JavaScript is disabled in your browser. Please enable JavaScript to view this website.
AB285172

Anti-SQSTM1 / p62 (phospho T138) antibody [MJF-R44-20] - BSA and Azide free

Be the first to review this product! Submit a review

|

(0 Publication)

Rabbit Recombinant Monoclonal SQSTM1 / p62 phospho T138 antibody. Carrier free. Suitable for WB and reacts with Transfected cell lysate - Human samples.

View Alternative Names

ORCA, OSIL, SQSTM1, Sequestosome-1, EBI3-associated protein of 60 kDa, Phosphotyrosine-independent ligand for the Lck SH2 domain of 62 kDa, Ubiquitin-binding protein p62, EBIAP, p60, p62

1 Images
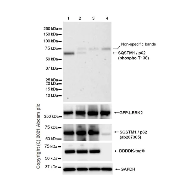
Western blot - Anti-SQSTM1 / p62 (phospho T138) antibody [MJF-R44-20] - BSA and Azide free (AB285172)
  • WB

Lab

Western blot - Anti-SQSTM1 / p62 (phospho T138) antibody [MJF-R44-20] - BSA and Azide free (AB285172)

This data was developed using ab285164, the same antibody clone in a different buffer formulation.

Mli2 is an LRRK2 inhibitor, which can inhibit the T138 phosphorylation of SQSTM1 / p62 by LRRK2.

All the lysates were kindly provided by the collaborator.

Exposure time : 3 minutes

All lanes:

Western blot - Anti-SQSTM1 / p62 (phospho T138) antibody [MJF-R44-20] (<a href='/en-us/products/primary-antibodies/sqstm1-p62-phospho-t138-antibody-mjf-r44-20-ab285164'>ab285164</a>) at 1/1000 dilution

Lane 1:

HEK-293T (human embryonic kidney) co-transfected with a human LRRK2 expression vector containing a GFP-tag and a human SQSTM1 / p62 expression vector containing a DDDDK-tag, whole cell lysate at 20 µg

Lane 2:

HEK-293T co-transfected with a human LRRK2 expression vector containing a GFP-tag and a human SQSTM1 / p62 expression vector containing a DDDDK-tag, then treated with 1µM MLi2 for 2h, whole cell lysate at 20 µg

Lane 3:

HEK-293T co-transfected with a human LRRK2 expression vector containing a GFP-tag and a human SQSTM1 / p62 (T138A mutation) expression vector containing a DDDDK-tag, whole cell lysate at 20 µg

Lane 4:

HEK-293T co-transfected with a human LRRK2 expression vector containing a GFP-tag and an empty vector containing a DDDDK-tag, whole cell lysate at 20 µg

Secondary

Lane 1:

Goat Anti-Rabbit IgG, (H+L), Peroxidase conjugated (<a href='/en-us/products/secondary-antibodies/goat-rabbit-igg-h-l-hrp-ab97051'>ab97051</a>) at 1/1000 dilution

Lanes 2 - 4:

Goat Anti-Rabbit IgG, (H+L), Peroxidase conjugated (<a href='/en-us/products/secondary-antibodies/goat-rabbit-igg-h-l-hrp-ab97051'>ab97051</a>) at 1/100000 dilution

Predicted band size: 47 kDa

false

Key facts

Host species

Rabbit

Clonality

Monoclonal

Clone number

MJF-R44-20

Isotype

IgG

Carrier free

Yes

Reacts with

Human

Applications

WB

applications

Immunogen

The exact immunogen used to generate this antibody is proprietary information.

Reactivity data

{ "title": "Reactivity Data", "filters": { "stats": ["", "Species", "Dilution Info", "Notes"], "tabs": { "all-applications": {"fullname" : "All Applications", "shortname": "All Applications"}, "ICCIF" : {"fullname" : "Immunocytochemistry/ Immunofluorescence", "shortname":"ICC/IF"}, "IP" : {"fullname" : "Immunoprecipitation", "shortname":"IP"}, "WB" : {"fullname" : "Western blot", "shortname":"WB"}, "IHCP" : {"fullname" : "Immunohistochemistry (Formalin/PFA-fixed paraffin-embedded sections)", "shortname":"IHC-P"}, "FlowCytIntra" : {"fullname" : "Flow Cytometry (Intracellular)", "shortname":"Flow Cyt (Intra)"} }, "product-promise": { "all": "all", "testedAndGuaranteed": "tested", "guaranteed": "expected", "predicted": "predicted", "notRecommended": "not-recommended" } }, "values": { "Human": { "ICCIF-species-checked": "notRecommended", "ICCIF-species-dilution-info": "", "ICCIF-species-notes": "<p></p>", "IP-species-checked": "notRecommended", "IP-species-dilution-info": "", "IP-species-notes": "<p></p>", "WB-species-checked": "predicted", "WB-species-dilution-info": "", "WB-species-notes": "", "IHCP-species-checked": "notRecommended", "IHCP-species-dilution-info": "", "IHCP-species-notes": "<p></p>", "FlowCytIntra-species-checked": "notRecommended", "FlowCytIntra-species-dilution-info": "", "FlowCytIntra-species-notes": "<p></p>" }, "Transfected cell lysate - Human": { "ICCIF-species-checked": "notRecommended", "ICCIF-species-dilution-info": "", "ICCIF-species-notes": "", "IP-species-checked": "notRecommended", "IP-species-dilution-info": "", "IP-species-notes": "", "WB-species-checked": "testedAndGuaranteed", "WB-species-dilution-info": "", "WB-species-notes": "<p></p>", "IHCP-species-checked": "notRecommended", "IHCP-species-dilution-info": "", "IHCP-species-notes": "", "FlowCytIntra-species-checked": "notRecommended", "FlowCytIntra-species-dilution-info": "", "FlowCytIntra-species-notes": "" } } }

