JavaScript is disabled in your browser. Please enable JavaScript to view this website.
AB280086

Anti-SQSTM1 / p62 antibody [3/P62 LCK LIGAND] - Autophagosome Marker

  • BOND RX™ Validated
  • Recombinant
  • KO Validated
  • Lab Essentials
  • What is this?

Be the first to review this product! Submit a review

|

(6 Publications)

Mouse Recombinant Monoclonal SQSTM1 / p62 antibody. Suitable for IHC-P, ICC/IF, IP, WB and reacts with Human samples. Cited in 6 publications.

View Alternative Names

ORCA, OSIL, SQSTM1, Sequestosome-1, EBI3-associated protein of 60 kDa, Phosphotyrosine-independent ligand for the Lck SH2 domain of 62 kDa, Ubiquitin-binding protein p62, EBIAP, p60, p62

6 Images
Immunocytochemistry/ Immunofluorescence - Anti-SQSTM1 / p62 antibody [3/P62 LCK LIGAND] - Autophagosome Marker (AB280086)
  • ICC/IF

Supplier Data

Immunocytochemistry/ Immunofluorescence - Anti-SQSTM1 / p62 antibody [3/P62 LCK LIGAND] - Autophagosome Marker (AB280086)

Immunofluorescent analysis of 4% Paraformaldehyde-fixed, 0.1% TritonX-100 permeabilized HeLa cells labelling SQSTM1 / p62 with ab280086 at 1/50 dilution, followed by ab150113 Goat Anti-Mouse IgG H&L (Alexa Fluor® 488) antibody at 1/1000 dilution (Green). Confocal image showing cytoplasmic staining in HeLa cell line. ab179513 Anti-beta Tubulin rabbit monoclonal antibody was used to counterstain tubulin at 1/200 dilution followed by ab150080 Goat Anti-Rabbit IgG H&L (Alexa Fluor® 594)(Red). The Nuclear counterstain was DAPI (Blue).

Secondary antibody only control : Secondary antibody is ab150113 Goat Anti-Mouse IgG H&L (Alexa Fluor® 488) at 1/1000 dilution.

Immunohistochemistry (Formalin/PFA-fixed paraffin-embedded sections) - Anti-SQSTM1 / p62 antibody [3/P62 LCK LIGAND] - Autophagosome Marker (AB280086)
  • IHC-P

Supplier Data

Immunohistochemistry (Formalin/PFA-fixed paraffin-embedded sections) - Anti-SQSTM1 / p62 antibody [3/P62 LCK LIGAND] - Autophagosome Marker (AB280086)

Immunohistochemical analysis of paraffin-embedded Human stomach carcinoma tissue labeling SQSTM1 / p62 with ab280086 at 1/1000 dilution followed by a ready to use LeicaDS9800 (Bond™ Polymer Refine Detection). Positive staining on human stomach carcinoma. The section was incubated with ab280086 for 30 mins at room temperature and followed by mouse specific IgG antibody (ab125913) for 8mins. The immunostaining was performed on a Leica Biosystems BOND® RX instrument Counterstained with Hematoxylin.

Secondary antibody only control : Secondary antibody is a ready to use LeicaDS9800 (Bond™ Polymer Refine Detection) was used.

Heat mediated antigen retrieval with Citrate buffer (pH 6.0, epitope retrieval solution 1) for 20 mins

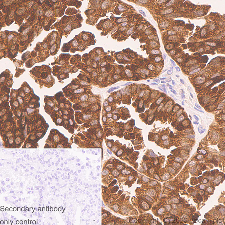
Immunohistochemistry (Formalin/PFA-fixed paraffin-embedded sections) - Anti-SQSTM1 / p62 antibody [3/P62 LCK LIGAND] - Autophagosome Marker (AB280086)
  • IHC-P

Supplier Data

Immunohistochemistry (Formalin/PFA-fixed paraffin-embedded sections) - Anti-SQSTM1 / p62 antibody [3/P62 LCK LIGAND] - Autophagosome Marker (AB280086)

Immunohistochemical analysis of paraffin-embedded Human lung carcinoma tissue labeling SQSTM1 / p62 with ab280086 at 1/1000 dilution followed by a ready to use LeicaDS9800 (Bond™ Polymer Refine Detection). Positive staining on human lung carcinoma. The section was incubated with ab280086 for 30 mins at room temperature and followed by mouse specific IgG antibody (ab125913) for 8mins. The immunostaining was performed on a Leica Biosystems BOND® RX instrument Counterstained with Hematoxylin.

Secondary antibody only control : Secondary antibody is a ready to use LeicaDS9800 (Bond™ Polymer Refine Detection) was used.

