JavaScript is disabled in your browser. Please enable JavaScript to view this website.
AB207305

Anti-SQSTM1 / p62 antibody [EPR18351] - Autophagosome Marker

5

(3 Reviews)

|

(96 Publications)

Anti-SQSTM1 / p62 antibody [EPR18351] (ab207305) is a rabbit monoclonal antibody detecting SQSTM1 / p62 in Western Blot, Flow Cytometry (Intra), Flow Cytometry, IP, IHC-P, ICC/IF. Suitable for Human.

- KO validated for confirmed specificity
- Biophysical QC for unrivalled batch-batch consistency
- Over 40 publications

View Alternative Names

ORCA, OSIL, SQSTM1, Sequestosome-1, EBI3-associated protein of 60 kDa, Phosphotyrosine-independent ligand for the Lck SH2 domain of 62 kDa, Ubiquitin-binding protein p62, EBIAP, p60, p62

16 Images
Immunocytochemistry/ Immunofluorescence - Anti-SQSTM1 / p62 antibody [EPR18351] - Autophagosome Marker (AB207305)
  • ICC/IF

Lab

Immunocytochemistry/ Immunofluorescence - Anti-SQSTM1 / p62 antibody [EPR18351] - Autophagosome Marker (AB207305)

ab207305 staining SQSTM1/p62 in HeLa cells +/- Chloroquine (50μM, 24 hours). The cells were fixed with 100% methanol (5 min), permeabilized with 0.1% Triton X-100 for 5 minutes and then blocked with 1% BSA/10% normal goat serum/0.3M glycine in 0.1% PBS-Tween for 1h. The cells were then incubated overnight at +4°C with ab207305 at 1μg/ml and ab195889, Mouse monoclonal to alpha Tubulin (Alexa Fluor® 594), at 1/250 dilution (shown in pseudocolor red) followed by a further incubation at room temperature for 1h with a goat secondary antibody to Rabbit IgG (Alexa Fluor® 488) (ab150081) at 2 μg/ml (shown in green). Nuclear DNA was labelled with DAPI (shown in blue).

Image was taken with a confocal microscope (Leica-Microsystems, TCS SP8).

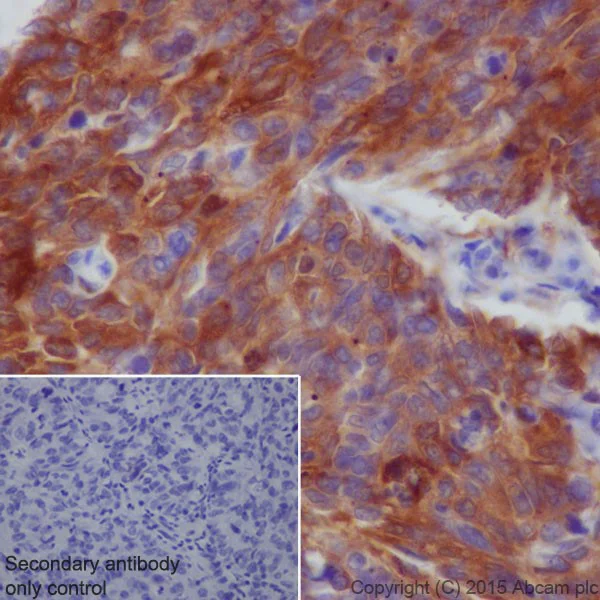
Immunohistochemistry (Formalin/PFA-fixed paraffin-embedded sections) - Anti-SQSTM1 / p62 antibody [EPR18351] - Autophagosome Marker (AB207305)
  • IHC-P

Supplier Data

Immunohistochemistry (Formalin/PFA-fixed paraffin-embedded sections) - Anti-SQSTM1 / p62 antibody [EPR18351] - Autophagosome Marker (AB207305)

Immunohistochemical analysis of paraffin-embedded human lung cancer tissue labeling SQSTM1 / p62 with ab207305 at 1/2000 dilution, followed by Goat Anti-Rabbit IgG H&L (HRP) (ab97051) at 1/500 dilution. Cytoplasm and weakly nucleus staining on human lung cancer is observed. Counter stained with Hematoxylin.

Secondary antibody only control : Used PBS instead of primary antibody, secondary antibody is Goat Anti-Rabbit IgG H&L (HRP) (ab97051) at 1/500 dilution.

