JavaScript is disabled in your browser. Please enable JavaScript to view this website.
AB155686

Anti-SQSTM1 / p62 antibody - Autophagosome Marker

5

(3 Reviews)

|

(90 Publications)

Rabbit Polyclonal SQSTM1 / p62 antibody. Suitable for IP, Flow Cyt, WB, IHC-P, ICC/IF and reacts with Human, Rat, Mouse samples. Cited in 90 publications. Immunogen corresponding to Synthetic Peptide within Human SQSTM1 aa 150-300.

View Alternative Names

ORCA, OSIL, SQSTM1, Sequestosome-1, EBI3-associated protein of 60 kDa, Phosphotyrosine-independent ligand for the Lck SH2 domain of 62 kDa, Ubiquitin-binding protein p62, EBIAP, p60, p62

12 Images
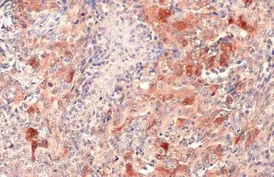
Immunohistochemistry (Formalin/PFA-fixed paraffin-embedded sections) - Anti-SQSTM1 / p62 antibody - Autophagosome Marker (AB155686)
  • IHC-P

Supplier Data

Immunohistochemistry (Formalin/PFA-fixed paraffin-embedded sections) - Anti-SQSTM1 / p62 antibody - Autophagosome Marker (AB155686)

Paraffin-embedded human lung cancer tissue stained for SQSTM1 / P62 protein at cytoplasm with ab155686 at a 1/500 dilution in immunohistochemical analysis.

Antigen Retrieval : Citrate buffer, pH 6.0, 15 min

Immunocytochemistry/ Immunofluorescence - Anti-SQSTM1 / p62 antibody - Autophagosome Marker (AB155686)
  • ICC/IF

Supplier Data

Immunocytochemistry/ Immunofluorescence - Anti-SQSTM1 / p62 antibody - Autophagosome Marker (AB155686)

Immunocytochemistry/ Immunofluorescence analysis of HepG2 cells treated with 3μM thapsigargin for 12 hours (right) and mock (left) labeling SQSTM1/p62 with ab155686 at 1 : 500 (green). Cells were fixed in ice-cold MeOH for 10 minutes, permeabilized with cooled acetone for 1 minute. Cells were co-stained with Hoechst (blue).

Flow Cytometry - Anti-SQSTM1 / p62 antibody - Autophagosome Marker (AB155686)
  • Flow Cyt

Supplier Data

Flow Cytometry - Anti-SQSTM1 / p62 antibody - Autophagosome Marker (AB155686)

4% paraformaldehyde-fixed HeLa cells stained for SQSTM1/p62 (blue) using ab155686 (1/100) in Flow Cytometry. The cells were fixed at 4°C for 5 minutes. The brown line is unlabelled sample. Acquisition of >20,000 events were collected using Argon ion laser (488nm) and 525/30 bandpass filter.

Immunocytochemistry/ Immunofluorescence - Anti-SQSTM1 / p62 antibody - Autophagosome Marker (AB155686)
  • ICC/IF

Supplier Data

Immunocytochemistry/ Immunofluorescence - Anti-SQSTM1 / p62 antibody - Autophagosome Marker (AB155686)

Immunocytochemistry/Immunofluorescent analysis of HeLa cells mock (left) and treated with 50μM Chloroquine for 24 hr (right) labeling SQSTM1/p62 (green) with ab155686 at 1/1000 dilution. Cells were fixed with 4% paraformaldehyde at RT for 15 min. Red : Phalloidin, a F-actin marker.

