JavaScript is disabled in your browser. Please enable JavaScript to view this website.
AB239801

Anti-Src (phospho Y529) antibody [Y232] - BSA and Azide free

Be the first to review this product! Submit a review

|

(1 Publication)

Rabbit Recombinant Monoclonal SRC phospho Y529 antibody. Carrier free. Suitable for Dot, WB, ICC/IF and reacts with Synthetic peptide, Human, Mouse, Rat samples. Cited in 1 publication.

View Alternative Names

SRC1, SRC, Proto-oncogene tyrosine-protein kinase Src, Proto-oncogene c-Src, pp60c-src, p60-Src

7 Images
Immunocytochemistry/ Immunofluorescence - Anti-Src (phospho Y529) antibody [Y232] - BSA and Azide free (AB239801)
  • ICC/IF

Unknown

Immunocytochemistry/ Immunofluorescence - Anti-Src (phospho Y529) antibody [Y232] - BSA and Azide free (AB239801)

Immunocytochemistry/Immunofluorescence analysis of HeLa (Human epithelial cell line from cervix adenocarcinoma) cells labelling Src (phospho Y529) with ab32078 at 1/500. Cells were fixed with 4% Paraformaldehyde and permeabilized with 0.1% Triton X-100. ab150077, Alexa Fluor® 488-conjugated goat anti-rabbit IgG (1/1000) was used as the secondary antibody. Cells were counter-stained with ab195889 Anti-Alpha Tubulin antibody [DM1A] (1/200) - Microtubule Marker (Alexa Fluor® 594). DAPI (blue) was used as a nuclear counterstain.

The green staining was increased in the H2O2 (10mM, 1 hour) treated HeLa cells when compared with HeLa cells without treatment. After LP treatment, the green signaling was obviously decreased.

For the pan antibody, there was no great difference after H2O2 (10 mM, 1 hour) or EGF (100 ng/mL, 10 minutes) + LP treatment.

The data showed mostly Cytoplasm and Membran staining for ab32078.

This data was developed using the same antibody clone in a different buffer formulation containing PBS, BSA, glycerol, and sodium azide (ab32078).

Western blot - Anti-Src (phospho Y529) antibody [Y232] - BSA and Azide free (AB239801)
  • WB

Lab

Western blot - Anti-Src (phospho Y529) antibody [Y232] - BSA and Azide free (AB239801)

This data was developed using the same antibody clone in a different buffer formulation containing PBS, BSA, glycerol, and sodium azide (ab32078).

WB analysis. Lane 1 : Untreated HeLa (Human epithelial cell line from cervix adenocarcinoma) whole cell lysates 15ug and Lane 2 : HeLa (Human epithelial cell line from cervix adenocarcinoma) treated with H2O2 at 10mM for 1 h. whole cell lysates 15ug and Lane 3 : HeLa (Human epithelial cell line from cervix adenocarcinoma) treated with H2O2 at 10mM for 1 h. whole cell lysates 15ug. Then the membrane was incubated with phosphatase. Primary ab used at 1 : 30,000 dilution. 5% NFDM/TBST was used as Blocking buffer and Diluting buffer. Goat Anti-Rabbit IgG, (H+L), Peroxidase conjugated (ab97051) was used as a Secondary ab at 1 : 20,000 dilution. The exposure time was 30 seconds.

All lanes:

Western blot - Anti-Src (phospho Y529) antibody [Y232] (<a href='/en-us/products/primary-antibodies/src-phospho-y529-antibody-y232-ab32078'>ab32078</a>)

Predicted band size: 60 kDa

false

Western blot - Anti-Src (phospho Y529) antibody [Y232] - BSA and Azide free (AB239801)
  • WB

Lab

Western blot - Anti-Src (phospho Y529) antibody [Y232] - BSA and Azide free (AB239801)

This data was developed using ab32078, the same antibody clone in a different buffer formulation.

Blocking and diluting buffer and concentration : 5% NFDM/TBST.