Perform heat mediated antigen retrieval with Tris/EDTA buffer pH 9.0 before commencing with IHC staining protocol.

Flow Cytometry (Intracellular) - Anti-SQSTM1 / p62 antibody [EPR18351] - Autophagosome Marker (AB207305)
  • Flow Cyt (Intra)

Supplier Data

Flow Cytometry (Intracellular) - Anti-SQSTM1 / p62 antibody [EPR18351] - Autophagosome Marker (AB207305)

Intracellular flow cytometric analysis of 4% paraformaldehyde-fixed PC-3 (Human prostate adenocarcinoma cell line) cells labeling SQSTM1 / p62 with ab207305 at 1/100 dilution (red) compared with a rabbit monoclonal IgG isotype control (ab172730; black) and an unlabelled control (cells without incubation with primary antibody and secondary antibody; blue). Goat Anti-Rabbit IgG (FITC) at 1/500 dilution was used as the secondary antibody.

Immunocytochemistry/ Immunofluorescence - Anti-SQSTM1 / p62 antibody [EPR18351] - Autophagosome Marker (AB207305)
  • ICC/IF

Lab

Immunocytochemistry/ Immunofluorescence - Anti-SQSTM1 / p62 antibody [EPR18351] - Autophagosome Marker (AB207305)

ab207305 staining SQSTM1 in wild-type HAP1 cells and knockout cells, untreated and chloroquine-treated (ab142116, 50μM, 24 hours). The cells were fixed with 4% formaldehyde (10min), permeabilized with 0.1% Triton X-100 for 5 minutes and then blocked with 1% BSA/10% normal goat serum/0.3M glycine in 0.1% PBS-Tween for 1h. The cells were then incubated with ab207305 at 1μg/ml and ab195889 at 1/250 dilution (shown in pseudocolour red) overnight at +4°C, followed by a further incubation at room temperature for 1h with a goat secondary antibody to Rabbit IgG (Alexa Fluor® 488) (ab150081) at 2 μg/ml (shown in green). Nuclear DNA was labelled in blue with DAPI.

Image was taken with a confocal microscope (Leica-Microsystems, TCS SP8).

Immunohistochemistry (Formalin/PFA-fixed paraffin-embedded sections) - Anti-SQSTM1 / p62 antibody [EPR18351] - Autophagosome Marker (AB207305)
  • IHC-P

Supplier Data

Immunohistochemistry (Formalin/PFA-fixed paraffin-embedded sections) - Anti-SQSTM1 / p62 antibody [EPR18351] - Autophagosome Marker (AB207305)

Immunohistochemical analysis of paraffin-embedded human liver tissue labeling SQSTM1 / p62 with ab207305 at 1/2000 dilution, followed by Goat Anti-Rabbit IgG H&L (HRP) (ab97051) at 1/500 dilution. Negative staining on Hhman normal liver tissue. Counter stained with Hematoxylin.

Secondary antibody only control : Used PBS instead of primary antibody, secondary antibody is Goat Anti-Rabbit IgG H&L (HRP) (ab97051) at 1/500 dilution.

Perform heat mediated antigen retrieval with Tris/EDTA buffer pH 9.0 before commencing with IHC staining protocol.

Immunohistochemistry (Formalin/PFA-fixed paraffin-embedded sections) - Anti-SQSTM1 / p62 antibody [EPR18351] - Autophagosome Marker (AB207305)
  • IHC-P

Supplier Data

Immunohistochemistry (Formalin/PFA-fixed paraffin-embedded sections) - Anti-SQSTM1 / p62 antibody [EPR18351] - Autophagosome Marker (AB207305)

Immunohistochemical analysis of paraffin-embedded human hepatocellular carcinoma tissue labeling SQSTM1 / p62 with ab207305 at 1/2000 dilution, followed by Goat Anti-Rabbit IgG H&L (HRP) (ab97051) at 1/500 dilution. Cytoplasm staining on human hepatocellular carcinoma is observed. Counter stained with Hematoxylin.

Secondary antibody only control : Used PBS instead of primary antibody, secondary antibody is Goat Anti-Rabbit IgG H&L (HRP) (ab97051) at 1/500 dilution.

Perform heat mediated antigen retrieval with Tris/EDTA buffer pH 9.0 before commencing with IHC staining protocol.

