JavaScript is disabled in your browser. Please enable JavaScript to view this website.
AB227992

Anti-SQSTM1 / p62 antibody [EPR18351] - BSA and Azide free

3

(1 Review)

|

(1 Publication)

Anti-SQSTM1 / p62 antibody [EPR18351] - BSA and Azide free (ab227992) is a rabbit recombinant monoclonal antibody provided in a PBS only buffer for easy conjugation. Suitable for Western Blot, Flow Cytometry, IP, IHC-P, ICC/IF in Human.

- KO validated for confirmed specificity
- BSA, sodium azide, and glycerol-free for easy conjugation
- Biophysical QC for unrivalled batch-batch consistency

View Alternative Names

ORCA, OSIL, SQSTM1, Sequestosome-1, EBI3-associated protein of 60 kDa, Phosphotyrosine-independent ligand for the Lck SH2 domain of 62 kDa, Ubiquitin-binding protein p62, EBIAP, p60, p62

13 Images
Immunohistochemistry (Formalin/PFA-fixed paraffin-embedded sections) - Anti-SQSTM1 / p62 antibody [EPR18351] - BSA and Azide free (AB227992)
  • IHC-P

Supplier Data

Immunohistochemistry (Formalin/PFA-fixed paraffin-embedded sections) - Anti-SQSTM1 / p62 antibody [EPR18351] - BSA and Azide free (AB227992)

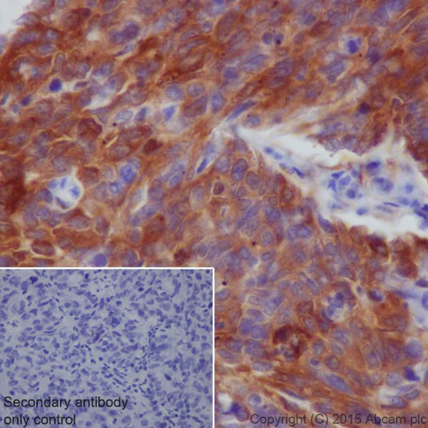
Immunohistochemical analysis of paraffin-embedded human lung cancer tissue labeling SQSTM1 / p62 with ab207305 at 1/2000 dilution, followed by Goat Anti-Rabbit IgG H&L (HRP) (ab97051) at 1/500 dilution. Cytoplasm and weakly nucleus staining on human lung cancer is observed. Counter stained with Hematoxylin.

Secondary antibody only control : Used PBS instead of primary antibody, secondary antibody is Goat Anti-Rabbit IgG H&L (HRP) (ab97051) at 1/500 dilution.

This data was developed using the same antibody clone in a different buffer formulation containing PBS, BSA, glycerol, and sodium azide (ab207305).

Perform heat mediated antigen retrieval with Tris/EDTA buffer pH 9.0 before commencing with IHC staining protocol.

Flow Cytometry (Intracellular) - Anti-SQSTM1 / p62 antibody [EPR18351] - BSA and Azide free (AB227992)
  • Flow Cyt (Intra)

Supplier Data

Flow Cytometry (Intracellular) - Anti-SQSTM1 / p62 antibody [EPR18351] - BSA and Azide free (AB227992)

Intracellular flow cytometric analysis of 4% paraformaldehyde-fixed PC-3 (Human prostate adenocarcinoma cell line) cells labeling SQSTM1 / p62 with ab207305 at 1/100 dilution (red) compared with a rabbit monoclonal IgG isotype control (ab172730; black) and an unlabelled control (cells without incubation with primary antibody and secondary antibody; blue). Goat Anti-Rabbit IgG (FITC) at 1/500 dilution was used as the secondary antibody.

This data was developed using the same antibody clone in a different buffer formulation containing PBS, BSA, glycerol, and sodium azide (ab207305).