Immunocytochemistry/ Immunofluorescence - Anti-SQSTM1 / p62 antibody - Autophagosome Marker (AB155686)
  • ICC/IF

Lab

Immunocytochemistry/ Immunofluorescence - Anti-SQSTM1 / p62 antibody - Autophagosome Marker (AB155686)

ab155686 staining SQSTM1/p62 (autophagosome) in control HeLa cells (left panel) and SQSTM1/p62 in HeLa cells treated with 1uM bafilomycin A1 (ab120497) for 18hrs (right panel). The cells were fixed with methanol (5min), permeabilized with 0.1% Triton X-100 for 5 minutes and then blocked with 1% BSA/10% normal goat serum/0.3M glycine in 0.1% PBS-Tween for 1h. The cells were then incubated with ab155686 at 1/500 dilution and ab7291 (Tubulin) at 1/1000 dilution overnight at +4°C, followed by a further incubation at room temperature for 1h with a goat secondary antibody to rabbit IgG (Alexa Fluor® 488) (ab150081) at 2 μg/ml (shown in green) and a goat secondary antibody to mouse IgG (Alexa Fluor® 594) (ab150120) at 2 μg/ml (shown in pseudo color red). Nuclear DNA was labelled in blue with DAPI.

Image was taken with a confocal microscope (Leica-Microsystems, TCS SP8).

Immunoprecipitation - Anti-SQSTM1 / p62 antibody - Autophagosome Marker (AB155686)
  • IP

Supplier Data

Immunoprecipitation - Anti-SQSTM1 / p62 antibody - Autophagosome Marker (AB155686)

Immunoprecipitation of SQSTM1/p62 protein from HeLa whole cell extracts using 5 μg of ab155686.
Western blot analysis was performed using ab155686.
Anti-Rabbit IgG was used as a secondary reagent.

All lanes:

Immunoprecipitation - Anti-SQSTM1 / p62 antibody - Autophagosome Marker (ab155686)

Predicted band size: 47 kDa

false

Western blot - Anti-SQSTM1 / p62 antibody - Autophagosome Marker (AB155686)
  • WB

Lab

Western blot - Anti-SQSTM1 / p62 antibody - Autophagosome Marker (AB155686)

10% SDS-PAGE

All lanes:

Western blot - Anti-SQSTM1 / p62 antibody - Autophagosome Marker (ab155686) at 1/500 dilution

Lane 1:

HepG2 whole cell extracts at 30 µg

Lane 2:

SQSTM1/p62 shRNA transfected HepG2 whole cell extracts at 30 µg

Secondary

All lanes:

HRP-conjugated anti-rabbit IgG antibody

Predicted band size: 47 kDa

false

Western blot - Anti-SQSTM1 / p62 antibody - Autophagosome Marker (AB155686)
  • WB

Supplier Data

Western blot - Anti-SQSTM1 / p62 antibody - Autophagosome Marker (AB155686)

Samples were separated by 12% SDS-PAGE.

All lanes:

Western blot - Anti-SQSTM1 / p62 antibody - Autophagosome Marker (ab155686) at 1/1000 dilution

Lane 1:

Untreated Huh-7 whole cell extracts at 30 µg

Lane 2:

Treated Huh-7 whole cell extracts at 30 µg

Secondary

All lanes:

HRP-conjugated anti-rabbit IgG antibody

Predicted band size: 48 kDa

false

Western blot - Anti-SQSTM1 / p62 antibody - Autophagosome Marker (AB155686)
  • WB

Supplier Data

Western blot - Anti-SQSTM1 / p62 antibody - Autophagosome Marker (AB155686)

Samples were separated by 10% SDS-PAGE.

All lanes:

Western blot - Anti-SQSTM1 / p62 antibody - Autophagosome Marker (ab155686) at 1/1000 dilution

Lane 1:

Untreated HepG2 whole cell extracts at 30 µg

Lane 2:

Treated HepG2 whole cell extracts at 30 µg

Secondary

All lanes:

HRP-conjugated anti-rabbit IgG antibody

Predicted band size: 48 kDa

false

Western blot - Anti-SQSTM1 / p62 antibody - Autophagosome Marker (AB155686)
  • WB

Supplier Data

Western blot - Anti-SQSTM1 / p62 antibody - Autophagosome Marker (AB155686)

10% SDS-PAGE

All lanes:

Western blot - Anti-SQSTM1 / p62 antibody - Autophagosome Marker (ab155686) at 1/1000 dilution

Lane 1:

PC-12 whole cell lysate/extract at 30 µg

Lane 2:

Rat2 whole cell lysate/extract at 30 µg

Secondary

All lanes:

HRP-conjugated anti-rabbit IgG antibody

Predicted band size: 47 kDa

false

Western blot - Anti-SQSTM1 / p62 antibody - Autophagosome Marker (AB155686)
  • WB

Supplier Data

Western blot - Anti-SQSTM1 / p62 antibody - Autophagosome Marker (AB155686)

Samples were separated by 7.5% SDS-PAGE.