All lanes:

Western blot - Anti-Src (phospho Y529) antibody [Y232] (<a href='/en-us/products/primary-antibodies/src-phospho-y529-antibody-y232-ab32078'>ab32078</a>) at 1/1000 dilution

Lane 1:

Rat brain tissue lysate at 20 µg

Lane 2:

Rat kidney tissue lysate at 20 µg

Secondary

All lanes:

Western blot - Goat Anti-Rabbit IgG H&L (HRP) (<a href='/en-us/products/secondary-antibodies/goat-rabbit-igg-h-l-hrp-ab97051'>ab97051</a>) at 1/20000 dilution

Observed band size: 50-60 kDa

false

Exposure time: 180s

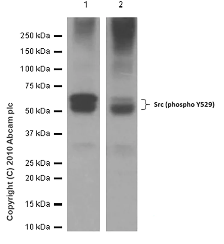
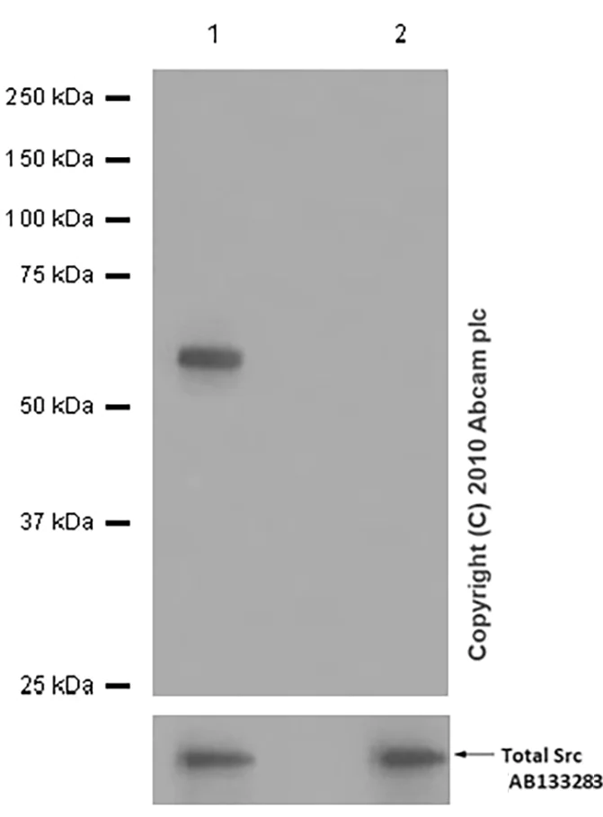
Western blot - Anti-Src (phospho Y529) antibody [Y232] - BSA and Azide free (AB239801)
  • WB

Lab

Western blot - Anti-Src (phospho Y529) antibody [Y232] - BSA and Azide free (AB239801)

This data was developed using ab32078, the same antibody clone in a different buffer formulation.

Blocking and diluting buffer and concentration : 5% NFDM/TBST.

In Western blot, Anti-Src antibody [EGTR103] - Used as Loading Control (ab133283) staining at 1/1000 dilution.

All lanes:

Western blot - Anti-Src (phospho Y529) antibody [Y232] (<a href='/en-us/products/primary-antibodies/src-phospho-y529-antibody-y232-ab32078'>ab32078</a>) at 1/1000 dilution

Lane 1:

NIH/3T3 (mouse embryonic fibroblast) whole cell lysate at 20 µg

Lane 2:

NIH/3T3 lysates whole cell lysate (membrane incubated with alkaline phosphatase) at 20 µg

Secondary

All lanes:

Western blot - Goat Anti-Rabbit IgG H&L (HRP) (<a href='/en-us/products/secondary-antibodies/goat-rabbit-igg-h-l-hrp-ab97051'>ab97051</a>) at 1/20000 dilution

Observed band size: 60 kDa

false

Exposure time: 180s

Western blot - Anti-Src (phospho Y529) antibody [Y232] - BSA and Azide free (AB239801)
  • WB

Supplier Data

Western blot - Anti-Src (phospho Y529) antibody [Y232] - BSA and Azide free (AB239801)

This data was developed using the same antibody clone in a different buffer formulation containing PBS, BSA, glycerol, and sodium azide (ab32078).

