JavaScript is disabled in your browser. Please enable JavaScript to view this website.
AB32078

Anti-Src (phospho Y529) antibody [Y232]

5

(2 Reviews)

|

(20 Publications)

Rabbit Recombinant Monoclonal SRC phospho Y529 antibody. Suitable for Dot, WB, ICC/IF and reacts with Synthetic peptide, Human, Mouse, Rat samples. Cited in 20 publications.

View Alternative Names

SRC1, SRC, Proto-oncogene tyrosine-protein kinase Src, Proto-oncogene c-Src, pp60c-src, p60-Src

7 Images
Immunocytochemistry/ Immunofluorescence - Anti-Src (phospho Y529) antibody [Y232] (AB32078)
  • ICC/IF

Unknown

Immunocytochemistry/ Immunofluorescence - Anti-Src (phospho Y529) antibody [Y232] (AB32078)

Immunocytochemistry/Immunofluorescence analysis of HeLa (Human epithelial cell line from cervix adenocarcinoma) cells labelling Src (phospho Y529) with ab32078 at 1/500. Cells were fixed with 4% Paraformaldehyde and permeabilized with 0.1% Triton X-100. ab150077, Alexa Fluor® 488-conjugated goat anti-rabbit IgG (1/1000) was used as the secondary antibody. Cells were counter-stained with ab195889 Anti-Alpha Tubulin antibody [DM1A] (1/200) - Microtubule Marker (Alexa Fluor® 594). DAPI (blue) was used as a nuclear counterstain.

The green staining was increased in the H2O2 (10mM, 1 hour) treated HeLa cells when compared with HeLa cells without treatment. After LP treatment, the green signaling was obviously decreased.

For the pan antibody, there was no great difference after H2O2 (10 mM, 1 hour) or EGF (100 ng/mL, 10 minutes) + LP treatment.

The data showed mostly Cytoplasm and Membran staining for ab32078.

Western blot - Anti-Src (phospho Y529) antibody [Y232] (AB32078)
  • WB

Lab

Western blot - Anti-Src (phospho Y529) antibody [Y232] (AB32078)

WB analysis. Lane 1 : Untreated HeLa (Human epithelial cell line from cervix adenocarcinoma) whole cell lysates 15ug and Lane 2 : HeLa (Human epithelial cell line from cervix adenocarcinoma) treated with H2O2 at 10mM for 1 h. whole cell lysates 15ug and Lane 3 : HeLa (Human epithelial cell line from cervix adenocarcinoma) treated with H2O2 at 10mM for 1 h. whole cell lysates 15ug. Then the membrane was incubated with phosphatase. Primary ab used at 1 : 30,000 dilution. 5% NFDM/TBST was used as Blocking buffer and Diluting buffer. Goat Anti-Rabbit IgG, (H+L), Peroxidase conjugated (ab97051) was used as a Secondary ab at 1 : 20,000 dilution. The Exposure time was 30 seconds.

All lanes:

Western blot - Anti-Src (phospho Y529) antibody [Y232] (ab32078)

Predicted band size: 60 kDa

false

Western blot - Anti-Src (phospho Y529) antibody [Y232] (AB32078)
  • WB

Lab

Western blot - Anti-Src (phospho Y529) antibody [Y232] (AB32078)

Blocking and diluting buffer and concentration : 5% NFDM/TBST.

All lanes:

Western blot - Anti-Src (phospho Y529) antibody [Y232] (ab32078) at 1/1000 dilution

Lane 1:

Rat brain tissue lysate at 20 µg

Lane 2:

Rat kidney tissue lysate at 20 µg

Secondary

All lanes:

Western blot - Goat Anti-Rabbit IgG H&L (HRP) (<a href='/en-us/products/secondary-antibodies/goat-rabbit-igg-h-l-hrp-ab97051'>ab97051</a>) at 1/20000 dilution

Observed band size: 50-60 kDa

false

Exposure time: 180s

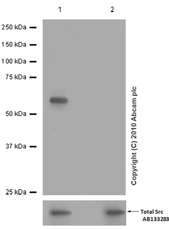
Western blot - Anti-Src (phospho Y529) antibody [Y232] (AB32078)
  • WB

Lab

Western blot - Anti-Src (phospho Y529) antibody [Y232] (AB32078)

Blocking and diluting buffer and concentration : 5% NFDM/TBST.

