JavaScript is disabled in your browser. Please enable JavaScript to view this website.
AB269563

Anti-Src antibody [GD11] - BSA and Azide free

Be the first to review this product! Submit a review

|

(0 Publication)

Mouse Monoclonal SRC antibody. Carrier free. Suitable for IHC-P, WB, ICC/IF and reacts with Human, Mouse, Rat samples.

View Alternative Names

Proto-oncogene tyrosine-protein kinase Src, Proto-oncogene c-Src, pp60c-src, p60-Src, SRC

3 Images
Immunocytochemistry/ Immunofluorescence - Anti-Src antibody [GD11] - BSA and Azide free (AB269563)
  • ICC/IF

Lab

Immunocytochemistry/ Immunofluorescence - Anti-Src antibody [GD11] - BSA and Azide free (AB269563)

ab231081 staining Src in wild-type HAP1 cells (top panel) and SRC knockout HAP1 cells (bottom panel). The cells were fixed with 4% formaldehyde (10min), permeabilized with 0.1% Triton X-100 for 5 minutes and then blocked with 1% BSA/10% normal goat serum/0.3M glycine in 0.1% PBS-Tween for 1h. The cells were then incubated with ab231081 at 5μg/ml and ab6046 (Rabbit polyclonal to beta tubulin - loading control) at 1/1000 dilution overnight at +4°C, followed by a further incubation at room temperature for 1h with ab150117 (Goat secondary antibody to Mouse IgG (Alexa Fluor® 488) at 2 μg/ml (colored green) and ab150084 (Goat secondary antibody to Rabbit IgG (Alexa Fluor® 594) at 2 μg/ml (pseudo color red). Nuclear DNA was labelled in blue with DAPI.

Image was taken with a confocal microscope (Leica-Microsystems, TCS SP8).

This image was produced using the same antibody clone but in a different formulation ab231081, PBS and sodium azide.

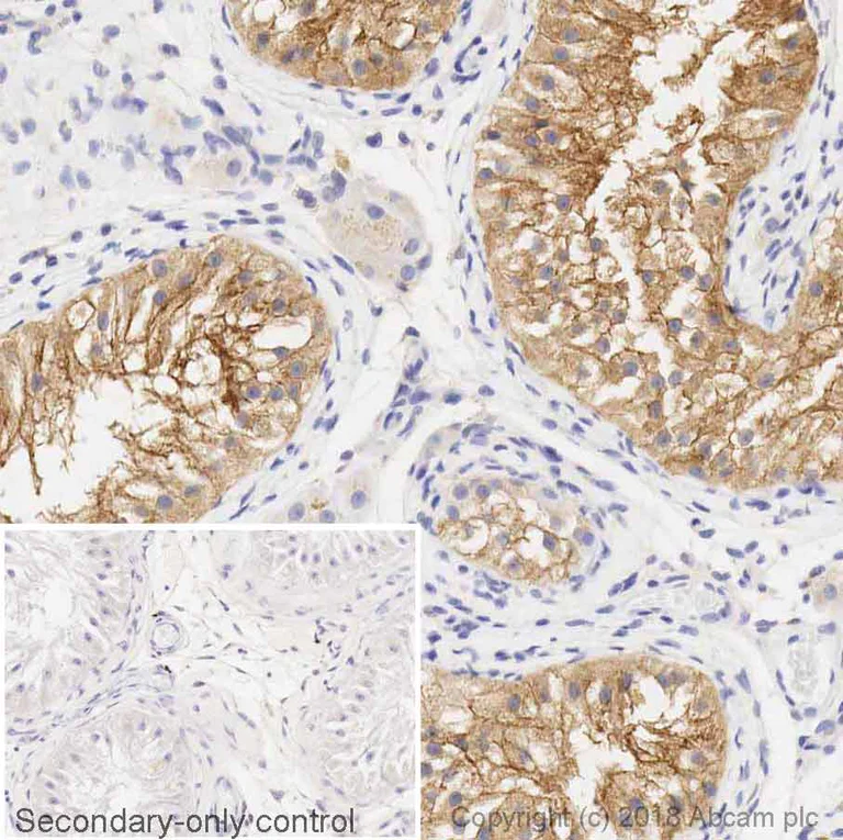
Immunohistochemistry (Formalin/PFA-fixed paraffin-embedded sections) - Anti-Src antibody [GD11] - BSA and Azide free (AB269563)
  • IHC-P

Lab

Immunohistochemistry (Formalin/PFA-fixed paraffin-embedded sections) - Anti-Src antibody [GD11] - BSA and Azide free (AB269563)

IHC image of Src staining in a section of formalin-fixed paraffin-embedded human normal testis* performed on a Leica BONDTM system using the standard protocol F. The section was pre-treated using heat mediated antigen retrieval with sodium citrate buffer (pH6, epitope retrieval solution 1) for 20mins. The section was then incubated with ab231081, 1ug/ml, for 15 mins at room temperature and detected using an HRP conjugated compact polymer system. DAB was used as the chromogen. The section was then counterstained with haematoxylin and mounted with DPX. The inset secondary-only control image is taken from an identical assay without primary antibody.

