JavaScript is disabled in your browser. Please enable JavaScript to view this website.
AB16885

Anti-Src antibody [Clone 327]

5

(4 Reviews)

|

(25 Publications)

Mouse Monoclonal SRC antibody. Suitable for Flow Cyt, WB and reacts with Human samples. Cited in 25 publications. Immunogen corresponding to Native Full Length Protein corresponding to Human SRC.

View Alternative Names

SRC1, SRC, Proto-oncogene tyrosine-protein kinase Src, Proto-oncogene c-Src, pp60c-src, p60-Src

5 Images
Flow Cytometry - Anti-Src antibody [Clone 327] (AB16885)
  • Flow Cyt

Unknown

Flow Cytometry - Anti-Src antibody [Clone 327] (AB16885)

Overlay histogram showing SH-SY5Y cells stained with ab16885 (red line). The cells were fixed with 80% methanol (5 min) and then permeabilized with 0.1% PBS-Tween for 20 min. The cells were then incubated in 1x PBS / 10% normal goat serum / 0.3M glycine to block non-specific protein-protein interactions followed by the antibody (ab16885, 1μg/1x106 cells) for 30 min at 22°C. The secondary antibody used was DyLight® 488 goat anti-mouse IgG (H+L) (ab96879) at 1/500 dilution for 30 min at 22°C. Isotype control antibody (black line) was mouse IgG1 [ICIGG1] (ab91353, 2μg/1x106 cells) used under the same conditions. Acquisition of >5,000 events was performed.

This image was generated using the ascites version of the product.

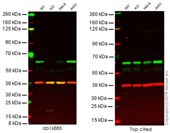
Western blot - Anti-Src antibody [Clone 327] (AB16885)
  • WB

Lab

Western blot - Anti-Src antibody [Clone 327] (AB16885)

Lane 1 : Wild-type HAP1 cell lysate (20 μg)
Lane 2 : Src knockout HAP1 cell lysate (20 μg)
Lane 3 : HeLa cell lysate (20 μg)
Lane 4 : A431 cell lysate (20 μg)

Lanes 1 - 4 : Merged signal (red and green). Green - ab16885 observed at 60 kDa. Red - loading control, ab8245, observed at 37 kDa.

This western blot image is a comparison between ab16885 and a competitor's top cited rabbit polyclonal antibody.

This image was generated using the ascites version of the product.

All lanes:

Western blot - Anti-Src antibody [Clone 327] (ab16885)

Predicted band size: 60 kDa

false

Western blot - Anti-Src antibody [Clone 327] (AB16885)
  • WB

Lab

Western blot - Anti-Src antibody [Clone 327] (AB16885)

Lane 1 : Wild-type HAP1 cell lysate (20 μg)
Lane 2 : Src knockout HAP1 cell lysate (20 μg)
Lane 3 : HeLa cell lysate (20 μg)
Lane 4 : A431 cell lysate (20 μg)
Lanes 1 - 4 : Merged signal (red and green). Green - ab16885 observed at 60 kDa. Red - loading control, ab8227, observed at 42 kDa.

ab16885 was shown to specifically react with Src when Src knockout samples were used. Wild-type and Src knockout samples were subjected to SDS-PAGE. ab16885 and ab8227 (loading control to beta Actin) were diluted 2.5μg/ml and 1/1000 respectively and incubated overnight at 4°C. Blots were developed with Goat anti-Mouse IgG H&L (IRDye® 800CW) preadsorbed (ab216772) and Goat Anti-Rabbit IgG H&L (IRDye® 680RD) preadsorbed (ab216777) secondary antibodies at 1/10000 dilution for 1 h at room temperature before imaging.

This image was generated using the ascites version of the product.

All lanes:

Western blot - Anti-Src antibody [Clone 327] (ab16885)

Predicted band size: 190 kDa,53 kDa,57 kDa,60 kDa

Observed band size: 193 kDa

false

Western blot - Anti-Src antibody [Clone 327] (AB16885)
  • WB

AbReview12897****

Western blot - Anti-Src antibody [Clone 327] (AB16885)

This image was generated using the ascites version of the product.

All lanes:

Western blot - Anti-Src antibody [Clone 327] (ab16885) at 2.5 µg/mL

Lane 1:

Whole cell lysate prepared from human MCF-7 cells (Untreated)

Lane 2:

Whole cell lysate prepared from human MCF-7 cells (Treated with 10uM PP2)

Secondary

All lanes:

HRP conjugated Donkey polyclonal to mouse Ig at 1/5000 dilution

Predicted band size: 60 kDa

true

Exposure time: 3min

This image is courtesy of an anonymous Abreview

Western blot - Anti-Src antibody [Clone 327] (AB16885)
  • WB

AbReview16063****

Western blot - Anti-Src antibody [Clone 327] (AB16885)

This image was generated using the ascites version of the product.