Immunocytochemistry/ Immunofluorescence - Anti-SQSTM1 / p62 antibody [EPR18351] - BSA and Azide free (AB227992)
  • ICC/IF

Lab

Immunocytochemistry/ Immunofluorescence - Anti-SQSTM1 / p62 antibody [EPR18351] - BSA and Azide free (AB227992)

This ICC data was generated using the same anti-SQSTM1/p62 antibody clone, EPR18351, in a different buffer formulation (cat# ab207305).

ab207305 staining SQSTM1 in wild-type HAP1 cells and knockout cells, untreated and chloroquine-treated (50μM, 24 hours). The cells were fixed with 4% formaldehyde (10min), permeabilized with 0.1% Triton X-100 for 5 minutes and then blocked with 1% BSA/10% normal goat serum/0.3M glycine in 0.1% PBS-Tween for 1h. The cells were then incubated with ab207305 at 1μg/ml and ab195889 at 1/250 dilution (shown in pseudocolour red) overnight at +4°C, followed by a further incubation at room temperature for 1h with a goat secondary antibody to Rabbit IgG (Alexa Fluor® 488) (ab150081) at 2 μg/ml (shown in green). Nuclear DNA was labelled in blue with DAPI.

Image was taken with a confocal microscope (Leica-Microsystems, TCS SP8).

Flow Cytometry (Intracellular) - Anti-SQSTM1 / p62 antibody [EPR18351] - BSA and Azide free (AB227992)
  • Flow Cyt (Intra)

Lab

Flow Cytometry (Intracellular) - Anti-SQSTM1 / p62 antibody [EPR18351] - BSA and Azide free (AB227992)

Clone EPR18351 (ab227992) has been successfully conjugated by Abcam. This image was generated using Anti-SQSTM1 / p62 antibody [EPR18351] (PE). Please refer to ab225454 for protocol details.

Overlay histogram showing HeLa cells untreated (red line) and HeLa cells treated with Chloroquine, 50μM, 24 hours, (green line) stained with ab225454. The cells were fixed with 80% methanol (5 min) and then permeabilized with 0.1% PBS-Triton X-100 for 15 min. The cells were then incubated in 1x PBS / 10% normal goat serum to block non-specific protein-protein interactions followed by the antibody (ab225454, 1/5000 dilution) for 30 min at 22°C.

Isotype control antibody (black line) was Rabbit IgG (monoclonal) Phycoerythrin (ab209478) used at the same concentration and conditions as the primary antibody. Unlabelled sample (blue line) was also used as a control.

Acquisition of >5,000 events were collected using a 50 mW Yellow/Green laser (561nm) and 586/15 bandpass filter.

This antibody gave a positive signal in HeLa +/- Chloroquine cells fixed with 4% formaldehyde (10 min)/permeabilized with 0.1% PBS-Triton X-100 for 15 min used under the same conditions.

Immunocytochemistry/ Immunofluorescence - Anti-SQSTM1 / p62 antibody [EPR18351] - BSA and Azide free (AB227992)
  • ICC/IF

Lab

Immunocytochemistry/ Immunofluorescence - Anti-SQSTM1 / p62 antibody [EPR18351] - BSA and Azide free (AB227992)

Clone EPR18351 (ab227992) has been successfully conjugated by Abcam. This image was generated using Anti-SQSTM1 / p62 antibody [EPR18351] (Alexa Fluor® 647). Please refer to ab225453 for protocol details.

ab225453 staining SQSTM1 / p62 in wild-type HAP1 cells and knockout cells, untreated and chloroquine-treated (50μM, 24 hours). The cells were fixed with 4% formaldehyde (10min), permeabilized with 0.1% Triton X-100 for 5 minutes and then blocked with 1% BSA/10% normal goat serum/0.3M glycine in 0.1% PBS-Tween for 1h. The cells were then incubated with ab225453 at 5μg/ml (shown in red) and ab195887, Mouse monoclonal to alpha Tubulin (Alexa Fluor® 488), at 1/250 dilution (shown in green) overnight at +4°C. Nuclear DNA was labelled in blue with DAPI.

Image was taken with a confocal microscope (Leica-Microsystems, TCS SP8).