For other IHC staining systems (automated and non-automated) customers should optimize variable parameters such as antigen retrieval conditions, primary antibody concentration and antibody incubation times.

*Tissue obtained from the Human Research Tissue Bank, supported by the NIHR Cambridge Biomedical Research Centre

This image was produced using the same antibody clone but in a different formulation ab231081, PBS and sodium azide.

Western blot - Anti-Src antibody [GD11] - BSA and Azide free (AB269563)
  • WB

Lab

Western blot - Anti-Src antibody [GD11] - BSA and Azide free (AB269563)

ab231081 was shown to specifically react with Src in wild type HAP1 cells. No band was observed when Src knockout samples were used. Wild-type and Src knockout samples were subjected to SDS-PAGE. ab231081 and ab181602 (Rabbit anti-GAPDH loading control) were incubated overnight at 4°C at a 1ug/ml concentration and 1/10000 dilution respectively. Blots were developed with Goat anti-Rabbit IgG H&L (IRDye® 800CW) preadsorbed (ab216773) and Goat anti-Mouse IgG H&L (IRDye® 680RD) preadsorbed (ab216776) secondary antibodies at 1/20000 dilution for 1 hour at room temperature before imaging.

This image was produced using the same antibody clone but in a different formulation ab231081, PBS and sodium azide.

All lanes:

Western blot - Anti-Src antibody [GD11] (<a href='/en-us/products/primary-antibodies/src-antibody-gd11-ab231081'>ab231081</a>)

Lane 1:

HAP1 whole cell lysate at 20 µg

Lane 2:

HAP1 Src KO whole cell lysate at 20 µg

Lane 3:

A431 whole cell lysate at 20 µg

Lane 4:

Mouse testes whole tissue lysate at 20 µg

Lane 5:

Rat testes whole tissue lysate at 20 µg

Predicted band size: 60 kDa

false

Key facts

Host species

Mouse

Clonality

Monoclonal

Clone number

GD11

Isotype

IgG1

Light chain type

kappa

Carrier free

Yes

Reacts with

Mouse, Rat, Human

Applications

WB, ICC/IF, IHC-P

applications

Immunogen

The exact immunogen used to generate this antibody is proprietary information.

Epitope

The GD11 monoclonal binds to amino acid residues 82 to 169 of the Src protein (PubMed ID: 6205164).

Reactivity data

{ "title": "Reactivity Data", "filters": { "stats": ["", "Species", "Dilution Info", "Notes"], "tabs": { "all-applications": {"fullname" : "All Applications", "shortname": "All Applications"}, "IHCP" : {"fullname" : "Immunohistochemistry (Formalin/PFA-fixed paraffin-embedded sections)", "shortname":"IHC-P"}, "WB" : {"fullname" : "Western blot", "shortname":"WB"}, "ICCIF" : {"fullname" : "Immunocytochemistry/ Immunofluorescence", "shortname":"ICC/IF"} }, "product-promise": { "all": "all", "testedAndGuaranteed": "tested", "guaranteed": "expected", "predicted": "predicted", "notRecommended": "not-recommended" } }, "values": { "Human": { "IHCP-species-checked": "testedAndGuaranteed", "IHCP-species-dilution-info": "", "IHCP-species-notes": "<p></p> Perform heat-mediated antigen retrieval with citrate buffer pH 6 before commencing with IHC staining protocol.", "WB-species-checked": "testedAndGuaranteed", "WB-species-dilution-info": "1 µg/mL", "WB-species-notes": "<p></p>", "ICCIF-species-checked": "testedAndGuaranteed", "ICCIF-species-dilution-info": "5 µg/mL", "ICCIF-species-notes": "<p></p>" }, "Mouse": { "IHCP-species-checked": "guaranteed", "IHCP-species-dilution-info": "", "IHCP-species-notes": "", "WB-species-checked": "testedAndGuaranteed", "WB-species-dilution-info": "1 µg/mL", "WB-species-notes": "<p></p>", "ICCIF-species-checked": "guaranteed", "ICCIF-species-dilution-info": "", "ICCIF-species-notes": "" }, "Rat": { "IHCP-species-checked": "guaranteed", "IHCP-species-dilution-info": "", "IHCP-species-notes": "", "WB-species-checked": "testedAndGuaranteed", "WB-species-dilution-info": "1 µg/mL", "WB-species-notes": "<p></p>", "ICCIF-species-checked": "guaranteed", "ICCIF-species-dilution-info": "", "ICCIF-species-notes": "" } } }

Product details

ab269563 is the carrier-free version of ab231081.