All lanes:

Western blot - Anti-Src (phospho Y529) antibody [Y232] (<a href='/en-us/products/primary-antibodies/src-phospho-y529-antibody-y232-ab32078'>ab32078</a>) at 1/10000 dilution

Lane 1:

Untreated A431 cells

Lane 2:

EGF treated A431 cells

Lane 3:

EGF and alkaline phosphatase treated A431 cells

Predicted band size: 60 kDa

Observed band size: 60 kDa

false

Dot Blot - Anti-Src (phospho Y529) antibody [Y232] - BSA and Azide free (AB239801)
  • Dot

Unknown

Dot Blot - Anti-Src (phospho Y529) antibody [Y232] - BSA and Azide free (AB239801)

Dot Blot analysis of Lane 1 : Src (pY529) phospho peptide and Lane 2 : Src non-phospho peptide labeling Src (phospho Y529) with ab32078 at 1/1000 dilution. 5% NFDM/TBST was used as the diluting and blocking buffer. ab97051 Goat Anti-Rabbit IgG, (H+L), Peroxidase conjugated was used as the secondary antibody at 1/100000 dilution. Exposure time : 3 minutes.

This data was developed using the same antibody clone in a different buffer formulation containing PBS, BSA, glycerol, and sodium azide (ab32078).

Dot Blot - Anti-Src (phospho Y529) antibody [Y232] - BSA and Azide free (AB239801)
  • Dot

Unknown

Dot Blot - Anti-Src (phospho Y529) antibody [Y232] - BSA and Azide free (AB239801)

Dot Blot analysis on immunogen phospho peptide (A) and non phospho peptide (B) using 1/2000 ab32078.This data was developed using the same antibody clone in a different buffer formulation containing PBS, BSA, glycerol, and sodium azide (ab32078).

Key facts

Host species

Rabbit

Clonality

Monoclonal

Clone number

Y232

Isotype

IgG

Carrier free

Yes

Reacts with

Mouse, Rat, Human

Applications

WB, ICC/IF, Dot

applications

Immunogen

The exact immunogen used to generate this antibody is proprietary information.

Specificity

This antibody will detect Src phosphorylation on Tyrosine 529 of both isoforms. The antibody immunogen shares 93% homology with Fyn and Yes and 85% homology with Fgr. Therefore, it is likely that the antibody will cross-react with these proteins. However, this is just based on BLAST results and no experiments were performed. The sequence numbering is based off the mature form of the protein without the initiator methionine.

Reactivity data

{ "title": "Reactivity Data", "filters": { "stats": ["", "Species", "Dilution Info", "Notes"], "tabs": { "all-applications": {"fullname" : "All Applications", "shortname": "All Applications"}, "IHC" : {"fullname" : "Immunohistochemistry", "shortname":"IHC"}, "FlowCyt" : {"fullname" : "Flow Cytometry", "shortname":"Flow Cyt"}, "Dot" : {"fullname" : "Dot Blot", "shortname":"Dot"}, "WB" : {"fullname" : "Western blot", "shortname":"WB"}, "ICCIF" : {"fullname" : "Immunocytochemistry/ Immunofluorescence", "shortname":"ICC/IF"} }, "product-promise": { "all": "all", "testedAndGuaranteed": "tested", "guaranteed": "expected", "predicted": "predicted", "notRecommended": "not-recommended" } }, "values": { "Human": { "IHC-species-checked": "notRecommended", "IHC-species-dilution-info": "", "IHC-species-notes": "<p></p>", "FlowCyt-species-checked": "notRecommended", "FlowCyt-species-dilution-info": "", "FlowCyt-species-notes": "<p></p>", "Dot-species-checked": "guaranteed", "Dot-species-dilution-info": "", "Dot-species-notes": "", "WB-species-checked": "testedAndGuaranteed", "WB-species-dilution-info": "", "WB-species-notes": "<p></p>", "ICCIF-species-checked": "testedAndGuaranteed", "ICCIF-species-dilution-info": "", "ICCIF-species-notes": "<p></p>" }, "Mouse": { "IHC-species-checked": "notRecommended", "IHC-species-dilution-info": "", "IHC-species-notes": "", "FlowCyt-species-checked": "notRecommended", "FlowCyt-species-dilution-info": "", "FlowCyt-species-notes": "", "Dot-species-checked": "guaranteed", "Dot-species-dilution-info": "", "Dot-species-notes": "", "WB-species-checked": "testedAndGuaranteed", "WB-species-dilution-info": "", "WB-species-notes": "<p></p>", "ICCIF-species-checked": "guaranteed", "ICCIF-species-dilution-info": "", "ICCIF-species-notes": "" }, "Rat": { "IHC-species-checked": "notRecommended", "IHC-species-dilution-info": "", "IHC-species-notes": "", "FlowCyt-species-checked": "notRecommended", "FlowCyt-species-dilution-info": "", "FlowCyt-species-notes": "", "Dot-species-checked": "guaranteed", "Dot-species-dilution-info": "", "Dot-species-notes": "", "WB-species-checked": "testedAndGuaranteed", "WB-species-dilution-info": "", "WB-species-notes": "<p></p>", "ICCIF-species-checked": "guaranteed", "ICCIF-species-dilution-info": "", "ICCIF-species-notes": "" }, "Synthetic peptide": { "IHC-species-checked": "notRecommended", "IHC-species-dilution-info": "", "IHC-species-notes": "", "FlowCyt-species-checked": "notRecommended", "FlowCyt-species-dilution-info": "", "FlowCyt-species-notes": "", "Dot-species-checked": "testedAndGuaranteed", "Dot-species-dilution-info": "", "Dot-species-notes": "<p></p>", "WB-species-checked": "notRecommended", "WB-species-dilution-info": "", "WB-species-notes": "", "ICCIF-species-checked": "notRecommended", "ICCIF-species-dilution-info": "", "ICCIF-species-notes": "" } } }