Immunocytochemistry/ Immunofluorescence - Anti-SQSTM1 / p62 antibody [EPR18351] - Autophagosome Marker (AB207305)
  • ICC/IF

Collaborator

Immunocytochemistry/ Immunofluorescence - Anti-SQSTM1 / p62 antibody [EPR18351] - Autophagosome Marker (AB207305)

ab207305 was shown to react with SQSTM1 in wild-type U-2 OS cells in Immunocytochemistry with loss of signal observed in a SQSTM1 knockout cell line. Wild-type and knockout cells were mixed and pelleted at a 1 : 1 ratio on coverslips. The cells were fixed with 4% paraformaldehyde (15 min) then permeabilized with 0.1% Triton X-100 (10min) and then blocked with 1/5000. The cells were then incubated with ab207305 at 1/200 dilution overnight at 4°C followed by a further incubation at room temperature for 1h with a goat anti-rabbit secondary antibody to (Alexa Fluor® 555) at 0.5 μg/ml. Acquisition of the green (wild-type), red (antibody staining) and far-red (knockout) channels was performed. Representative grayscale images of the red channel are shown. Wild-type and knockout cells are outlined with yellow and magenta dashed line, respectively. Schematic representation of the mosaic strategy used is shown on the bottom-right panel. Image was acquired with a Zeiss(LSM-880). These data were provided by YCharOS Inc., an open science company with the mission of characterizing commercially available antibody reagents for all human proteins. Abcam and YCharOS are working together to help address the reproducibility crisis by enabling the life science community to better evaluate commercially available antibodies.

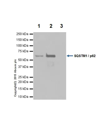
Immunoprecipitation - Anti-SQSTM1 / p62 antibody [EPR18351] - Autophagosome Marker (AB207305)
  • IP

Supplier Data

Immunoprecipitation - Anti-SQSTM1 / p62 antibody [EPR18351] - Autophagosome Marker (AB207305)

SQSTM1 / p62 was immunoprecipitated from 1mg of HepG2 (Human liver hepatocellular carcinoma) whole cell lysate with ab207305 at 1/40 dilution.
Western blot was performed from the immunoprecipitate using ab207305 at 1/1000 dilution. VeriBlot for IP Detection Reagent (HRP) (ab131366), was used for detection at 1/10000 dilution.
Lane 1 : HepG2 whole cell lysate 10ug (Input).
Lane 2 : ab207305 IP in HepG2 whole cell lysate.
Lane 3 : Rabbit monoclonal IgG (ab172730) instead of ab207305 in HepG2 whole cell lysate.
Blocking and dilution buffer and concentration : 5% NFDM/TBST.
Exposure time : 1 second.

All lanes:

Immunoprecipitation - Anti-SQSTM1 / p62 antibody [EPR18351] - Autophagosome Marker (ab207305)

Predicted band size: 32 kDa,47 kDa

false

Immunoprecipitation - Anti-SQSTM1 / p62 antibody [EPR18351] - Autophagosome Marker (AB207305)
  • IP

Unknown

Immunoprecipitation - Anti-SQSTM1 / p62 antibody [EPR18351] - Autophagosome Marker (AB207305)

SQSTM1 / p62 was immunoprecipitated from 1mg of HeLa (Human epithelial cells from cervix adenocarcinoma) whole cell lysate with ab207305 at 1/40 dilution.
Western blot was performed from the immunoprecipitate using ab207305 at 1/1000 dilution. VeriBlot for IP Detection Reagent (HRP) (ab131366), was used for detection at 1/10000 dilution.
Lane 1 : HeLa whole cell lysate 10ug (Input).
Lane 2 : ab207305 IP in HeLa whole cell lysate.
Lane 3 : Rabbit monoclonal IgG (ab172730) instead of ab207305 in HeLa whole cell lysate.
Blocking and dilution buffer and concentration : 5% NFDM/TBST.
Exposure time : 1 second.