In Western blot, Anti-Src antibody [EGTR103] - Used as Loading Control (ab133283) staining at 1/1000 dilution.

All lanes:

Western blot - Anti-Src (phospho Y529) antibody [Y232] (ab32078) at 1/1000 dilution

Lane 1:

NIH/3T3 (mouse embryonic fibroblast) whole cell lysate at 20 µg

Lane 2:

NIH/3T3 lysates whole cell lysate (membrane incubated with alkaline phosphatase) at 20 µg

Secondary

All lanes:

Western blot - Goat Anti-Rabbit IgG H&L (HRP) (<a href='/en-us/products/secondary-antibodies/goat-rabbit-igg-h-l-hrp-ab97051'>ab97051</a>) at 1/20000 dilution

Observed band size: 60 kDa

false

Exposure time: 180s

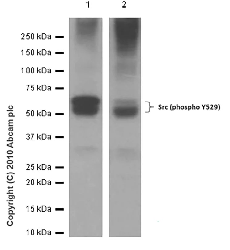
Western blot - Anti-Src (phospho Y529) antibody [Y232] (AB32078)
  • WB

Unknown

Western blot - Anti-Src (phospho Y529) antibody [Y232] (AB32078)

All lanes:

Western blot - Anti-Src (phospho Y529) antibody [Y232] (ab32078) at 1/10000 dilution

Lane 1:

Untreated A431 cells

Lane 2:

EGF treated A431 cells

Lane 3:

EGF and alkaline phosphatase treated A431 cells

Predicted band size: 60 kDa

Observed band size: 55 kDa

false

Dot Blot - Anti-Src (phospho Y529) antibody [Y232] (AB32078)
  • Dot

Unknown

Dot Blot - Anti-Src (phospho Y529) antibody [Y232] (AB32078)

Dot Blot analysis of Lane 1 : Src (pY529) phospho peptide and Lane 2 : Src non-phospho peptide labeling Src (phospho Y529) with ab32078 at 1/1000 dilution. 5% NFDM/TBST was used as the diluting and blocking buffer. ab97051 Goat Anti-Rabbit IgG, (H+L), Peroxidase conjugated was used as the secondary antibody at 1/100000 dilution. Exposure time : 3 minutes.

Dot Blot - Anti-Src (phospho Y529) antibody [Y232] (AB32078)
  • Dot

Unknown

Dot Blot - Anti-Src (phospho Y529) antibody [Y232] (AB32078)

Dot Blot analysis on immunogen phospho peptide (A) and non phospho peptide (B) using 1/2000 ab32078.

  • Carrier free

    Anti-Src (phospho Y529) antibody [Y232] - BSA and Azide free

Key facts

Host species

Rabbit

Clonality

Monoclonal

Clone number

Y232

Isotype

IgG

Carrier free

No

Reacts with

Mouse, Rat, Human

Applications

WB, ICC/IF, Dot

applications

Immunogen

The exact immunogen used to generate this antibody is proprietary information.

Specificity

This antibody will detect Src phosphorylation on Tyrosine 529 of both isoforms. The antibody immunogen shares 93% homology with Fyn and Yes and 85% homology with Fgr. Therefore, it is likely that the antibody will cross-react with these proteins. However, this is just based on BLAST results and no experiments were performed. The sequence numbering is based off the mature form of the protein without the initiator methionine.