Immunocytochemistry/ Immunofluorescence - Anti-SQSTM1 / p62 antibody [EPR18351] - BSA and Azide free (AB227992)
  • ICC/IF

Collaborator

Immunocytochemistry/ Immunofluorescence - Anti-SQSTM1 / p62 antibody [EPR18351] - BSA and Azide free (AB227992)

This data was developed using the same antibody clone in a different buffer formulation (ab207305). ab207305 was shown to react with SQSTM1 in wild-type U-2 OS cells in Immunocytochemistry with loss of signal observed in a SQSTM1 knockout cell line. Wild-type and knockout cells were mixed and pelleted at a 1 : 1 ratio on coverslips. The cells were fixed with 4% paraformaldehyde (15 min) then permeabilized with 0.1% Triton X-100 (10min) and then blocked with 1/5000. The cells were then incubated with ab207305 at 1/200 dilution overnight at 4°C followed by a further incubation at room temperature for 1h with a goat anti-rabbit secondary antibody to (Alexa Fluor® 555) at 0.5 μg/ml. Acquisition of the green (wild-type), red (antibody staining) and far-red (knockout) channels was performed. Representative grayscale images of the red channel are shown. Wild-type and knockout cells are outlined with yellow and magenta dashed line, respectively. Schematic representation of the mosaic strategy used is shown on the bottom-right panel. Image was acquired with a Zeiss(LSM-880). These data were provided by YCharOS Inc., an open science company with the mission of characterizing commercially available antibody reagents for all human proteins. Abcam and YCharOS are working together to help address the reproducibility crisis by enabling the life science community to better evaluate commercially available antibodies.

Immunohistochemistry (Formalin/PFA-fixed paraffin-embedded sections) - Anti-SQSTM1 / p62 antibody [EPR18351] - BSA and Azide free (AB227992)
  • IHC-P

Supplier Data

Immunohistochemistry (Formalin/PFA-fixed paraffin-embedded sections) - Anti-SQSTM1 / p62 antibody [EPR18351] - BSA and Azide free (AB227992)

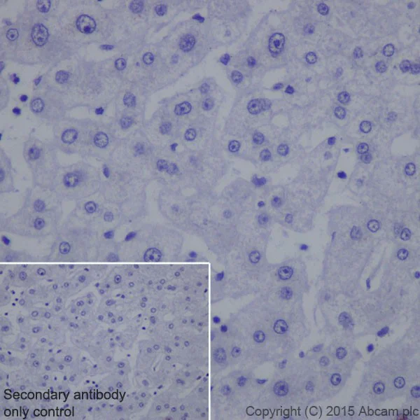
Immunohistochemical analysis of paraffin-embedded human liver tissue labeling SQSTM1 / p62 with ab207305 at 1/2000 dilution, followed by Goat Anti-Rabbit IgG H&L (HRP) (ab97051) at 1/500 dilution. Negative staining on Hhman normal liver tissue. Counter stained with Hematoxylin.

Secondary antibody only control : Used PBS instead of primary antibody, secondary antibody is Goat Anti-Rabbit IgG H&L (HRP) (ab97051) at 1/500 dilution.

This data was developed using the same antibody clone in a different buffer formulation containing PBS, BSA, glycerol, and sodium azide (ab207305).

Perform heat mediated antigen retrieval with Tris/EDTA buffer pH 9.0 before commencing with IHC staining protocol.

Immunohistochemistry (Formalin/PFA-fixed paraffin-embedded sections) - Anti-SQSTM1 / p62 antibody [EPR18351] - BSA and Azide free (AB227992)
  • IHC-P

Supplier Data

Immunohistochemistry (Formalin/PFA-fixed paraffin-embedded sections) - Anti-SQSTM1 / p62 antibody [EPR18351] - BSA and Azide free (AB227992)

This IHC data was generated using the same anti-SQSTM1/p62 antibody clone, EPR18351, in a different buffer formulation (cat# ab207305).

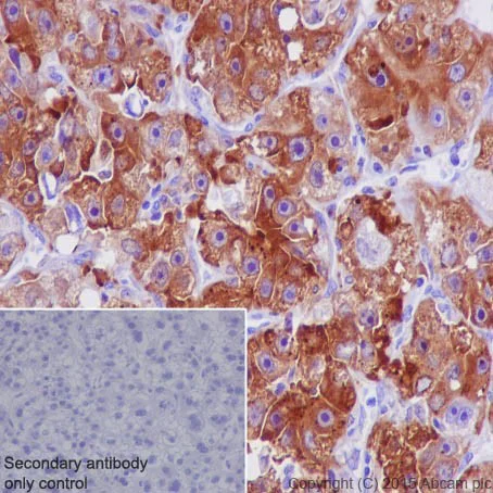
Immunohistochemical analysis of paraffin-embedded human hepatocellular carcinoma tissue labeling SQSTM1 / p62 with ab207305 at 1/2000 dilution, followed by Goat Anti-Rabbit IgG H&L (HRP) (ab97051) at 1/500 dilution. Cytoplasm staining on human hepatocellular carcinoma is observed. Counter stained with Hematoxylin.

