JavaScript is disabled in your browser. Please enable JavaScript to view this website.
AB183725

Anti-SRAP antibody [EPR11776]

Be the first to review this product! Submit a review

|

(9 Publications)

Rabbit Recombinant Monoclonal SRAP antibody. Suitable for WB, ICC/IF, Flow Cyt (Intra), IHC-P and reacts with Human, Mouse, Rat samples. Cited in 9 publications.

View Alternative Names

PP7684, SRA1, Steroid receptor RNA activator 1, Steroid receptor RNA activator protein, SRAP

5 Images
Western blot - Anti-SRAP antibody [EPR11776] (AB183725)
  • WB

Supplier Data

Western blot - Anti-SRAP antibody [EPR11776] (AB183725)

All lanes:

Western blot - Anti-SRAP antibody [EPR11776] (ab183725) at 1/2000 dilution

All lanes:

Human fetal liver lysate at 20 µg

Secondary

All lanes:

Goat Anti-Rabbit IgG, (H+L), Peroxidase conjugated at 1/1000 dilution

Predicted band size: 25 kDa

false

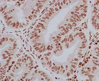
Immunohistochemistry (Formalin/PFA-fixed paraffin-embedded sections) - Anti-SRAP antibody [EPR11776] (AB183725)
  • IHC-P

Supplier Data

Immunohistochemistry (Formalin/PFA-fixed paraffin-embedded sections) - Anti-SRAP antibody [EPR11776] (AB183725)

Immunohistochemical analysis of paraffin-embedded Human ovarian carcinoma tissue labeling SRAP with ab183725 at 1/100 dilution. The slide is counterstained with Hematoxylin.

Perform heat mediated antigen retrieval with EDTA buffer pH 9 before commencing with IHC staining protocol.

Immunocytochemistry/ Immunofluorescence - Anti-SRAP antibody [EPR11776] (AB183725)
  • ICC/IF

Supplier Data

Immunocytochemistry/ Immunofluorescence - Anti-SRAP antibody [EPR11776] (AB183725)

Immunofluorescence analysis of 4% paraformaldehyde-fixed MCF7 cells labeling SRAP with ab183725 at 1/500 dilution (red). Goat anti-rabbit IgG (Alexa Fluor® 555) at 1/200 dilution was used as the secondary antibody. The slide on the right is stained with Dapi (blue).

Western blot - Anti-SRAP antibody [EPR11776] (AB183725)
  • WB

Supplier Data

Western blot - Anti-SRAP antibody [EPR11776] (AB183725)

All lanes:

Western blot - Anti-SRAP antibody [EPR11776] (ab183725) at 1/10000 dilution

All lanes:

Human fetal kidney lysate at 20 µg

Secondary

All lanes:

Goat Anti-Rabbit IgG, (H+L), Peroxidase conjugated

Predicted band size: 25 kDa

false

Flow Cytometry (Intracellular) - Anti-SRAP antibody [EPR11776] (AB183725)
  • Flow Cyt (Intra)

Supplier Data

Flow Cytometry (Intracellular) - Anti-SRAP antibody [EPR11776] (AB183725)

Intracellular flow cytometric analysis of 2% paraformaldehyde-fixed 293 cells labeling SRAP with ab183725 at 1/180 dilution. Goat anti-rabbit IgG (FITC) at 1/150 dilution was used as the secondary antibody. Rabbit monoclonal IgG was used as the isotype control.

Key facts

Host species

Rabbit

Clonality

Monoclonal

Clone number

EPR11776

Isotype

IgG

Carrier free

No

Reacts with

Human

Applications

IHC-P, ICC/IF, Flow Cyt (Intra), WB

applications

Immunogen

The exact immunogen used to generate this antibody is proprietary information.