Heat mediated antigen retrieval with Citrate buffer (pH 6.0, epitope retrieval solution 1) for 20 mins

Immunoprecipitation - Anti-SQSTM1 / p62 antibody [3/P62 LCK LIGAND] - Autophagosome Marker (AB280086)
  • IP

Supplier Data

Immunoprecipitation - Anti-SQSTM1 / p62 antibody [3/P62 LCK LIGAND] - Autophagosome Marker (AB280086)

SQSTM1 / p62 was immunoprecipitated from 0.35 mg HeLa (human cervix adenocarcinoma epithelial cell ), whole cell lysate 10 ug with ab280086 at 1/30 dilution (2ug in 0.35mg lysates). Western blot was performed on the immunoprecipitate using ab280086 at 1/1000 dilution. VeriBlot for IP Detection Reagent (HRP)(ab131366) was used at 1/5000 dilution.

Lane 1 : HeLa (human cervix adenocarcinoma epithelial cell ), whole cell lysate 10 ug

Lane 2 : ab280086 IP in HeLa whole cell lysate

Lane 3 : Mouse monoclonal IgG1(ab18443) instead of ab280086 in HeLa whole cell lysate

Blocking and dilution buffer and concentration : 5% NFDM/TBST.

Exposure time : 26 seconds

All lanes:

Immunoprecipitation - Anti-SQSTM1 / p62 antibody [3/P62 LCK LIGAND] - Autophagosome Marker (ab280086)

Predicted band size: 47 kDa

Observed band size: 62 kDa

false

Western blot - Anti-SQSTM1 / p62 antibody [3/P62 LCK LIGAND] - Autophagosome Marker (AB280086)
  • WB

Supplier Data

Western blot - Anti-SQSTM1 / p62 antibody [3/P62 LCK LIGAND] - Autophagosome Marker (AB280086)

Blocking and diluting buffer and concentration : 5% NFDM/TBST

The expression profile/ molecular weight observed is consistent with what has been described in the literature (PMID : 24086455).

Lysates were made freshly and used in WB immediately to minimize protein degradation.

Exposure time : 15 seconds

All lanes:

Western blot - Anti-SQSTM1 / p62 antibody [3/P62 LCK LIGAND] - Autophagosome Marker (ab280086) at 1/1000 dilution

Lane 1:

HeLa (human cervix adenocarcinoma epithelial cell ), whole cell lysate at 20 µg

Lane 2:

HEK-293 (human embryonic kidney epithelial cell), whole cell lysate at 20 µg

Secondary

All lanes:

Peroxidase-Conjugated Goat anti-Mouse IgG (H+L) at 1/10000 dilution

Predicted band size: 47 kDa

Observed band size: 62 kDa

false

Western blot - Anti-SQSTM1 / p62 antibody [3/P62 LCK LIGAND] - Autophagosome Marker (AB280086)
  • WB

Supplier Data

Western blot - Anti-SQSTM1 / p62 antibody [3/P62 LCK LIGAND] - Autophagosome Marker (AB280086)

Blocking and diluting buffer and concentration : Intercept® (TBS) Blocking Buffer diluted with an equal volume of 0.1% TBS

Lanes 1 - 4 : Merged signal (red and green). Green - ab280086 observed at 62 kDa. Red - loading control ab181602 (Rabbit monoclonal [EPR16891] to GAPDH) observed at 36 kDa.

Lanes 1-2 : ab280086 Anti-SQSTM1/p62 antibody was shown to react with SQSTM1 in HAP1 cells in Western blot. Loss of signal was observed when SQSTM1 knockout sample was used. Wild-type and SQSTM1 knockout samples were subjected to SDS-PAGE. ab280086 and Anti-GAPDH antibody [EPR16891] - Loading Control (ab181602) were incubated at 4°C overnight at 1/1000 dilution and 1/20000 dilution respectively.

Blots were developed with Goat anti-Rabbit IgG H&L (IRDye® 680CW) preadsorbed (ab216777) and Goat anti-Mouse IgG H&L (IRDye® 800RD) preadsorbed (ab216772) secondary antibodies at 1 in 10000 dilution for 1 hour at room temperature before imaging.