All lanes:

Western blot - Anti-Src antibody [Clone 327] (ab16885) at 1/100 dilution

All lanes:

Lysate prepared from mouse NIH 3T3 cell line at 10 µg

Secondary

All lanes:

HRP-conjugated sheep monoclonal to mouse IgG at 1/5000 dilution

Predicted band size: 60 kDa

Observed band size: 60 kDa

true

Exposure time: 12min

This image is a courtesy of Anonymous Abreview

Key facts

Host species

Mouse

Clonality

Monoclonal

Clone number

Clone 327

Isotype

IgG1

Carrier free

No

Reacts with

Human

Applications

Flow Cyt, WB

applications

Immunogen

Native Full Length Protein corresponding to Human SRC.

P12931

Epitope

Epitope is within the SH3 domain of either v-Src or c-Src. We have no evidence for ab16885 cross-reacting with other src family kinases (e.g.fyn).

Specificity

Reacts with both v-Src and c-Src proteins.

Reactivity data

{ "title": "Reactivity Data", "filters": { "stats": ["", "Species", "Dilution Info", "Notes"], "tabs": { "all-applications": {"fullname" : "All Applications", "shortname": "All Applications"}, "FlowCyt" : {"fullname" : "Flow Cytometry", "shortname":"Flow Cyt"}, "WB" : {"fullname" : "Western blot", "shortname":"WB"}, "IHCP" : {"fullname" : "Immunohistochemistry (Formalin/PFA-fixed paraffin-embedded sections)", "shortname":"IHC-P"}, "ICCIF" : {"fullname" : "Immunocytochemistry/ Immunofluorescence", "shortname":"ICC/IF"}, "IHCFr" : {"fullname" : "Immunohistochemistry (Frozen sections)", "shortname":"IHC-Fr"} }, "product-promise": { "all": "all", "testedAndGuaranteed": "tested", "guaranteed": "expected", "predicted": "predicted", "notRecommended": "not-recommended" } }, "values": { "Human": { "FlowCyt-species-checked": "testedAndGuaranteed", "FlowCyt-species-dilution-info": "", "FlowCyt-species-notes": "<p><a href='/en-us/products/primary-antibodies/mouse-igg1-kappa-monoclonal-15-6e10a7-isotype-control-ab170190'>ab170190</a> - Mouse monoclonal IgG1, is suitable for use as an isotype control with this antibody.</p>", "WB-species-checked": "testedAndGuaranteed", "WB-species-dilution-info": "", "WB-species-notes": "<p>ab16885 may appear as a doublet on WB due to phosphorylation. This antibody can be used to precipitate active src kinase.</p>", "IHCP-species-checked": "notRecommended", "IHCP-species-dilution-info": "", "IHCP-species-notes": "<p></p>", "ICCIF-species-checked": "notRecommended", "ICCIF-species-dilution-info": "", "ICCIF-species-notes": "<p></p>", "IHCFr-species-checked": "notRecommended", "IHCFr-species-dilution-info": "", "IHCFr-species-notes": "<p></p>" } } }

Product details

May appear as a doublet due to phosphorylation. May be used to precipitate active Src which can then be used in a kinase reaction.

This product was changed from ascites to tissue culture supernatant on 17 May 2019. Please note that the dilutions may need to be adjusted accordingly. If you have any questions, please do not hesitate to contact our scientific support team.

Properties and storage information

Form
Liquid
Purity
Tissue culture supernatant
Purification notes
Purified from TCS.
Storage buffer
Preservative: 0.1% Sodium azide Constituents: 0.82% Sodium phosphate, 0.2% Gelatin
Shipped at conditions
Blue Ice
Appropriate short-term storage conditions
+4°C
Appropriate long-term storage conditions
+4°C
Storage information
Do Not Freeze

Supplementary information

This supplementary information is collated from multiple sources and compiled automatically.