Reactivity data

{ "title": "Reactivity Data", "filters": { "stats": ["", "Species", "Dilution Info", "Notes"], "tabs": { "all-applications": {"fullname" : "All Applications", "shortname": "All Applications"}, "WB" : {"fullname" : "Western blot", "shortname":"WB"}, "ICCIF" : {"fullname" : "Immunocytochemistry/ Immunofluorescence", "shortname":"ICC/IF"}, "FlowCytIntra" : {"fullname" : "Flow Cytometry (Intracellular)", "shortname":"Flow Cyt (Intra)"}, "IHCP" : {"fullname" : "Immunohistochemistry (Formalin/PFA-fixed paraffin-embedded sections)", "shortname":"IHC-P"} }, "product-promise": { "all": "all", "testedAndGuaranteed": "tested", "guaranteed": "expected", "predicted": "predicted", "notRecommended": "not-recommended" } }, "values": { "Human": { "WB-species-checked": "testedAndGuaranteed", "WB-species-dilution-info": "1/1000 - 1/10000", "WB-species-notes": "<p></p>", "ICCIF-species-checked": "testedAndGuaranteed", "ICCIF-species-dilution-info": "1/500", "ICCIF-species-notes": "<p></p>", "FlowCytIntra-species-checked": "testedAndGuaranteed", "FlowCytIntra-species-dilution-info": "1/180", "FlowCytIntra-species-notes": "<p><a href='/en-us/products/primary-antibodies/rabbit-igg-monoclonal-epr25a-isotype-control-ab172730'>ab172730</a> - Rabbit monoclonal IgG, is suitable for use as an isotype control with this antibody.</p>", "IHCP-species-checked": "testedAndGuaranteed", "IHCP-species-dilution-info": "1/50 - 1/100", "IHCP-species-notes": "<p></p> Perform heat-mediated antigen retrieval with Tris/EDTA buffer pH 9.0 before commencing with IHC staining protocol." }, "Mouse": { "WB-species-checked": "guaranteed", "WB-species-dilution-info": "", "WB-species-notes": "<p></p>", "ICCIF-species-checked": "predicted", "ICCIF-species-dilution-info": "", "ICCIF-species-notes": "", "FlowCytIntra-species-checked": "predicted", "FlowCytIntra-species-dilution-info": "", "FlowCytIntra-species-notes": "", "IHCP-species-checked": "predicted", "IHCP-species-dilution-info": "", "IHCP-species-notes": "" }, "Rat": { "WB-species-checked": "guaranteed", "WB-species-dilution-info": "", "WB-species-notes": "<p></p>", "ICCIF-species-checked": "predicted", "ICCIF-species-dilution-info": "", "ICCIF-species-notes": "", "FlowCytIntra-species-checked": "predicted", "FlowCytIntra-species-dilution-info": "", "FlowCytIntra-species-notes": "", "IHCP-species-checked": "predicted", "IHCP-species-dilution-info": "", "IHCP-species-notes": "" } } }

Product details

Patented technology
Our RabMAb® technology is a patented hybridoma-based technology for making rabbit monoclonal antibodies. For details on our patents, please refer to RabMAb® patents.

What are the advantages of a recombinant monoclonal antibody?
This product is a recombinant monoclonal antibody, which offers several advantages including:

  • - High batch-to-batch consistency and reproducibility
  • - Improved sensitivity and specificity
  • - Long-term security of supply
  • - Animal-free batch production

For more information, read more on recombinant antibodies.

Properties and storage information

Form
Liquid
Purification technique
Affinity purification Protein A
Storage buffer
pH: 7.2 Preservative: 0.01% Sodium azide Constituents: 59% PBS, 40% Glycerol (glycerin, glycerine), 0.05% BSA
Shipped at conditions
Blue Ice
Appropriate short-term storage duration
1-2 weeks
Appropriate short-term storage conditions
+4°C
Appropriate long-term storage conditions
-20°C
Aliquoting information
Upon delivery aliquot
Storage information
Avoid freeze / thaw cycle

Product protocols

For this product, it's our understanding that no specific protocols are required. You can visit:

Target data

Functional RNA which acts as a transcriptional coactivator that selectively enhances steroid receptor-mediated transactivation ligand-independently through a mechanism involving the modulating N-terminal domain (AF-1) of steroid receptors. Also mediates transcriptional coactivation of steroid receptors ligand-dependently through the steroid-binding domain (AF-2). Enhances cellular proliferation and differentiation and promotes apoptosis in vivo. May play a role in tumorigenesis.
See full target information SRA1

Publications (9)

Recent publications for all applications. Explore the full list and refine your search

Nature communications 13:6394 PubMed36302906

2022

Intramyocardial hemorrhage drives fatty degeneration of infarcted myocardium.

