JavaScript is disabled in your browser. Please enable JavaScript to view this website.
AB240962

Anti-SRAP antibody [EPR11776] - BSA and Azide free

Be the first to review this product! Submit a review

|

(0 Publication)

Rabbit Recombinant Monoclonal SRAP antibody. Carrier free. Suitable for WB, ICC/IF, Flow Cyt (Intra), IHC-P and reacts with Human samples.

View Alternative Names

PP7684, SRA1, Steroid receptor RNA activator 1, Steroid receptor RNA activator protein, SRAP

3 Images
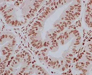
Immunohistochemistry (Formalin/PFA-fixed paraffin-embedded sections) - Anti-SRAP antibody [EPR11776] - BSA and Azide free (AB240962)
  • IHC-P

Supplier Data

Immunohistochemistry (Formalin/PFA-fixed paraffin-embedded sections) - Anti-SRAP antibody [EPR11776] - BSA and Azide free (AB240962)

Immunohistochemical analysis of paraffin-embedded Human ovarian carcinoma tissue labeling SRAP with ab183725 at 1/100 dilution. The slide is counterstained with Hematoxylin.

This data was developed using the same antibody clone in a different buffer formulation containing PBS, BSA, glycerol, and sodium azide (ab183725).

Perform heat mediated antigen retrieval with EDTA buffer pH 9 before commencing with IHC staining protocol.

Immunocytochemistry/ Immunofluorescence - Anti-SRAP antibody [EPR11776] - BSA and Azide free (AB240962)
  • ICC/IF

Supplier Data

Immunocytochemistry/ Immunofluorescence - Anti-SRAP antibody [EPR11776] - BSA and Azide free (AB240962)

Immunofluorescence analysis of 4% paraformaldehyde-fixed MCF7 cells labeling SRAP with ab183725 at 1/500 dilution (red). Goat anti-rabbit IgG (Alexa Fluor® 555) at 1/200 dilution was used as the secondary antibody. The slide on the right is stained with Dapi (blue).

This data was developed using the same antibody clone in a different buffer formulation containing PBS, BSA, glycerol, and sodium azide (ab183725).

Flow Cytometry (Intracellular) - Anti-SRAP antibody [EPR11776] - BSA and Azide free (AB240962)
  • Flow Cyt (Intra)

Supplier Data

Flow Cytometry (Intracellular) - Anti-SRAP antibody [EPR11776] - BSA and Azide free (AB240962)

Intracellular flow cytometric analysis of 2% paraformaldehyde-fixed 293 cells labeling SRAP with ab183725 at 1/180 dilution. Goat anti-rabbit IgG (FITC) at 1/150 dilution was used as the secondary antibody. Rabbit monoclonal IgG was used as the isotype control.

This data was developed using the same antibody clone in a different buffer formulation containing PBS, BSA, glycerol, and sodium azide (ab183725).

Key facts

Host species

Rabbit

Clonality

Monoclonal

Clone number

EPR11776

Isotype

IgG

Carrier free

Yes

Reacts with

Human

Applications

ICC/IF, Flow Cyt (Intra), IHC-P, WB

applications

Immunogen

The exact immunogen used to generate this antibody is proprietary information.

Reactivity data

{ "title": "Reactivity Data", "filters": { "stats": ["", "Species", "Dilution Info", "Notes"], "tabs": { "all-applications": {"fullname" : "All Applications", "shortname": "All Applications"}, "WB" : {"fullname" : "Western blot", "shortname":"WB"}, "ICCIF" : {"fullname" : "Immunocytochemistry/ Immunofluorescence", "shortname":"ICC/IF"}, "FlowCytIntra" : {"fullname" : "Flow Cytometry (Intracellular)", "shortname":"Flow Cyt (Intra)"}, "IHCP" : {"fullname" : "Immunohistochemistry (Formalin/PFA-fixed paraffin-embedded sections)", "shortname":"IHC-P"} }, "product-promise": { "all": "all", "testedAndGuaranteed": "tested", "guaranteed": "expected", "predicted": "predicted", "notRecommended": "not-recommended" } }, "values": { "Human": { "WB-species-checked": "guaranteed", "WB-species-dilution-info": "", "WB-species-notes": "<p></p> Perform heat-mediated antigen retrieval with Tris/EDTA buffer pH 9.0 before commencing with IHC staining protocol.", "ICCIF-species-checked": "testedAndGuaranteed", "ICCIF-species-dilution-info": "", "ICCIF-species-notes": "<p></p>", "FlowCytIntra-species-checked": "testedAndGuaranteed", "FlowCytIntra-species-dilution-info": "", "FlowCytIntra-species-notes": "<p><a href='/en-us/products/primary-antibodies/rabbit-igg-monoclonal-epr25a-isotype-control-low-endotoxin-azide-free-ab199376'>ab199376</a> - Rabbit monoclonal IgG, is suitable for use as an isotype control with this antibody.</p>", "IHCP-species-checked": "testedAndGuaranteed", "IHCP-species-dilution-info": "", "IHCP-species-notes": "<p></p> Perform heat-mediated antigen retrieval with Tris/EDTA buffer pH 9.0 before commencing with IHC staining protocol." }, "Mouse": { "WB-species-checked": "predicted", "WB-species-dilution-info": "", "WB-species-notes": "", "ICCIF-species-checked": "predicted", "ICCIF-species-dilution-info": "", "ICCIF-species-notes": "", "FlowCytIntra-species-checked": "predicted", "FlowCytIntra-species-dilution-info": "", "FlowCytIntra-species-notes": "", "IHCP-species-checked": "predicted", "IHCP-species-dilution-info": "", "IHCP-species-notes": "" }, "Rat": { "WB-species-checked": "predicted", "WB-species-dilution-info": "", "WB-species-notes": "", "ICCIF-species-checked": "predicted", "ICCIF-species-dilution-info": "", "ICCIF-species-notes": "", "FlowCytIntra-species-checked": "predicted", "FlowCytIntra-species-dilution-info": "", "FlowCytIntra-species-notes": "", "IHCP-species-checked": "predicted", "IHCP-species-dilution-info": "", "IHCP-species-notes": "" } } }