Secondary antibody only control : Used PBS instead of primary antibody, secondary antibody is Goat Anti-Rabbit IgG H&L (HRP) (ab97051) at 1/500 dilution.

Perform heat mediated antigen retrieval with Tris/EDTA buffer pH 9.0 before commencing with IHC staining protocol.

Immunocytochemistry/ Immunofluorescence - Anti-SQSTM1 / p62 antibody [EPR18351] - BSA and Azide free (AB227992)
  • ICC/IF

Lab

Immunocytochemistry/ Immunofluorescence - Anti-SQSTM1 / p62 antibody [EPR18351] - BSA and Azide free (AB227992)

ab207305 staining SQSTM1/p62 in HeLa cells +/- Chloroquine (50μM, 24 hours). The cells were fixed with 100% methanol (5 min), permeabilized with 0.1% Triton X-100 for 5 minutes and then blocked with 1% BSA/10% normal goat serum/0.3M glycine in 0.1% PBS-Tween for 1h. The cells were then incubated overnight at +4°C with ab207305 at 1μg/ml and ab195889, Mouse monoclonal to alpha Tubulin (Alexa Fluor® 594), at 1/250 dilution (shown in pseudocolor red) followed by a further incubation at room temperature for 1h with a goat secondary antibody to Rabbit IgG (Alexa Fluor® 488) (ab150081) at 2 μg/ml (shown in green). Nuclear DNA was labelled with DAPI (shown in blue).

Image was taken with a confocal microscope (Leica-Microsystems, TCS SP8).

This data was developed using the same antibody clone in a different buffer formulation containing PBS, BSA, glycerol, and sodium azide (ab207305).

Immunoprecipitation - Anti-SQSTM1 / p62 antibody [EPR18351] - BSA and Azide free (AB227992)
  • IP

Unknown

Immunoprecipitation - Anti-SQSTM1 / p62 antibody [EPR18351] - BSA and Azide free (AB227992)

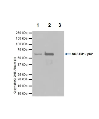
SQSTM1 / p62 was immunoprecipitated from 1mg of HeLa (Human epithelial cells from cervix adenocarcinoma) whole cell lysate with ab207305 at 1/40 dilution.
Western blot was performed from the immunoprecipitate using ab207305 at 1/1000 dilution. VeriBlot for IP Detection Reagent (HRP) (ab131366), was used for detection at 1/10000 dilution.
Lane 1 : HeLa whole cell lysate 10ug (Input).
Lane 2 : ab207305 IP in HeLa whole cell lysate.
Lane 3 : Rabbit monoclonal IgG (ab172730) instead of ab207305 in HeLa whole cell lysate.
Blocking and dilution buffer and concentration : 5% NFDM/TBST.
Exposure time : 1 second.

This data was developed using the same antibody clone in a different buffer formulation containing PBS, BSA, glycerol, and sodium azide (ab207305).

All lanes:

Immunoprecipitation - Anti-SQSTM1 / p62 antibody [EPR18351] - Autophagosome Marker (<a href='/en-us/products/primary-antibodies/sqstm1-p62-antibody-epr18351-autophagosome-marker-ab207305'>ab207305</a>)

Predicted band size: 47 kDa

false

Immunoprecipitation - Anti-SQSTM1 / p62 antibody [EPR18351] - BSA and Azide free (AB227992)
  • IP

Supplier Data

Immunoprecipitation - Anti-SQSTM1 / p62 antibody [EPR18351] - BSA and Azide free (AB227992)

SQSTM1 / p62 was immunoprecipitated from 1mg of HepG2 (Human liver hepatocellular carcinoma) whole cell lysate with ab207305 at 1/40 dilution.
Western blot was performed from the immunoprecipitate using ab207305 at 1/1000 dilution. VeriBlot for IP Detection Reagent (HRP) (ab131366), was used for detection at 1/10000 dilution.
Lane 1 : HepG2 whole cell lysate 10ug (Input).
Lane 2 : ab207305 IP in HepG2 whole cell lysate.
Lane 3 : Rabbit monoclonal IgG (ab172730) instead of ab207305 in HepG2 whole cell lysate.
Blocking and dilution buffer and concentration : 5% NFDM/TBST.
Exposure time : 1 second.