Applications

Unspecified application

Species

Unspecified reactive species

Ivan Cokic,Shing Fai Chan,Xingmin Guan,Anand R Nair,Hsin-Jung Yang,Ting Liu,Yinyin Chen,Diego Hernando,Jane Sykes,Richard Tang,John Butler,Alice Dohnalkova,Libor Kovarik,Robert Finney,Avinash Kali,Behzad Sharif,Louis S Bouchard,Rajesh Gupta,Mayil Singaram Krishnam,Keyur Vora,Balaji Tamarappoo,Andrew G Howarth,Andreas Kumar,Joseph Francis,Scott B Reeder,John C Wood,Frank S Prato,Rohan Dharmakumar

Frontiers in molecular biosciences 8:792540 PubMed35096968

2022

Characterization of an Aging-Based Diagnostic Gene Signature and Molecular Subtypes With Diverse Immune Infiltrations in Atherosclerosis.

Applications

Unspecified application

Species

Unspecified reactive species

Lei Zhao,Fengfeng Lv,Ye Zheng,Liqiu Yan,Xufen Cao

BMC cardiovascular disorders 20:120 PubMed32138681

2020

Recombinant Klotho protein enhances cholesterol efflux of THP-1 macrophage-derived foam cells via suppressing Wnt/β-catenin signaling pathway.

Applications

Unspecified application

Species

Unspecified reactive species

Wei Liu,Xiujuan Chen,Min Wu,Lin Li,Jiani Liu,Jing Shi,Tian Hong

The Journal of investigative dermatology 140:1355-1363.e1 PubMed31945347

2020

Steroid Receptor RNA Activator, a Long Noncoding RNA, Activates p38, Facilitates Epithelial-Mesenchymal Transformation, and Mediates Experimental Melanoma Metastasis.

Applications

Unspecified application

Species

Unspecified reactive species

Chien-Hui Hong,Ji-Chen Ho,Chih-Hung Lee

Scientific reports 9:7461 PubMed31097769

2019

An in vitro model of foam cell formation induced by a stretchable microfluidic device.

Applications

Unspecified application

Species

Unspecified reactive species

Xiaoyang Gu,Shijie Xie,Dandan Hong,Yongsheng Ding

Current molecular medicine 18:698-710 PubMed30734676

2019

Naoxintong Retards Atherosclerosis by Inhibiting Foam Cell Formation Through Activating Pparα Pathway.

Applications

Unspecified application

Species

Unspecified reactive species

Zeng Wang,Huairui Shi,Huan Zhao,Zhen Dong,Buchang Zhao,Xinyu Weng,Rongle Liu,Xiao Li,Kai Hu,Yunzeng Zou,Aijun Sun,Junbo Ge

The Journal of clinical investigation 129:252-267 PubMed30375985

2018

Acetaldehyde dehydrogenase 2 interactions with LDLR and AMPK regulate foam cell formation.

Applications

Unspecified application

Species

Unspecified reactive species

Shanshan Zhong,Luxiao Li,Yu-Lei Zhang,Lili Zhang,Jianhong Lu,Shuyuan Guo,Ningning Liang,Jing Ge,Mingjiang Zhu,Yongzhen Tao,Yun-Cheng Wu,Huiyong Yin

Frontiers in immunology 9:878 PubMed29760701

2018

Human Gingiva-Derived Mesenchymal Stem Cells Modulate Monocytes/Macrophages and Alleviate Atherosclerosis.

Applications

Unspecified application

Species

Unspecified reactive species

Ximei Zhang,Feng Huang,Weixuan Li,Jun-Long Dang,Jia Yuan,Julie Wang,Dong-Lan Zeng,Can-Xing Sun,Yan-Ying Liu,Qian Ao,Hongmei Tan,Wenru Su,Xiaoxian Qian,Nancy Olsen,Song Guo Zheng

Journal of the American Heart Association 7: PubMed29502100

2018

Adipose-Derived Exosomes Exert Proatherogenic Effects by Regulating Macrophage Foam Cell Formation and Polarization.

Applications

Unspecified application

Species

Unspecified reactive species

Zulong Xie,Xuedong Wang,Xinxin Liu,Huaan Du,Changbin Sun,Xin Shao,Jiangtian Tian,Xia Gu,Hailong Wang,Jinwei Tian,Bo Yu
View all publications

Product promise

We are committed to supporting your work with high-quality reagents, and we're here for you every step of the way. In the unlikely event that one of our products does not perform as expected, you're protected by our Product Promise.
For full details, please see our Terms & Conditions

Please note: All products are 'FOR RESEARCH USE ONLY. NOT FOR USE IN DIAGNOSTIC OR THERAPEUTIC PROCEDURES'.

For licensing inquiries, please contact partnerships@abcam.com