JavaScript is disabled in your browser. Please enable JavaScript to view this website.
AB133611

Anti-SRC3 antibody [EPR4374(3)]

5

(1 Review)

|

(4 Publications)

Rabbit Recombinant Monoclonal SRC3 antibody. Suitable for IHC-P, ICC/IF, WB, Flow Cyt (Intra) and reacts with Human samples. Cited in 4 publications.

View Alternative Names

AIB1, BHLHE42, RAC3, TRAM1, NCOA3, Nuclear receptor coactivator 3, NCoA-3, ACTR, Amplified in breast cancer 1 protein, CBP-interacting protein, Class E basic helix-loop-helix protein 42, Receptor-associated coactivator 3, Steroid receptor coactivator protein 3, Thyroid hormone receptor activator molecule 1, AIB-1, pCIP, bHLHe42, RAC-3, SRC-3, TRAM-1

4 Images
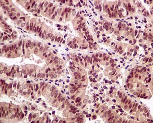
Immunohistochemistry (Formalin/PFA-fixed paraffin-embedded sections) - Anti-SRC3 antibody [EPR4374(3)] (AB133611)
  • IHC-P

Unknown

Immunohistochemistry (Formalin/PFA-fixed paraffin-embedded sections) - Anti-SRC3 antibody [EPR4374(3)] (AB133611)

Immunohistochemical analysis of KAT13B / AIB1 in paraffin embedded Human endometrium adenocarcinoma tissue using ab133611 at a dilution of 1/50.

Perform heat mediated antigen retrieval with citrate buffer pH 6 before commencing with IHC staining protocol.

Immunocytochemistry/ Immunofluorescence - Anti-SRC3 antibody [EPR4374(3)] (AB133611)
  • ICC/IF

Unknown

Immunocytochemistry/ Immunofluorescence - Anti-SRC3 antibody [EPR4374(3)] (AB133611)

Immunocytochemistry analysis of HeLa (Human cervix adenocarcinoma epithelial cell) labeling SRC3 with purified ab133611 at 1/100 dilution. Cells were fixed with 4% Paraformaldehyde and permeabilised with 0.1% tritonX-100. Goat anti rabbit IgG (Alexa Fluor® 488, ab150077) at 1/1000 (2 µg/ml) was used as the secondary antibody. ab195889 Anti-alpha Tubulin antibody [DM1A] - Microtubule Marker (Alexa Fluor® 594) 1/200 (2.29 µg/ml) was used as counterstain. Nuclei were stained blue with DAPI.
Negative control : PBS instead of the primary antibody.

Flow Cytometry (Intracellular) - Anti-SRC3 antibody [EPR4374(3)] (AB133611)
  • Flow Cyt (Intra)

Unknown

Flow Cytometry (Intracellular) - Anti-SRC3 antibody [EPR4374(3)] (AB133611)

Overlay histogram showing HeLa cells stained with ab133611 (red line). The cells were fixed with 80% methanol (5 min) and then permeabilized with 0.1% PBS-Tween for 20 min. The cells were then incubated in 1x PBS / 10% normal goat serum / 0.3M glycine to block non-specific protein-protein interactions followed by the antibody (ab133611 1/100 dilution) for 30 min at 22°C. The secondary antibody used was Alexa Fluor® 488 goat anti-rabbit IgG (H&L) (ab150077) at 1/2000 dilution for 30 min at 22°C. Isotype control antibody (black line) was rabbit IgG (monoclonal) (1μg/1x106 cells) used under the same conditions. Unlabelled sample (blue line) was also used as a control. Acquisition of >5000 events were collected using a 20mW Argon ion laser (488nm) and 525/30 bandpass filter.

Western blot - Anti-SRC3 antibody [EPR4374(3)] (AB133611)
  • WB

Unknown

Western blot - Anti-SRC3 antibody [EPR4374(3)] (AB133611)

All lanes:

Western blot - Anti-SRC3 antibody [EPR4374(3)] (ab133611) at 1/1000 dilution

Lane 1:

Daudi cell lysate at 10 µg

Lane 2:

HeLa cell lysate at 10 µg

Lane 3:

K562 cell lysate at 10 µg

Secondary

All lanes:

HRP labelled goat anti-rabbit at 1/2000 dilution

Predicted band size: 155 kDa

false

  • Carrier free

    Anti-SRC3 antibody [EPR4374(3)] - BSA and Azide free

Key facts

Host species

Rabbit

Clonality

Monoclonal

Clone number

EPR4374(3)

Isotype

IgG

Carrier free

No

Reacts with

Human

Applications

WB, IHC-P, ICC/IF, Flow Cyt (Intra)

applications

Immunogen

The exact immunogen used to generate this antibody is proprietary information.