Src also known as c-Src is a protein-tyrosine kinase involved in the regulation of many cellular processes. The molecular weight of Src is approximately 60 kDa. Src is ubiquitously expressed in human tissues but shows increased expression in specific tissues like the brain and epithelial cells. This protein has several important roles in cellular signal transduction particularly influencing cell growth differentiation and survival.
Biological function summary

The Src protein interacts with other proteins to modulate cell adhesion motility and angiogenesis forming part of larger protein complexes. Src phosphorylates specific tyrosine residues on its substrates altering their activity interaction or stability. This activity positions Src as an important factor in managing cell communication and structural organization. Src's interaction with focal adhesion complexes emphasizes its functionality in cellular structural integrity and intracellular communication pathways.

Pathways

Src plays a critical role in the integrin and growth factor receptor signaling pathways mediating cross-talk between cell surface receptors and intricate signaling cascades. It closely associates with focal adhesion kinase (FAK) within these pathways influencing cytoskeletal rearrangements and cell movement. Src's function in the epidermal growth factor receptor (EGFR) signaling pathway likewise demonstrates its importance in regulating cellular proliferation and survival mechanisms.

Src has significant implications in oncogenesis particularly in colorectal and breast cancers. Overexpression or abnormal activity of Src associates with tumor progression and metastasis. Within these cancers Src cooperates with various proteins like the EGFR amplifying aberrant cell signaling that contributes to uncontrolled cell growth. Investigating Src's role and regulation could offer insights into novel therapeutic strategies for controlling Src activity in cancer treatment.

Product protocols

For this product, it's our understanding that no specific protocols are required. You can visit:

Target data

Non-receptor protein tyrosine kinase which is activated following engagement of many different classes of cellular receptors including immune response receptors, integrins and other adhesion receptors, receptor protein tyrosine kinases, G protein-coupled receptors as well as cytokine receptors (PubMed : 34234773). Participates in signaling pathways that control a diverse spectrum of biological activities including gene transcription, immune response, cell adhesion, cell cycle progression, apoptosis, migration, and transformation. Due to functional redundancy between members of the SRC kinase family, identification of the specific role of each SRC kinase is very difficult. SRC appears to be one of the primary kinases activated following engagement of receptors and plays a role in the activation of other protein tyrosine kinase (PTK) families. Receptor clustering or dimerization leads to recruitment of SRC to the receptor complexes where it phosphorylates the tyrosine residues within the receptor cytoplasmic domains. Plays an important role in the regulation of cytoskeletal organization through phosphorylation of specific substrates such as AFAP1. Phosphorylation of AFAP1 allows the SRC SH2 domain to bind AFAP1 and to localize to actin filaments. Cytoskeletal reorganization is also controlled through the phosphorylation of cortactin (CTTN) (Probable). When cells adhere via focal adhesions to the extracellular matrix, signals are transmitted by integrins into the cell resulting in tyrosine phosphorylation of a number of focal adhesion proteins, including PTK2/FAK1 and paxillin (PXN) (PubMed : 21411625). In addition to phosphorylating focal adhesion proteins, SRC is also active at the sites of cell-cell contact adherens junctions and phosphorylates substrates such as beta-catenin (CTNNB1), delta-catenin (CTNND1), and plakoglobin (JUP). Another type of cell-cell junction, the gap junction, is also a target for SRC, which phosphorylates connexin-43 (GJA1). SRC is implicated in regulation of pre-mRNA-processing and phosphorylates RNA-binding proteins such as KHDRBS1 (Probable). Phosphorylates PKP3 at 'Tyr-195' in response to reactive oxygen species, which may cause the release of PKP3 from desmosome cell junctions into the cytoplasm (PubMed : 25501895). Also