All lanes:

Western blot - Anti-SQSTM1 / p62 antibody [3/P62 LCK LIGAND] - Autophagosome Marker (ab280086) at 1/1000 dilution

Lane 1:

Wild-type HAP1 (human chronic myelogenous leukemia near-haploid cell line), whole cell lysate at 20 µg

Lane 2:

SQSTM1 knockout HAP1 (human chronic myelogenous leukemia near-haploid cell line), whole cell lysate at 20 µg

Lane 3:

HeLa (human cervix adenocarcinoma epithelial cell), whole cell lysate at 20 µg

Lane 4:

MCF7 (human breast adenocarcinoma epithelial cell), whole cell lysate at 20 µg

Secondary

All lanes:

Goat Anti-Mouse IgG H&L (IRDye® 800CW) (<a href='/en-us/products/secondary-antibodies/goat-mouse-igg-h-l-irdye-800cw-preadsorbed-ab216772'>ab216772</a>) and Goat Anti-Rabbit IgG H&L (IRDye® 680RD) (<a href='/en-us/products/secondary-antibodies/goat-rabbit-igg-h-l-irdye-680rd-preadsorbed-ab216777'>ab216777</a>) at 1/10000 dilution

Predicted band size: 47 kDa

Observed band size: 62 kDa

false

  • Carrier free

    Anti-SQSTM1 / p62 antibody [3/P62 LCK LIGAND] - BSA and Azide free

Key facts

Host species

Mouse

Clonality

Monoclonal

Clone number

3/P62 LCK LIGAND

Isotype

IgG1

Light chain type

kappa

Carrier free

No

Reacts with

Human

Applications

IHC-P, IP, ICC/IF, WB

applications

Immunogen

The exact immunogen used to generate this antibody is proprietary information.

Reactivity data

{ "title": "Reactivity Data", "filters": { "stats": ["", "Species", "Dilution Info", "Notes"], "tabs": { "all-applications": {"fullname" : "All Applications", "shortname": "All Applications"}, "IHCP" : {"fullname" : "Immunohistochemistry (Formalin/PFA-fixed paraffin-embedded sections)", "shortname":"IHC-P"}, "ICCIF" : {"fullname" : "Immunocytochemistry/ Immunofluorescence", "shortname":"ICC/IF"}, "IP" : {"fullname" : "Immunoprecipitation", "shortname":"IP"}, "WB" : {"fullname" : "Western blot", "shortname":"WB"} }, "product-promise": { "all": "all", "testedAndGuaranteed": "tested", "guaranteed": "expected", "predicted": "predicted", "notRecommended": "not-recommended" } }, "values": { "Human": { "IHCP-species-checked": "testedAndGuaranteed", "IHCP-species-dilution-info": "1/1000", "IHCP-species-notes": "<p></p> Perform heat-mediated antigen retrieval with citrate buffer pH 6 before commencing with IHC staining protocol.", "ICCIF-species-checked": "testedAndGuaranteed", "ICCIF-species-dilution-info": "1/50", "ICCIF-species-notes": "<p></p>", "IP-species-checked": "testedAndGuaranteed", "IP-species-dilution-info": "1/30", "IP-species-notes": "<p></p>", "WB-species-checked": "testedAndGuaranteed", "WB-species-dilution-info": "1/1000", "WB-species-notes": "<p></p>" }, "Mouse": { "IHCP-species-checked": "notRecommended", "IHCP-species-dilution-info": "1/1000", "IHCP-species-notes": "<p></p> Perform heat-mediated antigen retrieval with citrate buffer pH 6 before commencing with IHC staining protocol.", "ICCIF-species-checked": "notRecommended", "ICCIF-species-dilution-info": "1/50", "ICCIF-species-notes": "<p></p>", "IP-species-checked": "notRecommended", "IP-species-dilution-info": "", "IP-species-notes": "", "WB-species-checked": "notRecommended", "WB-species-dilution-info": "1/1000", "WB-species-notes": "<p></p>" }, "Rat": { "IHCP-species-checked": "notRecommended", "IHCP-species-dilution-info": "1/1000", "IHCP-species-notes": "<p></p> Perform heat-mediated antigen retrieval with citrate buffer pH 6 before commencing with IHC staining protocol.", "ICCIF-species-checked": "notRecommended", "ICCIF-species-dilution-info": "", "ICCIF-species-notes": "", "IP-species-checked": "notRecommended", "IP-species-dilution-info": "", "IP-species-notes": "", "WB-species-checked": "notRecommended", "WB-species-dilution-info": "", "WB-species-notes": "" } } }

Product details

What are the advantages of a recombinant monoclonal antibody?
This product is a recombinant monoclonal antibody, which offers several advantages including:

  • - High batch-to-batch consistency and reproducibility
  • - Improved sensitivity and specificity
  • - Long-term security of supply
  • - Animal-free batch production

For more information, read more on recombinant antibodies.