Want a custom formulation?
This antibody clone is manufactured by Abcam. If you require a custom buffer formulation or conjugation for your experiments, please contact orders@abcam.com

Conjugation ready
Our carrier-free antibodies are typically supplied in a PBS-only formulation, purified and free of BSA, sodium azide and glycerol. This conjugation-ready format is designed for use with fluorochromes, metal isotopes, oligonucleotides, and enzymes, which makes them ideal for antibody labelling, functional and cell-based assays, flow-based assays (e.g. mass cytometry) and Multiplex Imaging applications.

Use our conjugation kits for antibody conjugates that are ready-to-use in as little as 20 minutes with 1 minute hands-on-time and 100% antibody recovery: available for fluorescent dyes, HRP, biotin and gold.

Compatibility
This product is compatible with the Maxpar® Antibody Labeling Kit from Fluidigm, without the need for antibody preparation. Maxpar® is a trademark of Fluidigm Canada Inc.

Properties and storage information

Form
Liquid
Purification technique
Affinity purification
Storage buffer
Constituents: PBS
Shipped at conditions
Blue Ice
Appropriate short-term storage conditions
+4°C
Appropriate long-term storage conditions
+4°C
Storage information
Do Not Freeze

Supplementary information

This supplementary information is collated from multiple sources and compiled automatically.

Src also known as c-Src is a protein-tyrosine kinase involved in the regulation of many cellular processes. The molecular weight of Src is approximately 60 kDa. Src is ubiquitously expressed in human tissues but shows increased expression in specific tissues like the brain and epithelial cells. This protein has several important roles in cellular signal transduction particularly influencing cell growth differentiation and survival.
Biological function summary

The Src protein interacts with other proteins to modulate cell adhesion motility and angiogenesis forming part of larger protein complexes. Src phosphorylates specific tyrosine residues on its substrates altering their activity interaction or stability. This activity positions Src as an important factor in managing cell communication and structural organization. Src's interaction with focal adhesion complexes emphasizes its functionality in cellular structural integrity and intracellular communication pathways.

Pathways

Src plays a critical role in the integrin and growth factor receptor signaling pathways mediating cross-talk between cell surface receptors and intricate signaling cascades. It closely associates with focal adhesion kinase (FAK) within these pathways influencing cytoskeletal rearrangements and cell movement. Src's function in the epidermal growth factor receptor (EGFR) signaling pathway likewise demonstrates its importance in regulating cellular proliferation and survival mechanisms.

Src has significant implications in oncogenesis particularly in colorectal and breast cancers. Overexpression or abnormal activity of Src associates with tumor progression and metastasis. Within these cancers Src cooperates with various proteins like the EGFR amplifying aberrant cell signaling that contributes to uncontrolled cell growth. Investigating Src's role and regulation could offer insights into novel therapeutic strategies for controlling Src activity in cancer treatment.

Product protocols

For this product, it's our understanding that no specific protocols are required. You can visit:

Target data

Non-receptor protein tyrosine kinase which is activated following engagement of many different classes of cellular receptors including immune response receptors, integrins and other adhesion receptors, receptor protein tyrosine kinases, G protein-coupled receptors as well as cytokine receptors. Participates in signaling pathways that control a diverse spectrum of biological activities including gene transcription, immune response, cell adhesion, cell cycle progression, apoptosis, migration, and transformation. Due to functional redundancy between members of the SRC kinase family, identification of the specific role of each SRC kinase is very difficult. SRC appears to be one of the primary kinases activated following engagement of receptors and plays a role in the activation of other protein tyrosine kinase (PTK) families. Receptor clustering or dimerization leads to recruitment of SRC to the receptor complexes where it phosphorylates the tyrosine residues within the receptor cytoplasmic domains. Plays an important role in the regulation of cytoskeletal organization through phosphorylation of specific substrates involved in this process (Probable). When cells adhere via focal adhesions to the extracellular matrix, signals are transmitted by integrins into the cell resulting in tyrosine phosphorylation of a number of focal adhesion proteins, including PTK2/FAK1 and paxillin (PXN) (By similarity). Also active at the sites of cell-cell contact adherens junctions and at gap junctions. Implicated in the regulation of pre-mRNA-processing (Probable). Might be involved not only in mediating the transduction of mitogenic signals at the level of the plasma membrane but also in controlling progression through the cell cycle via interaction with regulatory proteins in the nucleus (PubMed : 1717492, PubMed : 8550628). Involved in anchorage-independent cell growth (PubMed : 19307596).
See full target information SRC

Product promise

We are committed to supporting your work with high-quality reagents, and we're here for you every step of the way. In the unlikely event that one of our products does not perform as expected, you're protected by our Product Promise.
For full details, please see our Terms & Conditions

Please note: All products are 'FOR RESEARCH USE ONLY. NOT FOR USE IN DIAGNOSTIC OR THERAPEUTIC PROCEDURES'.

For licensing inquiries, please contact partnerships@abcam.com