All lanes:

Immunoprecipitation - Anti-SQSTM1 / p62 antibody [EPR18351] - Autophagosome Marker (ab207305)

Predicted band size: 47 kDa

false

Western blot - Anti-SQSTM1 / p62 antibody [EPR18351] - Autophagosome Marker (AB207305)
  • WB

Lab

Western blot - Anti-SQSTM1 / p62 antibody [EPR18351] - Autophagosome Marker (AB207305)

Lanes 1-4 : Merged signal (red and green). Green - ab207305 observed at 55 kDa. Red - loading control ab8245 observed at 36 kDa.

ab207305 Anti-SQSTM1 / p62 antibody [EPR18351] was shown to specifically react with SQSTM1 / p62 in wild-type HCT116 cells. The band observed in CRISPR/Cas9 edited cell line ab266871 (CRISPR/Cas9 edited cell lysate ab257052) lane below 55 kDa may represent truncated forms and cleaved fragments. This has not been investigated further. Wild-type and SQSTM1 / p62 CRISPR/Cas9 edited samples were subjected to SDS-PAGE. ab207305 and Anti-GAPDH antibody [6C5] - Loading Control (ab8245) were incubated overnight at 4°C at 1 in 1000 dilution and 1 in 20000 dilution respectively. Blots were developed with Goat anti-Rabbit IgG H&L (IRDye® 800CW) preadsorbed (ab216773) and Goat anti-Mouse IgG H&L (IRDye® 680RD) preadsorbed (ab216776) secondary antibodies at 1 in 20000 dilution for 1 hour at room temperature before imaging.

All lanes:

Western blot - Anti-SQSTM1 / p62 antibody [EPR18351] - Autophagosome Marker (ab207305)

Lane 1:

Wild-type HCT116 cell lysate at 20 µg

Lane 2:

SQSTM1 CRISPR/Cas9 edited HCT116 cell lysate at 20 µg

Lane 2:

Western blot - Human SQSTM1 (p62) knockout HCT116 cell line (<a href='/en-us/products/cell-lines/human-sqstm1-p62-knockout-hct116-cell-line-ab266871'>ab266871</a>)

Lane 3:

HepG2 cell lysate at 20 µg

Lane 4:

HeLa cell lysate at 20 µg

Secondary

All lanes:

Western blot - Goat anti-Rabbit IgG H&L (IRDye® 800CW) preadsorbed (<a href='/en-us/products/secondary-antibodies/goat-rabbit-igg-h-l-irdye-800cw-preadsorbed-ab216773'>ab216773</a>) at 1/10000 dilution

Predicted band size: 47 kDa

Observed band size: 55 kDa

false

Western blot - Anti-SQSTM1 / p62 antibody [EPR18351] - Autophagosome Marker (AB207305)
  • WB

Lab

Western blot - Anti-SQSTM1 / p62 antibody [EPR18351] - Autophagosome Marker (AB207305)

Lane 1 : Wild-type HAP1 cell lysate (20 μg)
Lane 2 : SQSTM1/p62 knockout HAP1 cell lysate (20 μg)
Lane 3 : HeLa cell lysate (20 μg)
Lane 4 : HepG2 cell lysate (20 μg)
Lanes 1 - 4 : Merged signal (red and green).

Green - target observed at 55 kDa. Red - loading control, ab8245, observed at 37 kDa.

This western blot image is a comparison between ab207305 and a competitor's discontinued goat polyclonal antibody.

All lanes:

Western blot - Anti-SQSTM1 / p62 antibody [EPR18351] - Autophagosome Marker (ab207305)

Predicted band size: 47 kDa

false

Western blot - Anti-SQSTM1 / p62 antibody [EPR18351] - Autophagosome Marker (AB207305)
  • WB

Lab

Western blot - Anti-SQSTM1 / p62 antibody [EPR18351] - Autophagosome Marker (AB207305)

Lane 1 : Wild-type HAP1 cell lysate (20 μg)
Lane 2 : SQSTM1/p62 knockout HAP1 cell lysate (20 μg)
Lane 3 : HeLa cell lysate (20 μg)
Lane 4 : HepG2 cell lysate (20 μg)
Lanes 1 - 4 : Merged signal (red and green). Green - ab207305 observed at 55 kDa. Red - loading control, ab8245, observed at 37 kDa.

ab207305 was shown to specifically react with SQSTM1/p62 in wild-type HAP1 cells. No band was observed when SQSTM1/p62 knockout samples were used. Wild-type and SQSTM1/p62 knockout samples were subjected to SDS-PAGE, ab207305 and ab8245 (loading control to GAPDH) were diluted 1/1000 and 1/10,000 respectively and incubated overnight at 4°C. Blots were developed with Goat anti-Rabbit IgG H&L (IRDye® 800CW) preadsorbed (ab216773) and Goat anti-Mouse IgG H&L (IRDye® 680RD) preadsorbed (ab216776) secondary antibodies at 1/10,000 dilution for 1 hour at room temperature before imaging.

