JavaScript is disabled in your browser. Please enable JavaScript to view this website.
AB4816

Anti-Src (phospho Y419) antibody

4

(5 Reviews)

|

(46 Publications)

Rabbit Polyclonal antibody. Suitable for WB, IHC-FoFr, IHC-P and reacts with Chicken, Human, Mouse samples. Cited in 46 publications. Immunogen corresponding to Synthetic Peptide within Human SRC phospho Y419.
2 Images
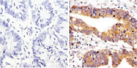
Immunohistochemistry (Formalin/PFA-fixed paraffin-embedded sections) - Anti-Src (phospho Y419) antibody (AB4816)
  • IHC-P

Supplier Data

Immunohistochemistry (Formalin/PFA-fixed paraffin-embedded sections) - Anti-Src (phospho Y419) antibody (AB4816)

Immunohistochemical analysis of paraffin embedded Human colon carcinoma, labelling Src with ab4816. A negative control without ab4816 is shown on the left. Antigen retrieval performed using 10mM sodium citrate, microwaved for 8-15mins, blocked using 3% H2O2-methanol, then treated with ab4816 followed by an HRP-conjugated secondary antibody. Counterstaining with hematoxylin.

Western blot - Anti-Src (phospho Y419) antibody (AB4816)
  • WB

Supplier Data

Western blot - Anti-Src (phospho Y419) antibody (AB4816)

Western blot detection of Src phosphorylation in extracts of chick embryo fibroblasts expressing wild-type (lanes 2,4,6) or mutant (lanes 1,3,5) pp60src. Truncation of Src at position 518 eliminated phosphorylation at the negative regulatory site [pY529], while increasing phosphorylation at the catalytic site [pY418].

Western blot detection of Src phosphorylation in extracts of chick embryo fibroblasts expressing wild-type (lanes 2,4,6) or mutant (lanes 1,3,5) pp60src. Truncation of Src at position 518 eliminated phosphorylation at the negative regulatory site [pY529], while increasing phosphorylation at the catalytic site [pY418].

Lane 1:

Western blot - Anti-Src (phospho Y419) antibody (ab4816)

Lane 1:

Western blot - Anti-Src (phospho Y529) antibody (<a href='/en-us/products/primary-antibodies/src-phospho-y529-antibody-ab4817'>ab4817</a>)

Predicted band size: 60 kDa

false

Dr. Michael Schaller, Dept. of Cell Bio. & Anat., Univ. of North Carolina, Chapel Hill, NC.

Key facts

Host species

Rabbit

Clonality

Polyclonal

Isotype

IgG

Carrier free

No

Reacts with

Human, Mouse, Chicken

Applications

IHC-P, IHC-FoFr, WB

applications

Immunogen

Synthetic Peptide within Human SRC phospho Y419. The exact immunogen used to generate this antibody is proprietary information.

P12931

Reactivity data

{ "title": "Reactivity Data", "filters": { "stats": ["", "Species", "Dilution Info", "Notes"], "tabs": { "all-applications": {"fullname" : "All Applications", "shortname": "All Applications"}, "WB" : {"fullname" : "Western blot", "shortname":"WB"}, "IHCFoFr" : {"fullname" : "Immunohistochemistry (PFA perfusion fixed frozen sections)", "shortname":"IHC-FoFr"}, "IHCP" : {"fullname" : "Immunohistochemistry (Formalin/PFA-fixed paraffin-embedded sections)", "shortname":"IHC-P"} }, "product-promise": { "all": "all", "testedAndGuaranteed": "tested", "guaranteed": "expected", "predicted": "predicted", "notRecommended": "not-recommended" } }, "values": { "Human": { "WB-species-checked": "guaranteed", "WB-species-dilution-info": "", "WB-species-notes": "", "IHCFoFr-species-checked": "guaranteed", "IHCFoFr-species-dilution-info": "", "IHCFoFr-species-notes": "<p></p>", "IHCP-species-checked": "testedAndGuaranteed", "IHCP-species-dilution-info": "1/10 - 1/100", "IHCP-species-notes": "<p></p>" }, "Mouse": { "WB-species-checked": "predicted", "WB-species-dilution-info": "", "WB-species-notes": "", "IHCFoFr-species-checked": "guaranteed", "IHCFoFr-species-dilution-info": "", "IHCFoFr-species-notes": "<p></p>", "IHCP-species-checked": "predicted", "IHCP-species-dilution-info": "", "IHCP-species-notes": "" }, "Chicken": { "WB-species-checked": "testedAndGuaranteed", "WB-species-dilution-info": "1/1000", "WB-species-notes": "<p></p>", "IHCFoFr-species-checked": "guaranteed", "IHCFoFr-species-dilution-info": "", "IHCFoFr-species-notes": "<p></p>", "IHCP-species-checked": "guaranteed", "IHCP-species-dilution-info": "", "IHCP-species-notes": "" } } }

Have you thought about this alternative?

AB133460

Anti-Src (phospho Y419) antibody [EPR6239(2)]

5
2 Reviews
View product

We’re constantly upgrading our range to offer the highest quality products. We have selected this alternative product for your review because it gives improved performance, is easier and more convenient to use, or is available faster.