Reactivity data

{ "title": "Reactivity Data", "filters": { "stats": ["", "Species", "Dilution Info", "Notes"], "tabs": { "all-applications": {"fullname" : "All Applications", "shortname": "All Applications"}, "IHCP" : {"fullname" : "Immunohistochemistry (Formalin/PFA-fixed paraffin-embedded sections)", "shortname":"IHC-P"}, "ICCIF" : {"fullname" : "Immunocytochemistry/ Immunofluorescence", "shortname":"ICC/IF"}, "IP" : {"fullname" : "Immunoprecipitation", "shortname":"IP"}, "WB" : {"fullname" : "Western blot", "shortname":"WB"}, "FlowCytIntra" : {"fullname" : "Flow Cytometry (Intracellular)", "shortname":"Flow Cyt (Intra)"} }, "product-promise": { "all": "all", "testedAndGuaranteed": "tested", "guaranteed": "expected", "predicted": "predicted", "notRecommended": "not-recommended" } }, "values": { "Human": { "IHCP-species-checked": "testedAndGuaranteed", "IHCP-species-dilution-info": "1/50 - 1/100", "IHCP-species-notes": "<p></p>", "ICCIF-species-checked": "testedAndGuaranteed", "ICCIF-species-dilution-info": "1/50 - 1/100", "ICCIF-species-notes": "<p></p>", "IP-species-checked": "notRecommended", "IP-species-dilution-info": "", "IP-species-notes": "<p></p>", "WB-species-checked": "testedAndGuaranteed", "WB-species-dilution-info": "1/1000 - 1/10000", "WB-species-notes": "<p></p>", "FlowCytIntra-species-checked": "testedAndGuaranteed", "FlowCytIntra-species-dilution-info": "1/100 - 1/500", "FlowCytIntra-species-notes": "<p><a href='/en-us/products/primary-antibodies/rabbit-igg-monoclonal-epr25a-isotype-control-ab172730'>ab172730</a> - Rabbit monoclonal IgG, is suitable for use as an isotype control with this antibody.</p>" } } }

Product details

Species reactivity
Mouse, Rat: We have preliminary internal testing data to indicate this antibody may not react with these species.
Please contact us for more information.

Patented technology
Our RabMAb® technology is a patented hybridoma-based technology for making rabbit monoclonal antibodies. For details on our patents, please refer to RabMAb® patents.

What are the advantages of a recombinant monoclonal antibody?
This product is a recombinant monoclonal antibody, which offers several advantages including:

  • - High batch-to-batch consistency and reproducibility
  • - Improved sensitivity and specificity
  • - Long-term security of supply
  • - Animal-free batch production

For more information, read more on recombinant antibodies.

Properties and storage information

Form
Liquid
Purity
Tissue culture supernatant
Storage buffer
pH: 7.2 - 7.4 Preservative: 0.01% Sodium azide Constituents: PBS, 50% Tissue culture supernatant, 40% Glycerol (glycerin, glycerine), 0.05% BSA
Shipped at conditions
Blue Ice
Appropriate short-term storage conditions
+4°C
Appropriate long-term storage conditions
-20°C
Storage information
Stable for 12 months at -20°C

Product protocols

For this product, it's our understanding that no specific protocols are required. You can visit:

Target data

Nuclear receptor coactivator that directly binds nuclear receptors and stimulates the transcriptional activities in a hormone-dependent fashion. Plays a central role in creating a multisubunit coactivator complex, which probably acts via remodeling of chromatin. Involved in the coactivation of different nuclear receptors, such as for steroids (GR and ER), retinoids (RARs and RXRs), thyroid hormone (TRs), vitamin D3 (VDR) and prostanoids (PPARs). Displays histone acetyltransferase activity. Also involved in the coactivation of the NF-kappa-B pathway via its interaction with the NFKB1 subunit.
See full target information NCOA3

Publications (4)

Recent publications for all applications. Explore the full list and refine your search

Oncology reports 53: PubMed40116122

2025

PFKFB4 promotes endometrial cancer by regulating glycolysis through SRC‑3 phosphorylation.

Applications

Unspecified application

Species

Unspecified reactive species

Yaling Wu,Jianzhen Zhao,Shuangshuang Zhao,Jianfang Li,Jin Luo,Yingmei Wang

Discover. Oncology 14:28 PubMed36853387

2023

Estrogen-dependent activation of NCOA3 couples with p300 and NF-κB to mediate antiapoptotic genes in ER-positive breast cancer cells.

Applications

Unspecified application

Species

Unspecified reactive species

Jun Wang,Zhiyong Zhou

BMC gastroenterology 23:18 PubMed36658474

2023

Protective role of circRNA CCND1 in ulcerative colitis via miR-142-5p/NCOA3 axis.

Applications

Unspecified application

Species

Unspecified reactive species

Ping Xiang,Tingrui Ge,Jingyi Zhou,Yonggang Zhang

Arthritis & rheumatology (Hoboken, N.J.) 67:2923-32 PubMed26211391

2015

Correlation of the osteoarthritis susceptibility variants that map to chromosome 20q13 with an expression quantitative trait locus operating on NCOA3 and with functional variation at the polymorphism rs116855380.

Applications

Unspecified application

Species

Unspecified reactive species

Fiona Gee,Michael D Rushton,John Loughlin,Louise N Reynard
View all publications

Product promise

We are committed to supporting your work with high-quality reagents, and we're here for you every step of the way. In the unlikely event that one of our products does not perform as expected, you're protected by our Product Promise.
For full details, please see our Terms & Conditions

Please note: All products are 'FOR RESEARCH USE ONLY. NOT FOR USE IN DIAGNOSTIC OR THERAPEUTIC PROCEDURES'.

For licensing inquiries, please contact partnerships@abcam.com