All lanes:

Western blot - Anti-SQSTM1 / p62 antibody [EPR18351] - Autophagosome Marker (ab207305)

Predicted band size: 47 kDa

false

Western blot - Anti-SQSTM1 / p62 antibody [EPR18351] - Autophagosome Marker (AB207305)
  • WB

Collaborator

Western blot - Anti-SQSTM1 / p62 antibody [EPR18351] - Autophagosome Marker (AB207305)

ab207305 was shown to react with SQSTM1 in wild-type U-2 OS cells in Western blot with loss of signal observed in a SQSTM1 knockout cell line. Wild-type U-2 OS and SQSTM1 knockout cell lysates were subjected to SDS-PAGE. Membranes were blocked in 5% milk in TBST for 1 hr before incubation with ab207305 overnight at 4 °C at a 1/1000 dilution. Blots were incubated with goat anti-rabbit HRP secondary antibodies at 0.2ug/mL before imaging. These data were provided by YCharOS Inc., an open science company with the mission of characterizing commercially available antibody reagents for all human proteins. Abcam and YCharOS are working together to help address the reproducibility crisis by enabling the life science community to better evaluate commercially available antibodies.

All lanes:

Western blot - Anti-SQSTM1 / p62 antibody [EPR18351] - Autophagosome Marker (ab207305) at 1/1000 dilution

Lane 1:

Wild-type U-2 OS cell lysate at 20 µg

Lane 2:

SQSTM1 knockout U-2 OS cell lysate at 20 µg

Predicted band size: 47 kDa

false

Western blot - Anti-SQSTM1 / p62 antibody [EPR18351] - Autophagosome Marker (AB207305)
  • WB

Lab

Western blot - Anti-SQSTM1 / p62 antibody [EPR18351] - Autophagosome Marker (AB207305)

Lanes 1-4 : Merged signal (red and green). Green - ab207305 observed at 55 kDa. Red - loading control ab8245 observed at 36 kDa.

ab207305 Anti-SQSTM1 / p62 antibody [EPR18351] was shown to specifically react with SQSTM1 / p62 in wild-type HCT116 cells. The band observed in knockout cell line ab266871 (knockout cell lysate ab257052) lane below 55 kDa may represent truncated forms and cleaved fragments. This has not been investigated further. Wild-type and SQSTM1 / p62 knockout samples were subjected to SDS-PAGE. ab207305 and Anti-GAPDH antibody [6C5] - Loading Control (ab8245) were incubated overnight at 4°C at 1 in 1000 dilution and 1 in 20000 dilution respectively. Blots were developed with Goat anti-Rabbit IgG H&L (IRDye® 800CW) preadsorbed (ab216773) and Goat anti-Mouse IgG H&L (IRDye® 680RD) preadsorbed (ab216776) secondary antibodies at 1 in 20000 dilution for 1 hour at room temperature before imaging.

All lanes:

Western blot - Anti-SQSTM1 / p62 antibody [EPR18351] - Autophagosome Marker (ab207305)

Lane 1:

Wild-type HCT116 cell lysate at 20 µg

Lane 2:

SQSTM1 knockout HCT116 cell lysate at 20 µg

Lane 3:

HepG2 cell lysate at 20 µg

Lane 4:

HeLa cell lysate at 20 µg

Secondary

All lanes:

Western blot - Goat anti-Rabbit IgG H&L (IRDye® 800CW) preadsorbed (<a href='/en-us/products/secondary-antibodies/goat-rabbit-igg-h-l-irdye-800cw-preadsorbed-ab216773'>ab216773</a>) at 1/10000 dilution

Predicted band size: 47 kDa

Observed band size: 55 kDa

false

Western blot - Anti-SQSTM1 / p62 antibody [EPR18351] - Autophagosome Marker (AB207305)
  • WB

Supplier Data

Western blot - Anti-SQSTM1 / p62 antibody [EPR18351] - Autophagosome Marker (AB207305)

Blocking/Dilution buffer : 5% NFDM/TBST.

The MW observed is consistent with what has been described in the literature (PMID : PMC4344198).