Product details

Src (also known as pp60src) is a non-receptor tyrosine kinase involved in signal transduction in many biological systems and implicated in the development of human tumors. Tyrosine 418 is located in the catalytic domain and is one of the autophosphorylation sites. Full catalytic activity of Src requires phosphorylation of tyrosine 418 (tyrosine 414 on frog Src, tyrosine 416 on chicken Src, and tyrosine 424 on mouse Src). This region of Src is also highly conserved in all of the related Src-family kinases, and thus prior immunoprecipitation may be required to identify which Src family member is being activated.

Properties and storage information

Form
Liquid
Purification technique
Affinity purification Immunogen
Purification notes
Purified from rabbit serum by sequential epitope-specific chromatography. The antibody has been negatively pre-adsorbed using (i) a non-phosphopeptide corresponding to the site of phosphorylation to remove antibody that is reactive with non-phosphorylated Src, and (ii) a generic tyrosine phosphorylated peptide to remove antibody that is reactive with phosphotyrosine, irrespective of the sequence. The final product is generated by affinity chromatography using a Src-derived peptide that is phosphorylated at tyrosine 418.
Storage buffer
pH: 7.3 Preservative: 0.05% Sodium azide Constituents: PBS, 50% Glycerol (glycerin, glycerine), 0.1% BSA
Shipped at conditions
Blue Ice
Appropriate short-term storage duration
1-2 weeks
Appropriate short-term storage conditions
+4°C
Appropriate long-term storage conditions
-20°C
Aliquoting information
Upon delivery aliquot
Storage information
Avoid freeze / thaw cycle

Supplementary information

This supplementary information is collated from multiple sources and compiled automatically.

Src also known as c-Src is a protein-tyrosine kinase involved in the regulation of many cellular processes. The molecular weight of Src is approximately 60 kDa. Src is ubiquitously expressed in human tissues but shows increased expression in specific tissues like the brain and epithelial cells. This protein has several important roles in cellular signal transduction particularly influencing cell growth differentiation and survival.
Biological function summary

The Src protein interacts with other proteins to modulate cell adhesion motility and angiogenesis forming part of larger protein complexes. Src phosphorylates specific tyrosine residues on its substrates altering their activity interaction or stability. This activity positions Src as an important factor in managing cell communication and structural organization. Src's interaction with focal adhesion complexes emphasizes its functionality in cellular structural integrity and intracellular communication pathways.

Pathways

Src plays a critical role in the integrin and growth factor receptor signaling pathways mediating cross-talk between cell surface receptors and intricate signaling cascades. It closely associates with focal adhesion kinase (FAK) within these pathways influencing cytoskeletal rearrangements and cell movement. Src's function in the epidermal growth factor receptor (EGFR) signaling pathway likewise demonstrates its importance in regulating cellular proliferation and survival mechanisms.

Src has significant implications in oncogenesis particularly in colorectal and breast cancers. Overexpression or abnormal activity of Src associates with tumor progression and metastasis. Within these cancers Src cooperates with various proteins like the EGFR amplifying aberrant cell signaling that contributes to uncontrolled cell growth. Investigating Src's role and regulation could offer insights into novel therapeutic strategies for controlling Src activity in cancer treatment.

Product protocols

For this product, it's our understanding that no specific protocols are required. You can visit:

Target data

Publications (46)

Recent publications for all applications. Explore the full list and refine your search

JCI insight 6: PubMed34343132

2021

Targeting Gi/o protein-coupled receptor signaling blocks HER2-induced breast cancer development and enhances HER2-targeted therapy.

Applications

Unspecified application

Species

Unspecified reactive species

Cancan Lyu,Yuanchao Ye,Maddison M Lensing,Kay-Uwe Wagner,Ronald J Weigel,Songhai Chen

Frontiers in physiology 12:736999 PubMed34616310

2021

Src and Memory: A Study of Filial Imprinting and Predispositions in the Domestic Chick.

Applications

Unspecified application

Species

Unspecified reactive species

Maia Meparishvili,Lela Chitadze,Vincenzo Lagani,Brian McCabe,Revaz Solomonia

Animal cells and systems 25:195-202 PubMed34262662

2021

Desmoglein 3 contributes to tumorigenicity of pancreatic ductal adenocarcinoma through activating Src-FAK signaling.

Applications

Unspecified application

Species

Unspecified reactive species

Yimamumaimaitijiang Abula,Yating Su,Dilixiati Tuniyazi,Chao Yi

International journal of cancer 149:1166-1180 PubMed33890294

2021

Analyzing tyrosine kinase activity in head and neck cancer by functional kinomics: Identification of hyperactivated Src family kinases as prognostic markers and potential targets.