Reactivity data

{ "title": "Reactivity Data", "filters": { "stats": ["", "Species", "Dilution Info", "Notes"], "tabs": { "all-applications": {"fullname" : "All Applications", "shortname": "All Applications"}, "IHC" : {"fullname" : "Immunohistochemistry", "shortname":"IHC"}, "FlowCyt" : {"fullname" : "Flow Cytometry", "shortname":"Flow Cyt"}, "Dot" : {"fullname" : "Dot Blot", "shortname":"Dot"}, "WB" : {"fullname" : "Western blot", "shortname":"WB"}, "ICCIF" : {"fullname" : "Immunocytochemistry/ Immunofluorescence", "shortname":"ICC/IF"} }, "product-promise": { "all": "all", "testedAndGuaranteed": "tested", "guaranteed": "expected", "predicted": "predicted", "notRecommended": "not-recommended" } }, "values": { "Human": { "IHC-species-checked": "notRecommended", "IHC-species-dilution-info": "", "IHC-species-notes": "<p></p>", "FlowCyt-species-checked": "notRecommended", "FlowCyt-species-dilution-info": "", "FlowCyt-species-notes": "<p></p>", "Dot-species-checked": "guaranteed", "Dot-species-dilution-info": "", "Dot-species-notes": "", "WB-species-checked": "testedAndGuaranteed", "WB-species-dilution-info": "1/5000 - 1/10000", "WB-species-notes": "<p></p>", "ICCIF-species-checked": "testedAndGuaranteed", "ICCIF-species-dilution-info": "1/50 - 1/500", "ICCIF-species-notes": "<p></p>" }, "Mouse": { "IHC-species-checked": "notRecommended", "IHC-species-dilution-info": "", "IHC-species-notes": "", "FlowCyt-species-checked": "notRecommended", "FlowCyt-species-dilution-info": "", "FlowCyt-species-notes": "", "Dot-species-checked": "guaranteed", "Dot-species-dilution-info": "", "Dot-species-notes": "", "WB-species-checked": "testedAndGuaranteed", "WB-species-dilution-info": "1/1000", "WB-species-notes": "<p></p>", "ICCIF-species-checked": "guaranteed", "ICCIF-species-dilution-info": "", "ICCIF-species-notes": "" }, "Rat": { "IHC-species-checked": "notRecommended", "IHC-species-dilution-info": "", "IHC-species-notes": "", "FlowCyt-species-checked": "notRecommended", "FlowCyt-species-dilution-info": "", "FlowCyt-species-notes": "", "Dot-species-checked": "guaranteed", "Dot-species-dilution-info": "", "Dot-species-notes": "", "WB-species-checked": "testedAndGuaranteed", "WB-species-dilution-info": "1/1000", "WB-species-notes": "<p></p>", "ICCIF-species-checked": "guaranteed", "ICCIF-species-dilution-info": "", "ICCIF-species-notes": "" }, "Synthetic peptide": { "IHC-species-checked": "notRecommended", "IHC-species-dilution-info": "", "IHC-species-notes": "", "FlowCyt-species-checked": "notRecommended", "FlowCyt-species-dilution-info": "", "FlowCyt-species-notes": "", "Dot-species-checked": "testedAndGuaranteed", "Dot-species-dilution-info": "1/2000", "Dot-species-notes": "<p></p>", "WB-species-checked": "notRecommended", "WB-species-dilution-info": "", "WB-species-notes": "", "ICCIF-species-checked": "notRecommended", "ICCIF-species-dilution-info": "", "ICCIF-species-notes": "" } } }

Product details

Patented technology
Our RabMAb® technology is a patented hybridoma-based technology for making rabbit monoclonal antibodies. For details on our patents, please refer to RabMAb® patents.

What are the advantages of a recombinant monoclonal antibody?
This product is a recombinant monoclonal antibody, which offers several advantages including:

  • - High batch-to-batch consistency and reproducibility
  • - Improved sensitivity and specificity
  • - Long-term security of supply
  • - Animal-free batch production

For more information, read more on recombinant antibodies.

Properties and storage information

Form
Liquid
Purification technique
Affinity purification Protein A
Storage buffer
pH: 7.2 - 7.4 Preservative: 0.01% Sodium azide Constituents: PBS, 50% Glycerol (glycerin, glycerine), 0.05% BSA
Shipped at conditions
Blue Ice
Appropriate short-term storage conditions
+4°C
Appropriate long-term storage conditions
-20°C
Aliquoting information
Upon delivery aliquot
Storage information
Avoid freeze / thaw cycle

Supplementary information

This supplementary information is collated from multiple sources and compiled automatically.