All lanes:

Western blot - Anti-SQSTM1 / p62 antibody - Autophagosome Marker (ab155686) at 1/5000 dilution

Lane 1:

Untreated NIH-3T3 whole cell extracts at 30 µg

Lane 2:

Treated NIH-3T3 whole cell extracts at 30 µg

Secondary

All lanes:

HRP-conjugated anti-rabbit IgG antibody

Predicted band size: 48 kDa

false

Western blot - Anti-SQSTM1 / p62 antibody - Autophagosome Marker (AB155686)
  • WB

Supplier Data

Western blot - Anti-SQSTM1 / p62 antibody - Autophagosome Marker (AB155686)

Samples were separated by SDS-PAGE.

All lanes:

Western blot - Anti-SQSTM1 / p62 antibody - Autophagosome Marker (ab155686) at 1/1000 dilution

Lane 1:

NIH-3T3 whole cell lysate at 30 µg

Lane 2:

JC whole cell lysate at 30 µg

Lane 3:

BCL-1 whole cell lysate at 30 µg

Secondary

All lanes:

HRP-conjugated anti-rabbit IgG antibody

Predicted band size: 48 kDa

false

Key facts

Host species

Rabbit

Clonality

Polyclonal

Isotype

IgG

Carrier free

No

Reacts with

Rat, Human, Mouse

Applications

IP, IHC-P, WB, Flow Cyt, ICC/IF

applications

Immunogen

Synthetic Peptide within Human SQSTM1 aa 150-300. The exact immunogen used to generate this antibody is proprietary information.

Q13501

Reactivity data

{ "title": "Reactivity Data", "filters": { "stats": ["", "Species", "Dilution Info", "Notes"], "tabs": { "all-applications": {"fullname" : "All Applications", "shortname": "All Applications"}, "IP" : {"fullname" : "Immunoprecipitation", "shortname":"IP"}, "FlowCyt" : {"fullname" : "Flow Cytometry", "shortname":"Flow Cyt"}, "WB" : {"fullname" : "Western blot", "shortname":"WB"}, "IHCP" : {"fullname" : "Immunohistochemistry (Formalin/PFA-fixed paraffin-embedded sections)", "shortname":"IHC-P"}, "ICCIF" : {"fullname" : "Immunocytochemistry/ Immunofluorescence", "shortname":"ICC/IF"} }, "product-promise": { "all": "all", "testedAndGuaranteed": "tested", "guaranteed": "expected", "predicted": "predicted", "notRecommended": "not-recommended" } }, "values": { "Human": { "IP-species-checked": "testedAndGuaranteed", "IP-species-dilution-info": "1/100 - 1/500", "IP-species-notes": "<p></p>", "FlowCyt-species-checked": "testedAndGuaranteed", "FlowCyt-species-dilution-info": "1/50 - 1/200", "FlowCyt-species-notes": "<p></p>", "WB-species-checked": "testedAndGuaranteed", "WB-species-dilution-info": "1/500 - 1/3000", "WB-species-notes": "<p></p>", "IHCP-species-checked": "testedAndGuaranteed", "IHCP-species-dilution-info": "1/100 - 1/1000", "IHCP-species-notes": "<p></p>", "ICCIF-species-checked": "testedAndGuaranteed", "ICCIF-species-dilution-info": "1/100 - 1/1000", "ICCIF-species-notes": "<p></p>" }, "Mouse": { "IP-species-checked": "guaranteed", "IP-species-dilution-info": "", "IP-species-notes": "", "FlowCyt-species-checked": "guaranteed", "FlowCyt-species-dilution-info": "", "FlowCyt-species-notes": "", "WB-species-checked": "testedAndGuaranteed", "WB-species-dilution-info": "1/500 - 1/3000", "WB-species-notes": "<p></p>", "IHCP-species-checked": "guaranteed", "IHCP-species-dilution-info": "", "IHCP-species-notes": "", "ICCIF-species-checked": "guaranteed", "ICCIF-species-dilution-info": "", "ICCIF-species-notes": "" }, "Rat": { "IP-species-checked": "guaranteed", "IP-species-dilution-info": "", "IP-species-notes": "", "FlowCyt-species-checked": "guaranteed", "FlowCyt-species-dilution-info": "", "FlowCyt-species-notes": "", "WB-species-checked": "testedAndGuaranteed", "WB-species-dilution-info": "1/500 - 1/3000", "WB-species-notes": "<p></p>", "IHCP-species-checked": "guaranteed", "IHCP-species-dilution-info": "", "IHCP-species-notes": "", "ICCIF-species-checked": "guaranteed", "ICCIF-species-dilution-info": "", "ICCIF-species-notes": "" } } }