All lanes:

Western blot - Anti-SQSTM1 / p62 antibody [EPR18351] - Autophagosome Marker (ab207305) at 1/5000 dilution

Lane 1:

HepG2 (Human liver hepatocellular carcinoma) whole cell lysate at 10 µg

Lane 2:

HeLa (Human epithelial cells from cervix adenocarcinoma) whole cell lysate at 10 µg

Secondary

All lanes:

Western blot - Goat Anti-Rabbit IgG H&L (HRP) (<a href='/en-us/products/secondary-antibodies/goat-rabbit-igg-h-l-hrp-ab97051'>ab97051</a>) at 1/100000 dilution

Predicted band size: 47 kDa

Observed band size: 62 kDa

false

Exposure time: 30s

Western blot - Anti-SQSTM1 / p62 antibody [EPR18351] - Autophagosome Marker (AB207305)
  • WB

Supplier Data

Western blot - Anti-SQSTM1 / p62 antibody [EPR18351] - Autophagosome Marker (AB207305)

Blocking/Dilution buffer : 5% NFDM/TBST.

The MW observed is consistent with what has been described in the literature (PMID : PMC4344198).

All lanes:

Western blot - Anti-SQSTM1 / p62 antibody [EPR18351] - Autophagosome Marker (ab207305) at 1/1000 dilution

Lane 1:

Human liver lysate at 10 µg

Lane 2:

Human kidney lysate at 10 µg

Secondary

All lanes:

Goat Anti-Rabbit IgG Peroxidase Conjugate, specific to the non-reduced form of IgG at 1/10000 dilution

Predicted band size: 47 kDa

Observed band size: 62 kDa

false

Exposure time: 30s

  • 665 Alexa Fluor® 647

    Alexa Fluor® 647 Anti-SQSTM1 / p62 antibody [EPR18351] - Autophagosome Marker

  • 578 PE

    PE Anti-SQSTM1 / p62 antibody [EPR18351] - Autophagosome Marker

  • Carrier free

    Anti-SQSTM1 / p62 antibody [EPR18351] - BSA and Azide free

Key facts

Host species

Rabbit

Clonality

Monoclonal

Clone number

EPR18351

Isotype

IgG

Carrier free

No

Reacts with

Human

Applications

ICC/IF, WB, IP, IHC-P, Flow Cyt (Intra)

applications

Immunogen

The exact immunogen used to generate this antibody is proprietary information.

Reactivity data

{ "title": "Reactivity Data", "filters": { "stats": ["", "Species", "Dilution Info", "Notes"], "tabs": { "all-applications": {"fullname" : "All Applications", "shortname": "All Applications"}, "IP" : {"fullname" : "Immunoprecipitation", "shortname":"IP"}, "WB" : {"fullname" : "Western blot", "shortname":"WB"}, "ICCIF" : {"fullname" : "Immunocytochemistry/ Immunofluorescence", "shortname":"ICC/IF"}, "FlowCytIntra" : {"fullname" : "Flow Cytometry (Intracellular)", "shortname":"Flow Cyt (Intra)"}, "IHCP" : {"fullname" : "Immunohistochemistry (Formalin/PFA-fixed paraffin-embedded sections)", "shortname":"IHC-P"} }, "product-promise": { "all": "all", "testedAndGuaranteed": "tested", "guaranteed": "expected", "predicted": "predicted", "notRecommended": "not-recommended" } }, "values": { "Human": { "IP-species-checked": "testedAndGuaranteed", "IP-species-dilution-info": "1/40", "IP-species-notes": "<p></p>", "WB-species-checked": "testedAndGuaranteed", "WB-species-dilution-info": "1/1000", "WB-species-notes": "<p></p>", "ICCIF-species-checked": "testedAndGuaranteed", "ICCIF-species-dilution-info": "1 µg/mL", "ICCIF-species-notes": "<p></p>", "FlowCytIntra-species-checked": "testedAndGuaranteed", "FlowCytIntra-species-dilution-info": "1/100", "FlowCytIntra-species-notes": "<p><a href='/en-us/products/primary-antibodies/rabbit-igg-monoclonal-epr25a-isotype-control-ab172730'>ab172730</a> - Rabbit monoclonal IgG, is suitable for use as an isotype control with this antibody.</p>", "IHCP-species-checked": "testedAndGuaranteed", "IHCP-species-dilution-info": "1/2000", "IHCP-species-notes": "<p></p> Perform heat-mediated antigen retrieval with Tris/EDTA buffer pH 9.0 before commencing with IHC staining protocol." } } }

Product details

What is this antibody validated in?
Anti-SQSTM1 / p62 antibody [EPR18351] (ab207305) is a rabbit recombinant monoclonal antibody and is validated for use in Western Blot (WB), Flow Cytometry (Intra), Flow Cytometry (Flow Cyt), Immunoprecipitation (IP), Immunohistochemistry (IHC-P), Immunocytochemistry/immunofluorescence (ICC/IF) in Human samples.