Src also known as c-Src is a protein-tyrosine kinase involved in the regulation of many cellular processes. The molecular weight of Src is approximately 60 kDa. Src is ubiquitously expressed in human tissues but shows increased expression in specific tissues like the brain and epithelial cells. This protein has several important roles in cellular signal transduction particularly influencing cell growth differentiation and survival.
Biological function summary

The Src protein interacts with other proteins to modulate cell adhesion motility and angiogenesis forming part of larger protein complexes. Src phosphorylates specific tyrosine residues on its substrates altering their activity interaction or stability. This activity positions Src as an important factor in managing cell communication and structural organization. Src's interaction with focal adhesion complexes emphasizes its functionality in cellular structural integrity and intracellular communication pathways.

Pathways

Src plays a critical role in the integrin and growth factor receptor signaling pathways mediating cross-talk between cell surface receptors and intricate signaling cascades. It closely associates with focal adhesion kinase (FAK) within these pathways influencing cytoskeletal rearrangements and cell movement. Src's function in the epidermal growth factor receptor (EGFR) signaling pathway likewise demonstrates its importance in regulating cellular proliferation and survival mechanisms.

Src has significant implications in oncogenesis particularly in colorectal and breast cancers. Overexpression or abnormal activity of Src associates with tumor progression and metastasis. Within these cancers Src cooperates with various proteins like the EGFR amplifying aberrant cell signaling that contributes to uncontrolled cell growth. Investigating Src's role and regulation could offer insights into novel therapeutic strategies for controlling Src activity in cancer treatment.

Product protocols

For this product, it's our understanding that no specific protocols are required. You can visit:

Target data

Non-receptor protein tyrosine kinase which is activated following engagement of many different classes of cellular receptors including immune response receptors, integrins and other adhesion receptors, receptor protein tyrosine kinases, G protein-coupled receptors as well as cytokine receptors (PubMed : 34234773). Participates in signaling pathways that control a diverse spectrum of biological activities including gene transcription, immune response, cell adhesion, cell cycle progression, apoptosis, migration, and transformation. Due to functional redundancy between members of the SRC kinase family, identification of the specific role of each SRC kinase is very difficult. SRC appears to be one of the primary kinases activated following engagement of receptors and plays a role in the activation of other protein tyrosine kinase (PTK) families. Receptor clustering or dimerization leads to recruitment of SRC to the receptor complexes where it phosphorylates the tyrosine residues within the receptor cytoplasmic domains. Plays an important role in the regulation of cytoskeletal organization through phosphorylation of specific substrates such as AFAP1. Phosphorylation of AFAP1 allows the SRC SH2 domain to bind AFAP1 and to localize to actin filaments. Cytoskeletal reorganization is also controlled through the phosphorylation of cortactin (CTTN) (Probable). When cells adhere via focal adhesions to the extracellular matrix, signals are transmitted by integrins into the cell resulting in tyrosine phosphorylation of a number of focal adhesion proteins, including PTK2/FAK1 and paxillin (PXN) (PubMed : 21411625). In addition to phosphorylating focal adhesion proteins, SRC is also active at the sites of cell-cell contact adherens junctions and phosphorylates substrates such as beta-catenin (CTNNB1), delta-catenin (CTNND1), and plakoglobin (JUP). Another type of cell-cell junction, the gap junction, is also a target for SRC, which phosphorylates connexin-43 (GJA1). SRC is implicated in regulation of pre-mRNA-processing and phosphorylates RNA-binding proteins such as KHDRBS1 (Probable). Phosphorylates PKP3 at 'Tyr-195' in response to reactive oxygen species, which may cause the release of PKP3 from desmosome cell junctions into the cytoplasm (PubMed : 25501895). Also plays a role in PDGF-mediated tyrosine phosphorylation of both STAT1 and STAT3, leading to increased DNA binding activity of these transcription factors (By similarity). Involved in the RAS pathway through phosphorylation of RASA1 and RASGRF1 (PubMed : 11389730). Plays a role in EGF-mediated calcium-activated chloride channel activation (PubMed : 18586953). Required for epidermal growth factor receptor (EGFR) internalization through phosphorylation of clathrin heavy chain (CLTC and CLTCL1) at 'Tyr-1477'. Involved in beta-arrestin (ARRB1 and ARRB2) desensitization through phosphorylation and activation of GRK2, leading to beta-arrestin phosphorylation and internalization. Has a critical role in the stimulation of the CDK20/MAPK3 mitogen-activated protein kinase cascade by epidermal growth factor (Probable). Might be involved not only in mediating the transduction of mitogenic signals at the level of the plasma membrane but also in controlling progression through the cell cycle via interaction with regulatory proteins in the nucleus (PubMed : 7853507). Plays an important role in osteoclastic bone resorption in conjunction with PTK2B/PYK2. Both the formation of a SRC-PTK2B/PYK2 complex and SRC kinase activity are necessary for this function. Recruited to activated integrins by PTK2B/PYK2, thereby phosphorylating CBL, which in turn induces the activation and recruitment of phosphatidylinositol 3-kinase to the cell membrane in a signaling pathway that is critical for osteoclast function (PubMed : 14585963, PubMed : 8755529). Promotes energy production in osteoclasts by activating mitochondrial cytochrome C oxidase (PubMed : 12615910). Phosphorylates DDR2 on tyrosine residues, thereby promoting its subsequent autophosphorylation (PubMed : 16186108). Phosphorylates RUNX3 and COX2 on tyrosine residues, TNK2 on 'Tyr-284' and CBL on 'Tyr-731' (PubMed : 20100835, PubMed : 21309750). Enhances RIGI-elicited antiviral signaling (PubMed : 19419966). Phosphorylates PDPK1 at 'Tyr-9', 'Tyr-373' and 'Tyr-376' (PubMed : 14585963). Phosphorylates BCAR1 at 'Tyr-128' (PubMed : 22710723). Phosphorylates CBLC at multiple tyrosine residues, phosphorylation at 'Tyr-341' activates CBLC E3 activity (PubMed : 20525694). Phosphorylates synaptic vesicle protein synaptophysin (SYP) (By similarity). Involved in anchorage-independent cell growth (PubMed : 19307596). Required for podosome formation (By similarity). Mediates IL6 signaling by activating YAP1-NOTCH pathway to induce inflammation-induced epithelial regeneration (PubMed : 25731159). Phosphorylates OTUB1, promoting deubiquitination of RPTOR (PubMed : 35927303). Phosphorylates caspase CASP8 at 'Tyr-380' which negatively regulates CASP8 processing and activation, down-regulating CASP8 proapoptotic function (PubMed : 16619028).. Isoform 1. Non-receptor protein tyrosine kinase which phosphorylates synaptophysin with high affinity.. Isoform 2. Non-receptor protein tyrosine kinase which shows higher basal kinase activity than isoform 1, possibly due to weakened intramolecular interactions which enhance autophosphorylation of Tyr-419 and subsequent activation (By similarity). The SH3 domain shows reduced affinity with the linker sequence between the SH2 and kinase domains which may account for the increased basal activity (By similarity). Displays altered substrate specificity compared to isoform 1, showing weak affinity for synaptophysin and for peptide substrates containing class I or class II SH3 domain-binding motifs (By similarity). Plays a role in L1CAM-mediated neurite elongation, possibly by acting downstream of L1CAM to drive cytoskeletal rearrangements involved in neurite outgrowth (By similarity).. Isoform 3. Non-receptor protein tyrosine kinase which shows higher basal kinase activity than isoform 1, possibly due to weakened intramolecular interactions which enhance autophosphorylation of Tyr-419 and subsequent activation (By similarity). The SH3 domain shows reduced affinity with the linker sequence between the SH2 and kinase domains which may account for the increased basal activity (By similarity). Displays altered substrate specificity compared to isoform 1, showing weak affinity for synaptophysin and for peptide substrates containing class I or class II SH3 domain-binding motifs (By similarity). Plays a role in neurite elongation (By similarity).
See full target information SRC phospho Y529

Publications (20)

Recent publications for all applications. Explore the full list and refine your search

EMBO reports 25:4777-4802 PubMed39322740

2024

Kinesin-1 mediates proper ER folding of the Ca1.2 channel and maintains mouse glucose homeostasis.

Applications

Unspecified application

Species

Unspecified reactive species

Yosuke Tanaka,Atena Farkhondeh,Wenxing Yang,Hitoshi Ueno,Mitsuhiko Noda,Nobutaka Hirokawa

Science advances 10:eadi7404 PubMed38416831

2024

Structural analysis of PTPN21 reveals a dominant-negative effect of the FERM domain on its phosphatase activity.