Properties and storage information

Form
Liquid
Purification technique
Affinity purification Protein A
Storage buffer
pH: 7.2 - 7.4 Preservative: 0.01% Sodium azide Constituents: PBS, 40% Glycerol (glycerin, glycerine), 0.05% BSA
Shipped at conditions
Blue Ice
Appropriate short-term storage duration
1-2 weeks
Appropriate short-term storage conditions
+4°C
Appropriate long-term storage conditions
-20°C
Aliquoting information
Upon delivery aliquot
Storage information
Avoid freeze / thaw cycle

Product protocols

For this product, it's our understanding that no specific protocols are required. You can visit:

Target data

The protein expressed by the SQSTM1 gene is an autophagy receptor essential for selective macroautophagy (aggrephagy). It acts as a bridge between polyubiquitinated cargo and autophagosomes, interacting with both the cargo and an autophagy modifier from the MAP1 LC3 family. Alongside WDFY3, it plays a role in forming and autophagically degrading cytoplasmic ubiquitin-containing inclusions and recruiting ubiquitinated proteins to nuclear PML bodies. SQSTM1 may regulate NFKB1 activation by TNF-alpha, nerve growth factor (NGF), and interleukin-1, and may influence titin/TTN signaling in muscle cells. It may also affect signaling cascades via ubiquitination and be involved in cell differentiation, apoptosis, immune response, and regulation of potassium channels. The protein is involved in endosome organization by retaining vesicles in the perinuclear cloud; ubiquitination by RNF26 allows it to attract vesicle-associated adapters, forming a molecular bridge to organize endosomal pathways. Additionally, it promotes the relocalization of Lys-63-linked ubiquitinated STING1 to autophagosomes and acts as an activator of the NFE2L2/NRF2 pathway by interacting with KEAP1, which inactivates the BCR(KEAP1) complex, resulting in nuclear accumulation of NFE2L2/NRF2 and expression of cytoprotective genes. This supplementary information is collated from multiple sources and compiled automatically.
See full target information SQSTM1

Publications (6)

Recent publications for all applications. Explore the full list and refine your search

Cell & bioscience 15:124 PubMed40877964

2025

Enriched environment inhibits GLT-1 ubiquitination by downregulating SMURF1 to attenuate ischemic brain injury induced excitotoxicity.

Applications

Unspecified application

Species

Unspecified reactive species

Yi Zhang,Wen Liu,Tao Huang,Lingling Liu,Xiuping Chen

Virulence 15:2350893 PubMed38725096

2024

effector CvpE maintains biogenesis of -containing vacuoles by suppressing lysosome tubulation through binding PI(3)P and perturbing PIKfyve activity on lysosomes.

Applications

Unspecified application

Species

Unspecified reactive species

Mingliang Zhao,Shan Zhang,Weiqiang Wan,Chunyu Zhou,Nana Li,Ruxi Cheng,Yonghui Yu,Xuan Ouyang,Dongsheng Zhou,Jun Jiao,Xiaolu Xiong

International heart journal 64:910-917 PubMed37778994

2023

Catalpol Inhibits Autophagy to Ameliorate Doxorubicin-Induced Cardiotoxicity via the AKT-mTOR Pathway.

Applications

Unspecified application

Species

Unspecified reactive species

Bo Liu,Han Xie,Xiongbing Du,Yuyang Zhou,Jiashun Huang

iScience 25:105029 PubMed36111256

2022

MCM7 supports the stemness of bladder cancer stem-like cells by enhancing autophagic flux.

Applications

Unspecified application

Species

Unspecified reactive species

Lijun Mo,Bijia Su,Lili Xu,Zhiming Hu,Hongwei Li,Hongyan Du,Jinlong Li

Bioengineered 13:14125-14137 PubMed35730472

2022

SOCS5 contributes to temozolomide resistance in glioblastoma by regulating Bcl-2-mediated autophagy.

Applications

Unspecified application

Species

Unspecified reactive species

Jie Yu,Lin Han,Feng Yang,Mingliang Zhao,Hong Zhou,Linwang Hu

Neurobiology of disease 170:105769 PubMed35580815

2022

Directing LRRK2 to membranes of the endolysosomal pathway triggers RAB phosphorylation and JIP4 recruitment.

Applications

Unspecified application

Species

Unspecified reactive species

Jillian H Kluss,Luis Bonet-Ponce,Patrick A Lewis,Mark R Cookson
View all publications

Product promise

We are committed to supporting your work with high-quality reagents, and we're here for you every step of the way. In the unlikely event that one of our products does not perform as expected, you're protected by our Product Promise.
For full details, please see our Terms & Conditions

Please note: All products are 'FOR RESEARCH USE ONLY. NOT FOR USE IN DIAGNOSTIC OR THERAPEUTIC PROCEDURES'.

For licensing inquiries, please contact partnerships@abcam.com