What is the molecular weight of SQSTM1 / p62?
Anti-SQSTM1 / p62 [EPR18351] (ab207305) specifically detects a band for SQSTM1 / p62 (UniProt: Q13501) at a molecular weight of 47kDa.

Trusted by the scientific community
Anti-SQSTM1 / p62 [EPR18351] (ab207305) was first used in a scientific publication in 2016 and has been cited over 40 times in peer-reviewed journals.

Trial sizes available!
Test your antibody or perform pre-screening before committing to a larger quantity. Sold in 10µl. Discover our selection of trial-size antibodies.

Specificity confirmed
The specificity of Anti-SQSTM1 / p62 antibody [EPR18351] (ab207305) has been confirmed by Western blot testing in SQSTM1 Knockout HAP1 cells.

Patented technology
Our RabMAb® technology is a patented hybridoma-based technology for making rabbit monoclonal antibodies. For details on our patents, please refer to RabMAb® patents.

What are the advantages of a recombinant monoclonal antibody?
This product is a recombinant monoclonal antibody, which offers several advantages including:

  • - High batch-to-batch consistency and reproducibility
  • - Improved sensitivity and specificity
  • - Long-term security of supply
  • - Animal-free batch production

For more information, read more on recombinant antibodies.

Properties and storage information

Form
Liquid
Purification technique
Affinity purification Protein A
Storage buffer
pH: 7.2 - 7.4 Preservative: 0.01% Sodium azide Constituents: PBS, 40% Glycerol (glycerin, glycerine), 0.05% BSA
Shipped at conditions
Blue Ice
Appropriate short-term storage duration
1-2 weeks
Appropriate short-term storage conditions
+4°C
Appropriate long-term storage conditions
-20°C
Aliquoting information
Upon delivery aliquot
Storage information
Avoid freeze / thaw cycle

Product protocols

For this product, it's our understanding that no specific protocols are required. You can visit:

Target data

The protein expressed by the SQSTM1 gene is an autophagy receptor essential for selective macroautophagy (aggrephagy). It acts as a bridge between polyubiquitinated cargo and autophagosomes, interacting with both the cargo and an autophagy modifier from the MAP1 LC3 family. Alongside WDFY3, it plays a role in forming and autophagically degrading cytoplasmic ubiquitin-containing inclusions and recruiting ubiquitinated proteins to nuclear PML bodies. SQSTM1 may regulate NFKB1 activation by TNF-alpha, nerve growth factor (NGF), and interleukin-1, and may influence titin/TTN signaling in muscle cells. It may also affect signaling cascades via ubiquitination and be involved in cell differentiation, apoptosis, immune response, and regulation of potassium channels. The protein is involved in endosome organization by retaining vesicles in the perinuclear cloud; ubiquitination by RNF26 allows it to attract vesicle-associated adapters, forming a molecular bridge to organize endosomal pathways. Additionally, it promotes the relocalization of Lys-63-linked ubiquitinated STING1 to autophagosomes and acts as an activator of the NFE2L2/NRF2 pathway by interacting with KEAP1, which inactivates the BCR(KEAP1) complex, resulting in nuclear accumulation of NFE2L2/NRF2 and expression of cytoprotective genes. This supplementary information is collated from multiple sources and compiled automatically.
See full target information SQSTM1

Publications (96)

Recent publications for all applications. Explore the full list and refine your search

Cell death discovery 11:451 PubMed41057309

2025

Targeting ESR1 restores SQSTM1-dependent autophagy and sensitizes ER-positive breast cancer to oxidative and radiation stress.

Applications

Unspecified application

Species

Unspecified reactive species

Yi-Fang Yang,Zhao-Jing He,Han-Hsi Kuo,Yu-Yu Lin,Cheorl-Ho Kim,Huei-Yu Cai,Chi-Long Chen,Michael Hsiao,Ying-Chung Chen,Peter Mu-Hsin Chang,Yu-Chan Chang

Journal of translational medicine 23:1054 PubMed41053757

2025

ATP5F1A deficiency causes developmental delay and motor dysfunction in humans and zebrafish.