This data was developed using the same antibody clone in a different buffer formulation containing PBS, BSA, glycerol, and sodium azide (ab207305).

All lanes:

Immunoprecipitation - Anti-SQSTM1 / p62 antibody [EPR18351] - Autophagosome Marker (<a href='/en-us/products/primary-antibodies/sqstm1-p62-antibody-epr18351-autophagosome-marker-ab207305'>ab207305</a>)

Predicted band size: 32 kDa,47 kDa

false

Western blot - Anti-SQSTM1 / p62 antibody [EPR18351] - BSA and Azide free (AB227992)
  • WB

Collaborator

Western blot - Anti-SQSTM1 / p62 antibody [EPR18351] - BSA and Azide free (AB227992)

This data was developed using the same antibody in a different buffer formulation (ab207305).

ab207305 was shown to react with SQSTM1 in wild-type U-2 OS cells in Western blot with loss of signal observed in a SQSTM1 knockout cell line. Wild-type U-2 OS and SQSTM1 knockout cell lysates were subjected to SDS-PAGE. Membranes were blocked in 5% milk in TBST for 1 hr before incubation with ab207305 overnight at 4 °C at a 1/1000 dilution. Blots were incubated with goat anti-rabbit HRP secondary antibodies at 0.2ug/mL before imaging. These data were provided by YCharOS Inc., an open science company with the mission of characterizing commercially available antibody reagents for all human proteins. Abcam and YCharOS are working together to help address the reproducibility crisis by enabling the life science community to better evaluate commercially available antibodies.

All lanes:

Western blot - Anti-SQSTM1 / p62 antibody [EPR18351] - Autophagosome Marker (<a href='/en-us/products/primary-antibodies/sqstm1-p62-antibody-epr18351-autophagosome-marker-ab207305'>ab207305</a>) at 1/1000 dilution

Lane 1:

Wild-type U-2 OS cell lysate at 20 µg

Lane 2:

SQSTM1 knockout U-2 OS cell lysate at 20 µg

Predicted band size: 47 kDa

false

Western blot - Anti-SQSTM1 / p62 antibody [EPR18351] - BSA and Azide free (AB227992)
  • WB

Lab

Western blot - Anti-SQSTM1 / p62 antibody [EPR18351] - BSA and Azide free (AB227992)

This data was developed using ab207305, the same antibody clone in a different buffer formulation.

Lanes 1-4 : Merged signal (red and green). Green - ab207305 observed at 55 kDa. Red - loading control ab8245 observed at 36 kDa.

ab207305 Anti-SQSTM1 / p62 antibody [EPR18351] was shown to specifically react with SQSTM1 / p62 in wild-type HCT116 cells. The band observed in CRISPR/Cas9 edited cell line ab266871 (CRISPR/Cas9 edited cell lysate ab257052) lane below 55 kDa may represent truncated forms and cleaved fragments. This has not been investigated further. Wild-type and SQSTM1 / p62 CRISPR/Cas9 edited samples were subjected to SDS-PAGE. ab207305 and Anti-GAPDH antibody [6C5] - Loading Control (ab8245) were incubated overnight at 4°C at 1 in 1000 dilution and 1 in 20000 dilution respectively. Blots were developed with Goat anti-Rabbit IgG H&L (IRDye® 800CW) preadsorbed (ab216773) and Goat anti-Mouse IgG H&L (IRDye® 680RD) preadsorbed (ab216776) secondary antibodies at 1 in 20000 dilution for 1 hour at room temperature before imaging.