Product details

ab239801 is the carrier-free version of ab32078.

Patented technology
Our RabMAb® technology is a patented hybridoma-based technology for making rabbit monoclonal antibodies. For details on our patents, please refer to RabMAb® patents.

What are the advantages of a recombinant monoclonal antibody?
This product is a recombinant monoclonal antibody, which offers several advantages including:

  • - High batch-to-batch consistency and reproducibility
  • - Improved sensitivity and specificity
  • - Long-term security of supply
  • - Animal-free batch production

For more information, read more on recombinant antibodies.

Conjugation ready
Our carrier-free antibodies are typically supplied in a PBS-only formulation, purified and free of BSA, sodium azide and glycerol. This conjugation-ready format is designed for use with fluorochromes, metal isotopes, oligonucleotides, and enzymes, which makes them ideal for antibody labelling, functional and cell-based assays, flow-based assays (e.g. mass cytometry) and Multiplex Imaging applications.

Use our conjugation kits for antibody conjugates that are ready-to-use in as little as 20 minutes with 1 minute hands-on-time and 100% antibody recovery: available for fluorescent dyes, HRP, biotin and gold.

Compatibility
This product is compatible with the Maxpar® Antibody Labeling Kit from Fluidigm, without the need for antibody preparation. Maxpar® is a trademark of Fluidigm Canada Inc.

Properties and storage information

Form
Liquid
Purification technique
Affinity purification Protein A
Storage buffer
pH: 7.2 - 7.4 Constituents: PBS
Shipped at conditions
Blue Ice
Appropriate short-term storage conditions
+4°C
Appropriate long-term storage conditions
+4°C
Storage information
Do Not Freeze

Supplementary information

This supplementary information is collated from multiple sources and compiled automatically.

Src also known as c-Src is a protein-tyrosine kinase involved in the regulation of many cellular processes. The molecular weight of Src is approximately 60 kDa. Src is ubiquitously expressed in human tissues but shows increased expression in specific tissues like the brain and epithelial cells. This protein has several important roles in cellular signal transduction particularly influencing cell growth differentiation and survival.
Biological function summary

The Src protein interacts with other proteins to modulate cell adhesion motility and angiogenesis forming part of larger protein complexes. Src phosphorylates specific tyrosine residues on its substrates altering their activity interaction or stability. This activity positions Src as an important factor in managing cell communication and structural organization. Src's interaction with focal adhesion complexes emphasizes its functionality in cellular structural integrity and intracellular communication pathways.