Applications

Unspecified application

Species

Unspecified reactive species

Chunyan Xian,Qing Luo,Weiping Li,Lin Zou,Jinbo Liu

Cell communication and signaling : CCS 23:414 PubMed41039555

2025

TRAP1 inhibits KANSL3 acetylation to alleviate mitochondrial dysfunction by promoting mitophagy in cardiomyocytes under diabetic conditions.

Applications

Unspecified application

Species

Unspecified reactive species

Xiaoyu Zhang,Shiyao Cheng,Wenxin Li,Xintian Xu,Xiaojing Huang,Zhichong Chen,Qinglang Li,Wanjing Huang,Lingxiao Zhang,Mao Ouyang

Materials today. Bio 34:102198 PubMed40893373

2025

Neodymium-doped mesoporous silica nanoparticles promote bone regeneration via autophagy-mediated macrophage immunomodulation.

Applications

Unspecified application

Species

Unspecified reactive species

Qing Zhang,Duraipandy Natarajan,Weijian Gao,Haokun He,Shuguang Cheng,Yin Xiao,Marco N Helder,Sujuan Zeng,Richard T Jaspers,Janak Lal Pathak

Scientific reports 15:29273 PubMed40784956

2025

CAFs exosomal circFOXO1 promotes TNBC autophagy and radioresistance via miR-27a-3p/BNIP3 axis.

Applications

Unspecified application

Species

Unspecified reactive species

Xueqiong Xun,Huiyong Hu,Qing Liu,Ruijun Su,Jun Ai

American journal of translational research 17:4187-4197 PubMed40672597

2025

Sirtuin 3 modulation by high phosphates: a potential mechanism in muscle aging and sarcopenia.

Applications

Unspecified application

Species

Unspecified reactive species

Chao Xu,Ling Xiong,Junhu Chen,Qingcheng Liu,Fang Wang,Xianxian Fu,Juan Huo,Yufei Bu,Shiyu Chen,Qian Liu

International journal of molecular sciences 26: PubMed40332119

2025

Methylmercury Chloride Exposure Affects Oocyte Maturation Through AMPK/mTOR-Mediated Mitochondrial Autophagy.

Applications

Unspecified application

Species

Unspecified reactive species

Shengkui Hou,Caiyu Wang,Xin Ma,Jing Zhao,Jun Wang,Yi Fang,Hongyu Liu,He Ding,Jing Guo,Wenfa Lu

International journal of molecular sciences 26: PubMed40332354

2025

Conditional Overexpression of Neuritin in Supporting Cell Protects Cochlear Hair Cell and Delays Age-Related Hearing Loss by Enhancing Autophagy.

Applications

Unspecified application

Species

Unspecified reactive species

Shanshan Wang,Shaowei Lv,Junhao Hu,Yunfan Shi,Yu Li,Jianyun Zhang,Xiaohua Tan,Rong Chen,Yu Hong

Journal of oral & facial pain and headache 39:196-203 PubMed40129438

2025

Loss of SCRG1 in chondrocytes inhibits osteoarthritis by promoting autophagy activity in the temporomandibular joint through inhibition of neurokine receptors.

Applications

Unspecified application

Species

Unspecified reactive species

JiaJun Zhang,LePing Yuan,YanYan Zhang,HaoYang Jin,YeKe Zhao,XiaoKe Zeng,YanHui Zou,KeYu Wang,Xin Nie

Cell death & disease 16:182 PubMed40097416

2025

High glucose levels promote glycolysis and cholesterol synthesis via ERRα and suppress the autophagy-lysosomal pathway in endometrial cancer.

Applications

Unspecified application

Species

Unspecified reactive species

Xiaodan Mao,Lixiang Huang,Xianhua Liu,Xite Lin,Qibin Wu,Xinrui Wang,Yuan Ren,Jincheng Ma,Maotong Zhang,Yao Lin,Damian J Ralser,Alexander Mustea,Gang Chen,Pengming Sun
View all publications

Product promise

We are committed to supporting your work with high-quality reagents, and we're here for you every step of the way. In the unlikely event that one of our products does not perform as expected, you're protected by our Product Promise.
For full details, please see our Terms & Conditions

Please note: All products are 'FOR RESEARCH USE ONLY. NOT FOR USE IN DIAGNOSTIC OR THERAPEUTIC PROCEDURES'.

For licensing inquiries, please contact partnerships@abcam.com