All lanes:

Western blot - Anti-SQSTM1 / p62 antibody [EPR18351] - Autophagosome Marker (<a href='/en-us/products/primary-antibodies/sqstm1-p62-antibody-epr18351-autophagosome-marker-ab207305'>ab207305</a>)

Lane 1:

Wild-type HCT116 cell lysate at 20 µg

Lane 2:

SQSTM1 CRISPR/Cas9 edited HCT116 cell lysate at 20 µg

Lane 2:

Western blot - Human SQSTM1 (p62) knockout HCT116 cell line (<a href='/en-us/products/cell-lines/human-sqstm1-p62-knockout-hct116-cell-line-ab266871'>ab266871</a>)

Lane 3:

HepG2 cell lysate at 20 µg

Lane 4:

HeLa cell lysate at 20 µg

Secondary

All lanes:

Western blot - Goat anti-Rabbit IgG H&L (IRDye® 800CW) preadsorbed (<a href='/en-us/products/secondary-antibodies/goat-rabbit-igg-h-l-irdye-800cw-preadsorbed-ab216773'>ab216773</a>) at 1/10000 dilution

Predicted band size: 47 kDa

Observed band size: 55 kDa

false

  • Unconjugated

    Anti-SQSTM1 / p62 antibody [EPR18351] - Autophagosome Marker

  • 665 Alexa Fluor® 647

    Alexa Fluor® 647 Anti-SQSTM1 / p62 antibody [EPR18351] - Autophagosome Marker

  • 578 PE

    PE Anti-SQSTM1 / p62 antibody [EPR18351] - Autophagosome Marker

Key facts

Host species

Rabbit

Clonality

Monoclonal

Clone number

EPR18351

Isotype

IgG

Carrier free

Yes

Reacts with

Human

Applications

WB, ICC/IF, IHC-P, Flow Cyt (Intra), IP

applications

Immunogen

The exact immunogen used to generate this antibody is proprietary information.

Reactivity data

{ "title": "Reactivity Data", "filters": { "stats": ["", "Species", "Dilution Info", "Notes"], "tabs": { "all-applications": {"fullname" : "All Applications", "shortname": "All Applications"}, "ICCIF" : {"fullname" : "Immunocytochemistry/ Immunofluorescence", "shortname":"ICC/IF"}, "IP" : {"fullname" : "Immunoprecipitation", "shortname":"IP"}, "WB" : {"fullname" : "Western blot", "shortname":"WB"}, "FlowCytIntra" : {"fullname" : "Flow Cytometry (Intracellular)", "shortname":"Flow Cyt (Intra)"}, "IHCP" : {"fullname" : "Immunohistochemistry (Formalin/PFA-fixed paraffin-embedded sections)", "shortname":"IHC-P"} }, "product-promise": { "all": "all", "testedAndGuaranteed": "tested", "guaranteed": "expected", "predicted": "predicted", "notRecommended": "not-recommended" } }, "values": { "Human": { "ICCIF-species-checked": "testedAndGuaranteed", "ICCIF-species-dilution-info": "", "ICCIF-species-notes": "<p></p>", "IP-species-checked": "testedAndGuaranteed", "IP-species-dilution-info": "", "IP-species-notes": "<p></p>", "WB-species-checked": "testedAndGuaranteed", "WB-species-dilution-info": "", "WB-species-notes": "<p></p>", "FlowCytIntra-species-checked": "testedAndGuaranteed", "FlowCytIntra-species-dilution-info": "", "FlowCytIntra-species-notes": "<p><a href='/en-us/products/primary-antibodies/rabbit-igg-monoclonal-epr25a-isotype-control-low-endotoxin-azide-free-ab199376'>ab199376</a> - Rabbit monoclonal IgG (Low endotoxin, Azide free), is suitable for use as an isotype control with this antibody.</p>", "IHCP-species-checked": "testedAndGuaranteed", "IHCP-species-dilution-info": "", "IHCP-species-notes": "<p></p>" } } }

Product details

What is this antibody validated in?
Anti-SQSTM1 / p62 antibody [EPR18351] - BSA and Azide free (ab227992) is a rabbit recombinant monoclonal antibody and is validated for use in Western Blot (WB), Flow Cytometry (Intra), Flow Cytometry (Flow Cyt), Immunoprecipitation (IP), Immunohistochemistry (IHC-P), Immunocytochemistry/immunofluorescence (ICC/IF) in Human samples.

What is the molecular weight of SQSTM1 / p62?
Anti-SQSTM1 / p62 [EPR18351] - BSA and Azide free (ab227992) specifically detects a band for SQSTM1 / p62 (UniProt: Q13501) at a molecular weight of 47kDa.