Applications

Unspecified application

Species

Unspecified reactive species

Lu Chen,Zijun Qian,Yuyuan Zheng,Jie Zhang,Jie Sun,Chun Zhou,Haowen Xiao

Heliyon 10:e23690 PubMed38187316

2024

The E156K mutation in the gene affects the epithelial-mesenchymal transition and migration of human lens epithelial cells.

Applications

Unspecified application

Species

Unspecified reactive species

Zhennan Zhao,Jiahui Chen,Yongxiang Jiang,Yi Lu

Advanced science (Weinheim, Baden-Wurttemberg, Germany) 10:e2300115 PubMed37156751

2023

The c-Src/LIST Positive Feedback Loop Sustains Tumor Progression and Chemoresistance.

Applications

Unspecified application

Species

Unspecified reactive species

Xianteng Wang,Bing Wang,Fang Li,Xingkai Li,Ting Guo,Yushun Gao,Dawei Wang,Weiren Huang

Developmental cell 57:2273-2289.e11 PubMed36220081

2022

KIF3B promotes a PI3K signaling gradient causing changes in a Shh protein gradient and suppressing polydactyly in mice.

Applications

Unspecified application

Species

Unspecified reactive species

Shuo Wang,Yosuke Tanaka,Ying Xu,Sen Takeda,Nobutaka Hirokawa

Frontiers in pharmacology 12:759027 PubMed35095486

2022

QiShenYiQi Inhibits Tissue Plasminogen Activator-Induced Brain Edema and Hemorrhage after Ischemic Stroke in Mice.

Applications

Unspecified application

Species

Unspecified reactive species

Yang Ye,Quan Li,Chun-Shui Pan,Li Yan,Kai Sun,Xiao-Yi Wang,Shu-Qi Yao,Jing-Yu Fan,Jing-Yan Han

Experimental and therapeutic medicine 22:1095 PubMed34504549

2021

β-elemene inhibits non-small cell lung cancer cell migration and invasion by inactivating the FAK-Src pathway.

Applications

Unspecified application

Species

Unspecified reactive species

Hongbo Zhang,Shaobing Li,Jun Bao,Ning Ge,Fu Hong,Liting Qian

Neuro-oncology 24:39-51 PubMed34232320

2021

A novel patient stratification strategy to enhance the therapeutic efficacy of dasatinib in glioblastoma.

Applications

Unspecified application

Species

Unspecified reactive species

Obada T Alhalabi,Michael N C Fletcher,Thomas Hielscher,Tobias Kessler,Tolga Lokumcu,Ulrich Baumgartner,Elena Wittmann,Silja Schlue,Mona Göttmann,Shaman Rahman,Ling Hai,Lea Hansen-Palmus,Laura Puccio,Ichiro Nakano,Christel Herold-Mende,Bryan W Day,Wolfgang Wick,Felix Sahm,Emma Phillips,Violaine Goidts

Experimental and therapeutic medicine 21:638 PubMed33968169

2021

Gallic acid suppresses colon cancer proliferation by inhibiting SRC and EGFR phosphorylation.

Applications

Unspecified application

Species

Unspecified reactive species

Xiaoming Lin,Guangfei Wang,Ping Liu,Lei Han,Tong Wang,Kaili Chen,Yonglin Gao

Cell death & disease 11:972 PubMed33184263

2020

Exosome-derived ENO1 regulates integrin α6β4 expression and promotes hepatocellular carcinoma growth and metastasis.

Applications

Unspecified application

Species

Unspecified reactive species

Keqiu Jiang,Chengyong Dong,Zeli Yin,Rui Li,Jiakai Mao,Chengye Wang,Junlin Zhang,Zhenming Gao,Rui Liang,Qi Wang,Liming Wang
View all publications

Product promise

We are committed to supporting your work with high-quality reagents, and we're here for you every step of the way. In the unlikely event that one of our products does not perform as expected, you're protected by our Product Promise.
For full details, please see our Terms & Conditions

Please note: All products are 'FOR RESEARCH USE ONLY. NOT FOR USE IN DIAGNOSTIC OR THERAPEUTIC PROCEDURES'.

For licensing inquiries, please contact partnerships@abcam.com