Pathways

Src plays a critical role in the integrin and growth factor receptor signaling pathways mediating cross-talk between cell surface receptors and intricate signaling cascades. It closely associates with focal adhesion kinase (FAK) within these pathways influencing cytoskeletal rearrangements and cell movement. Src's function in the epidermal growth factor receptor (EGFR) signaling pathway likewise demonstrates its importance in regulating cellular proliferation and survival mechanisms.

Src has significant implications in oncogenesis particularly in colorectal and breast cancers. Overexpression or abnormal activity of Src associates with tumor progression and metastasis. Within these cancers Src cooperates with various proteins like the EGFR amplifying aberrant cell signaling that contributes to uncontrolled cell growth. Investigating Src's role and regulation could offer insights into novel therapeutic strategies for controlling Src activity in cancer treatment.

Product protocols

For this product, it's our understanding that no specific protocols are required. You can visit:

Target data

Non-receptor protein tyrosine kinase which is activated following engagement of many different classes of cellular receptors including immune response receptors, integrins and other adhesion receptors, receptor protein tyrosine kinases, G protein-coupled receptors as well as cytokine receptors (PubMed : 34234773). Participates in signaling pathways that control a diverse spectrum of biological activities including gene transcription, immune response, cell adhesion, cell cycle progression, apoptosis, migration, and transformation. Due to functional redundancy between members of the SRC kinase family, identification of the specific role of each SRC kinase is very difficult. SRC appears to be one of the primary kinases activated following engagement of receptors and plays a role in the activation of other protein tyrosine kinase (PTK) families. Receptor clustering or dimerization leads to recruitment of SRC to the receptor complexes where it phosphorylates the tyrosine residues within the receptor cytoplasmic domains. Plays an important role in the regulation of cytoskeletal organization through phosphorylation of specific substrates such as AFAP1. Phosphorylation of AFAP1 allows the SRC SH2 domain to bind AFAP1 and to localize to actin filaments. Cytoskeletal reorganization is also controlled through the phosphorylation of cortactin (CTTN) (Probable). When cells adhere via focal adhesions to the extracellular matrix, signals are transmitted by integrins into the cell resulting in tyrosine phosphorylation of a number of focal adhesion proteins, including PTK2/FAK1 and paxillin (PXN) (PubMed : 21411625). In addition to phosphorylating focal adhesion proteins, SRC is also active at the sites of cell-cell contact adherens junctions and phosphorylates substrates such as beta-catenin (CTNNB1), delta-catenin (CTNND1), and plakoglobin (JUP). Another type of cell-cell junction, the gap junction, is also a target for SRC, which phosphorylates connexin-43 (GJA1). SRC is implicated in regulation of pre-mRNA-processing and phosphorylates RNA-binding proteins such as KHDRBS1 (Probable). Phosphorylates PKP3 at 'Tyr-195' in response to reactive oxygen species, which may cause the release of PKP3 from desmosome cell junctions into the cytoplasm (PubMed : 25501895). Also plays a role in PDGF-mediated tyrosine phosphorylation of both STAT1 and STAT3, leading to increased DNA binding activity of these transcription factors (By similarity). Involved in the RAS pathway through phosphorylation of RASA1 and RASGRF1 (PubMed : 11389730). Plays a role in EGF-mediated calcium-activated chloride channel activation (PubMed : 18586953). Required for epidermal growth factor receptor (EGFR) internalization through phosphorylation of clathrin heavy chain (CLTC and CLTCL1) at 'Tyr-1477'. Involved in beta-arrestin (ARRB1 and ARRB2) desensitization through phosphorylation and activation of GRK2, leading to beta-arrestin phosphorylation and internalization. Has a critical role in the stimulation of the CDK20/MAPK3 mitogen-activated protein kinase cascade by epidermal growth factor (Probable). Might be involved not only in mediating the transduction of mitogenic signals at the level of the plasma membrane but also in controlling progression through the cell cycle via interaction with regulatory proteins in the