Properties and storage information

Form
Liquid
Purification technique
Affinity purification Immunogen
Storage buffer
pH: 7 Preservative: 0.025% Proclin 300 Constituents: PBS, 20% Glycerol (glycerin, glycerine)
Shipped at conditions
Blue Ice
Appropriate short-term storage conditions
+4°C
Appropriate long-term storage conditions
-20°C
Aliquoting information
Upon delivery aliquot
Storage information
Avoid freeze / thaw cycle

Product protocols

For this product, it's our understanding that no specific protocols are required. You can visit:

Target data

The protein expressed by the SQSTM1 gene is an autophagy receptor essential for selective macroautophagy (aggrephagy). It acts as a bridge between polyubiquitinated cargo and autophagosomes, interacting with both the cargo and an autophagy modifier from the MAP1 LC3 family. Alongside WDFY3, it plays a role in forming and autophagically degrading cytoplasmic ubiquitin-containing inclusions and recruiting ubiquitinated proteins to nuclear PML bodies. SQSTM1 may regulate NFKB1 activation by TNF-alpha, nerve growth factor (NGF), and interleukin-1, and may influence titin/TTN signaling in muscle cells. It may also affect signaling cascades via ubiquitination and be involved in cell differentiation, apoptosis, immune response, and regulation of potassium channels. The protein is involved in endosome organization by retaining vesicles in the perinuclear cloud; ubiquitination by RNF26 allows it to attract vesicle-associated adapters, forming a molecular bridge to organize endosomal pathways. Additionally, it promotes the relocalization of Lys-63-linked ubiquitinated STING1 to autophagosomes and acts as an activator of the NFE2L2/NRF2 pathway by interacting with KEAP1, which inactivates the BCR(KEAP1) complex, resulting in nuclear accumulation of NFE2L2/NRF2 and expression of cytoprotective genes. This supplementary information is collated from multiple sources and compiled automatically.
See full target information SQSTM1

Publications (90)

Recent publications for all applications. Explore the full list and refine your search

Environment & health (Washington, D.C.) 3:199-212 PubMed40012869

2025

Exposure to Manganese Induces Autophagy-Lysosomal Pathway Dysfunction-Mediated Tauopathy by Activating the cGAS-STING Pathway in the Brain.

Applications

Unspecified application

Species

Unspecified reactive species

Xin Zhang,Jingjing Liu,Shiyin Zhong,Zhimin Zhang,Qiongli Zhou,Jirui Yang,Xuhong Chang,Hui Wang

Journal of tissue engineering 15:20417314241287487 PubMed39698514

2024

Intranasal delivery of macrophage cell membrane cloaked biomimetic drug-nanoparticle system attenuates acute lung injury.

Applications

Unspecified application

Species

Unspecified reactive species

Yue Zhao,Xin Shen,Yinqiang Fan,Ning Wei,Zijie Ling,Yinlian Yao,Shilong Fan,Jiahao Liu,Yiming Shao,Zhikun Zhou,Hua Jin

Experimental & molecular medicine 56:2714-2725 PubMed39627451

2024

The anticancer effect of metformin targets VDAC1 via ER-mitochondria interactions-mediated autophagy in HCC.