Trial sizes available!
Test your antibody or perform pre-screening before committing to a larger quantity. Sold in 10µl. Discover our selection of trial-size antibodies.

Specificity confirmed
The specificity of Anti-SQSTM1 / p62 antibody [EPR18351] - BSA and Azide free (ab227992) has been confirmed by Immunocytochemistry/ Immunofluorescence testing in SQSTM1 Knockout HAP1 cell line.

Other related products
We have a range of other formats of antibody clone [EPR18351] also available for your convenience: ab207305, Alexa Fluor® 647 - ab225453, PE - ab225454, Carrier free - ab227992

Conjugation ready
Our carrier-free antibodies are typically supplied in a PBS-only formulation, purified and free of BSA, sodium azide and glycerol. This conjugation-ready format is designed for use with fluorochromes, metal isotopes, oligonucleotides, and enzymes, which makes them ideal for antibody labelling, functional and cell-based assays, flow-based assays (e.g. mass cytometry) and Multiplex Imaging applications.

Use our conjugation kits for antibody conjugates that are ready-to-use in as little as 20 minutes with 1 minute hands-on-time and 100% antibody recovery: available for fluorescent dyes, HRP, biotin and gold.

Compatibility
This product is compatible with the Maxpar® Antibody Labeling Kit from Fluidigm, without the need for antibody preparation. Maxpar® is a trademark of Fluidigm Canada Inc.

Properties and storage information

Form
Liquid
Purification technique
Affinity purification Protein A
Storage buffer
pH: 7.2 - 7.4 Constituents: PBS
Shipped at conditions
Blue Ice
Appropriate short-term storage conditions
+4°C
Appropriate long-term storage conditions
+4°C
Storage information
Do Not Freeze

Product protocols

For this product, it's our understanding that no specific protocols are required. You can visit:

Target data

The protein expressed by the SQSTM1 gene is an autophagy receptor essential for selective macroautophagy (aggrephagy). It acts as a bridge between polyubiquitinated cargo and autophagosomes, interacting with both the cargo and an autophagy modifier from the MAP1 LC3 family. Alongside WDFY3, it plays a role in forming and autophagically degrading cytoplasmic ubiquitin-containing inclusions and recruiting ubiquitinated proteins to nuclear PML bodies. SQSTM1 may regulate NFKB1 activation by TNF-alpha, nerve growth factor (NGF), and interleukin-1, and may influence titin/TTN signaling in muscle cells. It may also affect signaling cascades via ubiquitination and be involved in cell differentiation, apoptosis, immune response, and regulation of potassium channels. The protein is involved in endosome organization by retaining vesicles in the perinuclear cloud; ubiquitination by RNF26 allows it to attract vesicle-associated adapters, forming a molecular bridge to organize endosomal pathways. Additionally, it promotes the relocalization of Lys-63-linked ubiquitinated STING1 to autophagosomes and acts as an activator of the NFE2L2/NRF2 pathway by interacting with KEAP1, which inactivates the BCR(KEAP1) complex, resulting in nuclear accumulation of NFE2L2/NRF2 and expression of cytoprotective genes. This supplementary information is collated from multiple sources and compiled automatically.
See full target information SQSTM1

Publications (1)

Recent publications for all applications. Explore the full list and refine your search

Scientific reports 6:36949 PubMed27833128

2016

Qishen granules inhibit myocardial inflammation injury through regulating arachidonic acid metabolism.

Applications

Unspecified application

Species

Unspecified reactive species

Chun Li,Jing Wang,Qiyan Wang,Yi Zhang,Na Zhang,Linghui Lu,Yan Wu,Qian Zhang,Wei Wang,Yong Wang,Pengfei Tu
View all publications

Product promise

We are committed to supporting your work with high-quality reagents, and we're here for you every step of the way. In the unlikely event that one of our products does not perform as expected, you're protected by our Product Promise.
For full details, please see our Terms & Conditions

Please note: All products are 'FOR RESEARCH USE ONLY. NOT FOR USE IN DIAGNOSTIC OR THERAPEUTIC PROCEDURES'.

For licensing inquiries, please contact partnerships@abcam.com