nucleus (PubMed : 7853507). Plays an important role in osteoclastic bone resorption in conjunction with PTK2B/PYK2. Both the formation of a SRC-PTK2B/PYK2 complex and SRC kinase activity are necessary for this function. Recruited to activated integrins by PTK2B/PYK2, thereby phosphorylating CBL, which in turn induces the activation and recruitment of phosphatidylinositol 3-kinase to the cell membrane in a signaling pathway that is critical for osteoclast function (PubMed : 14585963, PubMed : 8755529). Promotes energy production in osteoclasts by activating mitochondrial cytochrome C oxidase (PubMed : 12615910). Phosphorylates DDR2 on tyrosine residues, thereby promoting its subsequent autophosphorylation (PubMed : 16186108). Phosphorylates RUNX3 and COX2 on tyrosine residues, TNK2 on 'Tyr-284' and CBL on 'Tyr-731' (PubMed : 20100835, PubMed : 21309750). Enhances RIGI-elicited antiviral signaling (PubMed : 19419966). Phosphorylates PDPK1 at 'Tyr-9', 'Tyr-373' and 'Tyr-376' (PubMed : 14585963). Phosphorylates BCAR1 at 'Tyr-128' (PubMed : 22710723). Phosphorylates CBLC at multiple tyrosine residues, phosphorylation at 'Tyr-341' activates CBLC E3 activity (PubMed : 20525694). Phosphorylates synaptic vesicle protein synaptophysin (SYP) (By similarity). Involved in anchorage-independent cell growth (PubMed : 19307596). Required for podosome formation (By similarity). Mediates IL6 signaling by activating YAP1-NOTCH pathway to induce inflammation-induced epithelial regeneration (PubMed : 25731159). Phosphorylates OTUB1, promoting deubiquitination of RPTOR (PubMed : 35927303). Phosphorylates caspase CASP8 at 'Tyr-380' which negatively regulates CASP8 processing and activation, down-regulating CASP8 proapoptotic function (PubMed : 16619028).. Isoform 1. Non-receptor protein tyrosine kinase which phosphorylates synaptophysin with high affinity.. Isoform 2. Non-receptor protein tyrosine kinase which shows higher basal kinase activity than isoform 1, possibly due to weakened intramolecular interactions which enhance autophosphorylation of Tyr-419 and subsequent activation (By similarity). The SH3 domain shows reduced affinity with the linker sequence between the SH2 and kinase domains which may account for the increased basal activity (By similarity). Displays altered substrate specificity compared to isoform 1, showing weak affinity for synaptophysin and for peptide substrates containing class I or class II SH3 domain-binding motifs (By similarity). Plays a role in L1CAM-mediated neurite elongation, possibly by acting downstream of L1CAM to drive cytoskeletal rearrangements involved in neurite outgrowth (By similarity).. Isoform 3. Non-receptor protein tyrosine kinase which shows higher basal kinase activity than isoform 1, possibly due to weakened intramolecular interactions which enhance autophosphorylation of Tyr-419 and subsequent activation (By similarity). The SH3 domain shows reduced affinity with the linker sequence between the SH2 and kinase domains which may account for the increased basal activity (By similarity). Displays altered substrate specificity compared to isoform 1, showing weak affinity for synaptophysin and for peptide substrates containing class I or class II SH3 domain-binding motifs (By similarity). Plays a role in neurite elongation (By similarity).
See full target information SRC phospho Y529

Publications (1)

Recent publications for all applications. Explore the full list and refine your search

Nature communications 16:6009 PubMed40593805

2025

Spatial and single cell mapping of castleman disease reveals key stromal cell types and cytokine pathways.

Applications

Unspecified application

Species

Unspecified reactive species

David Smith,Anna Eichinger,Éanna Fennell,Zijun Y Xu-Monette,Andrew Rech,Julia Wang,Eduardo Esteva,Arta Seyedian,Xiaoxu Yang,Mei Zhang,Dan Martinez,Kai Tan,Minjie Luo,Katherine J Young,Paul G Murray,Christopher Park,Boris Reizis,Vinodh Pillai
View all publications

Product promise

We are committed to supporting your work with high-quality reagents, and we're here for you every step of the way. In the unlikely event that one of our products does not perform as expected, you're protected by our Product Promise.
For full details, please see our Terms & Conditions

Please note: All products are 'FOR RESEARCH USE ONLY. NOT FOR USE IN DIAGNOSTIC OR THERAPEUTIC PROCEDURES'.

For licensing inquiries, please contact partnerships@abcam.com