Applications

Unspecified application

Species

Unspecified reactive species

Minjeong Ko,Jiho Kim,Raudah Lazim,Ju Yeon Lee,Jin Young Kim,Vijayakumar Gosu,Yoonji Lee,Sun Choi,Ho Jeong Kwon

International journal of molecular sciences 25: PubMed39201776

2024

Hsp70 Negatively Regulates Autophagy via Governing AMPK Activation, and Dual Hsp70-Autophagy Inhibition Induces Synergetic Cell Death in NSCLC Cells.

Applications

Unspecified application

Species

Unspecified reactive species

Bashar Alhasan,Yana A Gladova,Dmitry V Sverchinsky,Nikolai D Aksenov,Boris A Margulis,Irina V Guzhova

Haematologica 109:1501-1513 PubMed37981834

2024

Pharmacologic targeting of the p62 ZZ domain enhances both anti-tumor and bone-anabolic effects of bortezomib in multiple myeloma.

Applications

Unspecified application

Species

Unspecified reactive species

Silvia Marino,Daniela N Petrusca,Ryan T Bishop,Judith L Anderson,Hayley M Sabol,Cody Ashby,Justin H Layer,Annamaria Cesarano,Utpal P Davé,Fabiana Perna,Jesus Delgado-Calle,John M Chirgwin,G David Roodman

Molecular medicine reports 29: PubMed38516774

2024

miRNA‑21 promotes the progression of acute liver failure via the KLF6/autophagy/IL‑23 signaling pathway.

Applications

Unspecified application

Species

Unspecified reactive species

Suxia Bao,Weiyang Zheng,Rong Yan,Jie Xu

Molecular medicine reports 29: PubMed38275127

2024

Larixyl acetate, a TRPC6 inhibitor, attenuates pressure overload‑induced heart failure in mice.

Applications

Unspecified application

Species

Unspecified reactive species

Min Jia,Wenxue Liu,Keyin Zhang,Zhigang Wang,Ruisha Li,Jun Pan,Jianjun Yang,Dongjin Wang

Cells 12: PubMed37830578

2023

Exploration of SUMO2/3 Expression Levels and Autophagy Process in Fragile X-Associated Tremor/Ataxia Syndrome: Addressing Study Limitations and Insights for Future Research.

Applications

Unspecified application

Species

Unspecified reactive species

Maria Isabel Alvarez-Mora,Glòria Garrabou,Laura Molina-Porcel,Ruben Grillo-Risco,Francisco Garcia-Garcia,Tamara Barcos,Judith Cantó-Santos,Laia Rodriguez-Revenga

Nature communications 14:4283 PubMed37463889

2023

An optimized Nurr1 agonist provides disease-modifying effects in Parkinson's disease models.

Applications

Unspecified application

Species

Unspecified reactive species

Woori Kim,Mohit Tripathi,Chunhyung Kim,Satyapavan Vardhineni,Young Cha,Shamseer Kulangara Kandi,Melissa Feitosa,Rohit Kholiya,Eric Sah,Anuj Thakur,Yehan Kim,Sanghyeok Ko,Kaiya Bhatia,Sunny Manohar,Young-Bin Kong,Gagandeep Sindhu,Yoon-Seong Kim,Bruce Cohen,Diwan S Rawat,Kwang-Soo Kim

Cells 12: PubMed37296618

2023

Extracellular Vesicles Released by Genetically Modified Macrophages Activate Autophagy and Produce Potent Neuroprotection in Mouse Model of Lysosomal Storage Disorder, Batten Disease.

Applications

Unspecified application

Species

Unspecified reactive species

Nazira El-Hage,Matthew J Haney,Yuling Zhao,Myosotys Rodriguez,Zhanhong Wu,Mori Liu,Carson J Swain,Hong Yuan,Elena V Batrakova
View all publications

Product promise

We are committed to supporting your work with high-quality reagents, and we're here for you every step of the way. In the unlikely event that one of our products does not perform as expected, you're protected by our Product Promise.
For full details, please see our Terms & Conditions

Please note: All products are 'FOR RESEARCH USE ONLY. NOT FOR USE IN DIAGNOSTIC OR THERAPEUTIC PROCEDURES'.

For licensing inquiries, please contact partnerships@abcam.com