plays a role in PDGF-mediated tyrosine phosphorylation of both STAT1 and STAT3, leading to increased DNA binding activity of these transcription factors (By similarity). Involved in the RAS pathway through phosphorylation of RASA1 and RASGRF1 (PubMed : 11389730). Plays a role in EGF-mediated calcium-activated chloride channel activation (PubMed : 18586953). Required for epidermal growth factor receptor (EGFR) internalization through phosphorylation of clathrin heavy chain (CLTC and CLTCL1) at 'Tyr-1477'. Involved in beta-arrestin (ARRB1 and ARRB2) desensitization through phosphorylation and activation of GRK2, leading to beta-arrestin phosphorylation and internalization. Has a critical role in the stimulation of the CDK20/MAPK3 mitogen-activated protein kinase cascade by epidermal growth factor (Probable). Might be involved not only in mediating the transduction of mitogenic signals at the level of the plasma membrane but also in controlling progression through the cell cycle via interaction with regulatory proteins in the nucleus (PubMed : 7853507). Plays an important role in osteoclastic bone resorption in conjunction with PTK2B/PYK2. Both the formation of a SRC-PTK2B/PYK2 complex and SRC kinase activity are necessary for this function. Recruited to activated integrins by PTK2B/PYK2, thereby phosphorylating CBL, which in turn induces the activation and recruitment of phosphatidylinositol 3-kinase to the cell membrane in a signaling pathway that is critical for osteoclast function (PubMed : 14585963, PubMed : 8755529). Promotes energy production in osteoclasts by activating mitochondrial cytochrome C oxidase (PubMed : 12615910). Phosphorylates DDR2 on tyrosine residues, thereby promoting its subsequent autophosphorylation (PubMed : 16186108). Phosphorylates RUNX3 and COX2 on tyrosine residues, TNK2 on 'Tyr-284' and CBL on 'Tyr-731' (PubMed : 20100835, PubMed : 21309750). Enhances RIGI-elicited antiviral signaling (PubMed : 19419966). Phosphorylates PDPK1 at 'Tyr-9', 'Tyr-373' and 'Tyr-376' (PubMed : 14585963). Phosphorylates BCAR1 at 'Tyr-128' (PubMed : 22710723). Phosphorylates CBLC at multiple tyrosine residues, phosphorylation at 'Tyr-341' activates CBLC E3 activity (PubMed : 20525694). Phosphorylates synaptic vesicle protein synaptophysin (SYP) (By similarity). Involved in anchorage-independent cell growth (PubMed : 19307596). Required for podosome formation (By similarity). Mediates IL6 signaling by activating YAP1-NOTCH pathway to induce inflammation-induced epithelial regeneration (PubMed : 25731159). Phosphorylates OTUB1, promoting deubiquitination of RPTOR (PubMed : 35927303). Phosphorylates caspase CASP8 at 'Tyr-380' which negatively regulates CASP8 processing and activation, down-regulating CASP8 proapoptotic function (PubMed : 16619028).. Isoform 1. Non-receptor protein tyrosine kinase which phosphorylates synaptophysin with high affinity.. Isoform 2. Non-receptor protein tyrosine kinase which shows higher basal kinase activity than isoform 1, possibly due to weakened intramolecular interactions which enhance autophosphorylation of Tyr-419 and subsequent activation (By similarity). The SH3 domain shows reduced affinity with the linker sequence between the SH2 and kinase domains which may account for the increased basal activity (By similarity). Displays altered substrate specificity compared to isoform 1, showing weak affinity for synaptophysin and for peptide substrates containing class I or class II SH3 domain-binding motifs (By similarity). Plays a role in L1CAM-mediated neurite elongation, possibly by acting downstream of L1CAM to drive cytoskeletal rearrangements involved in neurite outgrowth (By similarity).. Isoform 3. Non-receptor protein tyrosine kinase which shows higher basal kinase activity than isoform 1, possibly due to weakened intramolecular interactions which enhance autophosphorylation of Tyr-419 and subsequent activation (By similarity). The SH3 domain shows reduced affinity with the linker sequence between the SH2 and kinase domains which may account for the increased basal activity (By similarity). Displays altered substrate specificity compared to isoform 1, showing weak affinity for synaptophysin and for peptide substrates containing class I or class II SH3 domain-binding motifs (By similarity). Plays a role in neurite elongation (By similarity).
See full target information SRC

