protein G
Purification notes
Purity greater than 95%
Storage buffer
pH: 7.4 Preservative: 0.03% Proclin 300 Constituents: PBS, 50% Glycerol (glycerin, glycerine)
Shipped at conditions
Blue Ice
Appropriate short-term storage duration
1-2 weeks
Appropriate short-term storage conditions
+4°C
Appropriate long-term storage conditions
-20°C
Aliquoting information
Upon delivery aliquot
Storage information
Avoid freeze / thaw cycle

Product protocols

For this product, it's our understanding that no specific protocols are required. You can visit:

Target data

Component of the serine palmitoyltransferase multisubunit enzyme (SPT) that catalyzes the initial and rate-limiting step in sphingolipid biosynthesis by condensing L-serine and activated acyl-CoA (most commonly palmitoyl-CoA) to form long-chain bases (PubMed : 19416851, PubMed : 19648650). The SPT complex is composed of SPTLC1, SPTLC2 or SPTLC3 and SPTSSA or SPTSSB. Within this complex, the heterodimer consisting of SPTLC1 and SPTLC2/SPTLC3 forms the catalytic core. The composition of the serine palmitoyltransferase (SPT) complex determines the substrate preference (PubMed : 19416851). The SPTLC1-SPTLC2-SPTSSA complex shows a strong preference for C16-CoA substrate, while the SPTLC1-SPTLC3-SPTSSA isozyme uses both C14-CoA and C16-CoA as substrates, with a slight preference for C14-CoA. The SPTLC1-SPTLC2-SPTSSB complex shows a strong preference for C18-CoA substrate, while the SPTLC1-SPTLC3-SPTSSB isozyme displays an ability to use a broader range of acyl-CoAs, without apparent preference (PubMed : 19416851, PubMed : 19648650).
See full target information SPTLC3

Publications (1)

Recent publications for all applications. Explore the full list and refine your search

OncoTargets and therapy 14:1007-1020 PubMed33603407

2021

Tandem Mass Tag-Based Proteomic Analysis of Potential Biomarkers for Hepatocellular Carcinoma Differentiation.

Applications

Unspecified application

Species

Unspecified reactive species

Wei Wang,Qiang Li,Ge Huang,Bing-Yao Lin,Dongzi Lin,Yan Ma,Zhao Zhang,Tao Chen,Jie Zhou
View all publications

Product promise

We are committed to supporting your work with high-quality reagents, and we're here for you every step of the way. In the unlikely event that one of our products does not perform as expected, you're protected by our Product Promise.
For full details, please see our Terms & Conditions

Please note: All products are 'FOR RESEARCH USE ONLY. NOT FOR USE IN DIAGNOSTIC OR THERAPEUTIC PROCEDURES'.

For licensing inquiries, please contact partnerships@abcam.com