Product details

ab285172 is the carrier-free version of ab285164.

This antibody clone is manufactured by Abcam. If you require a custom buffer formulation or conjugation for your experiments, please contact orders@abcam.com.

Patented technology
Our RabMAb® technology is a patented hybridoma-based technology for making rabbit monoclonal antibodies. For details on our patents, please refer to RabMAb® patents.

What are the advantages of a recombinant monoclonal antibody?
This product is a recombinant monoclonal antibody, which offers several advantages including:

  • - High batch-to-batch consistency and reproducibility
  • - Improved sensitivity and specificity
  • - Long-term security of supply
  • - Animal-free batch production

For more information, read more on recombinant antibodies.

Conjugation ready
Our carrier-free antibodies are typically supplied in a PBS-only formulation, purified and free of BSA, sodium azide and glycerol. This conjugation-ready format is designed for use with fluorochromes, metal isotopes, oligonucleotides, and enzymes, which makes them ideal for antibody labelling, functional and cell-based assays, flow-based assays (e.g. mass cytometry) and Multiplex Imaging applications.

Use our conjugation kits for antibody conjugates that are ready-to-use in as little as 20 minutes with 1 minute hands-on-time and 100% antibody recovery: available for fluorescent dyes, HRP, biotin and gold.

Compatibility
This product is compatible with the Maxpar® Antibody Labeling Kit from Fluidigm, without the need for antibody preparation. Maxpar® is a trademark of Fluidigm Canada Inc.

Properties and storage information

Form
Liquid
Purification technique
Affinity purification Protein A
Storage buffer
pH: 7.2 - 7.4 Constituents: PBS
Shipped at conditions
Blue Ice
Appropriate short-term storage conditions
+4°C
Appropriate long-term storage conditions
+4°C

Product protocols

For this product, it's our understanding that no specific protocols are required. You can visit:

Target data

The protein expressed by the SQSTM1 gene is an autophagy receptor essential for selective macroautophagy (aggrephagy). It acts as a bridge between polyubiquitinated cargo and autophagosomes, interacting with both the cargo and an autophagy modifier from the MAP1 LC3 family. Alongside WDFY3, it plays a role in forming and autophagically degrading cytoplasmic ubiquitin-containing inclusions and recruiting ubiquitinated proteins to nuclear PML bodies. SQSTM1 may regulate NFKB1 activation by TNF-alpha, nerve growth factor (NGF), and interleukin-1, and may influence titin/TTN signaling in muscle cells. It may also affect signaling cascades via ubiquitination and be involved in cell differentiation, apoptosis, immune response, and regulation of potassium channels. The protein is involved in endosome organization by retaining vesicles in the perinuclear cloud; ubiquitination by RNF26 allows it to attract vesicle-associated adapters, forming a molecular bridge to organize endosomal pathways. Additionally, it promotes the relocalization of Lys-63-linked ubiquitinated STING1 to autophagosomes and acts as an activator of the NFE2L2/NRF2 pathway by interacting with KEAP1, which inactivates the BCR(KEAP1) complex, resulting in nuclear accumulation of NFE2L2/NRF2 and expression of cytoprotective genes. This supplementary information is collated from multiple sources and compiled automatically.
See full target information SQSTM1 phospho T138

Product promise

We are committed to supporting your work with high-quality reagents, and we're here for you every step of the way. In the unlikely event that one of our products does not perform as expected, you're protected by our Product Promise.
For full details, please see our Terms & Conditions

Please note: All products are 'FOR RESEARCH USE ONLY. NOT FOR USE IN DIAGNOSTIC OR THERAPEUTIC PROCEDURES'.

For licensing inquiries, please contact partnerships@abcam.com