Applications

Unspecified application

Species

Unspecified reactive species

Lara Bußmann,Konstantin Hoffer,Clara Marie von Bargen,Conrad Droste,Tobias Lange,Julia Kemmling,Jennifer Schröder-Schwarz,Anh Thu Vu,Lara Akingunsade,Peter Nollau,Savithri Rangarajan,Rik de Wijn,Agnes Oetting,Christian Müller,Lukas Clemens Böckelmann,Henrike Barbara Zech,Joanna Caroline Berger,Nikolaus Möckelmann,Chia-Jung Busch,Arne Böttcher,Fruzsina Gatzemeier,Konrad Klinghammer,Donjete Simnica,Mascha Binder,Nina Struve,Thorsten Rieckmann,Udo Schumacher,Till Sebastian Clauditz,Christian Stephan Betz,Cordula Petersen,Kai Rothkamm,Adrian Münscher,Malte Kriegs

Frontiers in cell and developmental biology 8:630147 PubMed33614634

2021

Molecular Basis of LH Action on Breast Cancer Cell Migration and Invasion via Kinase and Scaffold Proteins.

Applications

Unspecified application

Species

Unspecified reactive species

Joselina Magali Mondaca,Ivonne Denise Uzair,Ana Carla Castro Guijarro,Marina Inés Flamini,Angel Matias Sanchez

Angiogenesis 24:567-581 PubMed33550461

2021

Atorvastatin pleiotropically decreases intraplaque angiogenesis and intraplaque haemorrhage by inhibiting ANGPT2 release and VE-Cadherin internalization.

Applications

Unspecified application

Species

Unspecified reactive species

Fabiana Baganha,Rob C M de Jong,Erna A Peters,Wietske Voorham,J Wouter Jukema,Mirela Delibegovic,Margreet R de Vries,Paul H A Quax

Molecular cancer therapeutics 20:477-489 PubMed33277443

2020

A Novel CDK2/9 Inhibitor CYC065 Causes Anaphase Catastrophe and Represses Proliferation, Tumorigenesis, and Metastasis in Aneuploid Cancers.

Applications

Unspecified application

Species

Unspecified reactive species

Masanori Kawakami,Lisa Maria Mustachio,Yulong Chen,Zibo Chen,Xiuxia Liu,Cheng-Hsin Wei,Jason Roszik,Adam S Kittai,Alexey V Danilov,Xiaoshan Zhang,Bingliang Fang,Jing Wang,John V Heymach,Liliya Tyutyunyk-Massey,Sarah J Freemantle,Jonathan M Kurie,Xi Liu,Ethan Dmitrovsky

The Journal of biological chemistry 295:17281-17297 PubMed33037073

2020

Leptin modulates pancreatic β-cell membrane potential through Src kinase-mediated phosphorylation of NMDA receptors.

Applications

Unspecified application

Species

Unspecified reactive species

Veronica A Cochrane,Yi Wu,Zhongying Yang,Assmaa ElSheikh,Jeremy Dunford,Paul Kievit,Dale A Fortin,Show-Ling Shyng

The Journal of biological chemistry 295:16773-16784 PubMed32978252

2020

Allosteric activation of proto-oncogene kinase Src by GPCR-beta-arrestin complexes.

Applications

Unspecified application

Species

Unspecified reactive species

Natalia Pakharukova,Ali Masoudi,Biswaranjan Pani,Dean P Staus,Robert J Lefkowitz

Nature communications 11:4634 PubMed32929078

2020

Chromatin accessibility mapping of the striatum identifies tyrosine kinase FYN as a therapeutic target for heroin use disorder.

Applications

Unspecified application

Species

Unspecified reactive species

Gabor Egervari,Diana Akpoyibo,Tanni Rahman,John F Fullard,James E Callens,Joseph A Landry,Annie Ly,Xianxiao Zhou,Noël Warren,Mads E Hauberg,Gabriel Hoffman,Randy Ellis,Jacqueline-Marie N Ferland,Michael L Miller,Eva Keller,Bin Zhang,Panos Roussos,Yasmin L Hurd
View all publications

Product promise

We are committed to supporting your work with high-quality reagents, and we're here for you every step of the way. In the unlikely event that one of our products does not perform as expected, you're protected by our Product Promise.
For full details, please see our Terms & Conditions

Associated Products

Select an associated product type
Alternative Product
Primary Antibodies

AB185617

Anti-Src (phospho Y419) antibody [EPR17734]

primary-antibodies

src-phospho-y419-antibody-epr17734-ab185617

0

(0 reviews)

Alternative Product
Primary Antibodies

AB32078

Anti-Src (phospho Y529) antibody [Y232]

primary-antibodies

src-phospho-y529-antibody-y232-ab32078

5

(2 reviews)

Alternative Product
Primary Antibodies

AB109381

Anti-Src antibody [EPR5496]

primary-antibodies

src-antibody-epr5496-ab109381

5

(2 reviews)

Alternative Product
Primary Antibodies

AB222220

Anti-Src antibody [EPR5496] - BSA and Azide free

primary-antibodies

src-antibody-epr5496-bsa-and-azide-free-ab222220

0

(0 reviews)

Alternative Product
Primary Antibodies

AB133283

Anti-Src antibody [EGTR103]

primary-antibodies

src-antibody-egtr103-ab133283

0

(0 reviews)

Please note: All products are 'FOR RESEARCH USE ONLY. NOT FOR USE IN DIAGNOSTIC OR THERAPEUTIC PROCEDURES'.

For licensing inquiries, please contact partnerships@abcam.com