Publications (25)

Recent publications for all applications. Explore the full list and refine your search

Life science alliance 8: PubMed40081987

2025

Lipid-driven Src self-association modulates its transformation capacity.

Applications

Unspecified application

Species

Unspecified reactive species

Irrem-Laareb Mohammad,Marina I Giannotti,Elise Fourgous,Yvan Boublik,Alejandro Fernández,Anabel-Lise Le Roux,Audrey Sirvent,Marta Taulés,Serge Roche,Miquel Pons

iScience 26:107477 PubMed37599821

2023

Targeting CD36 determines nicotine derivative NNK-induced lung adenocarcinoma carcinogenesis.

Applications

Unspecified application

Species

Unspecified reactive species

Ming-Yue Li,Menghuan Wang,Ming Dong,Zangshu Wu,Rui Zhang,Bowen Wang,Yuxi Huang,Xiaoyang Zhang,Jiaying Zhou,Junbo Yi,George Gong Chen,Li-Zhong Liu

Molecular & cellular proteomics : MCP 22:100543 PubMed37030595

2023

N-Terminomic Changes in Neurons During Excitotoxicity Reveal Proteolytic Events Associated With Synaptic Dysfunctions and Potential Targets for Neuroprotection.

Applications

Unspecified application

Species

Unspecified reactive species

S Sadia Ameen,Nane Griem-Krey,Antoine Dufour,M Iqbal Hossain,Ashfaqul Hoque,Sharelle Sturgeon,Harshal Nandurkar,Dominik F Draxler,Robert L Medcalf,Mohd Aizuddin Kamaruddin,Isabelle S Lucet,Michael G Leeming,Dazhi Liu,Amardeep Dhillon,Jet Phey Lim,Faiza Basheer,Hong-Jian Zhu,Laita Bokhari,Carli L Roulston,Prasad N Paradkar,Oded Kleifeld,Andrew N Clarkson,Petrine Wellendorph,Giuseppe D Ciccotosto,Nicholas A Williamson,Ching-Seng Ang,Heung-Chin Cheng

Current research in pharmacology and drug discovery 4:100147 PubMed36632414

2023

A novel drug-like water-soluble small molecule Focal Adhesion Kinase (FAK) activator promotes intestinal mucosal healing.

Applications

Unspecified application

Species

Unspecified reactive species

Qinggang Wang,Ricardo Gallardo-Macias,Emilie E Vomhof-DeKrey,Rashmi Gupta,Svetlana A Golovko,Mikhail Y Golovko,Sema Oncel,Vadim J Gurvich,Marc D Basson

Frontiers in cell and developmental biology 9:745985 PubMed34660604

2021

Dual Regulation of Tank Binding Kinase 1 by BRG1 in Hepatocytes Contributes to Reactive Oxygen Species Production.

Applications

Unspecified application

Species

Unspecified reactive species

Fangqiao Lv,Tinghui Shao,Yujia Xue,Xiulian Miao,Yan Guo,Yutong Wang,Yong Xu

Scientific reports 11:14927 PubMed34290363

2021

Roles for B[a]P and FICZ in subchondral bone metabolism and experimental temporomandibular joint osteoarthritis via the AhR/Cyp1a1 signaling axis.

Applications

Unspecified application

Species

Unspecified reactive species

Yuri Yoshikawa,Takashi Izawa,Yusaku Hamada,Hiroko Takenaga,Ziyi Wang,Naozumi Ishimaru,Hiroshi Kamioka

Experimental and therapeutic medicine 21:424 PubMed33747163

2021

Lidocaine suppresses the malignant behavior of gastric cancer cells via the c-Met/c-Src pathway.

Applications

Unspecified application

Species

Unspecified reactive species

Wei Zeng,Ze Ting Xing,Mei Yun Tan,Yan Wen Wu,Chun Yuan Zhang

The Journal of biological chemistry 295:17281-17297 PubMed33037073

2020

Leptin modulates pancreatic β-cell membrane potential through Src kinase-mediated phosphorylation of NMDA receptors.

Applications

Unspecified application

Species

Unspecified reactive species

Veronica A Cochrane,Yi Wu,Zhongying Yang,Assmaa ElSheikh,Jeremy Dunford,Paul Kievit,Dale A Fortin,Show-Ling Shyng

Nature communications 11:4634 PubMed32929078

2020

Chromatin accessibility mapping of the striatum identifies tyrosine kinase FYN as a therapeutic target for heroin use disorder.

Applications

Unspecified application

Species

Unspecified reactive species

Gabor Egervari,Diana Akpoyibo,Tanni Rahman,John F Fullard,James E Callens,Joseph A Landry,Annie Ly,Xianxiao Zhou,Noël Warren,Mads E Hauberg,Gabriel Hoffman,Randy Ellis,Jacqueline-Marie N Ferland,Michael L Miller,Eva Keller,Bin Zhang,Panos Roussos,Yasmin L Hurd

Experimental eye research 197:108108 PubMed32590005

2020

The retinal tyrosine kinome of diabetic Akimba mice highlights potential for specific Src family kinase inhibition in retinal vascular disease.

Applications

Unspecified application

Species

Unspecified reactive species

Jurgen Sergeys,Inge Van Hove,Tjing-Tjing Hu,Carolin Temps,Neil O Carragher,Asier Unciti-Broceta,Jean H M Feyen,Lieve Moons,Michael Porcu
View all publications

Product promise

We are committed to supporting your work with high-quality reagents, and we're here for you every step of the way. In the unlikely event that one of our products does not perform as expected, you're protected by our Product Promise.
For full details, please see our Terms & Conditions

Please note: All products are 'FOR RESEARCH USE ONLY. NOT FOR USE IN DIAGNOSTIC OR THERAPEUTIC PROCEDURES'.

For licensing inquiries, please contact partnerships@abcam.com