Product details

ab240962 is the carrier-free version of ab183725.

Patented technology
Our RabMAb® technology is a patented hybridoma-based technology for making rabbit monoclonal antibodies. For details on our patents, please refer to RabMAb® patents.

What are the advantages of a recombinant monoclonal antibody?
This product is a recombinant monoclonal antibody, which offers several advantages including:

  • - High batch-to-batch consistency and reproducibility
  • - Improved sensitivity and specificity
  • - Long-term security of supply
  • - Animal-free batch production

For more information, read more on recombinant antibodies.

Conjugation ready
Our carrier-free antibodies are typically supplied in a PBS-only formulation, purified and free of BSA, sodium azide and glycerol. This conjugation-ready format is designed for use with fluorochromes, metal isotopes, oligonucleotides, and enzymes, which makes them ideal for antibody labelling, functional and cell-based assays, flow-based assays (e.g. mass cytometry) and Multiplex Imaging applications.

Use our conjugation kits for antibody conjugates that are ready-to-use in as little as 20 minutes with 1 minute hands-on-time and 100% antibody recovery: available for fluorescent dyes, HRP, biotin and gold.

Compatibility
This product is compatible with the Maxpar® Antibody Labeling Kit from Fluidigm, without the need for antibody preparation. Maxpar® is a trademark of Fluidigm Canada Inc.

Properties and storage information

Form
Liquid
Purification technique
Affinity purification Protein A
Storage buffer
pH: 7.2 - 7.4 Constituents: PBS
Shipped at conditions
Blue Ice
Appropriate short-term storage conditions
+4°C
Appropriate long-term storage conditions
+4°C
Storage information
Do Not Freeze

Product protocols

For this product, it's our understanding that no specific protocols are required. You can visit:

Target data

Functional RNA which acts as a transcriptional coactivator that selectively enhances steroid receptor-mediated transactivation ligand-independently through a mechanism involving the modulating N-terminal domain (AF-1) of steroid receptors. Also mediates transcriptional coactivation of steroid receptors ligand-dependently through the steroid-binding domain (AF-2). Enhances cellular proliferation and differentiation and promotes apoptosis in vivo. May play a role in tumorigenesis.
See full target information SRA1

Product promise

We are committed to supporting your work with high-quality reagents, and we're here for you every step of the way. In the unlikely event that one of our products does not perform as expected, you're protected by our Product Promise.
For full details, please see our Terms & Conditions

Associated Products

Select an associated product type
Alternative Version
Primary Antibodies

AB302996

PE Anti-SRAP antibody [EPR11776]

primary-antibodies

pe-srap-antibody-epr11776-ab302996

0

(0 reviews)

Alternative Version
Primary Antibodies

AB302997

APC Anti-SRAP antibody [EPR11776]

primary-antibodies

apc-srap-antibody-epr11776-ab302997

0

(0 reviews)

Alternative Version
Primary Antibodies

AB302998

HRP Anti-SRAP antibody [EPR11776]

primary-antibodies

hrp-srap-antibody-epr11776-ab302998

0

(0 reviews)

Alternative Version
Primary Antibodies

AB310526

Alexa Fluor® 594 Anti-SRAP antibody [EPR11776]

primary-antibodies

alexa-fluor-594-srap-antibody-epr11776-ab310526

0

(0 reviews)

Alternative Version
Primary Antibodies

AB309750

Alexa Fluor® 488 Anti-SRAP antibody [EPR11776]

primary-antibodies

alexa-fluor-488-srap-antibody-epr11776-ab309750

0

(0 reviews)

Alternative Version
Primary Antibodies

AB310117

Alexa Fluor® 647 Anti-SRAP antibody [EPR11776]

primary-antibodies

alexa-fluor-647-srap-antibody-epr11776-ab310117

0

(0 reviews)

Alternative Version
Primary Antibodies

AB312056

Alexa Fluor® 555 Anti-SRAP antibody [EPR11776]

primary-antibodies

alexa-fluor-555-srap-antibody-epr11776-ab312056

0

(0 reviews)

Alternative Version
Primary Antibodies

AB312533

Alexa Fluor® 568 Anti-SRAP antibody [EPR11776]

primary-antibodies

alexa-fluor-568-srap-antibody-epr11776-ab312533

0

(0 reviews)

Please note: All products are 'FOR RESEARCH USE ONLY. NOT FOR USE IN DIAGNOSTIC OR THERAPEUTIC PROCEDURES'.

For licensing inquiries, please contact partnerships@abcam.com